Endocrinology focuses on hormonal system and metabolic health. Learn about the diagnosis and treatment of diabetes, thyroid disorders, and adrenal conditions.

We're Here to Help.
Get in Touch.

Send us all your questions or requests, and our expert team will assist you.

Doctors

Symptoms and Hormonal

image 7 42 LIV Hospital

The clinical presentation of pituitary tumors is remarkably diverse, ranging from subtle hormonal changes to dramatic neurological deficits. This diversity stems from the dual nature of the pathology: the physical presence of the mass and the potential for hormonal dysregulation. Patients may endure symptoms for years before a diagnosis is reached, as the manifestations often mimic other common conditions. Recognizing the signs of pituitary tumors involves identifying both the mass effects caused by the tumor’s size and the systemic effects caused by hormone excess or deficiency. The symptoms are rarely uniform; they depend heavily on the specific cell type involved and the direction of tumor growth. This section details the myriad ways a pituitary tumor can impact the body, exploring the spectrum from visual disturbances to metabolic syndromes, providing a comprehensive guide to the warning signs that necessitate medical attention.

Icon LIV Hospital

Mass Effect and Neurological Manifestations

image 8 48 LIV Hospital

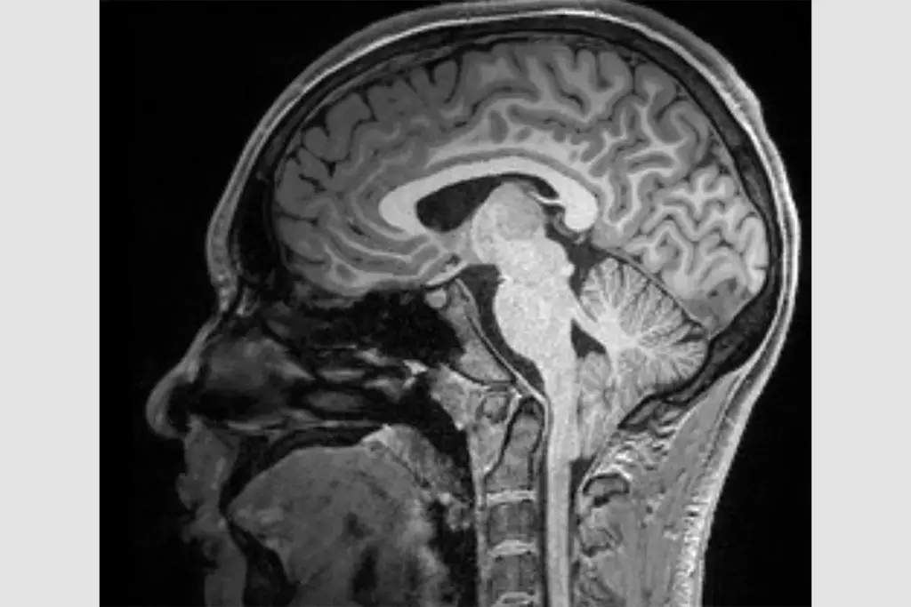
As a pituitary tumor expands within the confined space of the sella turcica, it inevitably encounters surrounding anatomical structures. The pressure exerted by the tumor on these structures is referred to as mass effect. This is the primary mechanism of symptoms for non-functional macroadenomas. The headache associated with pituitary tumors is often non-specific but persistent, resulting from the stretching of the dural lining of the sella. Unlike migraines, these headaches may not respond well to standard analgesics and can be located in the frontal or retro-orbital regions. As the tumor grows upward, it impinges on the optic chiasm, and lateral growth can affect the cavernous sinuses, leading to a distinct set of neurological signs that serve as critical red flags for clinicians.

Icon 1 LIV Hospital

The Scope of Endocrine Disorders

ENDOCRINOLOGY

Endocrine diseases generally fall into two categories: a gland producing too much hormone (hypersecretion) or too little hormone (hyposecretion). Additionally, tumors (benign or malignant) can develop in these glands.

Visual Field Deficits

The most classic sign of a large pituitary tumor is visual loss, specifically bitemporal hemianopsia. This condition involves the loss of peripheral vision in both eyes, creating a tunnel vision effect. It occurs because the crossing fibers of the optic nerve, which carry information from the temporal visual fields, are compressed by the tumor pushing upward from the sella. Patients may not notice this loss initially, often bumping into door frames or having difficulty driving. In severe cases, visual acuity itself can diminish, leading to blindness if the pressure is not relieved. Prompt surgical decompression can often restore vision, highlighting the urgency of recognizing this symptom.

Cranial Nerve Compression

When a tumor extends laterally into the cavernous sinus, it can compress the cranial nerves responsible for eye movement. This can lead to diplopia, or double vision, as the muscles controlling the eyes become paralyzed or weakened. Ptosis, or drooping of the eyelid, may also occur due to third nerve palsy. Numbness or pain in the face can result from compression of the trigeminal nerve. These symptoms indicate an invasive tumor and complicate the surgical approach. The onset of these cranial nerve palsies can be gradual or sudden, the latter sometimes indicating pituitary apoplexy, a medical emergency caused by bleeding into the tumor.

Prolactinoma Associated Clinical Signs

image 9 48 LIV Hospital

Prolactinomas are the most frequently diagnosed secreting pituitary tumors. The excess prolactin interferes with the normal function of the gonads, leading to hypogonadism. in women, this typically manifests as amenorrhea or oligomenorrhea, which is the absence or irregularity of menstrual periods. Galactorrhea, the spontaneous flow of milk from the breast unassociated with childbirth or nursing, is another hallmark symptom. In men, the symptoms can be more subtle and are often attributed to aging or stress. They may experience decreased libido, erectile dysfunction, and rarely, gynecomastia. Because the symptoms in men are less specific, prolactinomas in males are often diagnosed at a later stage when they have become large macroadenomas causing mass effect symptoms.

    • Irregular or absent menstrual cycles in premenopausal women.
    • Unexpected breast milk production in men or non-nursing women.
    • Loss of sexual desire and potency in men.
    • Infertility due to the suppression of ovulation or sperm production.
    • Bone density loss resulting from long-term estrogen or testosterone deficiency.

Acromegaly and Growth Hormone Excess

Acromegaly is a rare but distinctive syndrome caused by the overproduction of growth hormone, usually from a pituitary adenoma. The onset is insidious, and the physical changes occur so gradually that patients and their families may not notice them for years. The term acromegaly refers to the enlargement of the extremities. In children whose growth plates have not yet fused, excess growth hormone leads to gigantism, characterized by extreme height. In adults, the bones thicken rather than lengthen, leading to a wide range of systemic complications that affect cardiovascular, respiratory, and metabolic health.

Skeletal and Soft Tissue Changes

Patients with acromegaly often report an increase in shoe or ring size due to the enlargement of hands and feet. The facial features become coarsened, with a prominent forehead, enlarged nose, and a protruding jaw, a condition known as prognathism. The spacing between teeth may widen, and the tongue can enlarge, causing sleep apnea and difficulty speaking. Soft tissue swelling is common, leading to carpal tunnel syndrome as nerves are compressed in the wrists. Joint pain and arthritis are prevalent due to the abnormal growth of cartilage and bone, significantly impacting mobility and quality of life.

Metabolic Complications

Beyond the physical appearance, growth hormone excess exerts profound metabolic effects. It induces insulin resistance, often leading to type 2 diabetes mellitus or impaired glucose tolerance. Hypertension and cardiomyopathy are frequent cardiovascular complications that contribute to increased mortality if the disease is left untreated. Patients may also experience excessive sweating and oily skin. The visceral organs, including the heart, liver, and kidneys, may enlarge, a condition called organomegaly. Early diagnosis and control of growth hormone levels are essential to reverse or arrest these metabolic and cardiovascular comorbidities.

Cushing’s Disease and Cortisol Overproduction

image 10 52 LIV Hospital

Cushing’s disease results from a pituitary tumor secreting adrenocorticotropic hormone, which in turn stimulates the adrenal glands to produce excessive cortisol. Cortisol is a stress hormone, and its chronic elevation wreaks havoc on multiple body systems. The physical phenotype is characteristic, featuring central obesity with thin arms and legs, a rounded facial appearance often described as moon face, and a fatty deposit between the shoulders known as a buffalo hump. The skin becomes thin and fragile, bruising easily, and develops wide purple stretch marks, or striae, particularly on the abdomen.

  • Rapid and unexplained weight gain, particularly in the trunk and face.
  • Severe fatigue and muscle weakness, especially in the proximal muscles.
  • High blood pressure and development of hard-to-control diabetes.
  • Psychological changes including anxiety, depression, and irritability.
  • Hirsutism and acne in women due to androgen excess.

Thyrotropin and Gonadotropin Disturbances

Tumors secreting thyroid-stimulating hormone are rare but lead to secondary hyperthyroidism. Patients present with symptoms of an overactive thyroid, such as palpitations, weight loss, heat intolerance, and tremors, but unlike primary thyroid disease, the thyroid-stimulating hormone level is elevated rather than suppressed. Gonadotropin-secreting tumors are often technically non-functional in terms of a clinical syndrome but can produce high levels of follicle-stimulating hormone or luteinizing hormone. While they rarely cause a specific hormone excess syndrome, they can disrupt the normal feedback loops, leading to reproductive issues. In many cases, these tumors are clinically silent regarding hormone output and are diagnosed due to mass effect.

Hypopituitarism and Hormonal Deficiencies

Ironically, a pituitary tumor can cause hormone deficiencies even while secreting excess of another. This condition, hypopituitarism, occurs when the tumor compresses the normal pituitary tissue, preventing it from producing adequate hormones. This can lead to secondary adrenal insufficiency, characterized by fatigue, low blood pressure, and risk of adrenal crisis. Secondary hypothyroidism causes weight gain, cold intolerance, and sluggishness. Growth hormone deficiency in adults manifests as reduced muscle mass, increased fat, and poor quality of life. The loss of normal pituitary function is a critical component of the clinical picture and requires lifelong hormone replacement therapy.

30 Years of
Excellence

Trusted Worldwide

With patients from across the globe, we bring over three decades of medical

Book a Free Certified Online
Doctor Consultation

Clinics/branches
Prof. MD. Demet Yetkin Prof. MD. Demet Yetkin Endocrinology
Group 346 LIV Hospital

Reviews from 9,651

4,9

Was this article helpful?

Was this article helpful?

We're Here to Help.
Get in Touch.

Send us all your questions or requests, and our expert team will assist you.

Doctors

FREQUENTLY ASKED QUESTIONS

What are the first signs of a pituitary tumor?

Common early signs include unexplained headaches, vision changes like tunnel vision, and irregular menstrual cycles or sexual dysfunction. Fatigue and unexplained weight changes are also frequent early indicators.

Yes, particularly if the tumor causes Cushing’s disease or hypothyroidism. The weight gain in Cushing’s is typically centered around the stomach and face.

Yes, hormonal imbalances like excess cortisol can cause severe anxiety and depression. Additionally, the stress of a chronic illness and potential brain fog can impact mental well-being.

The pituitary gland sits directly beneath the optic chiasm, where the optic nerves cross. Large tumors push upward, compressing these nerves and causing loss of peripheral vision.

Yes, especially with prolactinomas. Women often experience menstrual changes and milk discharge, while men may experience erectile dysfunction and loss of libido, which are often less immediately recognized.

Spine Hospital of Louisiana

Let's Talk About Your Health

BUT WAIT, THERE'S MORE...

Leave your phone number and our medical team will call you back to discuss your healthcare needs and answer all your questions.

Let's Talk About Your Health

How helpful was it?

helpful
helpful
helpful
Your Comparison List (you must select at least 2 packages)