Last Updated on October 30, 2025 by Saadet Demir

Getting ready for a CT-guided lung biopsy is a big step in finding out what’s wrong with your lungs. At Liv Hospital, we help our patients through this carefully. We make sure they know what to expect at every step. This guided ct scan tutorial explains how a biopsy is performed, what to expect, and how to prepare effectively for your guided ct scan.
A CT scan lung biopsy takes small tissue samples from lung areas that look off. We use live CT scans to guide the needles. This makes sure we get the right tissue for a better diagnosis.
We know having a biopsy can be scary. But our top-notch methods make sure it’s safe and done right. We aim to give you the best care and support every step of the way.

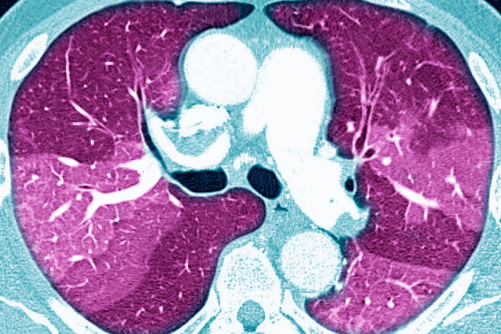
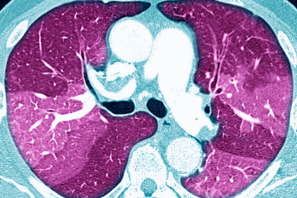
A CT-guided lung biopsy is a precise way to get tissue samples from the lungs. It helps diagnose lung conditions. The procedure uses CT imaging to guide a needle into the lung tissue or nodule for accurate sampling.
A CT scan lung biopsy removes lung tissue or growths. It helps diagnose lung conditions like cancer, tuberculosis, and interstitial lung disease. The main goal is to get a tissue sample for pathological examination.
CT guidance makes the biopsy more accurate. It provides real-time images. This lets the doctor precisely locate and guide the needle, increasing the chance of getting a good tissue sample.
CT guidance is key to improving lung biopsy accuracy. It offers real-time imaging. This helps doctors navigate the needle through lung tissue with high precision, reducing sampling errors.
Recent studies show CT scan lung biopsy can detect malignancy up to 90 percent of the time. This makes it a very effective tool for diagnosing lung cancer and other conditions.
| Diagnostic Method | Diagnostic Yield | Accuracy |
| CT-guided lung biopsy | Up to 90% | High |
| Traditional Biopsy Methods | Variable | Moderate to High |

Your doctor might suggest a CT lung biopsy if they see odd lung nodules or masses on scans. This test is key for checking lung health, mainly when other tests show possible problems. A CT-guided lung biopsy helps doctors get precise tissue samples from the lungs.
Several reasons might prompt your doctor to suggest a CT scan guided lung biopsy. These include:
These signs mean a closer look at lung tissue is needed. It helps figure out what’s causing the issues and guides treatment.
The diagnostic yield of a CT-guided lung biopsy is its ability to give a clear diagnosis. It’s very good at getting tissue samples from lung nodules and masses. This makes it accurate for diagnosing lung conditions, including cancer.
Research shows that CT biopsy lung procedures often get the right tissue samples. The CT’s precision helps target lung nodules, even small or hard-to-reach ones. This is key for treatment planning and better patient results.
In short, a cat scan guided lung biopsy is a key test for lung issues. Its high success rate and precision make it vital for lung health management.
The technology used in guided CT scans for lung biopsies is advanced and key for patient care. CT-guided lung biopsy procedures use top-notch imaging for accuracy and safety.
During the procedure, CT imaging shows live pictures of the lung. It guides the needle to the abnormal area with great precision. This real-time imaging is vital for the biopsy’s success, allowing for quick adjustments.
CT imaging uses X-rays to create detailed images of the body. In a CT scan guided needle biopsy, these images guide the needle to the lung nodule or abnormality.
The CT scanner takes images from different angles. These are then combined into a 3D image. This helps the radiologist locate the abnormality and plan the biopsy.
The needle type for a CT-guided needle biopsy depends on the procedure’s needs. Fine-needle aspiration (FNA) or core needle biopsy (CNB) are often used.
Both methods have their benefits. The choice depends on the lung abnormality and the patient’s diagnostic needs.
Before a CT scan biopsy, knowing what to do is key. It ensures your safety and the accuracy of the results. We’ll walk you through the steps to prepare for your ct biopsy. This will make your experience smooth.
Before your biopsy with ct scan, you’ll have some tests. Blood tests check your health and for bleeding disorders. We might also do imaging tests to guide the biopsy needle.
Tell your doctor about any meds you’re on, like blood thinners. Also, share any allergies. This info helps us lower risks during the ct scan and biopsy procedure.
You might need to stop some meds, like blood thinners, a few days before. We’ll tell you exactly what to do with your meds and any food rules. Following these instructions is key to your safety during the ct biopsy.
On biopsy day, wear comfy, loose clothes. You might need to change into a hospital gown. Bring your insurance cards, ID, and a list of your meds.
Mental prep for your biopsy with ct scan is as important as physical prep. We encourage you to ask questions and share any worries. Knowing what to expect can help reduce anxiety.
Some questions to ask your doctor include: “What are the risks?” “How long until I get my results?” and “Are there other ways to diagnose?”
The CT-guided lung biopsy process has several key steps. It’s important for diagnosing lung conditions. Knowing each step can help patients feel more ready.
The first step is to position the patient on the CT scan table. We make sure they are comfortable and ready for the biopsy. Initial CT scans help us find the exact spot in the lung to biopsy. These images guide us on where to put the biopsy needle.
Before we insert the needle, we numb the area with local anesthesia. This makes the procedure less painful. The anesthesia is given with a small needle to numb the area.
With the patient set and the area numb, we insert the biopsy needle. Real-time CT imaging helps guide the needle to the lung nodule. After it’s in place, we take a tissue sample for further tests.
After we get the tissue sample, we do more CT scans. These scans check if the sample was taken correctly and if there are any issues. Then, we remove the needle and apply pressure to stop bleeding.
Our team watches over the patient closely during the procedure. We aim to make it safe and comfortable. The goal is to get an accurate diagnosis.
Getting ready for a CT-guided needle biopsy can make you curious about what happens. Knowing the steps and what to expect can ease your worries. It makes the whole experience less scary.
During the CT biopsy lung procedure, you might feel some sensations or discomfort. How much discomfort varies from person to person. Most patients get sedation to relax, which helps a lot.
When the needle is inserted, you might feel a pinch or pressure. The area is numbed with local anesthesia to lessen pain. Some people might feel pressure or discomfort as the needle goes into the lung tissue.
“The use of CT guidance during lung biopsy procedures has significantly improved the accuracy of tissue sampling, allowing for more precise diagnoses.”
The biopsy ct scan procedure usually takes about 60 minutes. But, it can take longer or shorter depending on the case’s complexity and the number of samples needed.
| Procedure Step | Typical Time |
| Preparation | 15 minutes |
| CT Scan and Needle Placement | 30 minutes |
| Post-Procedure Monitoring | 15 minutes |
Throughout the ct needle biopsy procedure, the medical team will keep talking to you. They’ll tell you about each step and make sure you’re comfortable and know what’s happening.
Telling the medical team about any worries or discomfort is key. They’re there to help and make the procedure go smoothly.
Knowing what to expect from a biopsy guided by ct scan helps you prepare better. If you have questions or concerns, talk to your healthcare provider.
After the CT scan-guided biopsy, recovery and aftercare are key. This phase helps the patient heal well and lowers the risk of problems.
Patients are watched closely before leaving. This is to catch any quick issues and make sure their health signs are okay.
This waiting time can be nerve-wracking. But it’s a vital part of your care. Our medical team will be there, giving updates and answering your questions.
Before leaving, patients get clear instructions for home care. They learn what activities to avoid to prevent problems, like not lifting heavy things or doing hard work.
It’s also key to follow any diet advice and take medicines as told. We’ll give you a detailed plan and contact info for any worries or questions later.
| Activity | Recommended Restrictions |
| Heavy Lifting | Avoid for at least 24 hours |
| Strenuous Exercise | Avoid for 48-72 hours |
| Bathing/Showering | May be restricted for 24 hours |
Some pain or side effects are normal after the biopsy. We’ll show you how to handle these, like using medicine for pain or other ways to feel better.
It’s important to stick to our advice and reach out if you have serious or worrying symptoms. Your comfort and safety are our main concerns as you get better at home.
By following our discharge instructions and listening to your body, you can make your recovery smooth and successful.
The CT-guided lung biopsy is generally safe but comes with some risks. We do our best to avoid these issues. It’s important for patients to know what might happen.
Minor issues can happen, but they’re usually not serious. They often go away on their own. Here are some common ones:
These problems are usually not long-lasting. But, it’s key to follow the post-procedure instructions to lessen their impact.
Though rare, serious complications can happen. One big risk is pneumothorax, or a collapsed lung. This occurs when air leaks into the space between the lung and chest wall.
| Complication | Description | Management |
| Pneumothorax | A collapsed lung due to air leakage into the pleural space. | May require chest tube insertion to remove air and re-expand the lung. |
| Significant Bleeding | Excessive bleeding that doesn’t stop with initial measures. | May require additional procedures or transfusions. |
| Infection | Infection at the biopsy site or within the lung. | Typically managed with antibiotics. |
Knowing about these serious complications and how they’re managed can ease worries. It helps prepare patients for what might happen.
Some factors can raise the risk of problems during or after a CT-guided lung biopsy. These include:
By knowing these risk factors, we can better prepare and manage patients undergoing CT-guided lung biopsies.
Ensuring patients are well-informed and comfortable is our top priority. If you have any concerns or questions about risks and complications, talk to your healthcare provider.
After a CT-guided lung biopsy, watching your health closely is key. The procedure is usually safe, but knowing about possible issues helps get help fast.
Some symptoms after a ct scan guided needle biopsy need quick action. Look out for:
If you notice any of these signs, get medical help right away. Your health and safety are our top priority.
Knowing when to act fast is important. Mild soreness or a bit of bleeding is usually okay. But severe symptoms need quick action.
If it’s an emergency, don’t wait to call your healthcare provider or go to the emergency room. For less urgent issues, make a follow-up appointment with your doctor.
Being aware and careful helps you recover well after your biopsy with ct scan. Always choose caution when it comes to your health.
The results of your CT-guided needle biopsy are key to figuring out your diagnosis and treatment. After the procedure, your healthcare team will look at the tissue samples taken during the biopsy.
Biopsy results usually come in a few days to a week. The exact time can change based on how complex the analysis is and the lab’s work. Your doctor will tell you when to expect your results.
The results can show different things, like cancer, infection, or inflammation. Your healthcare provider will look at the findings with your medical history and other tests in mind. It’s important to know that benign findings can be good news, while malignant or abnormal results might mean talking about treatment options.
When your results are in, your healthcare team will talk about what’s next. This could be more tests, planning treatment, or follow-up visits. If the results show cancer, they will explain the treatment options. These might include surgery, chemotherapy, or radiation therapy.
Understanding your biopsy results is a big part of your journey. We’re here to support you at every step. We’ll help you through your diagnosis and treatment.
Knowing about the ct scan biopsy procedure is key to smart health choices. We’ve looked at the ct guided lung biopsy from start to finish. We’ve also talked about the possible risks.
Being informed about the guided ct scan helps you understand your options. This knowledge lets you be more involved in your health care. It prepares you for the ct scan lung biopsy process.
It’s vital to know the good and bad sides of the procedure. This way, you can make choices that are best for you. We’re here to help you make the right decisions for your health.
A CT-guided lung biopsy is a procedure. It uses CT imaging to guide a needle into the lung. This is to collect tissue samples for diagnosis.
A CT-guided lung biopsy is suggested for lung abnormalities. This includes lung nodules or masses. It’s also used when other tests don’t give clear results.
CT guidance makes it easier to place the needle accurately. This increases the chance of getting good tissue samples.
Common reasons for a CT-guided lung biopsy include lung nodules or masses. It’s also used when other tests are unclear.
Preparation includes medical checks and adjusting medications. You might need to follow a diet and know what to wear and bring.
The procedure starts with positioning and imaging. Then, local anesthesia is given, and the needle is inserted. After that, tissue is sampled, and the needle is removed.
The procedure usually takes 30-60 minutes. This depends on the case’s complexity and the number of samples needed.
Risks include bleeding, pain, and pneumothorax. It’s important to know these risks before deciding on the procedure.
Follow the discharge instructions and rest as advised. Use the medications as directed to manage discomfort and side effects.
Seek immediate medical help for severe symptoms like breathing trouble, chest pain, or severe bleeding. Also, watch for fever, increasing pain, or redness at the biopsy site.
Results usually take a few days to a week. Your doctor will tell you when to expect them and what to do next.
A pathologist interprets the results. They can show infections, inflammation, or cancer. Your doctor will explain the findings and what they mean for your care.
The next steps depend on the results. They might include more tests, treatment planning, or follow-up visits. Your doctor will guide you based on your diagnosis.
Subscribe to our e-newsletter to stay informed about the latest innovations in the world of health and exclusive offers!
WhatsApp us