
Knowing what a normal abdominal CT scan looks like is key for radiologists. A normal CT scan helps them spot problems in the abdomen. The Clinical Guidelines say CT scans are great for detailed images and are quick, which helps avoid blurry pictures.
For those in radiology, having a good guide is vital. LivHospital focuses on patients and has top-notch skills in diagnostics. They are a go-to forlearning about normal abdominal CT anatomy.
Key Takeaways
- Normal abdominal CT scans are essential for distinguishing between healthy and abnormal findings.
- CT scans offer detailed cross-sectional visualization of soft tissues, organs, and vessels.
- Understanding the typical size and structure of abdominal organs is critical for accurate diagnosis.
- Abdominal CT imaging is valuable for identifying pathologies and guiding treatment decisions.
- A reliable reference guide helps radiologists improve their diagnostic accuracy.
The Clinical Value of Abdominal CT Imaging

Abdominal CT scans have changed how we diagnose diseases. They give us clear views of the inside of the abdomen. This makes them key in treating many abdominal problems.
CT scans show detailed cross-sectional visualization of soft tissues, organs, and blood vessels. This is very important for checking the liver, spleen, pancreas, kidneys, and the digestive system. They help find small problems that other tests might miss.
Cross-Sectional Visualization Advantages
One big plus of abdominal CT imaging is its high-resolution images. Doctors can see the size, shape, and density of organs and their position. This helps spot problems like tumors, cysts, and inflammation.
Diagnostic Applications in Abdominal Pathology
CT scans have many uses in diagnosing abdominal issues. They help find and track abdominal trauma, cancer, and vascular diseases. They also guide procedures like biopsies and drainages. This detailed view helps doctors make accurate diagnoses and plan treatments.
In summary, abdominal CT imaging is very valuable. It gives clear, detailed images of the abdomen. This is key for diagnosing and treating many abdominal conditions, making CT scans a vital part of modern medicine.
Normal CT Scan: Technical Parameters and Interpretation

Technical parameters are key in reading normal abdominal CT scans. Radiologists need to know these to spot normal and abnormal findings correctly.
Optimal Acquisition Protocols
Getting the best CT images of the abdomen is all about the right settings. These include slice thickness, how images are put together, and if contrast agents are used. The right settings depend on the patient’s needs and the doctor’s questions.
Key Parameters for Optimal Acquisition:
- Slice thickness: Usually 2-5 mm for abdominal CT scans.
- Reconstruction interval: Often 1-2 mm for detailed images.
- Contrast agent: Helps show blood vessels and the gut better.
Contrast in CT scans helps show more details. This is important for doctors to see blood vessels and the gut clearly, as the Clinical Guidelines say.
Contrast Enhancement Patterns in Healthy Tissues
How healthy tissues show up with contrast is key to spotting normal vs. abnormal on CT scans. Each organ shows up differently as contrast flows through.
| Organ | Arterial Phase Enhancement | Portal Venous Phase Enhancement |
| Liver | Peripheral enhancement | Homogeneous enhancement |
| Spleen | Heterogeneous enhancement | Homogeneous enhancement |
| Kidneys | Cortical enhancement | Cortico-medullary differentiation |
A normal CT scan shows clear organ shapes, even density, and no signs of problems. Knowing these signs is essential for accurate reading.
In summary, understanding normal CT scans is critical for doctors. Knowing the best settings and how tissues show up with contrast helps doctors make accurate diagnoses.
Image 1: Normal Liver CT Appearance
The liver looks a certain way on a normal CT scan. Knowing these looks is key to spotting problems and diagnosing liver issues.
Hepatic Parenchyma Density and Homogeneity
A normal liver CT scan shows homogeneous hepatic parenchyma density. The liver’s density is even, helping doctors tell it apart from sicknesses. It’s usually a bit denser than the spleen on non-contrast CTs.
Normal Hepatic Vasculature
The liver’s blood vessels, like the hepatic and portal veins, are clear on a normal CT scan. The hepatic veins look darker against the liver’s brightness on non-contrast images. The portal veins stand out too, thanks to their unique shape and contrast in scans.
| Characteristic | Normal Appearance on CT |
| Hepatic Parenchyma Density | Homogeneous, uniform density |
| Hepatic Veins | Low-density structures against the liver parenchyma |
| Portal Veins | Visible with a characteristic branching pattern |
Knowing how a normal liver looks on a CT scan is vital for diagnosing liver diseases. The liver’s detailed blood system is a big help for doctors using CT scans.
Image 2: Normal Spleen CT Characteristics
Knowing the normal CT features of the spleen is key for doctors and radiologists. CT scans help a lot in checking the spleen’s size and spotting any issues.
Splenic Size, Shape, and Density
The spleen looks a certain way on CT scans. It’s usually homogeneous in density and has a smooth shape. The inside of the spleen is denser than water but less dense than the liver.
| Characteristics | Normal Values/Appearance |
| Size | Typically less than 12 cm in length |
| Shape | Smooth, crescentic |
| Density | Homogeneous, slightly less than liver |
Enhancement Patterns and Common Variants
After getting contrast, the spleen shows a special way of getting brighter. At first, it looks a bit mixed because of how blood flows. But later, it gets brighter more evenly.
Some common things to see include accessory spleens. These are small bits of spleen tissue that are separate from the main spleen. They’re often found near where the spleen connects to other organs.
It’s important to know about these normal things and variations. This helps doctors understand CT scans of the spleen better. It helps them tell what’s normal and what might be a problem.
Image 3: Normal Pancreatic Anatomy on CT
Knowing the normal pancreatic anatomy on CT scans is key for correct diagnosis and treatment plans. The pancreas is a complex organ. It’s vital for digestion and controlling blood sugar levels.
Pancreatic Head, Body, and Tail Identification
The pancreas has three main parts: the head, body, and tail. On a CT scan, the pancreatic head is found in the C-loop of the duodenum. The body is in front of the superior mesenteric vessels. The tail goes towards the splenic hilum.
- The pancreatic head is usually the most prominent part and is closely associated with the duodenum.
- The body of the pancreas is typically anterior to the superior mesenteric artery and vein.
- The tail of the pancreas is the most variable part in terms of size and location.
Pancreatic Duct and Peripancreatic Fat
The main pancreatic duct runs through the pancreas, from the tail to the head, and empties into the duodenum. On CT scans, the normal pancreatic duct is usually visible. This is when it’s surrounded by enough peripancreatic fat.
- The normal diameter of the main pancreatic duct is typically less than 3 mm.
- Adequate peripancreatic fat helps in delineating the pancreas from surrounding structures.
- The presence of peripancreatic fat is an important factor in assessing the pancreas on CT scans.
CT scans are great for checking the pancreas because they show detailed images of the pancreatic tissue and duct. According to Pulse Radiology, CT scans give a full view. This is vital for diagnosing and managing pancreatic problems.
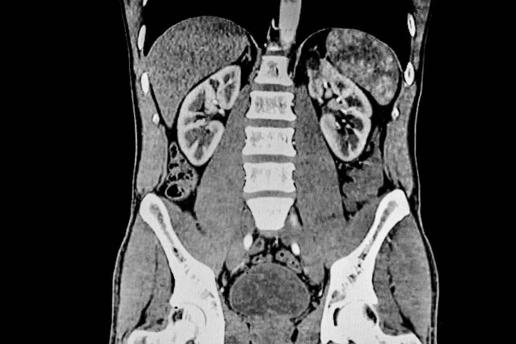
Image 4: Normal CT of Abdomen: Renal Structures
Understanding the normal CT scan images of the abdomen is key for radiologists. They look closely at the kidneys. They check the kidneys’ shape, how they light up after contrast, and if the collecting system and ureters are okay.
Kidney Morphology and Enhancement
The kidneys should look normal on a CT scan. They should have a smooth shape and be the same size. After contrast, you can see the different parts of the kidney.
Key features of normal kidney morphology on CT include:
- Smooth renal contour
- Symmetric size
- Normal cortical thickness
- Typical enhancement patterns after contrast administration
Collecting System and Ureters
The collecting system, like the renal calyces and pelvis, is checked for any issues. CT urography helps a lot with this. It looks at the kidneys, ureters, and bladder. The ureters are checked for any blockages or problems.
Normal characteristics of the collecting system and ureters on CT:
- Non-dilated renal calyces and pelvis
- Normal ureteral caliber and course
- Absence of filling defects or obstructing lesions
Knowing what a normal kidney looks like on a CT scan helps doctors find and treat kidney problems.
Image 5: Normal Adrenal Glands on Abdominal CT Scan Pictures
Normal adrenal glands show clear signs on CT scans. They are on top of each kidney. These glands make hormones that control many body functions.
Adrenal Size, Shape, and Density
The normal adrenal glands have a distinct size, shape, and density on CT scans. They are often Y-shaped or V-shaped. The right gland is usually more linear.
Their thickness is usually under 5 mm. On non-contrast CT scans, they look like the liver or spleen.
Adrenal glands can vary in size and shape among people. But, big changes might mean there’s a problem. For example, adrenal hypertrophy or enlargement can happen due to many reasons.
Differentiating Normal Adrenals from Adenomas
Telling normal adrenal glands apart from adenomas is important when looking at CT scans. Adenomas are benign tumors in the adrenal glands. They are often found by accident during scans for other reasons.
Adenomas look like well-defined, rounded masses on CT scans. They are less dense than normal adrenal glands because they have more fat. A key sign of adenomas is their low attenuation on non-contrast CT scans, showing less than 10 Hounsfield Units (HU).
This helps tell adenomas apart from other adrenal lesions, which show higher values. Knowing these signs is key to spotting normal adrenal glands and telling them apart from adenomas or other issues.
Image 6: Normal Gastrointestinal Tract CT Findings
It’s important to know what a normal CT scan of the gastrointestinal tract looks like. This helps doctors spot any problems. They check the stomach, duodenum, small bowel, and colon on these scans.
Stomach and Duodenum
The stomach and duodenum are checked for thickness and patterns. The stomach should be less than 5 mm thick when full. The duodenum should form a C-loop around the pancreas.
Normal findings include: a smooth, thin wall; normal fold thickness; and contrast inside to see the mucosa.
Small Bowel Characteristics
The small bowel is looked at for size, thickness, and how it shows up on the scan. It should be less than 3 mm thick. A special scan, CT enterography, is used to see the small bowel well, helping with Crohn’s disease diagnosis.
“CT enterography has emerged as a valuable tool in the assessment of small bowel pathology, providing detailed views of the bowel wall and lumen.”
Normal Colon CT Scan Appearance
The colon is checked for its folds and thickness. It should be less than 3 mm thick. The folds should be smooth and even.
- Smooth, thin colon wall
- Regular haustral folds
- Normal luminal diameter
Knowing these normal features is key to finding problems like inflammation or tumors on CT scans. It’s vital to understand normal CT images of the abdomen to make accurate diagnoses.
Image 7: Normal Vascular Structures in Abdominal CT Scan Images
It’s key to know what normal vascular structures look like in abdominal CT scans. The aorta, inferior vena cava, and portal venous system are complex. They need careful study to make accurate diagnoses.
Aorta and Major Branches
The aorta is the biggest artery in the abdomen. It has several major branches that feed different organs. On a normal CT scan, the aorta looks dense and enhanced with contrast. Its big branches, like the celiac trunk and superior mesenteric artery, are also seen.
| Vessel | Normal Diameter | Characteristics on CT |
| Aorta | 2-3 cm | Dense, contrast-enhanced |
| Celiac Trunk | 0.5-1 cm | Originates from the aorta |
| Superior Mesenteric Artery | 0.5-1 cm | Arises below the celiac trunk |
Inferior Vena Cava and Portal Venous System
The inferior vena cava (IVC) is a big vein that carries blood from the lower body to the heart. On CT scans, it looks less dense than the aorta because it doesn’t get contrast. The portal venous system, including the portal vein, is seen after contrast is given.
“CT angiography is a valuable tool for evaluating vascular diseases, including aneurysms and stenosis.” – Pulse Radiology
Normal Vessel Caliber and Enhancement
Normal vessels have specific sizes and enhancement patterns on CT scans. The aorta and its branches should be the same size. The IVC size can change based on hydration and position. The portal vein and its branches are clear after contrast.
Knowing these normal vascular structures and their CT scan looks is vital. It helps in spotting vascular problems and diseases.
Image 8: Normal Abdominal CT Scan and Pelvis: Pelvic Organs
The pelvic organs, like the bladder and reproductive organs, are key to CT scans. They help doctors find and treat diseases. This is important for a patient’s health.
Bladder Appearance and Distension
The bladder is a vital organ checked on CT scans. It should look like a fluid-filled shape with a smooth wall. How full it is can change based on how hydrated the person is and when the scan is done.
Normal Bladder Characteristics:
- Smooth wall
- Fluid-filled
- Variable distension
A well-distended bladder is easier to see because its walls are thin and even. But a bladder that’s not full enough can be harder to look at because its walls are thicker.
| Bladder Status | Wall Thickness | Diagnostic Ease |
| Well-distended | Thin | Easy |
| Poorly distended | Thick | Challenging |
Gender-Specific Structures
CT scans also look at organs specific to each gender. These include the prostate in men and the uterus and ovaries in women. Knowing what these organs should look like is key to spotting problems.
In men, the prostate gland is checked for size and texture. If it’s too big or looks off, it could mean a health issue.
In women, the uterus and ovaries are looked at for size, shape, and any oddities. The uterus’s inside is also checked.
The Clinical Guidelines say CT scans are good for looking at the bladder and reproductive organs. Getting these organs right on a CT scan is very important for patient care.
“The use of CT scans in evaluating pelvic organs has become a standard practice in radiology, providing detailed insights into the anatomy and possible pathologies of these structures.”
Image 9: Normal Peritoneal Spaces and Mesentery
Understanding normal peritoneal spaces and mesentery on CT scans is key for accurate diagnosis. The peritoneal cavity, with its spaces and mesentery, is complex. It needs careful evaluation.
Peritoneal Reflections and Recesses
The peritoneum lines the abdominal cavity and covers organs. Peritoneal reflections are where the peritoneum folds back, creating recesses and spaces. On a normal abdominal CT scan, these should be checked for any issues.
According to
“Radiology of the Abdomen” by a renowned radiologist, “the normal peritoneal reflections and recesses are critical landmarks in evaluating the abdominal cavity.”
Normal Fat Distribution and Density
The mesentery, a tissue fold, attaches the intestine to the abdominal wall. It contains fat visible on CT scans. The fat’s normal distribution and density are key signs of no disease. In a normal scan, the mesenteric fat should be even and have a specific density.
- The mesenteric fat should be evenly distributed.
- The density of the fat should be consistent with normal adipose tissue.
Absence of Free Fluid in Normal Abdomen CT Images
A normal abdominal CT scan shows no free fluid in the peritoneal cavity. Free fluid can mean hemorrhage, ascites, or infection. On a normal CT scan, the peritoneal spaces should be free of abnormal fluid.
As noted by Pulse Radiology, CT scans help check the peritoneal cavity. They detect free fluid or air, which can signal disease. So, a normal abdominal CT scan should not have free fluid. This highlights the need to carefully check the peritoneal spaces and mesentery.
Image 10: Normal Lymph Nodes and Soft Tissues
Looking at lymph nodes and soft tissues is key in abdominal CT scans. It helps doctors find and treat many health issues.
Normal Lymph Node Size and Distribution
On CT scans, normal lymph nodes are small, less than 10 mm in size. They are found in certain areas like the retroperitoneum and along big blood vessels. The size and where they are can change based on the person and their health.
Table: Normal Lymph Node Size by Location
| Location | Normal Size (Short-Axis Diameter) |
| Retroperitoneum | < 10 mm |
| Mesentery | < 8 mm |
| Along Major Vessels | < 10 mm |
Abdominal Wall Structures
The abdominal wall has layers like skin, fat, muscles, and the peritoneum. CT scans check these for normal shapes and any problems like tumors or fluid.
Distinguishing Normal from Pathologic Lymphadenopathy
Telling normal lymph nodes from those that are sick is very important. Nodes bigger than 10 mm might show diseases like infections or cancer. Looking at the nodes inside for signs like necrosis or calcification helps tell if it’s bad or not.
Clinical correlation is essential when checking lymph nodes and soft tissues on CT scans. This ensures doctors get the right diagnosis.
Conclusion: Applying Normal Abdominal CT Knowledge in Clinical Practice
Knowing what a normal abdominal CT scan looks like is key for correct diagnosis and treatment. A normal ct scan abdomen helps doctors spot problems early. This guide has shown what to look for in normal scans, like the shape of organs.
Doctors and radiologists can get better at their jobs by knowing what’s normal. Spotting the difference between normal and abnormal scans is important. Pulse Radiology says knowing normal CT scans helps doctors find and treat problems.
Using this knowledge in real-world medicine is essential for top-notch care. This guide is a great tool for those working with abdominal scans. It helps doctors understand what’s normal and make better treatment plans.
FAQ
What is a normal abdominal CT scan?
A normal abdominal CT scan shows images at different levels. It confirms the usual size and shape of organs like the liver, spleen, pancreas, and kidneys.
What are the technical parameters involved in abdominal CT imaging?
Technical details like contrast agents are key for clear images. Knowing these details helps doctors make accurate diagnoses.
How do contrast enhancement patterns help in distinguishing normal from abnormal findings?
Healthy tissues like the liver, spleen, and kidneys show specific contrast patterns. These patterns help doctors tell normal from abnormal findings.
What is the normal liver CT appearance?
The liver looks normal on CT scans if it’s evenly dense and has clear blood vessels. The veins and portal veins stand out.
What are the normal CT characteristics of the spleen?
The spleen looks normal on CT scans if it’s the right size and shape. Its density is even, and it enhances in a specific way after contrast.
How is the normal pancreatic anatomy visualized on CT scans?
On CT scans, the pancreas is seen as three parts: head, body, and tail. The pancreatic duct is also visible. The fat around it helps define the gland’s edges.
What is the normal CT appearance of the kidneys?
The kidneys look normal on CT scans if they’re the right shape and enhance properly after contrast. The collecting system and ureters are also checked for issues.
How are normal adrenal glands differentiated from adenomas or other pathologies on CT scans?
Adrenal glands look normal on CT scans if they’re the right size and shape. Telling them apart from adenomas or other problems is important, as many people have adrenal masses by chance.
What are the normal CT findings in the gastrointestinal tract?
The stomach, duodenum, small bowel, and colon look normal on CT scans if they have the right features. The stomach and duodenum are checked for thickness and patterns.
How are normal vascular structures evaluated on abdominal CT scans?
On abdominal CT scans, the aorta and its branches, the inferior vena cava, and the portal veins are checked. They’re looked at for size, enhancement, and signs of disease.
What is the normal appearance of the pelvic organs on CT scans?
The bladder, prostate in men, and uterus and ovaries in women are evaluated on CT scans. They’re checked for normal appearance and any problems.
How are normal peritoneal spaces and mesentery evaluated on CT scans?
The peritoneal spaces and mesentery are evaluated on CT scans for their typical anatomy. The fat in the mesentery is also checked for its distribution and density.
What is the significance of understanding normal lymph nodes and soft tissues on CT scans?
Knowing what normal lymph nodes and soft tissues look like on CT scans is key. It helps doctors tell normal from abnormal and make accurate diagnoses.
What is the clinical value of understanding normal abdominal CT scans?
Understanding normal abdominal CT scans is vital for doctors and radiologists. It helps in making accurate diagnoses and guiding treatment.
Reference
- Bayramoğlu, Z., et al. (2022). Reference Ranges of Age-Based Liver, Spleen, and Pancreas Dimensions on Contrast-Enhanced CT Images. Radiology and Oncology, 56(1), 53-63.https://www.ncbi.nlm.nih.gov/pmc/articles/PMC9366329/