Cancer involves abnormal cells growing uncontrollably, invading nearby tissues, and spreading to other parts of the body through metastasis.
Send us all your questions or requests, and our expert team will assist you.
The overview and definition of ovarian cancer is essential for anyone confronting this disease, especially international patients seeking world‑class care. Ovarian cancer originates in the ovaries, the female reproductive organs that produce eggs and hormones, and it often remains undetected until it reaches an advanced stage. According to the World Health Organization, ovarian cancer accounts for approximately 3% of all cancers in women, yet it is the fifth leading cause of cancer related deaths among women worldwide. This page offers a comprehensive guide that explains what ovarian cancer is, how it develops, and the range of diagnostic and therapeutic options available at Liv Hospital.
International patients visiting Liv Hospital benefit from a coordinated, multilingual approach that includes appointments, transportation, interpreter services, and comfortable accommodation. By understanding the disease’s fundamentals, patients can make informed decisions, collaborate effectively with their medical team, and pursue personalized treatment plans that align with their health goals and cultural preferences.
In the sections that follow, we will explore the causes and risk factors, identify common symptoms, detail diagnostic pathways, outline current treatment modalities, discuss survivorship care, and highlight cutting‑edge research. This thorough overview and definition aims to empower patients and families with the knowledge needed to navigate ovarian cancer with confidence.
Ovarian cancer develops when normal cells in the ovary undergo genetic mutations that cause uncontrolled growth. While the exact cause remains unknown for many cases, several risk factors have been identified that increase the likelihood of developing the disease.
Understanding these factors helps clinicians tailor screening strategies, especially for high‑risk individuals. At Liv Hospital, genetic counseling and testing are offered as part of the comprehensive care pathway, ensuring that patients receive personalized risk assessments and preventive guidance.
Risk Factor | Impact on Risk | Recommended Action
|
|---|---|---|
BRCA Mutation | Up to 40% higher lifetime risk | Genetic testing & prophylactic options |
Age > 60 | Increased incidence | Regular pelvic exams & imaging |
Endometriosis | Moderate risk elevation | Monitoring and symptom management |
By recognizing these contributors, patients and providers can implement early‑detection protocols, potentially improving outcomes through timely intervention.
Early ovarian cancer often presents with vague or non‑specific symptoms, which is why many cases are diagnosed at later stages. Awareness of the subtle signs can prompt earlier medical evaluation.
When these symptoms occur more than three times a month and persist for several weeks, they warrant a thorough clinical assessment. The following table outlines symptom frequency and recommended next steps.
Symptom | Frequency | Suggested Action
|
|---|---|---|
Bloating | ≥3 times/month | Schedule gynecologic evaluation |
Pain | Persistent, >2 weeks | Imaging (ultrasound/CT) |
Early satiety | Weekly | Blood tests & endoscopic review |
Liv Hospital’s multidisciplinary team employs a patient‑centered approach, ensuring that symptom assessment is integrated with imaging and laboratory studies for a swift and accurate diagnosis.
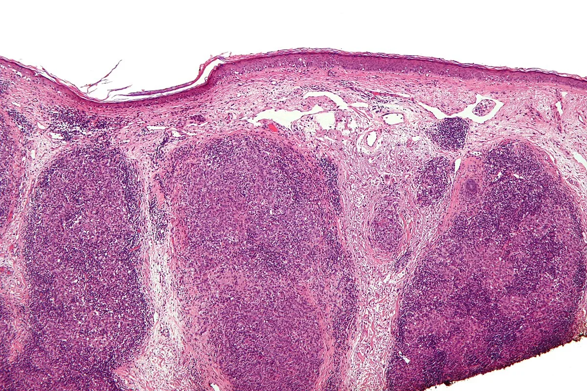
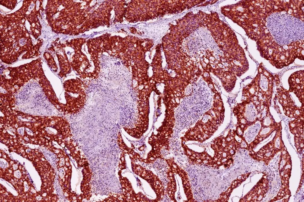
Accurate diagnosis and staging are pivotal for determining the most effective treatment plan. The process typically combines physical examination, imaging, laboratory tests, and tissue biopsy.
Staging follows the FIGO (International Federation of Gynecology and Obstetrics) system, ranging from Stage I (confined to ovaries) to Stage IV (distant metastasis). The table below summarizes each stage and its clinical implications.
Stage | Extent of Disease | Typical Treatment Approach
|
|---|---|---|
I | Limited to ovaries | Surgery alone or with adjuvant chemo |
II | Spread to pelvic organs | Surgery + chemotherapy |
III | Peritoneal spread or lymph nodes | Extensive debulking surgery + chemo |
IV | Distant metastasis (e.g., liver, lungs) | Systemic therapy, possible surgery |
Liv Hospital’s state‑of‑the‑art diagnostic suite, combined with expert radiologists and pathologists, ensures precise staging, which directly influences therapeutic decisions and prognostic counseling.
Management of ovarian cancer is multimodal, often beginning with surgery to remove as much tumor as possible, followed by systemic therapies to eradicate microscopic disease.
The following comparison highlights the main characteristics of each therapeutic class.
Therapy | Mechanism | Typical Use | Key Side Effects
|
|---|---|---|---|
Platinum‑Based Chemo | DNA cross‑linking | First‑line, adjuvant | Neuropathy, nausea |
PARP Inhibitors | DNA repair inhibition | BRCA‑mutated, maintenance | Fatigue, anemia |
Bevacizumab | VEGF pathway blockade | Advanced disease, combo | Hypertension, bleeding |
Immunotherapy | Immune checkpoint blockade | Clinical trials | Autoimmune reactions |
Liv Hospital’s oncology team customizes treatment plans based on stage, genetic profile, and patient preferences, ensuring an optimal balance between efficacy and quality of life.
Beyond active treatment, long‑term survivorship care is vital for physical recovery, emotional well‑being, and disease monitoring. A holistic approach addresses nutrition, mental health, and rehabilitation.
Standard follow‑up includes regular physical exams, CA‑125 monitoring, and imaging as indicated. The table outlines a typical surveillance timeline.
Time Post‑Treatment | Visit Frequency | Assessments
|
|---|---|---|
First 2 years | Every 3‑4 months | Physical exam, CA‑125, imaging if needed |
Years 3‑5 | Every 6 months | Physical exam, labs |
Beyond 5 years | Annually | Comprehensive review |
Liv Hospital’s international patient program ensures continuity of care, offering tele‑medicine follow‑ups for patients who have returned to their home countries, thereby maintaining a seamless connection with their treatment team.
Research is rapidly evolving, bringing new therapeutic options to patients worldwide. Understanding current trends helps patients consider participation in clinical studies.
Liv Hospital actively participates in multinational clinical trials, providing patients access to cutting‑edge treatments before they become widely available. The following list presents select ongoing studies.
Patients interested in trial enrollment can consult Liv Hospital’s research coordinators, who will evaluate eligibility, explain potential benefits and risks, and facilitate the enrollment process.
Liv Hospital combines JCI accreditation, cutting‑edge technology, and a dedicated international patient services team to deliver world‑class ovarian cancer care. Patients benefit from coordinated appointments, multilingual interpreter support, and assistance with travel and lodging, ensuring a stress‑free experience from the moment they arrive in Istanbul to the completion of their treatment journey.
Ready to take the next step toward expert ovarian cancer care? Contact Liv Hospital today to schedule a personalized consultation and discover how our comprehensive services can support your health and wellbeing.
Send us all your questions or requests, and our expert team will assist you.
Ovarian cancer risk rises sharply after menopause, with the average diagnosis age of 63. Genetic mutations such as BRCA1 and BRCA2 can increase lifetime risk by up to 40%. A strong family history of breast or ovarian cancer also elevates risk. Reproductive factors like nulliparity, early menarche, or late menopause contribute, as does chronic endometriosis, which causes pelvic inflammation. Long‑term use of estrogen‑only hormone replacement therapy is another documented factor. Liv Hospital offers genetic counseling and testing to identify high‑risk patients and tailor preventive strategies.
Early ovarian cancer often presents with vague symptoms that can be mistaken for benign conditions. When any of the following occur more than three times a month and persist for several weeks—abdominal bloating or swelling, continuous pelvic or abdominal pain, feeling full quickly after eating, increased urgency or frequency of urination, and unexplained weight loss or fatigue—patients should seek a gynecologic evaluation. Liv Hospital’s multidisciplinary team integrates symptom assessment with imaging and laboratory tests to achieve a swift diagnosis.
The International Federation of Gynecology and Obstetrics (FIGO) staging classifies ovarian cancer from Stage I (confined to ovaries) to Stage IV (distant metastasis such as liver or lungs). Each stage reflects the extent of disease and determines the therapeutic approach—early stages may be treated with surgery alone or with adjuvant chemotherapy, while advanced stages require extensive debulking surgery combined with systemic therapy. Accurate staging at Liv Hospital, performed by expert radiologists and pathologists, ensures patients receive the most appropriate, evidence‑based treatment plan.
Management is multimodal. Primary cytoreductive surgery aims to remove as much tumor as possible, followed by platinum‑based chemotherapy (carboplatin and paclitaxel) as the standard first‑line regimen. For patients with BRCA mutations or homologous recombination deficiency, PARP inhibitors are used as maintenance therapy. Anti‑angiogenic agents such as bevacizumab may be added for advanced disease, and clinical trials are evaluating checkpoint inhibitor immunotherapies. Liv Hospital customizes each plan based on stage, genetic profile, and patient preferences, balancing efficacy with quality of life.
After active treatment, survivorship care focuses on physical recovery, emotional well‑being, and disease surveillance. Services include multilingual psychosocial counseling, individualized nutrition plans to mitigate side effects, post‑surgical physiotherapy, and dedicated patient navigators who assist with appointments, visas, and accommodation. Follow‑up visits are scheduled every 3‑4 months for the first two years, then every six months up to five years, and annually thereafter, incorporating physical exams, CA‑125 blood tests, and imaging as needed. Tele‑medicine options ensure continuity of care for patients who return to their home countries.
BlogCancerFeb 19, 2026Many people are surprised to learn that lower back pain can signal ovarian cancer. This is true if the pain...
BlogCancerFeb 19, 2026Abdominal bloating and a visibly larger stomach are common signs of ovarian cancer. These symptoms are ofte...
BlogCancerFeb 19, 2026Many people think that ovarian cancer always leads to vaginal bleeding. But, the truth is more nuanced. We&...
BlogCancerFeb 19, 2026Many women feel like they need to go to the bathroom all the time. But, it’s often because of ovarian...
BlogCancerFeb 19, 2026Ovarian cancer is often called a ‘silent killer’ because its symptoms are not obvious and it...
BlogCancerFeb 19, 2026Ovarian cancer is a major threat to women’s health. Some groups face much higher risks because of the...
Get instant answers from our medical team. No forms, no waiting — just tap below to start chatting now.
Start Chat on WhatsApp or call us at +90 530 510 71 24