
At Liv Hospital, we use the latest MRI technology to change how we find cancer. MRI cancer detection is key in spotting tumors and showing detailed images of soft tissues.
We rely on MRI to find cancer early, which helps patients get better care without surgery. Research shows MRI can find cancer in about 1.57% of people who don’t show symptoms. This proves MRI is great for catching cancer early.
We put your health first by using MRI to give you the best care. We support you from the start of diagnosis to treatment.
Key Takeaways
- MRI technology is highly effective in detecting tumors and cancer.
- Whole-body MRI can detect confirmed cancer in asymptomatic individuals.
- Early detection through MRI enhances patient outcomes.
- MRI provides detailed images of soft tissues, aiding in diagnosis.
- Non-invasive diagnostics reduce the need for surgical interventions.
The Science Behind MRI Technology

MRI uses magnetic fields and radio waves to find cancer. It’s a detailed tool that shows what’s inside our bodies. Strong magnets and radio waves help create these images.
Basic Principles of Magnetic Resonance Imaging
MRI works by using nuclear magnetic resonance. When you get an MRI, you’re in a strong magnetic field. This field aligns hydrogen atoms in your body.
Then, radio waves disturb these atoms. They send signals that the MRI machine catches. This helps make detailed images.
The magnetic field and radio waves are set just right. This makes MRI great for cancer detection and diagnosis.
How MRI Creates Detailed Soft Tissue Images
MRI is good at showing soft tissues. This is key to finding tumors. It’s better than X-rays or CT scans because it can see different soft tissues.
This helps doctors see tumors clearly. They can understand how big they are and where they are. This is important for planning treatment.
So, MRI is a big help in cancer detection and treatment. It’s a powerful tool in the fight against cancer.
Does an MRI Show Tumors? Understanding Detection Capabilities

MRI can show tumors without needing surgery. It’s great for spotting cancerous growths. MRI shows soft tissues well, helping find tumors and learn about them.
How Tumors Appear Different on MRI Scans
Tumors look different on MRI scans because of their biology. Cancerous tumors have odd shapes and look different in images. MRI can spot tumors early because it sees these signs well.
What a tumor looks like on MRI depends on the scan type. T1 images show body parts clearly, while T2 images show tissue differences. Using many scan types helps doctors understand tumors better.
Differentiating Between Benign and Malignant Lesions
Telling benign from malignant tumors is key to treatment. MRI scans show signs of cancer, like fast growth and spreading. Special MRI methods help tell the difference between benign and malignant tumors.
“The use of MRI in cancer diagnosis has revolutionized the field of oncology, enabling healthcare providers to detect and characterize tumors with unprecedented accuracy.”
-Certified Oncologist
Here’s a table showing how benign and malignant tumors differ on MRI:
| Characteristics | Benign Lesions | Malignant Lesions |
| Border | Well-defined | Irregular |
| Signal Intensity | Homogeneous | Heterogeneous |
| Contrast Enhancement | Mild or none | Significant and heterogeneous |
Knowing how tumors look on MRI helps doctors make better choices for patients. MRI’s role in finding and understanding tumors is growing. It opens up new ways to diagnose and treat cancer early.
Types of MRI Scans Used for Cancer Detection
MRI technology offers a wide range of scanning protocols for cancer detection. We use different MRI scans to get detailed diagnostic information. This helps us detect and manage cancer better.
Standard MRI vs. Specialized Cancer Protocols
Standard MRI scans are the first step in many diagnoses, showing detailed images inside the body. But for cancer, we often use special MRI protocols. These protocols adjust scanning sequences and use contrast agents to make tumors stand out.
These special protocols help us target specific cancers, improving detection. For example, some protocols highlight the difference between tumor and healthy tissue. This makes it easier to spot abnormalities.
Contrast-Enhanced MRI for Tumor Visualization
Contrast-enhanced MRI is great for seeing tumors. It uses a contrast agent, like gadolinium, to show where tumors are. This is very useful in tricky spots like the brain or liver.
The contrast agent changes the magnetic properties of nearby hydrogen nuclei. This makes tumors more visible on the MRI. It helps us accurately measure and locate tumors, which is key for treatment planning.
Whole-Body MRI Screening
Whole-body MRI screening is a big step forward in cancer detection. It scans the whole body in one go. This is great for finding metastasis and understanding the disease’s spread.
It’s very helpful for people at high risk of cancer or those with a history of it. Whole-body MRI gives a full picture, helping us catch problems early. This makes them easier to manage.
| Type of MRI Scan | Primary Use | Benefits |
| Standard MRI | General diagnostic imaging | Detailed images of internal structures |
| Specialized Cancer Protocols | Targeted cancer detection | Improved detection accuracy, tailored to specific cancers |
| Contrast-Enhanced MRI | Tumor visualization | Enhanced tumor visibility, better treatment planning |
| Whole-Body MRI | Cancer staging, metastasis detection | Comprehensive disease assessment, early detection of metastasis |
MRI’s Effectiveness in Early Cancer Detection
Early cancer detection is key, and MRI is a big help. We’ll see how MRI helps find tumors early. This leads to better health outcomes for patients.
Detection Rates in Asymptomatic Individuals
Whole-body MRI can spot cancer in people who don’t show symptoms. This early catch is a big deal. It means doctors can start treatment sooner, which can lead to better results.
Research shows MRI can find tumors early, even when people don’t have symptoms. This is great for those at high risk of certain cancers.
Identifying Tumors Before They Become Symptomatic
MRI’s skill in finding tumors before symptoms show is a major breakthrough. It lets doctors start treatment early. This can greatly improve how well patients do.
The table below shows how well MRI does in finding cancer in people who don’t have symptoms yet.
| Type of Cancer | Detection Rate | Early Detection Benefits |
| Breast Cancer | 85% | Improved treatment outcomes |
| Prostate Cancer | 80% | Reduced risk of metastasis |
| Liver Cancer | 75% | Enhanced surgical options |
The table shows MRI is very good at finding different cancers early. This early detection helps patients get better faster. It also leads to more effective treatments.
Cancer-Specific MRI Applications
MRI is a key tool in finding and tracking different cancers. It shows soft tissues in detail, making it very useful in cancer care.
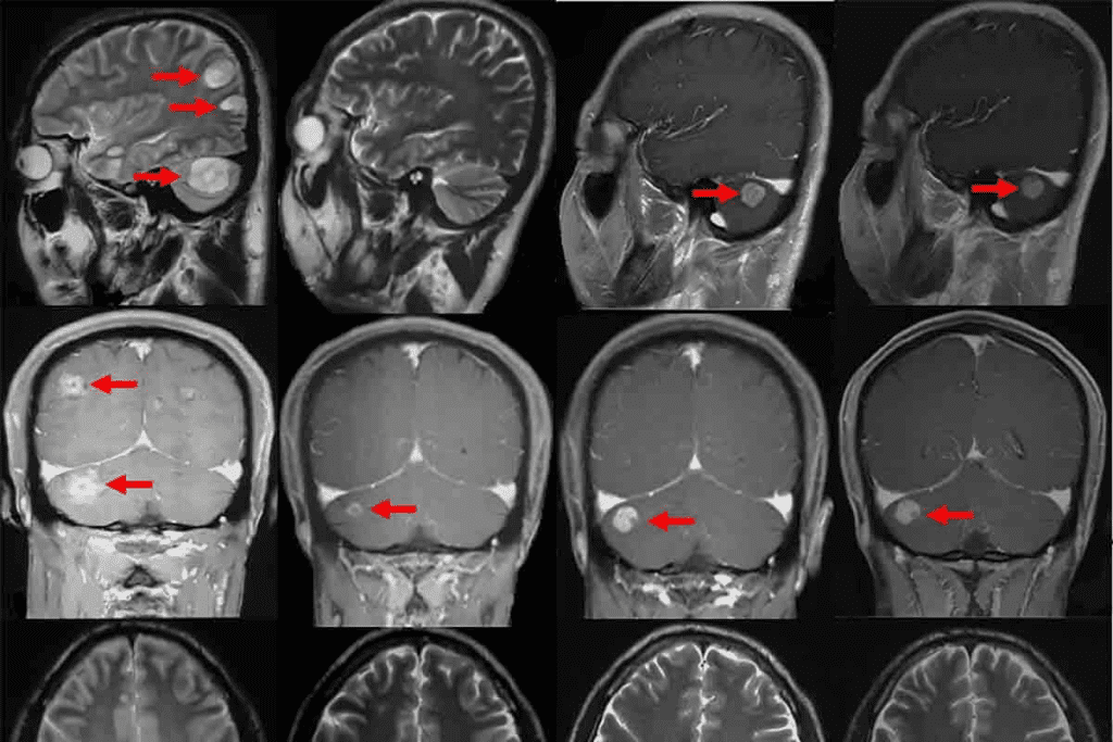
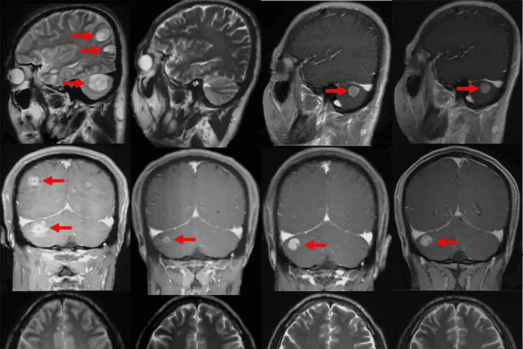
Brain Tumor Imaging
MRI is great for brain tumors because it can tell soft tissues apart. It shows the tumor’s size, location, and type, which helps doctors choose the best treatment. “MRI is vital in neuro-oncology,” experts say, “for accurate diagnosis and planning.”
Breast Cancer Detection and Monitoring
In breast cancer, MRI helps find and watch tumors, even in dense breasts where mammograms fail. MRI’s high sensitivity spots cancers not seen by mammograms or ultrasounds. It also checks how well treatments work.
Prostate Cancer Assessment
MRI is key in prostate cancer to see how far the disease has spread. It shows where and how big the tumor is, important for surgery or radiation planning. MRI-guided biopsy also makes diagnosing prostate cancer more accurate.
Liver and Abdominal Cancer Visualization
MRI helps see liver and abdominal cancers, giving detailed images for diagnosis and staging. It’s great for checking major blood vessels and whether the tumor can be removed.
In summary, MRI’s role in cancer diagnosis and treatment is wide and growing. Its detailed images of cancers make it a powerful ally in the fight against cancer.
How MRI Supports Cancer Staging and Treatment Planning
MRI is key in cancer staging and treatment planning. It gives detailed images of tumors. This helps doctors know the tumor’s size, location, and spread. This info is vital for figuring out the cancer stage and the best treatment.
Tumor Size and Location Assessment
MRI accurately measures tumor size and location. These details are important for cancer staging. Doctors use this info to plan surgery or radiation therapy. Getting the tumor size right is key for staging and tracking treatment progress.
Determining Cancer Spread and Metastasis
MRI is great at spotting cancer spread to lymph nodes and distant organs. It helps stage the disease accurately. This guides treatment choices. For example, whole-body MRI can find metastases in different parts of the body.
| Cancer Stage | MRI Findings | Treatment Implications |
| Early Stage | Small, localized tumor | Surgery or localized radiation therapy |
| Advanced Stage | Tumor with lymph node involvement or metastasis | Systemic chemotherapy, targeted therapy, or combination treatments |
Informing Surgical and Treatment Approaches
MRI helps plan surgery by showing tumor boundaries and its relation to important structures. This info helps surgeons choose the best approach. It also guides radiation therapy by providing precise targets.
Using MRI for cancer staging and treatment planning leads to better treatment plans. It ensures treatments are targeted and strong enough. This improves patient outcomes by making treatments more effective.
Comparing MRI to Other Cancer Detection Methods
MRI is very good at finding cancer when compared to other imaging methods. We can see how MRI works best by looking at what other tools can do. This helps us understand MRI’s role in fighting cancer.
Tumor Detection: MRI vs. CT Scans
MRI and CT scans are both important for finding cancer. But they look at the body in different ways. CT scans use X-rays to see bones and denser tissues well. MRI, on the other hand, is great at showing soft tissues, like in the brain, spine, and pelvic area.
| Imaging Modality | Strengths | Limitations |
| MRI | Excellent soft tissue contrast, no radiation | Higher cost, longer scan time |
| CT Scan | Quick, detailed bone imaging, widely available | Radiation exposure, less effective for soft tissues |
A top radiologist says, “MRI’s ability to show soft tissues clearly without radiation is key in cancer care.”
“MRI has changed how we find and treat cancer, giving us detailed views of soft tissues.” –
MRI vs. PET Scans in Cancer Assessment
PET scans are great for seeing how tumors work. But MRI shows the body’s structure in detail. Often, doctors use both PET and MRI together for a full picture of tumors.
MRI and PETscans work well together in cancer care. MRI gives detailed body images, while PET shows how tumors function. This helps doctors make better treatment plans.
MRI vs. Ultrasound and X-ray Imaging
Ultrasound and X-ray are also used to find cancer. Ultrasound is good for organs like the liver and kidneys. X-rays are great for bones and lung checks. But, they’re not as good as MRI for soft tissues.
- MRI is better at showing soft tissues than ultrasound and X-ray.
- Ultrasound is portable and safe, making it good for some uses.
- X-rays are fast and good for bones and lungs but not soft tissues.
In summary, MRI is top-notch for soft tissue imaging in cancer detection. Knowing how MRI compares to other methods helps doctors choose the best tools for cancer care.
The Patient Experience During an MRI Cancer Screening
Getting an MRI for cancer screening can feel scary. But knowing what to expect can make it easier. We believe knowing what’s happening helps you feel more at ease.
What to Expect During the Procedure
You’ll lie on a table that slides into a big, round machine. The MRI scanner uses a strong magnetic field and radio waves to show detailed images inside your body. It’s usually painless, but you might feel a bit uncomfortable because you have to stay very quiet for a long time.
Key aspects of the procedure include:
- The MRI machine will make loud knocking or beeping noises during the scan, for which you may be provided earplugs or headphones.
- You will be able to communicate with the MRI technologist through an intercom system.
- The scan itself can take anywhere from 15 to 90 minutes, depending on the type of scan and the area of the body being examined.
Preparing for an MRI Cancer Scan
Getting ready is important for a good MRI cancer screening. Here’s how you can prepare:
Before the Scan:
- Remove any metal objects, including jewelry, glasses, and clothing with metal parts.
- Inform your doctor about any metal implants, such as pacemakers, artificial joints, or surgical clips.
- Some MRI scans require contrast dye; your doctor will advise if this is necessary and explain the process.
Managing Claustrophobia:
If you’re scared of tight spaces, there are ways to feel better. You can try:
- Using relaxation techniques, such as deep breathing or meditation.
- Having a friend or family member present during the scan.
- Considering an open MRI machine, which may be less confining.
| Preparation Step | Description |
| Remove Metal Objects | Take off jewelry, glasses, and clothing with metal parts to ensure safety and image quality. |
| Inform About Metal Implants | Tell your doctor about any metal implants to avoid possible risks. |
| Contrast Dye | Discuss with your doctor if contrast dye is needed and understand the process. |
Knowing what to expect and how to prepare can help you feel less anxious. Our goal is to support you every step of the way through this experience.
AI Integration in MRI Cancer Detection
The use of Artificial Intelligence (AI) in MRI technology is changing how we detect cancer. AI quickly and accurately analyzes complex data from MRI scans. This is a big change in how we interpret these scans.
AI is helping to find tumors better and know where they are. It looks at lots of data from MRI scans. This helps spot tumors that are hard to see.
AI-Assisted Tumor Detection and Localization
AI algorithms learn to spot the difference between tumor and normal tissue on MRI scans. They are trained on lots of images. This helps doctors find tumors more accurately and early.
- Improved detection rates in dense tissue
- Enhanced accuracy in identifying tumor boundaries
- Assistance in detecting tumors at early stages
In breast cancer, AI-assisted MRI is promising. It helps find tumors in dense breast tissue. AI can also look at different imaging types together to improve detection.
Enhanced Detection in Dense Tissue and Challenging Cases
Dense tissue and hard cases have always been tough for cancer detection. AI in MRI is helping solve these problems. It looks at tissue texture and characteristics to tell benign from malignant lesions.
AI also helps manage MRI scan data. It focuses on urgent cases. This makes radiology work more efficient. It also means patients with tumors get diagnosed and treated faster.
“The integration of AI in MRI cancer detection represents a significant advancement in our ability to diagnose and treat cancer effectively. By improving detection accuracy and streamlining diagnostic workflows, AI is set to play a key role in the future of cancer care.”
As we improve AI for MRI cancer detection, we’ll see better results and outcomes. Working together, AI and radiologists will unlock MRI’s full power in cancer diagnosis.
Cost-Effectiveness and Accessibility of MRI for Cancer Screening
Looking into MRI’s role in cancer screening, we must consider its cost. How affordable MRI is for cancer detection is key to its use as a screening tool.
MRI Before Biopsy: Economic Considerations
Using MRI before a biopsy can save money in some cases. It might cut down on unnecessary biopsies, making the process smoother. This method also lowers healthcare costs, reduces patient discomfort, and lowers risks.
A study showed that MRI-guided biopsy is cheaper than traditional methods. Here’s a quick look at the costs:
| Procedure | Average Cost | Complication Rate |
| Traditional Biopsy | $1,500 | 5% |
| MRI-Guided Biopsy | $1,200 | 2% |
Availability and Access to MRI Technology
Despite its benefits, MRI access is a big problem in many places. The number of MRI machines varies a lot in different countries and areas.
To fix this, healthcare systems are working hard to make MRI more available. They’re focusing on areas that need it most. Ways to do this include:
- Mobile MRI units that can go to remote places
- More funding for MRI facilities in areas that need them
- Telemedicine options for remote consultations and diagnoses
By making MRI more accessible and affordable, we can improve cancer detection and treatment. As MRI’s role in cancer screening grows, tackling these challenges is vital for better patient care.
Limitations and Challenges of MRI in Cancer Detection
While MRI technology has changed how we detect cancer, it has its limits. Knowing these challenges helps us understand MRI results better. This knowledge is key to making good decisions for patient care.
False Positives and Negatives
One big challenge with MRI is getting false positives and negatives. False positives can cause unnecessary worry and more tests. False negatives can lead to late diagnosis and treatment.
False positives can be caused by inflammation, benign growths, or imaging errors. False negatives might happen if tumors are small or hard to see, like in some bowel areas.
| Challenge | Description | Potential Impact |
| False Positives | Benign conditions or artifacts mistaken for tumors | Unnecessary anxiety, additional testing |
| False Negatives | Tumors missed due to small size or difficult location | Delayed diagnosis, treatment |
Patient-Related Limitations
Some patient factors can affect MRI’s success in cancer detection. Claustrophobia can make it hard for patients to stay in the MRI machine. Also, people with metal implants or pacemakers might not be able to have MRI scans because of safety reasons.
Technical and Interpretation Challenges
Technical issues, like image quality and reducing artifacts, can impact MRI accuracy. Also, reading MRI results needs skilled radiologists. They must be able to tell different types of lesions apart and understand MRI’s subtleties.
The complexity of MRI and the need for expert interpretation show why radiology training and quality control are so important.
By understanding and tackling these challenges, we can make MRI better for cancer detection. This will help improve patient care and outcomes.
Conclusion: The Future of MRI in Cancer Detection and Management
MRI technology is key in finding and managing cancer. It’s important to know if MRI can spot cancer. The answer is yes, MRI is a strong ally in the battle against cancer.
New MRI tech, like AI, makes it better at finding tumors and seeing how cancer spreads. Studies show MRI can find tumors early. How well MRI finds tumors depends on the cancer type and where it is.
Research keeps making MRI better at spotting cancer. This means MRI will keep being a big part of finding and treating cancer. The future of MRI in cancer care looks bright, with more ways to detect and manage it.
MRI is great at showing detailed images of soft tissues. This makes it excellent for finding tumors in hard-to-reach places. As tech and AI improve, MRI’s role in cancer care will grow. We’re sure MRI will keep being a key tool in fighting cancer, leading to better patient care and more lives saved.
FAQ
Does MRI detect cancer effectively?
Yes, MRI is very good at finding cancer, mainly in soft tissues. It makes detailed images that help spot tumors and tell if they are cancerous.
Can MRI detect tumors in asymptomatic individuals?
Yes, MRI can find tumors in people who don’t show symptoms. This makes it great for catching cancer early. Early detection can lead to better treatment and outcomes.
How does MRI differentiate between benign and malignant tumors?
MRI tells the difference between benign and malignant tumors by looking at size, shape, and how they react to contrast. Radiologists use this info to make accurate diagnoses.
What types of MRI scans are used for cancer detection?
There are many MRI scans for finding cancer, like standard MRI and contrast-enhanced MRI. The right one depends on the cancer type and what’s needed.
Is MRI better than other imaging techniques for cancer detection?
MRI is better for soft tissue imaging than some other methods. But, the best imaging method varies by cancer type and patient needs. MRI is often used with others for a full check.
How does AI enhance MRI cancer detection?
AI helps MRI find tumors better, even in tough cases. It helps radiologists understand images, making diagnoses more accurate and reducing mistakes.
What are the limitations of MRI in cancer detection?
MRI can have false positives and negatives. It’s also affected by patient factors like claustrophobia and technical issues. Knowing these limits helps in understanding MRI results.
How does MRI contribute to cancer staging and treatment planning?
MRI gives detailed info on tumor size, location, and spread. This is key for cancer staging and planning treatments. It helps doctors choose the best approach for patients.
Can MRI be used for cancer screening in the general population?
MRI is useful for finding cancer, but it’s not for everyone. Cost, access, and focusing on high-risk groups limit its use for screening everyone.
What can patients expect during an MRI cancer screening?
Patients will go through a prep process, like removing metal and possibly getting contrast. They’ll need to stay very quiet in the MRI machine. This can be hard for some due to claustrophobia.
Will an MRI show cancer?
MRI is very good at finding cancer, but it’s not perfect. Its success depends on the cancer type, tumor details, and the radiologist’s skill.
Can an MRI detect cancer before symptoms appear?
Yes, MRI can find cancer before symptoms show up. This is very helpful for early detection and better treatment chances.
How does MRI compare to CT scans in cancer detection?
MRI is better for soft tissue, while CT scans are better for some areas like the lungs. The choice depends on the cancer and the situation.
Can MRI detect metastasis?
Yes, MRI can find metastasis, thanks to whole-body MRI. This is important for knowing how far cancer has spread, which helps in staging.
References
- Carll, J., et al. (2025). Guideline of guidelines: PSMA PET in staging newly diagnosed intermediate-risk prostate cancer. BJU International.https://pubmed.ncbi.nlm.nih.gov/40704877/
- Jochumsen, M. R., et al. (2024). PSMA PET/CT for primary staging of prostate cancer: A systematic review and meta-analysis. European Urology, 85(3), 245“256.https://www.sciencedirect.com/science/article/pii/S0001299823000557
- Islam, R., et al. (2025). The role of PSMA PET imaging in prostate cancer. Current Oncology Reports, 27(6), 45.https://pmc.ncbi.nlm.nih.gov/articles/PMC12126340/