
Brain vasculitis, also known as cerebral vasculitis, is a serious autoimmune condition. It happens when the immune system attacks blood vessels in the brain and spinal cord. This causes inflammation vasculitis and the brain.
This inflammation can lead to stroke and permanent brain damage. At Liv Hospital, our expert neurologists and teams work hard to diagnose and treat this condition.
It’s important to know the key symptoms of brain vasculitis for early diagnosis and treatment. Quick action can prevent disability and save lives.

Brain vasculitis is a condition where the blood vessels in the brain get inflamed. This can make the blood vessel walls thicker. It might even lead to a stroke. We’ll look into what brain vasculitis is, how common it is, and who might get it.
Brain vasculitis, or central nervous system vasculitis, is when the immune system attacks the brain’s blood vessels. This leads to inflammation and damage. It can cause symptoms like headaches and problems with the nervous system. The inflammation makes the blood vessels swell, which can block oxygen and nutrients from reaching the brain.
Brain vasculitis is rare, affecting less than three people per million. It’s hard to diagnose and treat because its symptoms are similar to other conditions. Even though it’s rare, knowing about it is key to managing it well.
Anyone can get brain vasculitis, but some people are more likely. This includes those with a family history, certain environmental factors, or other health conditions. Studies show it might be linked to other autoimmune diseases. So, it’s important to watch and manage related health issues.
“Vasculitis is a complex condition that requires a thorough approach to diagnosis and treatment.”

Vasculitis in the brain causes inflammation in blood vessels. This is a serious condition that can harm the brain. We will look into how it affects the brain, including its types and how it relates to autoimmune diseases.
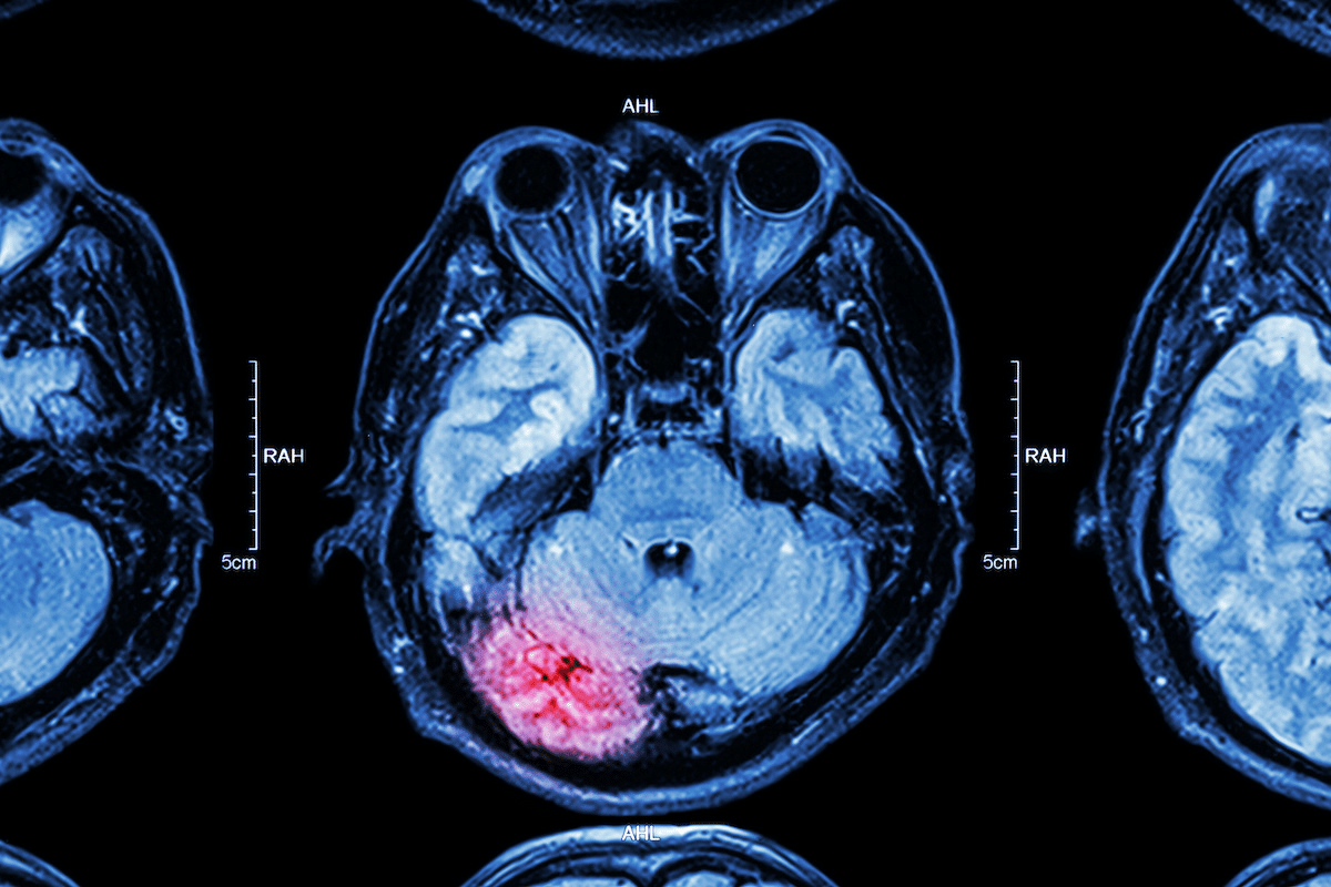
Vasculitis in the brain can damage blood vessel walls. This damage can block blood flow to the brain. It may cause a stroke or other brain problems.
The inflammation can also make blood vessels weak. This increases the risk of bleeding in the brain.
The damage from inflammation isn’t just to the blood vessels. It can also harm the brain tissue around them. This can lead to many symptoms. Symptoms include severe headaches, stroke-like symptoms, cognitive dysfunction, vision problems, numbness, weakness, and coordination difficulties.
Brain vasculitis can be divided into different types. Primary angiitis of the central nervous system (PACNS) affects only the brain and spinal cord. Secondary vasculitis is caused by other conditions like infections or autoimmune diseases.
Secondary vasculitis due to SLE often affects small and medium-sized blood vessels. The inflammation pattern is specific. This shows how complex the condition is and why it needs specific treatment.
Many cases of brain vasculitis are linked to autoimmune diseases. In conditions like SLE, the immune system attacks the brain’s blood vessels. Understanding this is key to finding effective treatments.
Knowing that brain vasculitis is autoimmune helps doctors treat it better. They can focus on reducing inflammation and fixing the immune system problems.
It’s key to understand how brain vasculitis and stroke are connected. Brain vasculitis is an inflammatory condition that affects the brain’s blood vessels. It can greatly increase the risk of stroke. This section will look at the link between brain vasculitis and stroke, focusing on ischemic and hemorrhagic strokes. We’ll also talk about why early detection is so important.
Ischemic stroke happens when an artery to the brain gets blocked. This blockage is often caused by a blood clot or fatty deposit. In brain vasculitis, inflammation can cause blood vessels to narrow or block. This makes ischemic stroke a big risk for those with untreated or severe brain vasculitis. We’ll dive into why this is and what it means for patient care.
Hemorrhagic stroke is another big risk for those with brain vasculitis. Inflammation can weaken blood vessel walls, making them more likely to bleed. The effects of a hemorrhagic stroke can be very serious, making early diagnosis and treatment critical. We’ll look at what increases the risk of hemorrhagic stroke in brain vasculitis patients.
Spotting brain vasculitis early is key to preventing stroke and improving patient outcomes. Early detection allows for timely treatment to reduce inflammation and manage symptoms. Early intervention can greatly improve the outlook for patients with brain vasculitis. We’ll talk about how to catch it early and the importance of a team approach to managing this complex condition.
People with brain vasculitis often have severe and persistent headaches. These headaches can be very distressing. They might show that there’s an inflammatory process affecting the brain’s blood vessels.
Vasculitis headaches are known for their severity and lasting nature. They don’t usually respond to common pain medicines. The pain can spread or stay in one area, depending on the brain parts affected.
Key features of vasculitis headaches include:
Vasculitis headaches are unique because they’re linked to blood vessel inflammation. Unlike migraines and tension headaches, they’re a sign of an autoimmune or inflammatory condition.
The inflammation from vasculitis can damage blood vessel walls. This can lead to issues like aneurysms or stenosis. This sets vasculitis headaches apart from other headache types.
Seek medical help for headaches that are severe, persistent, or have other concerning symptoms. Early diagnosis and treatment are key.
Red flags that warrant immediate medical attention include:
If you’re experiencing these symptoms, see a healthcare professional right away. Early treatment of brain vasculitis can greatly improve outcomes and lower the risk of stroke.
Brain vasculitis often shows symptoms like stroke. This happens because blood vessels in the brain get inflamed. This inflammation can damage different parts of the brain.
People with brain vasculitis might feel sudden muscle weakness or paralysis on one side. They could also lose or feel abnormal sensations on one side. Other symptoms include trouble speaking or understanding speech, confusion, vision issues, dizziness, and balance problems.
Key manifestations include:
It’s important to tell apart transient and persistent symptoms. Transient symptoms might go away by themselves but could signal a stroke or worsening vasculitis. Persistent symptoms, though, show more serious and possibly permanent damage.
Knowing the type of symptoms helps figure out how fast medical help is needed.
Some symptoms need immediate medical care. These include sudden severe headache, confusion, trouble speaking or walking, and numbness or weakness on one side. Spotting these signs quickly is key to avoiding lasting brain damage.
Quick action can greatly help patients with brain vasculitis.
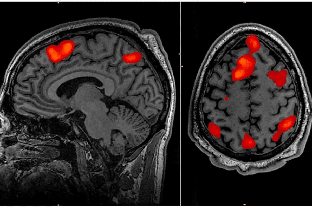
Brain vasculitis can cause cognitive dysfunction, leading to mental changes and impairments. This symptom greatly affects patients’ lives. We will look at how brain vasculitis impacts memory, mood, and personality. We will also discuss how doctors assess cognitive function in these cases.
Memory and concentration issues are common in brain vasculitis. Patients might struggle to remember things or stay focused. These problems can start small but worsen over time. Early detection is key to slow down cognitive decline.
Vasculitis inflammation can harm brain areas that handle memory and focus. This makes daily tasks harder. It’s important to see these symptoms as signs of brain health issues.
Brain vasculitis can also change a person’s personality and mood. Patients might become more irritable, anxious, or depressed. These changes can upset both the patient and their family. It’s important to remember these are symptoms, not personal traits.
Personality changes can include apathy or inappropriate behavior. Mood swings can be unpredictable, making social and work relationships hard. Support from healthcare providers and loved ones is vital during this time.
When brain vasculitis is suspected, a detailed cognitive assessment is done. This checks memory, attention, language, and problem-solving skills.
We use specific neuropsychological tests to measure cognitive function. These tests show how severe the impairment is and if it’s getting worse. The results help us decide on the best treatment for each patient.
Cognitive assessment is a key part of diagnosing and treating brain vasculitis. By understanding these symptoms, we can offer better care and support.
Ocular manifestations are a key part of brain vasculitis. They often show up as vision issues that need quick attention. These vision problems can be mild or severe and may signal inflammation in the brain’s blood vessels.
Brain vasculitis can cause different eye symptoms because of blood vessel inflammation. This affects the eyes and brain. Common vision issues include:
As Medical Expert, a neurologist, notes, “The inflammation from brain vasculitis can lead to serious eye symptoms. It’s vital for patients to see a doctor if their vision suddenly changes.”
The eye symptoms in brain vasculitis are linked to brain blood vessel inflammation. This inflammation can harm the blood vessels that feed the eyes. This shows how brain vasculitis affects the whole body, not just the eyes.
“The eye is a window to the brain, and ocular symptoms can be an early warning sign of neurological conditions like brain vasculitis.” –
Medical Expert, Ophthalmologist
Sudden or severe vision changes are urgent, even more so if they come with other brain symptoms. If you lose vision suddenly, see double, or have other severe eye symptoms, get help right away. Quick action can greatly improve treatment outcomes for brain vasculitis.
It’s key to see vision problems as a sign of brain vasculitis. Knowing about these vision issues and their link to brain inflammation helps both patients and doctors. This way, we can better manage this complex condition together.
Numbness, weakness, and coordination problems are signs of brain vasculitis that need quick medical help. These symptoms can change how patients move, feel, and do everyday things.
Brain vasculitis can lead to many motor and sensory issues. Patients might feel muscle weakness or paralysis on one side. They could also have numbness, tingling, or strange feelings.
These problems happen because inflammation damages the blood vessels in the brain. This can harm areas that control movement and feeling.
|
Symptom |
Description |
Possible Impact |
|---|---|---|
|
Muscle Weakness |
Reduced strength in muscles, potentially leading to difficulty in movement. |
Affects mobility and ability to perform daily tasks. |
|
Numbness |
Loss of sensation, which can occur on one side of the body or in specific areas. |
Impairs sensory perception, potentially causing difficulties in detecting temperature or touch. |
|
Coordination Difficulties |
Problems with balance and coordination, affecting gait and overall motor control. |
Increases risk of falls and impairs ability to engage in physical activities. |
Patients with brain vasculitis often struggle with balance and coordination. Inflammation can mess with brain areas that control movement. This makes walking, staying balanced, or doing precise actions hard.
These problems can really affect a patient’s independence and life quality.
Symptoms like numbness, weakness, and coordination problems can make everyday tasks hard. Even simple things like getting dressed, eating, or walking can be tough. It’s important to see how these symptoms affect a patient’s life and offer the right support and treatment.
Understanding these symptoms helps doctors create better treatment plans. This way, they can meet the specific needs of patients with brain vasculitis.
Diagnosing brain vasculitis is complex. It involves both clinical checks and advanced tests. Finding it early is key to avoid serious problems like stroke and brain loss.
The first step is a detailed medical history and physical check. We look for signs like severe headaches and brain function changes. A full neurological exam is needed to spot any brain issues.
Neuroimaging is a big part of diagnosing brain vasculitis. MRI (Magnetic Resonance Imaging) and angiography show blood vessel problems. Blood tests and lumbar punctures help rule out other conditions.
At times, a brain biopsy is needed to confirm the diagnosis. It’s a detailed look at brain tissue. Though it’s a big step, it helps guide treatment.
When diagnosing brain vasculitis, we must think of other possible causes. We need to rule out other vasculitis types, infections, and autoimmune diseases. A detailed check is vital for the right diagnosis and treatment.
Managing brain vasculitis needs a mix of treatments to fight inflammation and avoid problems. The main goal is to calm down the immune system and protect the brain’s blood vessels.
Immunosuppressive drugs are key in treating brain vasculitis. They help lower the immune system’s activity. This reduces inflammation in blood vessels and prevents more damage. Common drugs include:
Corticosteroids are vital in treating brain vasculitis. They quickly reduce inflammation. Prednisone is often used, starting with high doses and then tapering off to lessen side effects.
Using corticosteroids can lead to side effects, so the dose and time are carefully planned.
It’s important to manage complications and prevent stroke in brain vasculitis. This is because inflammation can cause blood vessels to narrow. Strategies include:
Rehabilitation is also key in managing complications. It helps patients recover from brain damage.
New treatments for brain vasculitis are being researched. These include biologic agents that target specific parts of the immune system. These treatments may lead to better results and fewer side effects.
Treating brain vasculitis requires a detailed and personalized plan. By knowing the different treatment options, doctors can create a plan that fits each patient’s needs. This improves outcomes and quality of life.
Reducing stroke risk and managing health conditions is key for patients with brain vasculitis. We know managing other health issues is vital for better outcomes.
Controlling stroke risk factors is important. This includes managing hypertension, diabetes, and hyperlipidemia. We also stress the need for a healthy diet, exercise, and quitting smoking.
By tackling these risk factors, we can lower the chance of stroke in patients with brain vasculitis. Regular check-ups are vital to keep these conditions under control.
Many patients with brain vasculitis also have autoimmune conditions. We keep a close eye on these conditions to manage brain vasculitis better.
Conditions like rheumatoid arthritis, systemic lupus erythematosus, and sarcoidosis need careful management. Our team works together to provide complete care.
Preventing brain vasculitis from coming back is a main goal. We suggest regular check-ups and sticking to treatment plans to lower relapse risk.
We also teach patients to watch for early signs of recurrence. This includes new or worsening neurological symptoms, so we can act quickly.
Early detection and treatment of brain vasculitis are key to avoiding stroke and reducing long-term damage. The sooner blood flow is restored to the brain, the less damage there is. This improves recovery chances.
We’ve talked about the main symptoms of brain vasculitis. These include severe headaches, stroke-like symptoms, and cognitive issues. Other signs are vision problems and numbness or weakness.
Spotting these symptoms early and getting medical help quickly is vital. It ensures effective treatment and stroke prevention. Knowing how brain vasculitis increases stroke risk helps us manage it better.
Managing brain vasculitis well needs a team effort. This includes using immunosuppressive drugs, corticosteroids, and watching for other autoimmune diseases. With the help of healthcare experts, we can better handle this complex condition.
Brain vasculitis is an autoimmune condition. It causes inflammation in the brain’s blood vessels. This can lead to stroke. The inflammation can damage the blood vessels, increasing stroke risk.
Symptoms include severe headaches and stroke-like symptoms. You might also experience cognitive dysfunction, vision problems, numbness, weakness, and coordination issues.
Diagnosis involves a detailed clinical process. It includes initial evaluation, neuroimaging, and laboratory tests. Sometimes, a brain biopsy is needed to confirm vasculitis and rule out other conditions.
Immunosuppressive medications reduce the immune system’s attack on blood vessels. This decreases inflammation and stroke risk.
Yes, managing brain vasculitis involves controlling stroke risk factors. It also means monitoring autoimmune conditions and using preventive strategies to reduce complications.
Vision disturbances include blurred vision, double vision, and loss of visual field. These occur due to inflammation affecting blood vessels supplying the eyes and brain.
It can cause memory and concentration problems. It also affects personality and mood, due to inflammation in brain areas responsible for these functions.
Eye symptoms are linked to brain inflammation. Inflammation affects blood vessels supplying both the eyes and brain, leading to ocular manifestations.
Vision changes signal an emergency if they are sudden, severe, or with other neurological deficits. These could indicate a stroke or worsening of the condition.
Treatment focuses on suppressing the immune system’s abnormal response. Immunosuppressive and corticosteroid therapies are used to reduce inflammation and prevent further damage.
Patterns include numbness, weakness, and coordination difficulties. These vary based on the brain areas affected by inflammation.
It significantly impacts daily activities due to cognitive, motor, and sensory dysfunctions. It requires thorough management and support.
Early detection is key to prevent complications like stroke. It allows for effective symptom management and better outcomes through early treatment.
Risks include ischemic and hemorrhagic strokes. These can result from inflammation and damage to brain blood vessels.
Controlling stroke risk factors involves managing hypertension, diabetes, and high cholesterol. Lifestyle changes like diet, exercise, and quitting smoking are also important.
National Center for Biotechnology Information. Brain Vasculitis: Key Symptoms and Stroke Risk. Retrieved from https://www.ncbi.nlm.nih.gov/pmc/articles/PMC6713899/
Subscribe to our e-newsletter to stay informed about the latest innovations in the world of health and exclusive offers!