
Understanding Small Vessel Vasculitis
Small vessel vasculitis is a serious condition that affects the smallest blood vessels in our bodies. It includes many types of vasculitides, which cause inflammation. This inflammation can disrupt blood flow and lead to tissue damage and organ problems.
At Liv Hospital, we use the latest diagnostic methods and treatments to find out what type of vasculitis a patient has. Our team of experts works together to give each patient the best care possible.
Key Takeaways
- Small vessel vasculitis affects capillaries and venules, leading to possible organ damage.
- There are 5 main types of small vessel vasculitis, each with its own symptoms.
- Quick diagnosis is key for effective treatment.
- We use advanced tests to figure out the exact type of vasculitis.
- Our team at Liv Hospital offers complete care for each patient.
What Is Small Vessel Vasculitis?

Small vessel vasculitis is a group of diseases that cause inflammation in the small blood vessels. This can damage organs and tissues because of reduced blood flow.
Definition and Pathophysiology
Small vessel vasculitis is when the blood vessel walls get inflamed. This can make the vessels thicker and narrower. The inflammation can block blood flow, causing organ damage.
The exact cause of small vessel vasculitis is often unknown. It’s thought to be a mix of genetic and environmental factors. In some cases, it’s linked to anti-neutrophil cytoplasmic antibodies (ANCA).
Impact on Blood Vessels and Tissues
The inflammation from small vessel vasculitis can seriously harm blood vessels and tissues. This damage can show up in different ways, like:
- Petechiae, which are small spots on the skin from capillary bleeding.
- Purpura, purple spots on the skin from bleeding under the skin.
- Organ dysfunction, depending on which blood vessels are affected.
A medical expert says, “The impact of small vessel vasculitis on the body can be widespread. It affects not just the skin but also vital organs like the kidneys and lungs.”
Prevalence and Demographics
Small vessel vasculitis can happen to anyone, but some types are more common in certain age groups. For example, Henoch-Schönlein purpura is more common in children. Microscopic polyangiitis, on the other hand, is more common in older adults.
The prevalence of small vessel vasculitis varies by type and population. It’s considered rare, but its exact prevalence is hard to determine. This is because of differences in diagnostic criteria and reporting.
Common Symptoms of Small Vessel Vasculitis

Knowing the symptoms of small vessel vasculitis is key for early treatment. This condition can show up in many ways, affecting different parts of the body.
Cutaneous Manifestations
The main sign of small vessel vasculitis is palpable purpura. This is purple spots that don’t fade when pressed, usually on the legs. These spots are often joined by petechiae, tiny spots under 3 mm.
A doctor notes, “Seeing palpable purpura is a big clue for small vessel vasculitis, when other symptoms are present too.”
These skin signs can be painful and show that something is wrong. If they don’t go away or get worse, see a doctor.
Systemic Symptoms
People with small vessel vasculitis may also have symptoms that affect the whole body. These include:
- Fever
- Fatigue
- Weight loss
- Malaise
These signs show the disease is affecting more than just the skin. A full check-up is needed.
“Systemic symptoms in small vessel vasculitis can mimic other conditions, making diagnosis challenging. A high index of suspicion is required to diagnose this condition accurately.” – Medical Expert
Organ-Specific Manifestations
Small vessel vasculitis can also affect organs, leading to specific symptoms. For example:
- Renal involvement may present with hematuria or proteinuria.
- Pulmonary involvement can manifest as cough, dyspnea, or hemoptysis.
- Gastrointestinal involvement may cause abdominal pain, nausea, or vomiting.
Knowing these symptoms is important for managing the condition well and avoiding damage.
In summary, small vessel vasculitis has many symptoms that can affect different parts of the body. Spotting these signs early is key for proper treatment.
Classification of Small Vessel Vasculitides
It’s important to understand the different types of small vessel vasculitides. This knowledge helps doctors diagnose and treat these conditions better. These disorders cause inflammation in the blood vessels.
ANCA-Associated Vasculitis
ANCA-associated vasculitis (AAV) is a type of small vessel vasculitis. It’s marked by the presence of anti-neutrophil cytoplasmic antibodies (ANCA). AAV includes microscopic polyangiitis (MPA), granulomatosis with polyangiitis (GPA), and eosinophilic granulomatosis with polyangiitis (EGPA). These diseases can harm many organs, like the kidneys and lungs.
Key Features of ANCA-Associated Vasculitis:
- Presence of ANCA in the blood
- Inflammation of small blood vessels
- Multi-organ involvement, mainly in the kidneys and lungs
Immune Complex-Mediated Vasculitis
Immune complex-mediated vasculitis is another type of small vessel vasculitis. It’s caused by immune complexes in the blood vessels. Henoch-Schönlein purpura (HSP) and cryoglobulinemic vasculitis are examples. These conditions damage the blood vessels due to immune complexes.
|
Disease |
Key Characteristics |
|---|---|
|
Henoch-Schönlein Purpura (HSP) |
Presence of IgA immune complexes, purpura, arthritis, abdominal pain, and renal involvement |
|
Cryoglobulinemic Vasculitis |
Cryoglobulins in the blood, vasculitis, and often associated with hepatitis C infection |
Other Classification Systems
There are other ways to classify small vessel vasculitides. These include looking at the size of the vessels, the presence of granulomas, and which organs are affected. Knowing these different systems is key to diagnosing and treating these diseases well.
“The classification of vasculitides is complex and evolving, reflecting our increasing understanding of these diseases. A nuanced approach to classification is essential for optimal patient care.” –
A respected medical authority
Microscopic Polyangiitis (MPA)
Microscopic polyangiitis is a type of vasculitis linked to ANCA. It poses unique challenges in treatment. We will look at its clinical features, how it affects organs like the kidneys and lungs, and how to diagnose and treat it.
Distinctive Clinical Features
MPA causes inflammation in small blood vessels. This leads to symptoms like fever, weight loss, and fatigue. It often harms the kidneys and lungs, which can be serious if not treated quickly.
The symptoms can vary. But, they often include hematuria and proteinuria from kidney issues, or hemoptysis from lung problems.
Kidney and Lung Involvement
The kidneys are often hit hard by MPA, leading to rapidly progressive glomerulonephritis. This can cause severe kidney damage if not treated aggressively. Lung problems are also common, with alveolar hemorrhage being a serious issue.
Diagnostic Criteria
Diagnosing MPA involves clinical checks, lab tests, and sometimes biopsies. The presence of anti-neutrophil cytoplasmic antibodies (ANCA), like anti-myeloperoxidase (MPO-ANCA), is key. Imaging and tissue exams are also important.
Treatment Approaches
MPA treatment often includes immunosuppressive therapy to fight inflammation and protect organs. This might include corticosteroids and other drugs. In severe cases, plasma exchange might be used to remove harmful antibodies.
Managing MPA well needs a team effort from many specialists. By knowing the symptoms and using the right treatments, we can help patients with this tough condition.
Granulomatosis with Polyangiitis (GPA)
GPA causes inflammation in blood vessels, harming organs like the lungs and kidneys. It’s a type of ANCA-associated vasculitis. This means ANCA antibodies are key in diagnosing and understanding the disease.
Upper and Lower Respiratory Tract Symptoms
Respiratory symptoms are common in GPA. These include chronic sinusitis, nasal ulcers, and damage to the nasal septum. Patients may also cough, spit up blood, and have trouble breathing.
These symptoms can make everyday life hard, causing pain and breathing issues.
Renal Manifestations
Kidney problems are a big concern with GPA. Symptoms include hematuria and proteinuria. If not treated, it can lead to rapidly progressive glomerulonephritis and kidney failure.
It’s important to keep an eye on kidney health to manage GPA.
Diagnostic Workup
Diagnosing GPA involves several steps. ANCA testing is key, showing c-ANCA or PR3-ANCA is specific to GPA. Chest X-rays and CT scans help see how much the lungs are affected.
Treatment Options
Treatment for GPA includes immunosuppressive therapy to get the disease under control. Cyclophosphamide and rituximab are used to start treatment. Azathioprine and methotrexate help keep it from coming back.
The right treatment depends on how severe the disease is and the patient’s health.
Eosinophilic Granulomatosis with Polyangiitis (EGPA)
To understand EGPA, we need to know how it works and what symptoms it causes. Eosinophilic granulomatosis with polyangiitis (EGPA) is a rare disease. It combines asthma, high eosinophil counts, and blood vessel damage.
Asthma and Eosinophilia Connection
Asthma is a key part of EGPA, often starting years before the disease is diagnosed. Eosinophilia, or high eosinophil counts, also plays a big role. The exact link between asthma, eosinophilia, and blood vessel damage is not fully known. But, it’s thought that eosinophils help cause the inflammation and damage.
Cardiac and Neurological Involvement
EGPA can affect the heart, leading to problems like myocarditis and heart failure. It can also damage nerves, causing issues like peripheral neuropathy. These problems highlight the need for early treatment.
Three Clinical Phases
EGPA goes through three main stages:
- The prodromal phase, where asthma and allergic rhinitis are common.
- The eosinophilic phase, with high eosinophil counts and organ damage.
- The vasculitic phase, where blood vessel damage becomes clear.
Knowing these stages helps doctors diagnose and treat EGPA better.
Diagnostic Approaches
Diagnosing EGPA requires a mix of clinical checks, lab tests, and sometimes biopsies. Key signs include:
- A history of asthma.
- Eosinophilia.
- Damage to blood vessels in at least two organs.
Tests like ANCA, complete blood counts, and inflammatory markers are key. Imaging and biopsies help confirm the diagnosis and see how much damage there is.
|
Diagnostic Criteria |
Clinical Features |
Laboratory/Imaging Findings |
|---|---|---|
|
Asthma |
Respiratory symptoms |
Pulmonary function tests |
|
Eosinophilia |
Multi-organ involvement |
Elevated eosinophil count |
|
Vasculitis |
Systemic symptoms |
ANCA positivity, biopsy findings |
Henoch-Schönlein Purpura (HSP)
Henoch-Schönlein purpura is a type of small vessel vasculitis. It affects blood vessels, leading to various symptoms. It’s more common in children but can also happen in adults.
Pediatric vs. Adult Presentation
HSP mostly affects kids, with most cases under 10 years old. But it can also hit adults, who often face more severe symptoms. Adults tend to have more kidney problems.
Classic Tetrad of Symptoms
The condition is known for a tetrad of symptoms: purpura, arthritis, abdominal pain, and kidney issues. The purpura shows up on legs and buttocks. Arthritis and stomach pain are common, and can lead to serious problems like intussusception.
Gastrointestinal and Renal Complications
Stomach problems include pain, nausea, vomiting, and bleeding. Kidney issues range from mild to severe, leading to chronic kidney disease. It’s important to watch for kidney problems in HSP.
Diagnostic Methods
Diagnosis is based on symptoms and biopsy showing IgA deposits. IgA immune complexes are key in HSP. Tests like blood counts, urinalysis, and serum creatinine help assess organ damage and guide treatment.
Cryoglobulinemic Vasculitis
Cryoglobulinemic vasculitis is a unique challenge in the world of vasculitides. It’s linked to infections and autoimmune diseases. This condition is caused by proteins called cryoglobulins that form in cold temperatures. These proteins can cause inflammation in blood vessels.
Association with Hepatitis C
A strong link exists between cryoglobulinemic vasculitis and hepatitis C virus (HCV) infection. Most patients with this condition have chronic HCV infection. The presence of HCV RNA and proteins in cryoglobulins supports this connection.
“The link between hepatitis C and cryoglobulinemic vasculitis is well-established,” experts say. They stress the importance of screening for HCV in patients with this vasculitis.
Clinical Manifestations
The symptoms of cryoglobulinemic vasculitis vary widely. They can range from mild symptoms like purpura and arthralgias to severe complications like glomerulonephritis and neuropathy. This condition can affect many parts of the body, making a detailed clinical evaluation essential for diagnosis.
Common symptoms include:
- Purpura
- Arthralgias
- Weakness
- Renal involvement
- Neuropathy
Diagnostic Criteria
Diagnosing cryoglobulinemic vasculitis requires a combination of clinical evaluation, laboratory tests, and sometimes biopsy. The presence of cryoglobulins in the blood, along with symptoms consistent with vasculitis, is key. Other diagnostic criteria include:
- Detection of cryoglobulins
- Low complement levels
- Rheumatoid factor positivity
- Biopsy showing vasculitis
Treatment Strategies
Treatment for cryoglobulinemic vasculitis aims to reduce inflammation, manage symptoms, and address the underlying cause, such as HCV infection. Therapeutic approaches may include:
- Antiviral therapy for HCV
- Immunosuppressive therapy
- Plasmapheresis in severe cases
Early diagnosis and appropriate treatment are key to managing cryoglobulinemic vasculitis and preventing long-term complications.
Laboratory Tests for Diagnosing Small Vessel Vasculitis
Laboratory tests are key in diagnosing and managing small vessel vasculitis. They help us understand how severe the disease is, which organs are affected, and how well treatment is working.
ANCA Testing and Interpretation
Anti-neutrophil cytoplasmic antibodies (ANCA) testing is vital for diagnosing small vessel vasculitis. This is true for diseases like Granulomatosis with Polyangiitis (GPA) and Microscopic Polyangiitis (MPA). ANCA tests look for antibodies against certain parts of neutrophils.
When we get ANCA test results, we must think about the patient’s symptoms and other lab findings. A positive test, with high levels of antibodies, helps confirm ANCA-associated vasculitis.
Complement Levels
Complement levels are also important in evaluating small vessel vasculitis. We check these levels to see if the immune system is overactive. This is important for diseases like Cryoglobulinemic Vasculitis.
Low complement levels suggest active disease and immune complex buildup. This helps us pinpoint the diagnosis and choose the right treatment.
Inflammatory Markers
Inflammatory markers like erythrocyte sedimentation rate (ESR) and C-reactive protein (CRP) show how much inflammation there is. High levels often mean the disease is active.
We keep an eye on these markers to see how well treatment is working. This helps us catch any signs of relapse early.
Other Serological Tests
Other tests are used in diagnosing small vessel vasculitis too. These include tests for cryoglobulins, hepatitis B and C, and other autoantibodies.
These tests help us find out what’s causing the vasculitis. They guide us to the right treatment for the patient.
Imaging and Biopsy in Small Vessel Vasculitis
Diagnosing small vessel vasculitis requires a mix of clinical checks, imaging, and tissue tests. These steps are key to pinpointing the condition and shaping treatment plans.
Radiological Investigations
Imaging tests are essential for seeing how far the disease has spread. Chest X-rays, CT scans, and MRI scans help spot issues in organs like the lungs, kidneys, and skin.
Table: Common Radiological Findings in Small Vessel Vasculitis
|
Imaging Modality |
Common Findings |
|---|---|
|
Chest X-ray |
Nodules, infiltrates, or cavitations in the lungs |
|
CT Scan |
Ground-glass opacities, nodules, or aneurysms in various organs |
|
MRI |
Inflammation or damage in blood vessels and surrounding tissues |
Tissue Biopsy Techniques
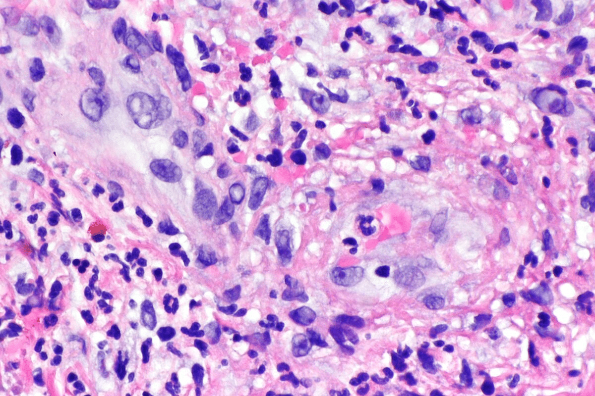
Biopsy is a key test for small vessel vasculitis. Samples are taken from affected areas like the skin, kidneys, or lungs. The biopsy method depends on where the disease is and how it presents.
Histopathological Findings
Looking at biopsy samples under a microscope shows signs of vasculitis. These include inflammation, damage, and sometimes granulomas. These signs help confirm the diagnosis and pinpoint the type of vasculitis.
When Biopsy Is Necessary
Biopsy is needed when the diagnosis is unclear or the symptoms are unusual. It’s also key for tracking how the disease is doing and how well it’s responding to treatment. Sometimes, it’s used to rule out other diseases that might look like vasculitis.
In summary, imaging and biopsy are vital for diagnosing and managing small vessel vasculitis. By using these methods together, doctors can accurately diagnose and treat the condition, leading to better outcomes for patients.
Differential Diagnosis and Challenges
Small vessel vasculitis is hard to diagnose. It needs a deep understanding of its symptoms and other diseases it can look like. This makes it tricky to figure out.
Conditions That Mimic Small Vessel Vasculitis
Many conditions can look like small vessel vasculitis. This makes it key to know the difference. These include:
- Infectious diseases that cause vasculitis-like symptoms
- Autoimmune disorders with vascular involvement
- Drug-induced vasculitis
- Malignancies that present with vasculitic features
A recent study said, “The differential diagnosis of small vessel vasculitis is broad and requires a thorough clinical evaluation.”
“Accurate diagnosis is critical to ensure appropriate treatment and prevent unnecessary complications.”
Diagnostic Pitfalls
There are common mistakes in diagnosing small vessel vasculitis. These include:
- Relying solely on clinical presentation without confirmatory tests
- Misinterpreting laboratory results
- Overlooking the patient’s medical history and possible triggers
It’s vital to use a detailed approach for diagnosis. This means looking at clinical findings, lab tests, and imaging to confirm the diagnosis.
When to Refer to a Specialist
It’s wise to refer to a specialist when:
- The diagnosis is unclear or hard
- The patient has severe or complex disease
- Specialized treatment is needed
We stress the need for teamwork among healthcare providers. By tackling the challenges of diagnosing small vessel vasculitis, we can better care for our patients.
Conclusion: Navigating the Diagnosis and Management of Small Vessel Vasculitis
Diagnosing and managing small vessel vasculitis needs a detailed approach. This includes lab tests, imaging, and biopsies. We’ve looked at the different types, like ANCA-associated vasculitis and immune complex-mediated vasculitis. We’ve also talked about their unique signs and how to diagnose them.
A complete vasculitis workup is key to finding the cause of blood vessel inflammation. This includes tests for ANCA, complement levels, and inflammatory markers. Imaging and biopsies are also important. They help show how much damage there is to blood vessels.
Understanding small vessel vasculitis is complex. But with a team effort in diagnosis and treatment, we can help patients better. This way, we can give them the care they need and improve their outcomes.
FAQ
What is small vessel vasculitis?
Small vessel vasculitis is a condition where the smallest blood vessels in the body get inflamed. This includes capillaries and venules. It can damage the vessels and the tissues around them.
What are the common symptoms of small vessel vasculitis?
Symptoms include skin issues like palpable purpura and petechiae. You might also feel fever, fatigue, and have organ-specific symptoms.
What are the different types of small vessel vasculitis?
There are several types. These include ANCA-associated vasculitis, immune complex-mediated vasculitis, microscopic polyangiitis, and granulomatosis with polyangiitis. Others are eosinophilic granulomatosis with polyangiitis, Henoch-Schönlein purpura, and cryoglobulinemic vasculitis.
What is ANCA-associated vasculitis?
ANCA-associated vasculitis is a type of small vessel vasculitis. It’s marked by the presence of anti-neutrophil cytoplasmic antibodies (ANCA). It includes microscopic polyangiitis, granulomatosis with polyangiitis, and eosinophilic granulomatosis with polyangiitis.
How is small vessel vasculitis diagnosed?
Diagnosis involves several steps. It includes ANCA testing, checking complement levels, and looking at inflammatory markers. Imaging studies and tissue biopsy are also used.
What is the role of biopsy in diagnosing small vessel vasculitis?
Biopsy is key in diagnosing vasculitis. It helps confirm the condition and identify the specific type.
What are the treatment options for small vessel vasculitis?
Treatment varies based on the type and severity. It may include immunosuppressive medications, corticosteroids, and other therapies. These aim to reduce inflammation and prevent organ damage.
Can small vessel vasculitis be cured?
Some forms can be managed well with treatment. Others may need ongoing care to prevent relapse and organ damage.
What are the possible complications of small vessel vasculitis?
Complications include organ damage, like to the kidneys and lungs. Systemic symptoms and a lower quality of life can also occur if not treated properly.
How does cryoglobulinemic vasculitis relate to hepatitis C infection?
Cryoglobulinemic vasculitis often links to hepatitis C infection. Treating the infection is key in managing the condition.
What is the significance of petechiae in small vessel vasculitis?
Petechiae are small areas of bleeding in the skin. They are a common sign of small vessel vasculitis, caused by inflammation of the blood vessels.
Are there any specific diagnostic criteria for the different types of small vessel vasculitis?
Yes, each type has its own criteria. These include clinical features, laboratory findings, and histopathological characteristics.
References
National Center for Biotechnology Information. Evidence-Based Medical Guidance. Retrieved from https://pubmed.ncbi.nlm.nih.gov/23045170/