Written by
Mustafa Çelik
Mustafa Çelik Liv Hospital Content Team
Medically reviewed by
...
Views
Read Time
Can A Lung Biopsy Cause Cancer To Spread: Facts
Can A Lung Biopsy Cause Cancer To Spread: Facts 4

CT-guided biopsy is a common test for lung issues. But, it comes with some risks that patients need to know about.

Studies show that small problems like tiny air leaks and mild bleeding happen often. These issues can affect up to 45% of people. At our place, we focus on top-notch healthcare and help patients from all over.

It’s important to understand the risks of CT-guided biopsy. This helps patients make better choices about their health. We want to give our patients the info and support they need.

Key Takeaways

  • CT-guided biopsy is associated with certain risks, including minor complications.
  • Overall complication rates range from 24–45%.
  • Understanding the risks is key for making good health choices.
  • Our institution is dedicated to providing excellent healthcare.
  • We offer full support to patients from other countries.

Understanding CT-guided Biopsy Procedures

SEP 6730 image 2 LIV Hospital
Can A Lung Biopsy Cause Cancer To Spread: Facts 5

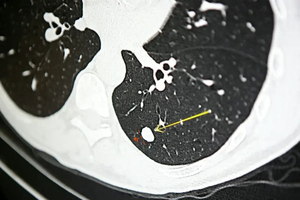
A CT-guided biopsy is a precise medical procedure. It uses a CT scanner to guide a biopsy needle. This method targets specific areas, like the lungs, with great accuracy. We’ll explain the procedure, including the needles used and the steps involved.

What is a CT-guided Biopsy?

A CT-guided biopsy is a minimally invasive method. It uses a CT scanner to guide a lung biopsy needle into lung tissue. This ensures accurate tissue sampling for diagnosis. The CT guidance makes the procedure more precise, lowering the risk of complications.

Types of Needles Used in Lung Biopsies

The type of pulmonary biopsy needle chosen depends on several factors. These include the size and location of the lesion, and the patient’s health. There are mainly two types: fine-needle aspiration (FNA) needles and core-needle biopsy (CNB) needles. FNA needles are thinner for cytological examination, while CNB needles are thicker for tissue samples.

The Procedure Step-by-Step

The biopsy of the lung procedure has several key steps:

  1. Preparation: The patient is positioned on the CT table, and the area of interest is localized using the CT scanner.
  2. Anesthesia: Local anesthesia is administered to minimize discomfort.
  3. Needle Insertion: The lung biopsy needle is inserted through the skin and guided to the target area using CT images.
  4. Sampling: Tissue samples are obtained using the chosen needle type.
  5. Post-Procedure: The patient is monitored for any immediate complications, and the samples are sent for pathological examination.

Understanding the CT-guided biopsy procedure helps patients prepare. It shows the care taken to ensure safety and accurate results.

The Importance of CT-guided Biopsies in Cancer Diagnosis

SEP 6730 image 3 LIV Hospital
Can A Lung Biopsy Cause Cancer To Spread: Facts 6

CT-guided biopsies are key in cancer diagnosis. They help us accurately diagnose lung cancer and other lung issues. This is vital for choosing the right treatment.

Diagnostic Accuracy and Benefits

CT-guided biopsies are very accurate. They are important for knowing the cancer type and stage. The benefits include:

  • Minimally invasive procedure
  • High precision in targeting lung lesions
  • Quick recovery time compared to surgical biopsies

Diagnostic Feature

CT-guided Biopsy

Surgical Biopsy

Invasiveness

Minimally invasive

Invasive

Recovery Time

Quick

Longer

Precision

High

Variable

Alternatives to CT-guided Biopsies

There are other ways to diagnose, like:

  • Bronchoscopic biopsy
  • Surgical biopsy
  • Endobronchial ultrasound (EBUS) guided biopsy

Each method has its own benefits. The right choice depends on the lesion’s location and size, and the patient’s health.

When CT-guided Biopsies Are Recommended

CT-guided biopsies are suggested in certain cases. They are best for lung lesions not reachable by bronchoscopy or when precise diagnosis is needed. They work well for peripheral lung lesions.

Talk to your healthcare provider about your situation. They can decide if a CT-guided biopsy is best for you.

Overview of Risk Categories in CT-guided Biopsies

CT-guided biopsies are generally safe but carry some risks. These risks vary in severity. It’s important to know the difference between minor and major complications. We also need to understand what can make these complications more likely.

Minor vs. Major Complications

Complications from CT-guided biopsies can be minor or major. Minor ones are usually easy to handle. Major complications, though less common, can have big effects on health.

Studies show minor complications happen in about 24-45% of cases. This shows they are quite common. Knowing about both minor and major complications helps make better choices.

Risk Factors That Increase Complication Rates

Several factors can raise the chance of complications during or after a CT-guided biopsy. These include the patient’s health and how the procedure is done. Knowing these factors helps reduce risks.

  • Patient-related risk factors include chronic obstructive pulmonary disease (COPD), bleeding disorders, and emphysema.
  • Procedural risk factors involve larger needles, more needle passes, and where the biopsy is done.

Statistical Overview of Complication Frequency

Looking at how often complications happen helps understand the risks of CT-guided biopsies. This information helps doctors and patients decide if the benefits outweigh the risks.

Pneumothorax is a known complication, with rates changing based on needle type and lung health. Our analysis will cover these statistics to show the risks clearly.

Understanding the risks and their frequencies helps both patients and doctors make better choices about CT-guided biopsies.

Pneumothorax: The Most Common Complication

Pneumothorax is a serious issue that can happen after CT-guided biopsies. It’s key to know what it is and its effects. We’ll look into its causes, how often it happens, and what it means for those getting lung biopsies.

What is Pneumothorax and Why Does It Occur?

Pneumothorax means air gets into the space around the lung, causing it to collapse. This can happen during or after a biopsy if the needle hits the pleura. Knowing how it happens helps in reducing its risk.

Incidence Rates in Core Needle Biopsies

Research shows pneumothorax is a common issue with CT-guided lung biopsies. It happens in about 17.6% of cases, with 5.6% needing treatment. This highlights the need for careful planning, precise technique, and close monitoring after the procedure.

How Long After a Lung Biopsy Can Your Lung Collapse?

The time pneumothorax happens after a biopsy varies. It can be right away or hours or days later. It’s vital for patients to watch for signs like trouble breathing or chest pain and get help fast if they see them.

Following up after a biopsy is key to catch any problems early. By knowing the risks and staying alert, patients and doctors can lessen the effects of pneumothorax and aim for the best results.

Bleeding Complications During and After Biopsy

It’s important for patients to know about bleeding risks during CT-guided biopsies. Bleeding can happen during or after the procedure. Knowing the causes, how often it happens, and who’s at risk is key.

Parenchymal Bleeding: Causes and Frequency

Parenchymal bleeding is a common issue during CT-guided biopsies. It happens when blood leaks into the lung’s working parts. Studies show this occurs in about 6.2% of cases.

Many things can cause this bleeding. The type of needle used, how many times it’s passed, and the patient’s health are factors. People with bleeding disorders or on blood thinners are at higher risk.

Hemoptysis and Other Bleeding Manifestations

Hemoptysis, or coughing up blood, is a serious complication after a biopsy. It can range from mild to severe. Other issues like hemothorax, where blood fills the pleural space, can also occur.

The severity of these problems depends on the biopsy method and the patient’s health.

Risk Factors for Severe Bleeding

Knowing who’s at risk for severe bleeding is vital. Important risk factors include:

  • Coagulopathy or bleeding disorders
  • Anticoagulant or antiplatelet therapy
  • Lesion characteristics, such as highly vascular tumors
  • Operator experience and technique

Risk Factor

Description

Impact on Bleeding Risk

Coagulopathy

Bleeding disorders or clotting factor deficiencies

High

Anticoagulant Therapy

Use of medications that prevent blood clotting

High

Lesion Characteristics

Highly vascular tumors or lesions

Moderate to High

Operator Experience

Skill and experience of the person performing the biopsy

Moderate

By understanding these risk factors and taking precautions, we can lower the chance of severe bleeding.

Rare but Serious Complications of CT-guided Biopsies

CT-guided biopsies are usually safe, but serious problems can happen in rare cases. Most procedures go smoothly, but it’s important to know about possible severe issues. We’ll look at air embolism, tumor seeding, and infection, which are serious but rare risks.

Air Embolism

Air embolism is a rare but dangerous issue with CT-guided biopsies. It happens when air gets into the blood vessels, which can cause a stroke or heart stop. This problem is seen in about 0.1% of cases. Quick action and treatment are key to dealing with it.

Tumor Seeding

Tumor seeding is when cancer cells spread through the biopsy needle. It’s very rare but can change how cancer is treated. We’ll explore how it happens and who’s at risk.

Infection and Other Rare Complications

Infection is a rare but serious issue from CT-guided biopsies. Using proper cleaning and care after the procedure can help avoid this. Other rare problems might include vasovagal reactions and coughing up blood.

Complication

Incidence Rate

Potential Consequences

Risk Factors

Air Embolism

0.1%

Stroke, Cardiac Arrest

Biopsy technique, patient anatomy

Tumor Seeding

Extremely Rare

Altered cancer staging, treatment challenges

Needle tract contamination

Infection

Rare

Sepsis, localized infection

Sterile technique breaches, patient health status

Knowing about these rare but serious problems is important for making informed choices about CT-guided biopsies. By understanding the risks and taking steps to prevent them, patients and doctors can work together to keep these risks low.

Can a Lung Biopsy Cause Cancer to Spread? Addressing the Main Concern

Many patients worry if a lung biopsy can spread cancer. This concern is valid and needs a detailed look. We aim to give a clear view based on science.

Scientific Evidence on Biopsy-Related Tumor Seeding

Tumor seeding, or cancer cells spreading along the biopsy path, is rare. But it’s a known risk of CT-guided biopsies. Research shows this risk is very low, making it a small concern compared to the benefits of diagnosis.

Key findings from research on biopsy-related tumor seeding include:

  • The incidence of tumor seeding is reported to be less than 0.1% in most studies.
  • The risk is higher with certain types of cancer, such as malignant mesothelioma.
  • Advances in biopsy techniques and needle technology have contributed to reducing this risk.

Understanding the Mechanism of Potencial Cancer Spread

The risk of cancer spreading during a biopsy comes from disrupting tumor tissue. This can release cancer cells into nearby tissues or the bloodstream. But, the body’s defenses and the focused nature of most biopsies help keep this risk low.

Mechanism

Description

Risk Mitigation

Tumor disruption

Release of cancer cells during biopsy

Use of coaxial needles, precise technique

Biopsy tract seeding

Cancer cells implanting along the needle path

Ablation of biopsy tract in high-risk cases

Risk Assessment and Perspective

While there is a risk of cancer spreading from a lung biopsy, it’s important to consider the benefits. Biopsies are key in managing cancer. The risk is low, and new biopsy methods are making it even lower.

We stress the need to talk about individual risks and benefits with doctors. This helps make informed choices.

Special Considerations for Elderly Patients Undergoing Lung Biopsies

Lung biopsies for elderly patients need a careful approach. This is because they have unique health needs. As more people live longer, more seniors are getting these tests. We must weigh the risks and benefits to help them the most.

Age-Related Risk Factors

Elderly patients face higher risks during and after lung biopsies. This is because of their age-related health issues. We must think about these when deciding if a biopsy is right for them.

Modified Approaches for Elderly Patients

To lower risks, we use special methods for seniors. This might mean using smaller needles or watching them closely during the test. It helps keep them safe.

Risk-Benefit Analysis for Geriatric Populations

When thinking about a lung biopsy for an elderly person, we must consider both sides. We need to think about how much the test will help them. And also, the possible risks and their overall health.

Consideration

Description

Impact on Elderly Patients

Age-Related Risk Factors

Decreased lung function, comorbidities

Increased risk of complications

Modified Approaches

Smaller needles, adjusted techniques

Reduced risk of complications

Risk-Benefit Analysis

Balancing diagnostic benefits against risks

Personalized decision-making

Recovery After CT-guided Lung Biopsy

Knowing how to recover after a CT-guided lung biopsy is key. The recovery phase is important. It helps prevent and manage any issues that might arise.

Typical Recovery Timeline

The time it takes to recover can vary. It depends on your health and the biopsy’s complexity. Usually, you’ll be watched for hours after the biopsy for any immediate problems.

Post-Procedure Monitoring

Monitoring after the procedure is vital. You’ll be watched for hours to catch any complications like pneumothorax or bleeding.

  • Monitoring includes checking vital signs and might include extra imaging tests.
  • You’ll also learn what symptoms to watch for at home and when to get medical help.

When to Seek Medical Attention After a Biopsy

It’s important to know when to get medical help after a biopsy. Some pain is normal, but certain symptoms need quick attention.

Symptoms that need immediate help include:

  1. Severe chest pain or trouble breathing
  2. Coughing up blood or a lot of bleeding
  3. Fever or signs of infection

Understanding the recovery and knowing when to seek help can make the post-biopsy period easier.

Medical Coding for Biopsy Procedures and Complications

Accurate medical coding is key for billing and insurance claims for biopsy procedures and complications. Biopsy procedures, like CT-guided lung biopsies, help diagnose lung issues and cancer. But, they can lead to problems like pneumothorax and bleeding.

CPT Codes for CT-guided Lung Biopsies

CPT (Current Procedural Terminology) codes are vital for billing and insurance. For CT-guided lung biopsies, the right CPT codes must be used. The American Medical Association updates CPT codes yearly to keep up with medical advancements.

The CPT code for a CT-guided lung biopsy is usually in the needle biopsy category. The exact code depends on the approach and guidance used. For example, CPT code 32405 is for a lung biopsy with CT guidance.

Should Minor Complications During Procedures Be Coded?

Coding minor complications during biopsies is complex. Minor issues, like small pneumothorax without treatment, might not get a separate code. But, it’s important to document them in the patient’s record for full care.

Deciding to code minor complications depends on coding guidelines and payer policies. It can impact the diagnosis-related group (DRG) and reimbursement.

CPT Code for Insertion of a Chest Tube for Pneumothorax

Pneumothorax, a big risk of lung biopsy, might need a chest tube. The CPT code for this is 32551 for chest tube insertion without imaging. If imaging is used, report the imaging code too.

Here’s a table showing biopsy and complication coding:

Procedure

CPT Code

Description

CT-guided lung biopsy

32405

Percutaneous needle biopsy of the lung, including CT guidance

Insertion of chest tube

32551

Insertion of a chest tube without imaging guidance

Reducing Risks: Best Practices in CT-guided Biopsy Procedures

Following best practices in CT-guided biopsies is key to keeping patients safe. By sticking to guidelines and protocols, doctors can lower the chance of problems.

Technical Considerations to Minimize Complications

Choosing the right needle and size is very important. Coaxial needles are often better because they let you take more samples from one spot, which hurts less.

The way the biopsy is done matters a lot. Precise needle placement and avoiding important areas can help avoid issues. Using CT scans in real-time helps place the needle correctly, which lowers the risk of problems.

Technical Consideration

Description

Benefit

Coaxial Needles

Allows multiple samples through a single puncture

Reduces tissue trauma

Real-time CT Guidance

Enables accurate needle placement

Minimizes risk of pneumothorax

Precise Needle Placement

Avoids vital structures

Reduces risk of bleeding and other complications

Patient Preparation Guidelines

Getting ready for a CT-guided biopsy is very important. Patients need to fast before the test to avoid choking. Also, people with bleeding disorders or on blood thinners need special care.

  • Review patient’s medical history
  • Adjust medications as necessary
  • Ensure patient has fasted as instructed

Post-Procedure Care Protocols

Good care after the biopsy is key to watching for and handling any problems. Patients should be watched closely for signs of pneumothorax or bleeding. Chest X-rays might be needed to check for issues.

By sticking to these best practices, doctors can make CT-guided biopsies safer and more successful for their patients.

The Role of Operator Experience in Biopsy Outcomes

The success of a CT-guided biopsy depends a lot on the operator’s experience. It’s clear that the skill and knowledge of the doctor doing the biopsy are key.

Impact of Physician Experience on Complication Rates

Research shows that a doctor’s experience affects how many complications happen during and after a biopsy. Doctors with more experience usually have fewer problems. This is because they have better techniques and can deal with surprises.

A study in the Journal of Vascular and Interventional Radiology found a big difference. Doctors with over 10 years of experience had much lower complication rates than those with less experience.

Operator Experience

Complication Rate

Less than 5 years

12%

5-10 years

8%

More than 10 years

4%

Institutional Protocols and Safety Measures

Hospitals doing CT-guided biopsies have safety plans to keep things safe and reduce problems. These plans might include:

  • Pre-procedure checklists to check patient info and medical history
  • Watching the procedure in real-time
  • Guidelines for care after the procedure

A medical expert said, “Having strong safety plans is key to keeping care high and cutting down on complications.”

Questions to Ask Your Provider About Experience

Patients getting CT-guided biopsies should ask their doctors about their experience. Some questions to ask include:

  1. How many CT-guided biopsies have you done?
  2. What’s your complication rate?
  3. What steps do you take to lower risks?

Knowing about your doctor’s experience helps you make better choices about your care.

Weighing Benefits Against Risks: When is a CT-guided Biopsy Worth It?

It’s important to understand the good and bad sides of CT-guided biopsies. These procedures help doctors find out what’s wrong with your body. But, they can also lead to problems.

Diagnostic Value vs. Possible Complications

CT-guided biopsies are very good at finding out what’s wrong. They let doctors take a small piece of tissue for tests. But, they can also cause issues like lung collapse or bleeding.

The accuracy of these biopsies is high. They often give doctors the information they need to decide how to treat you. But, complications can be serious. For example, lung collapse might need a chest tube.

Scenarios Where Benefits Clearly Outweigh Risks

There are times when the good things about CT-guided biopsies are more important than the bad. For example, if you have a lung nodule that might be cancer, a biopsy can be very helpful. Getting a clear diagnosis is often worth the risk.

Also, these biopsies are great for hard-to-reach spots. They let doctors get a precise sample. This makes the diagnosis more reliable.

Decision-Making Framework for Patients and Physicians

When thinking about a CT-guided biopsy, talking it over is key. Doctors and patients should look at the need for the biopsy, the patient’s health, and other options.

  • Check if the biopsy is really needed.
  • Look at the patient’s health and risks.
  • Think about other ways to find out what’s wrong.
  • Talk about the good and bad sides with the patient.

By using this approach, doctors can help patients make choices that fit their situation.

Conclusion: Making Informed Decisions About CT-guided Biopsies

Patients considering a CT-guided biopsy need to know the good and bad sides of it. We’ve looked at how accurate it is, possible problems, and how skilled the person doing it is.

To make smart choices about CT-guided biopsies, you must understand what it is and what it means. By looking at the good and bad, you can decide what’s best for you. Doctors should help patients by giving them all the facts they need.

Knowing about CT-guided biopsies is key to getting the best results. By understanding it and its risks, patients can feel sure about their tests.

FAQ

What is a CT-guided biopsy?

A CT-guided biopsy uses CT scans to guide a needle into a lung lesion or tumor. It collects tissue samples for diagnosis.

Is a lung biopsy a serious procedure?

Yes, a lung biopsy is serious. It can cause risks like pneumothorax, bleeding, and air embolism.

Can a lung biopsy cause cancer to spread?

The risk of cancer spreading from a lung biopsy is very low. Studies show the benefits usually outweigh the risks.

What are the risks of a lung biopsy in elderly patients?

Elderly patients face higher risks due to age. But, careful selection and modified approaches can minimize these risks.

How long after a lung biopsy can your lung collapse?

A lung collapse, or pneumothorax, can happen during or after a biopsy. The risk is highest in the first few hours but can occur up to several days later.

What is the CPT code for insertion of a chest tube for pneumothorax?

The CPT code for inserting a chest tube for pneumothorax is 32551 or 32557. It depends on the procedure and circumstances.

Should minor complications during procedures be coded?

Yes, minor complications should be documented and coded. This follows coding guidelines and regulations.

How can the risks of CT-guided biopsies be minimized?

To minimize risks, follow best practices. This includes careful patient selection, proper technique, and post-procedure care. It’s also important to have an experienced operator.

What is the diagnostic yield of a CT-guided biopsy?

The diagnostic yield of a CT-guided biopsy is high. Most studies show accuracy rates above 90%.

What are the benefits of CT-guided biopsies in cancer diagnosis?

CT-guided biopsies are accurate and minimally invasive. They help guide treatment decisions.


References

https://www.ncbi.nlm.nih.gov/books/NBK348942

i

Medical Disclaimer

The content on this page is for informational purposes only and is not a substitute for professional medical advice, diagnosis or treatment. Always consult a qualified healthcare provider regarding any medical conditions.

Trusted Worldwide
30
Years of
Experience
30 Years Badge
Health Türkiye Accreditation
Patient Reviews
Reviews from 9,651
4,9

Get a Free Quote

Response within 2 hours during business hours

Clinics/branches
GDPR
Was this content helpful?
Your feedback helps us improve.
What did you like?
Share more details about your experience.
You must give consent to continue.

Thank you!

Your feedback has been submitted successfully. Your input is valuable in helping us improve.

Book a Free Certified Online
Doctor Consultation

Clinics/branches
GDPR

We're Here to Help.
Get in Touch

Send us all your questions or requests, and our
expert team will assist you.

Our Doctors

Assoc. Prof. MD. Murat Ayhan Medical Oncology

Assoc. Prof. MD. Murat Ayhan

Prof. MD. Oral Nevruz Hematology

Prof. MD. Oral Nevruz

Prof. MD. Emre Merdan Fayda Radiation Oncology

Prof. MD. Emre Merdan Fayda

Spec. MD. Minure Abışova Eliyeva Hematology

Spec. MD. Minure Abışova Eliyeva

Prof. MD. Gökhan Erdem Medical Oncology

Prof. MD. Gökhan Erdem

Assoc. Prof. MD. Emir Çelik Medical Oncology

Assoc. Prof. MD. Emir Çelik

Asst. Prof. MD. Meltem Topalgökçeli Selam Medical Oncology

Asst. Prof. MD. Meltem Topalgökçeli Selam

Spec. MD. Elmir İsrafilov Hematology

Spec. MD. Elmir İsrafilov

Prof. MD. Duygu Derin Medical Oncology

Prof. MD. Duygu Derin

MD. Taylan Bükülmez Radiation Oncology

MD. Taylan Bükülmez

Spec. MD. ELXAN MEMMEDOV Medical Oncology

Spec. MD. ELXAN MEMMEDOV

Prof. MD. Nuri Faruk Aykan Medical Oncology

Prof. MD. Nuri Faruk Aykan