
Imaging technologies are key in diagnosing and treating medical conditions. Many patients get PET vs CT scans to help doctors. Almost 20% of cancer diagnoses need more imaging to confirm the disease.
CT scans show detailed body images. But, PET scans reveal how tissues work. This is important because it lets doctors find conditions CT scans can’t see. For example, PET scans can spot cancer before it changes the body’s structure.
Key Takeaways
- PET scans detect metabolic activity, unlike CT scans which focus on anatomy.
- The comparison of PET and CT scans is critical for accurate diagnosis.
- PET scans can identify conditions like cancer earlier than CT scans.
- Understanding the difference between PET and CT scans aids in treatment planning.
- The choice between PET and CT scans depends on the medical condition being diagnosed.
The Fundamental Differences Between PET and CT Imaging

PET and CT imaging are different because they show different things. CT scans give detailed pictures of the body’s structure. PET scans show how tissues are working by looking at their metabolic activity.
Anatomical vs Functional Imaging Approaches
CT scans are great for seeing the body’s inside parts. They use X-rays to make detailed pictures of organs and bones. PET scans, on the other hand, look at how these parts work by checking their metabolic activity.
PET imaging is key for checking how tissues use glucose. The most used tracer, FDG (Fluorodeoxyglucose), shows up in areas that use a lot of glucose. This usually means there’s something wrong, like cancer or inflammation.
How Each Technology Creates Medical Images
CT scans make images by seeing how X-rays are blocked by the body. Different tissues block X-rays in different ways, making detailed pictures.
PET scans work by catching gamma rays from special tracers. When these tracers build up in certain areas, the PET scanner picks up the gamma rays. This makes an image that shows where the tracers are and how much there is.
| Imaging Modality | Primary Use | Image Creation Method |
| CT | Anatomical Imaging | X-ray attenuation |
| PET | Functional Imaging | Detection of gamma rays from tracers |
The Complementary Nature of Both Modalities
PET and CT imaging are used together to get a better picture of a patient’s health. This combination, called hybrid imaging, mixes the detailed pictures of CT with the functional info of PET.
This way of combining them helps doctors make more accurate diagnoses and plan better treatments. It’s very helpful in cancer care, where it helps see how far the disease has spread and how well treatments are working.
How CT Scans Work: Capabilities and Limitations
CT scans help doctors find and track many health issues with great accuracy. They are a key tool in today’s medicine, showing detailed pictures of what’s inside our bodies.
X-ray Based Technology and Structural Imaging
CT scans use X-rays to see inside the body. An X-ray tube and detectors move around the patient, taking pictures from all sides. Then, computers turn these images into detailed pictures or 3D models.
Key aspects of CT scan technology include:
- High-resolution imaging of bones, organs, and soft tissues
- Rapid scan times, often completing in a matter of minutes
- Ability to image a wide range of body parts, from head to toe
What CT Excels at Visualizing

CT scans are great at showing:
- Bony structures and detecting fractures or degenerative changes
- Internal injuries, such as bleeding or organ damage
- Lung and chest conditions, including pneumonia or tumors
- Vascular structures when used with contrast agents
A study in a Journal shows CT scans are very good at finding acute appendicitis. This makes them very useful in emergency care.
| Condition | CT Scan Capability | Clinical Utility |
| Fractures | High-resolution imaging | Accurate diagnosis of bone injuries |
| Lung Nodules | Detailed visualization | Early detection of possible cancers |
| Vascular Diseases | Contrast-enhanced imaging | Checking blood vessel health |
Where CT Falls Short in Diagnostic Imaging
Even though CT scans are very useful, they have some limits. They might not give as much information as other tests like PET scans. Also, they use radiation and contrast agents can be harmful to the kidneys.
“The use of CT with other tests like PET can really help doctors make better decisions.” – A Radiologist
As we learn more about CT and PET scans, it’s clear that knowing their strengths and weaknesses is key for the best care.
The Science Behind PET Scanning Technology
PET scanning technology works by detecting positron emissions from radioactive tracers. This method lets us see and measure how the body works. It gives us important information for diagnosis.
Radioactive Tracers and Positron Emission
PET scanning uses small amounts of radioactive tracers injected into the body. These tracers go to areas that are very active, like growing tumors. When the tracer decays, it sends out positrons, which then emit gamma rays.
The PET scanner catches these gamma rays. It uses them to make detailed images of the body’s metabolic processes.
FDG and Glucose Metabolism Detection
Fluorodeoxyglucose (FDG) is a common PET tracer. It’s a glucose analog that cells take up based on their glucose use. Tumors, with their high metabolic rates, take up more FDG.
This makes tumors visible on PET scans. PET is great for finding and checking cancer, and seeing how treatments work.
How PET Creates Functional Images
To make PET images, several steps are taken. First, the tracer is given and spreads in the body. Then, the PET scanner catches the gamma rays from the tracer.
It uses this info to build detailed, three-dimensional images of metabolic activity. These images show how tissues and organs are working, adding to what other scans show.
| Imaging Modality | Primary Use | Information Provided |
| PET | Cancer diagnosis, neurological disorders | Metabolic activity, functional status |
| CT | Anatomical imaging, trauma assessment | Structural details, anatomical information |
Anatomical vs Functional Imaging Approaches
PET scans focus on metabolic activity, showing how tissues work. CT scans, on the other hand, focus on structure, showing the body’s layout. Both are important and work well together.
“The combination of PET and CT imaging allows for the precise localization of metabolic abnormalities, enriching diagnostic accuracy and guiding treatment decisions.”
Nuclear Medicine Expert
The Complementary Nature of Both Modalities
Using PET and CT together is powerful. PET shows metabolic activity, while CT shows structure. This combination helps doctors make better diagnoses and plan treatments.
PET vs CT: Direct Comparison of Capabilities
PET and CT scans are both key for diagnosing diseases. But they differ in how well they can see details and detect changes. Knowing these differences helps doctors choose the best scan for each patient.
Resolution, Sensitivity, and Specificity Differences
PET scans are great at finding early signs of disease by looking at how tissues work. But they don’t show as much detail as CT scans. CT scans, on the other hand, give clear pictures of the body’s structure.
When PET and CT scans are used together, they work even better. The PET scan’s functional info adds to the CT scan’s detailed images.
PET scans are top-notch at spotting changes in how tissues work. This is super helpful in cancer care, where they can find cancer cells by looking at their sugar use.
Radiation Exposure Considerations
Both PET and CT scans use radiation, but in different ways. CT scans use X-rays for detailed images, while PET scans use radioactive tracers. The amount of radiation from a PET scan depends on the tracer used.
It’s important to think about radiation exposure to protect patients, like kids and young adults, who are more at risk.
Cost and Accessibility Factors
PET scans are pricier than CT scans because of the radioactive tracers and the imaging process. Also, PET scanners are not as common as CT scanners, making them harder to access.
Looking at how much a scan costs helps decide which one is best. It’s about finding the right balance between getting good info and keeping costs down.
Metabolic Activity: The Key Advantage of PET Imaging
PET imaging shows how tissues and cells work. It tells us a lot about cell behavior, which is key in disease.
Visualizing Cellular Energy Consumption
PET imaging, with FDG (fluorodeoxyglucose), lets doctors see how cells use glucose. Cancer cells use more glucose than normal cells. This helps spot tumors.
A small amount of radioactive tracer, like FDG, is given to the patient. The PET scanner then shows how cells use this tracer. This gives a detailed look at how cells use energy.
Quantifying Metabolic Rates with SUV
The Standardized Uptake Value (SUV) is a key tool in PET imaging. It measures how much tracer is taken up by tissues. High SUV values mean cells are very active, like in cancer.
Doctors use SUV to see how aggressive tumors are. They also check how tumors react to treatment over time.
Detecting Functional Changes Before Structural Alterations
PET imaging is great at spotting metabolic changes early. These changes show up before they can be seen on CT scans. This is very useful for catching diseases early.
In cancer treatment, PET scans can show if a tumor is responding to therapy. This is before the tumor size changes.
Cancer Detection: Where PET Outperforms CT
PET scans are better at finding cancer because they look at how cells work, not just their shape. They show how active cells are, which helps spot cancer early and accurately. This is different from CT scans, which mainly show what cells look like.
Identifying Malignancies Based on Metabolic Activity
PET scans use special tracers that cancer cells grab more of because they work harder. This makes cancer cells show up clearly on PET scans. It’s like a spotlight on cancer, even when it’s small.
- Early Detection: PET scans can find cancer early, when it’s easier to treat.
- Metabolic Insights: They give clues about how tumors work, helping doctors plan treatment.
- Comprehensive Assessment: They help see how far cancer has spread in the body.
Finding Occult Metastases Invisible to CT
PET scans are great at finding hidden cancer spots that CT scans miss. These are small or hidden cancer cells that haven’t changed much yet but are active.
Finding these hidden spots is key for accurate treatment plans. It helps doctors plan better treatments, which can lead to better results for patients.
Differentiating Between Viable Tumor and Necrotic Tissue
It’s hard to tell if a mass is alive or dead after treatment with just CT scans. PET scans can tell by looking at how active the cells are.
- A living tumor will show a lot of activity.
- Dead tissue won’t show much activity.
This helps doctors decide if more treatment is needed, like surgery, chemo, or radiation.
Treatment Response Assessment Capabilities of PET
PET scans have changed how we check if treatments are working. They show how active tissues are, helping us see if treatments are effective early on.
Early Detection of Therapy Effectiveness
PET scans are great at spotting changes in tissue activity early. This lets doctors know if a treatment is working before big changes show up. We use a special tracer, like FDG, to see how active tumors or other tissues are.
Identifying Non-Responders Before Anatomical Changes
PET scans can tell if a treatment isn’t working early on. This is key for changing the treatment plan. It helps avoid using treatments that don’t work and reduces side effects. This is very important in cancer treatment, where quick changes can make a big difference.
Monitoring Residual Disease After Treatment
After treatment, PET scans check for any leftover disease. This is important for deciding what to do next, like more treatment or watching closely. PET scans are good at finding active areas, helping us see if a tumor is gone or not.
In summary, PET scans are a powerful tool for checking how treatments are working. They help us see if treatments are effective, find out if they’re not working, and check for any disease left after treatment. They are a key part of modern healthcare.
Neurological Conditions Uniquely Visualized by PET
PET scans have changed how we diagnose neurological conditions. They offer insights that other methods can’t. We use PET imaging to understand the brain’s function and metabolism. This is key for diagnosing and managing complex neurological disorders.
Alzheimer’s Disease and Amyloid Plaque Imaging
PET is vital in diagnosing and managing Alzheimer’s disease. Amyloid PET imaging lets us see amyloid plaques in the living brain. This is important for early diagnosis and tracking treatment success.
Research shows that amyloid PET can spot Alzheimer’s early, even before symptoms appear. This early detection helps doctors start treatment sooner.
“Amyloid PET imaging has transformed the landscape of Alzheimer’s diagnosis, providing a direct measure of amyloid burden in the brain.”
A Neurologist
Parkinson’s Disease and Dopamine Transporter Visualization
PET imaging is also key in diagnosing and managing Parkinson’s disease. Dopamine transporter imaging with PET checks the nigrostriatal dopaminergic system. This system is affected in Parkinson’s. This imaging helps confirm the diagnosis and track how the disease progresses.
| Condition | PET Imaging Application | Clinical Benefit |
| Alzheimer’s Disease | Amyloid Plaque Imaging | Early diagnosis and monitoring treatment effectiveness |
| Parkinson’s Disease | Dopamine Transporter Imaging | Confirming diagnosis and monitoring disease progression |
Epileptic Focus Localization for Surgical Planning
For patients with epilepsy who might need surgery, PET imaging is very helpful. It finds the source of abnormal brain activity. This helps neurosurgeons plan the best surgery, which can lead to better results for patients.
We keep relying on PET imaging for diagnosing and managing neurological conditions. Its ability to show the brain’s metabolism and activity makes it essential in modern neurology.
Cardiac Viability Assessment with PET Imaging
PET imaging has changed how we check if the heart is working right. It shows the heart’s activity, helping doctors care for patients with heart disease or after a heart attack.
Identifying Hibernating Myocardium
PET imaging is great for finding hibernating heart tissue. This tissue doesn’t work well because of low blood flow but can get better. PET scans spot these areas by showing where the heart isn’t working as it should.
Doctors use this info to decide if a patient needs a heart surgery. Knowing this helps them choose the best treatment and improve patient results.
Quantifying Coronary Blood Flow and Reserves
PET imaging helps measure blood flow to the heart and how much it can increase. This is important because it shows how well the heart can handle stress. If the heart can’t increase blood flow, it might have early heart disease.
Quantifying Coronary Blood Flow and Reserves with PET
| Parameter | Description | Clinical Significance |
| Coronary Blood Flow(CBF) | Measures the actual blood flow to the heart muscle | Helps in diagnosing coronary artery disease |
| Coronary Flow Reserve (CFR) | Ratio of maximum to resting coronary blood flow | Indicates the heart’s ability to respond to stress |
Detecting Early Cardiac Metabolic Abnormalities
PET imaging is also good at finding early heart problems. It checks the heart’s activity, spotting changes before they cause damage. This early detection helps doctors act fast to stop heart disease from getting worse.
In people with diabetes or obesity, PET scans can spot heart changes early. These changes raise the risk of heart failure. Early detection lets doctors start treatments to lower this risk.
Infection and Inflammation Detection Advantages
PET scans are great at finding infections and inflammation. They give important info that CT scans might miss. This is key in hospitals where quick and right diagnosis can really help patients.
Localizing Occult Infections Invisible to CT
PET imaging is top-notch at finding hidden infections that CT scans can’t see. This is super helpful when patients show signs of infection but CT scans don’t show where it is.
We use PET scans to spot metabolic changes that show infection. For example, in suspected osteomyelitis, PET scans can find infection areas even if CT scans look normal.
“PET imaging has changed how we find and treat infections, when other methods don’t work.”
Infectious Disease Specialist
Fever of Unknown Origin Investigation
PET scans are also key in finding the cause of fever that doesn’t have a known source (FUO). They show where there’s abnormal metabolic activity. This helps us figure out what’s causing the fever.
| Diagnostic Modality | FUO Investigation Capability |
| PET Scan | High sensitivity for detecting metabolic abnormalities |
| CT Scan | Limited to anatomical abnormalities |
Monitoring Inflammatory Disease Activity
PET scans also help track how inflammatory diseases are doing. This is really useful for managing diseases like sarcoidosis or large vessel vasculitis. Knowing how active the disease is helps us decide on the best treatment.
We use PET scans to see how much inflammation there is and how well treatment is working. For example, in large vessel vasculitis, PET scans show how much inflammation is in the vessel walls. This helps us tailor treatment plans.
By using PET imaging, we can make diagnoses more accurate. This improves care for patients with infections and inflammation.
Advanced PET Tracers Beyond FDG
PET imaging is getting better with new tracers. These advanced PET tracers help solve specific problems better than FDG. They offer more precise diagnosis.
PSMA-PET for Prostate Cancer Detection
PSMA-PET is a big step forward for prostate cancer. It uses Prostate-Specific Membrane Antigen (PSMA) to find cancer better than before. This is key when other methods fail.
PSMA-PET is great for spotting cancer spread and planning treatment. It finds cancer at lower PSA levels than usual imaging. This makes it a key tool in prostate cancer care.
Somatostatin Receptor Imaging for Neuroendocrine Tumors
Somatostatin receptor imaging is another big deal. It targets neuroendocrine tumors that have these receptors. Somatostatin receptor PET helps find and stage these tumors accurately. This is vital for choosing the right treatment.
This method is excellent for finding small tumors and metastases. It’s better than other imaging for neuroendocrine tumors.
Amino Acid Tracers for Brain Tumor Evaluation
Amino acid tracers like FET and MET are important for brain tumors. They show how tumor cells take up amino acids. This helps see how big the tumor is and how it’s working.
These tracers are great for telling apart tumor growth from treatment effects. They give metabolic info. This helps doctors decide on treatment and predict outcomes.
Hybrid PET/CT Imaging: Combining Strengths
Hybrid PET/CT imaging is a powerful tool for doctors. It shows where metabolic problems are in the body. This is because it combines PET’s metabolic info with CT’s detailed images.
How Integration Overcomes Individual Limitations
PET is great at finding metabolic activity, but it lacks detailed images. CT, on the other hand, shows body structures well but misses metabolic changes. Hybrid PET/CT fixes this by combining both, giving a full view of body functions and structures.
This mix boosts how well doctors can diagnose. For example, in cancer, it helps pinpoint tumors’ exact spots. This is key for planning treatments.
Precise Anatomical Localization of Metabolic Abnormalities
Hybrid PET/CT is excellent at pinpointing where metabolic issues are. This is super useful in tricky areas like the head and neck or pelvis.
The table below shows how hybrid PET/CT helps in different situations:
| Clinical Scenario | Benefit of Hybrid PET/CT |
| Cancer Staging | Accurate localization of primary tumors and metastases |
| Treatment Planning | Precise delineation of tumor boundaries for radiation therapy |
| Neurological Disorders | Detailed assessment of brain metabolism and anatomy |
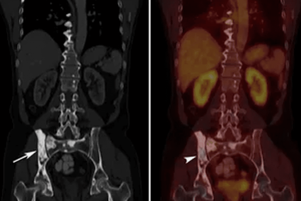
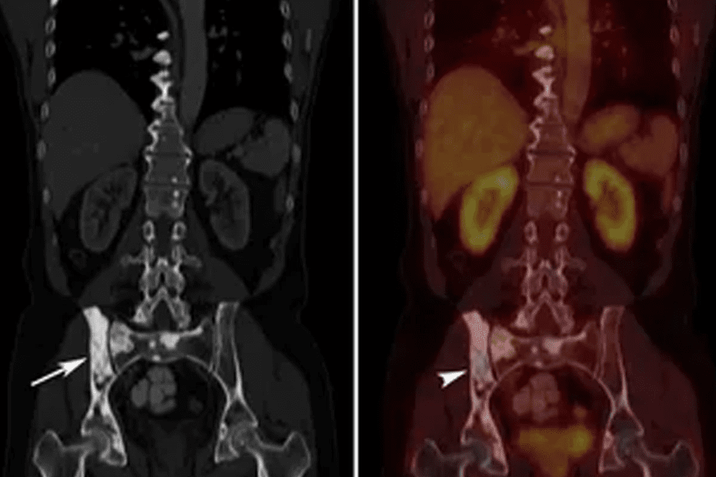
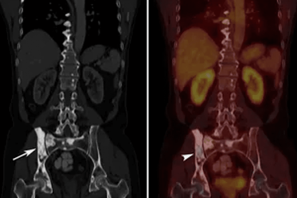
Clinical Impact on Staging and Treatment Planning
Hybrid PET/CT has a big impact on how doctors plan treatments. It gives a clear picture of how far a disease has spread. This helps doctors make better treatment plans.
“The use of hybrid PET/CT has revolutionized the field of oncology, allowing for more precise staging and treatment planning.”
An Oncologist
As shown in the image below, hybrid PET/CT imaging provides a fused view of PET and CT data, enriching the information doctors have.
We think hybrid PET/CT will keep getting better. This will help patients even more in many medical areas.
Clinical Scenarios Where PET is the Superior Choice
PET scans have clear advantages over CT scans in certain situations. They give us functional information that’s key for diagnosing and treating many health issues.
PET scans stand out in oncology, neurology, and cardiology. Let’s dive into these areas.
Oncology Applications Beyond CT Capabilities
In oncology, PET scans are great for checking tumor activity. This lets us:
- Spot tumors based on activity, even if CT scans can’t see them
- Find hidden metastases that CT scans miss
- Tell the difference between live tumor cells and dead tissue after treatment
These uses are vital for cancer staging and planning treatments, giving us a clearer picture than CT scans alone.
Neurological Conditions Requiring Metabolic Assessment
PET scans are also key in neurology, for conditions needing metabolic checks. We use them to:
- Spot Alzheimer’s disease by finding amyloid plaques
- Check dopamine levels in Parkinson’s disease patients
- Find the source of seizures for surgery in epilepsy patients
These uses show PET scans’ unique ability to offer functional info not available from CT scans.
Cardiac Viability Questions Unanswerable by CT
In cardiology, PET scans are essential for checking heart health. They help us:
- Find heart muscle that’s alive but not working
- Measure blood flow and reserve in the heart, showing how well it functions
- Spot early heart problems, even before structural changes show up
These uses are critical for finding the best treatments for heart conditions.
In summary, PET scans are the better choice in many cases, like in oncology, neurology, and cardiology. Their ability to give us functional info is priceless.
Limitations and Challenges of PET Technology
It’s important to know the limits of PET scans for them to work well in medical diagnosis. PET technology has changed medical imaging a lot. But, it faces some big challenges.
PET scans can sometimes show false positives. This means they might show something that isn’t really there. This can happen because of inflammation, infection, or even normal body processes. For example, brown fat can sometimes look like cancer on a PET scan, causing worry and more tests.
False Positive Uptake Patterns and Their Causes
There are many reasons for false positives in PET scans. These include:
- Inflammatory processes
- Infections
- Physiological processes like muscle activity or brown adipose tissue uptake
- Certain types of benign tumors
Knowing why false positives happen is key to understanding PET scan results. Doctors need to look at the whole picture of the patient. They might also use other imaging tests to be sure.
Spatial Resolution Constraints
PET scans can’t see as much detail as other imaging methods. They have lower resolution than CT or MRI scans. This makes it hard to find small tumors or spots.
Even though PET tech has gotten better, it’s not perfect. Finding very small tumors or metastases is a big challenge.
| Imaging Modality | Typical Spatial Resolution |
| PET | 4-6 mm |
| CT | 0.5-1 mm |
| MRI | 1-3 mm |
Patient Preparation Requirements and Contraindications
PET scans need careful preparation to get good results. Patients must fast, avoid hard exercise, and control their blood sugar. This is very important for FDG-PET scans.
Some conditions, like diabetes, can affect PET scan results. Doctors need to think about this when they look at the scans.
PET scans are not for everyone. They’re not safe for pregnant women, breastfeeding moms, or people with severe claustrophobia. Also, anyone allergic to the PET tracer can’t have a scan.
Knowing the limits and challenges of PET scans helps doctors use them better. They can understand the results in the context of the patient’s health.
Future Developments in PET Imaging Technology
PET imaging technology is on the verge of a big change. This is thanks to new tracer chemistry and scanner designs. It will keep being a key tool in medical diagnostics, giving us new insights into diseases and how they respond to treatment.
Next-Generation PET Tracers
New PET tracers are being researched, with many in clinical testing. These tracers aim to be better than current ones like FDG. They want to be more specific for certain diseases or biological processes.
For example, tracers for PSMA are showing promise in prostate cancer imaging. They help find tumors and metastases more accurately. Tracers for somatostatin receptors are also helping us see neuroendocrine tumors better.
Improvements in Resolution and Sensitivity
New PET scanner technology is being developed. It aims to improve image resolution and sensitivity. This means we can see smaller structures and lesions more clearly.
Also, scanners are getting better at detecting smaller amounts of tracer. This means we can use less tracer, which is safer for patients. These changes will help a lot in oncology, where finding small tumors early is key.
Artificial Intelligence Applications in PET Interpretation
Artificial intelligence (AI) is being used in PET imaging too. AI algorithms help with image analysis. They can spot patterns and abnormalities that might be missed by humans.
AI also helps make image analysis more consistent. This is great for studies done in different places. It ensures the results are reliable.
Looking ahead, PET imaging will get even better. New tracers, better scanners, and AI will change the game. We’ll get more accurate diagnoses, personalized treatments, and better patient care.
Conclusion: The Unique Value of PET in Modern Medical Imaging
We’ve looked at how PET imaging is better than CT scans in many areas. PET shows how cells work, helping find and track diseases early.
In fields like cancer, brain health, and heart issues, PET is key. It offers a look into how diseases work, something CT scans can’t do.
Knowing the differences between PET and CT scans helps doctors make better choices. As imaging tech gets better, PET’s role in finding and treating diseases will stay important.
Using PET’s strengths can lead to better care and outcomes for patients. It’s a big part of making modern medical imaging better.
FAQ
What is the main difference PET and CT scans?
PET scans show how the body’s cells work. CT scans give detailed pictures of the body’s structure.
What can PET scans detect that CT scans cannot?
spot changes in cell activity before they show up in pictures. This is helpful in finding cancer, studying the brain, and checking PET scans can the heart.
How do PET scans work?
PET scans use special tracers that light up where cells are active. This lets the scanner make detailed images of cell activity.
What are the advantages of hybrid PET/CT imaging?
Hybrid PET/CT imaging combines the best of both worlds. It gives clear pictures of where problems are in the body, helping doctors plan better.
When is PET the superior choice over CT?
PET is better for finding cancer, studying the brain, and checking the heart. It can see things CT can’t.
What are the limitations of PET technology?
PET technology has some downsides. It can sometimes show false positives, has limits in detail, and needs special preparation. These can affect how well images are understood.
How do PET scans compare to CT scans in terms of radiation exposure?
Both PET and CT scans use radiation. But PET scans usually have a similar or slightly higher dose than CT scans, depending on the details.
Can PET scans detect infections and inflammation?
Yes, PET scans can find infections and inflammation. They show where cells are working hard, helping doctors find and track these issues.
What are some advanced PET tracers beyond FDG?
New PET tracers include PSMA-PET for prostate cancer, somatostatin for neuroendocrine tumors, and amino acid tracers for brain tumors. They help find problems more accurately.
How do PET scans assess treatment response?
PET scans can see how well treatments are working early on. They help find out if treatments are not working and if there’s any disease left. This helps doctors adjust plans as needed.
References
Bhoriwal, S., et al. (2021). A prospective study comparing the role of 18 FDG PET/CT with conventional imaging for staging locally advanced breast carcinoma patients. Journal of Cancer Research, 12(3), 256-267. https://pmc.ncbi.nlm.nih.gov/articles/PMC8272774/
Engel, R., et al. (2024). Diagnostic accuracy and treatment benefit of PET/CT in colorectal cancer. European Journal of Radiology, 164, 110892. https://www.sciencedirect.com/science/article/pii/S0960740424001191