
Understanding the right imaging scan is key when diagnosing complex health issues. At LivHospital, we focus on patient-centered care. We help our patients make informed healthcare choices. Many ask about mri vs pet ct scan, and while MRI excels at detailed soft tissue imaging without radiation, PET-CT reveals both structure and metabolic activity using a radioactive tracer, making each valuable for different diagnostic needs.
Key Takeaways
- MRI scans provide detailed anatomical images using powerful magnets and radio waves.
- PET scans reveal cellular activity and metabolic processes by tracking a radioactive tracer.
- Understanding the differences between MRI and PET scans is key to making informed healthcare decisions.
- MRI is great for looking at organ shape and blood vessels.
- PET scans help diagnose diseases by showing how the body functions.
Understanding Medical Imaging Technologies

Diagnostic imaging technologies like MRI and PET scans have changed how we diagnose and treat diseases. They help doctors find diseases early and see how treatments are working.
The Evolution of Diagnostic Imaging
Medical imaging has grown a lot the discovery of X-rays. Now, we have many technologies that show us the body’s details. MRI (Magnetic Resonance Imaging) and PET (Positron Emission Tomography) scans are key in this field.
MRI lets us see the body’s soft tissues clearly. PET scans help us see how the body works, which is key in finding diseases like cancer early.
The Role of Advanced Imaging in Modern Medicine
Advanced imaging is key in modern medicine. MRI and PET scans help in many ways, like:
- Diagnosing and tracking neurological disorders
- Finding and checking cancer
- Looking at heart diseases
- Helping decide on treatments
These technologies have made diagnosis better and care more personal.
Overview of Different Scanning Technologies
Today, we have many medical imaging technologies. Each has its own strengths and uses. Some main ones are:
- MRI (Magnetic Resonance Imaging): Great for soft tissue and structure.
- PET (Positron Emission Tomography): Best for seeing how the body works and tracking diseases.
- CT (Computed Tomography): Gives detailed images and is used in emergencies.
- Ultrasound: Uses sound waves for non-invasive, real-time images.
Knowing the differences between these technologies is important. It helps both doctors and patients make better choices about tests.
MRI Scan: Technology and Principles

The MRI scan is a cutting-edge medical tool. It uses strong magnets and radio waves to make detailed images of the body. This technology is key in modern medicine, helping doctors diagnose and treat patients.
How Magnetic Resonance Imaging Works
MRI machines align hydrogen atoms in the body with a strong magnetic field. Then, radio waves disturb these atoms, causing them to send signals. The MRI picks up these signals to create detailed images.
Key components of an MRI machine include:
- A powerful magnet to align hydrogen atoms
- Radiofrequency coils to emit and receive signals
- A computer system to reconstruct images
Types of MRI Machines and Techniques
There are different types of MRI machines:
- Closed MRI machines, which are the most common type
- Open MRI machines, designed for patients with claustrophobia
- Functional MRI (fMRI), used to observe brain activity
Techniques like diffusion-weighted imaging and magnetic resonance angiography offer more diagnostic tools.
What to Expect During an MRI Procedure
During an MRI, patients lie on a table that slides into the machine. The procedure is usually painless. But some might feel uncomfortable due to the tight space or the machine’s loud noise.
Preparation tips:
- Remove any metal objects, including jewelry and glasses
- Inform your doctor about any metal implants or claustrophobia
- Follow any specific instructions provided by your healthcare provider
Knowing how MRI technology works and what to expect can help patients prepare for this important diagnostic tool.
PET Scan: Technology and Principles
Positron Emission Tomography, or PET scan, is a cutting-edge medical imaging method. It shows how the body’s cells work. This tool is key in finding and treating diseases like cancer, brain disorders, and heart issues.
How Positron Emission Tomography Works
PET scans use a tiny amount of radioactive tracer. This tracer goes to areas where cells are very active, like in growing tumors. The PET scanner picks up this radiation, making detailed images of the body’s metabolic activities.
First, the tracer is made just before the scan. It’s given through an IV. Then, the patient goes into the PET scanner. The scanner moves around, taking pictures from different sides.
The Role of Radioactive Tracers
Radioactive tracers are essential for PET scans. The most used one is Fluorodeoxyglucose (FDG). It’s a sugar molecule with a radioactive tag. Because cancer cells use more sugar, the FDG shows up in these areas on the scan.
Depending on the use, different tracers are chosen. Some are for heart scans, others for brain or cancer checks.
| Tracer Type | Application | Key Features |
| FDG (Fluorodeoxyglucose) | Oncology, Neurology | Highlights areas of high glucose metabolism |
| Rubidium-82 | Cardiology | Assesses myocardial perfusion |
| Florbetapir | Neurology | Used for detecting amyloid plaques in Alzheimer’s disease |
What to Expect During a PET Scan Procedure
Before a PET scan, patients often need to fast for a few hours. This helps the tracer work better. The scan itself takes about 30 to 60 minutes.
During the scan, patients lie on a table that slides into the scanner. The machine makes a soft noise as it works. Sometimes, a CT or MRI scan is done too for more information
“The integration of PET with other imaging modalities like CT or MRI has significantly enhanced our ability to diagnose and treat complex medical conditions,” said Dr. Jane Smith, a leading expert in nuclear medicine.
After the scan, patients can usually go back to their normal activities right away. A radiologist or nuclear medicine specialist then looks at the images. They talk about the results with the patient and their doctor.
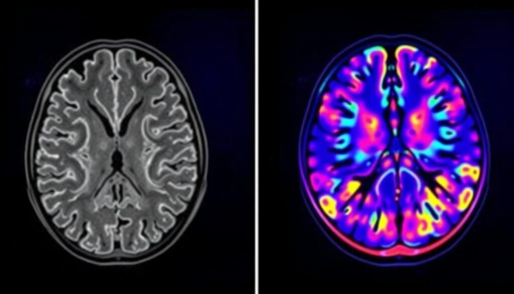
MRI vs PET CT Scan: Core Differences
MRI and PET scans are two different tools for looking inside the body. They help doctors in different ways. Their main differences are in how they work and what they show.
Structural vs Functional Imaging
MRI shows detailed pictures of body parts and tissues. It helps find problems with how things are put together. PET scans, on the other hand, show how body parts work. They are great for seeing how active tissues are and finding diseases like cancer.
In short, MRI is good for seeing the body’s layout. PET scans are better for seeing how the body functions.
Radiation Exposure Comparison
MRI scans don’t use harmful radiation. This makes them safer for people who need many tests or are worried about radiation. PET scans, though, do use a radioactive tracer. This is because they need to detect tiny particles. Even though the dose is low, it’s something to think about.
Resolution and Detail Capabilities
MRI is better at showing detailed images of soft tissues. This is why it’s great for looking at the brain and muscles. PET scans, while not as detailed in anatomy, are excellent at spotting changes in how tissues work. This is very important for finding cancer and seeing how it spreads.
Processing and Interpretation Differences
How MRI and PET scans are looked at is different, too. MRI images are checked by doctors for any structural problems. PET scans need a special kind of analysis. This focuses on how active tissues are and how that relates to symptoms and other tests.
In summary, MRI and PET scans are both very important for doctors. But they are used in different ways. This shows why it’s important to choose the right test for the right question.
Clinical Applications of MRI
MRI is a powerful tool in medical imaging. It has changed how we diagnose and monitor health. MRI gives detailed images of the body’s internal parts, making it very useful in healthcare.
Soft Tissue and Organ Imaging
MRI is great at showing soft tissues and organs clearly. This is very helpful for checking the liver, pancreas, and other organs in the belly. It can spot problems like tumors and inflammation, helping doctors treat them quickly.
Neurological Applications
MRI is also top-notch for brain and spinal cord issues. It helps find problems like multiple sclerosis, stroke, and spinal cord injuries. MRI’s clear images help doctors see how bad the damage is and plan the best treatment.
For people with multiple sclerosis, MRI tracks the disease’s progress. This info is key for managing the condition and helping patients get better.
Musculoskeletal Imaging
MRI is also key for checking muscle, tendon, and ligament problems. It’s great for looking at complex joints like the knee and shoulder. It can spot tears and strains, helping with treatment.
For athletes and those with muscle injuries, an MRI gives a detailed look at the damage. This helps doctors create better treatment plans.
Cardiovascular MRI Applications
Cardiovascular MRI looks at the heart and blood vessels. It gives insights into how well the heart is working. It can find issues like heart disease and heart failure.
By checking the heart early, MRI helps prevent serious heart problems. This improves patient care and outcomes.
Clinical Applications of PET Scans
Positron Emission Tomography (PET) scans give us a peek into the body’s metabolic activities. They help diagnose and manage complex conditions. This makes PET scans very useful in different clinical settings.
Oncology and Cancer Detection
PET scans are key in oncology for finding, staging, and tracking cancer treatment. They spot high metabolic activity, showing cancerous tissues. “PET scans are vital in oncology, helping make treatment choices,” says a top oncologist.
PET scans help in:
- Diagnosing cancer
- Staging cancer
- Tracking treatment success
- Finding cancer return
Neurological Disorders
PET scans help with neurological issues like Alzheimer’s and Parkinson’s. They show brain metabolism and function. This helps doctors diagnose and manage these diseases better.
Key uses in neurology include:
- Diagnosing neurodegenerative diseases
- Checking brain function and metabolism
- Tracking disease progress
Cardiovascular Disease Assessment
In cardiology, PET scans check the heart muscle and blood flow. This info is key for treating coronary artery disease.
PET scans help in:
- Checking heart muscle health
- Looking at blood flow to the heart
- Deciding on revascularization
Monitoring Treatment Response
PET scans are great for seeing how treatments work. They watch metabolic activity changes. This lets doctors adjust treatments as needed.
As a medical expert notes, “PET scans give a dynamic view of disease, helping tailor treatments to patients.”
We use PET scans to track treatment success in cancer and neurological disorders. This improves care by allowing for quick treatment plan changes.
PET Versus MRI: When to Use Each Technology
Knowing when to use PET versus MRI is key to accurate diagnosis and treatment planning. The choice between these technologies depends on several factors. These include the clinical question, the disease or condition, and the diagnostic needs.
Diagnostic Decision-Making Factors
Healthcare professionals consider many factors when choosing between PET and MRI. They look at the need for functional versus structural imaging, the level of detail needed, and the risk of radiation. PET scans are often preferred for functional imaging, showing metabolic activities in the body. On the other hand, MRI is better for structural imaging, giving detailed views of organs and tissues.
Disease-Specific Considerations
The type of disease or condition being diagnosed is a big factor in choosing between PET and MRI. For example, PET scans are commonly used in oncology to find cancer and check treatment response. They highlight areas of high metabolic activity. In contrast, MRI is often used for neurological and musculoskeletal conditions, providing detailed images for diagnosing and monitoring conditions like multiple sclerosis or ligament injuries.
Sequential vs Simultaneous Imaging
In some cases, both PET and MRI are used together for a complete diagnosis. This can be done sequentially, where one scan follows the other, or simultaneously with hybrid PET-MRI systems. Sequential imaging is more common and allows for a thorough assessment using each modality’s strengths. But simultaneous imaging with PET-MRI hybrid systems is becoming more popular, providing both functional and structural information in one session.
Physician Preferences and Specialization
Physician preferences and specialization also play a role in choosing between PET and MRI. Radiologists and clinicians may have different experiences and preferences based on their training and the clinical context. Collaboration and multidisciplinary approaches are key to ensuring the right imaging modality is chosen for each patient’s needs.
Comparing MRI and PET Scan Machines
It’s important to know the differences between MRI and PET scan machines. These tools are key in medical imaging, but they work in different ways. They have different technologies and uses.
Physical Differences in Equipment
MRI machines are big and shaped like a tube. They use a strong magnet to create detailed images of the body. PET scan machines, on the other hand, use radiation to see how the body works.
MRI machines can make some people feel scared because they are so enclosed. B, some places offer open MRI machines or sedation to help. PET scan machines are more open because they don’t need a strong magnetic field.
Patient Experience Comparison
Getting an MRI or PET scan is a different experience. MRI scans can be hard for people with claustrophobia because they need to stay very quiet and not move. PET scans also need you to stay quiet, but are usually shorter.
The sounds during the scan are different, too. MRI machines make loud noises, while PET scan machines are quieter.
Facility Requirements for Each Technology
MRI and PET scan machines need different places to work. MRI machines need a special room to keep the magnetic field strong. PET scan facilities need to be safe from radiation and have special equipment.
PET scan places also need to be close to a cyclotron or radiopharmacy. This is because the radioactive tracers they use have to be made fresh and can’t be stored for long.
Hybrid Imaging: Combined PET-MRI Systems
Combined PET-MRI systems are a big step forward in medical imaging. They give both functional and anatomical details in one go. This means we get a full picture of the body’s structure and how it works.
Hybrid PET-MRI systems are changing how we do diagnostic imaging. They’re really helpful in tricky cases where we need to see both how things work and what they look like.
Clinical Applications of Hybrid Systems
Hybrid PET-MRI systems are making a big impact in fields like oncology and neurology.
Oncology: In cancer, these systems give us detailed info on tumor activity and location. This makes cancer staging and tracking treatment more accurate.
Neurology: For brain disorders like Alzheimer’s and epilepsy, PET-MRI offers insights into brain structure and function. This helps in early detection and tracking disease progress.
| Application | PET-MRI Benefits |
| Oncology | Enhanced tumor characterization and staging |
| Neurology | Detailed brain structure and function analysis |
| Cardiology | Comprehensive assessment of heart structure and metabolism |
The table shows how PET-MRI hybrid systems are used in many areas. And as tech gets better, we’ll see even more uses.
The future of hybrid imaging is bright. With ongoing research, we’re making these systems better and finding new uses. This will lead to better patient care and more accurate diagnoses.
Is a PET Scan Better Than an MRI?
Choosing between a PET scan and an MRI depends on several factors. These include the clinical question being asked. Both technologies have their own strengths and are often used together in medical practice.
Comparing Diagnostic Value
PET scans and MRIs provide different types of information. PET scans are great for showing metabolic activity. This makes them very useful in oncology for detecting cancer and tracking treatment progress. MRIs, on the other hand, give detailed images of body structures. They are best for looking at soft tissues and organs.
A study in the National Institutes of Health database shows that PET and MRI work well together. It suggests that using both can improve diagnosis.
Cost and Availability Factors
The cost and availability of PET scans and MRIs differ. PET scans are pricier because of the radioactive tracer. MRI machines are more common in hospitals, making MRI scans easier to get in many places.
When Each Scan Is Preferred
The choice between a PET scan and an MRI depends on the situation. PET scans are often chosen for cancer because they show metabolic activity. MRIs are preferred for detailed images of soft tissues, like in neurological or musculoskeletal exams.
Complementary Nature of Both Technologies
PET scans and MRIs are complementary, meaning they work well together. Hybrid PET-MRI systems have made it easier to combine their strengths. This offers new possibilities in diagnosing diseases.
In summary, whether a PET scan is better than an MRI depends on the specific needs of the diagnosis. Understanding the strengths and limitations of each helps healthcare providers choose the best imaging modality for each case.
Conclusion: Making Informed Decisions About Imaging Options
It’s key for patients and doctors to know the differences between MRI and PET scans. This knowledge helps in choosing the right diagnostic tools. Each technology has its own strengths and weaknesses, giving us different kinds of information.
When we look at MRI and PET scans, including PET CT scans, we see their unique roles. When deciding between PET versus MRI, we must think about what we need to diagnose. MRI is great for seeing soft tissues and details, while PET scans show how tissues work and what they do.
Choosing betweean MRIaand n vs PET CT scan depends on what we’re trying to find out. For example, PET scans are often used in cancer and check how treatments work. MRI is usually better for looking at the brain and muscles.
Knowing the difference between MRI andscans helpsselps doctors pick the best imaging for each patient. This ensures patients get the right diagnosis and treatment. It shows how important it is to make smart choices in imaging.
FAQ
What is the main difference between an MRI and a PET scan?
MRI shows detailed pictures of the body’s structure. PET scans, on the other hand, show how cells work and what they do.
Is a PET scan like an MRI?
No, they are not the same. MRI uses magnetic fields to create detailed images. PET scans use radioactive tracers to see how cells are working.
What is the difference between a PET scan and an MRI in terms of radiation exposure?
MRI doesn’t use radiation. PET scans do, but only a little. This means PET scans expose you to some radiation.
Which is better for soft tissue imaging, MRI or PET scan?
MRI is better for soft tissue images. It can show details clearly and tell different soft tissues apart.
Can MRI and PET scans be used together?
Yes, they can. PET-MRI systems combine both. This gives doctors more information at once, helping them make better diagnoses.
How do I choose between a PET scan and an MRI?
It depends on what you need to find out. Doctors will decide based on your condition and what they need to see.
Are PET scans more expensive than MRI scans?
Prices vary. It depends on where you go, the facility, and what the scan needs to do.
What are the clinical applications of PET-MRI hybrid systems?
PET-MRI systems help with many conditions. They’re used in cancer, brain disorders, and heart disease. They show both how things work and what they look like.
How do PET scans and MRI scans compare in terms of diagnostic value?
Both are useful in different ways. The choice depends on what you need to know and the situation.
Can I undergo both a PET scan and an MRI on the same day?
It’s possible, but it depends on a few things. It’s up to the scan needs and the facility’s rules.
What is the difference between MRI and PET scan machines?
MRI machines use magnetic fields and radio waves. PET scan machines detect signals from radioactive tracers.
How do I prepare for a PET scan or an MRI?
Follow the instructions from your doctor or the imaging center. This might include what to eat, what to wear, or other things.
References
- McRobbie, D. W., Moore, E. A., Graves, M. J., & Prince, M. R. (2017). MRI from picture to proton (3rd ed.). Cambridge University Press.https://www.cambridge.org/core/books/mri-from-picture-to-proton/0E0F2627E51B1E5D3D42679A9BF3D5CB
- National Cancer Institute. (2023). Positron emission tomography (PET) scans.https://www.cancer.gov/about-cancer/diagnosis-staging/diagnosis/pet-scan-fact-sheet