Last Updated on November 27, 2025 by Bilal Hasdemir

Cerebral edema is a serious condition where too much fluid builds up in the brain. This causes swelling and can lead to severe problems.
At Liv Hospital, we know how important it is to spot the symptoms of cerebral edema. These include headaches, nausea, vomiting, and changes in how you feel or think.
There are several types of cerebral edema, like vasogenic, cytotoxic, and hydrostatic. Each needs quick diagnosis and treatment to avoid lasting harm.
We aim to offer top-notch healthcare and support to patients from around the world. We help those seeking advanced treatments for cerebral edema.
When the brain swells, it’s called cerebral edema. This happens when the balance of fluids in the brain is upset. It can cause the brain to press too hard on itself, leading to serious damage. Cerebral edema is a serious medical condition that needs quick action.
The brain works well because of a special barrier. This blood-brain barrier controls what gets into the brain from the blood. If this balance is broken, it can cause cerebral edema.
Cerebral edema can happen in different ways. Vasogenic edema is when the blood-brain barrier breaks down, letting fluid into the brain. Cytotoxic edema is when cells swell because of problems with how they work. Knowing how these happen helps doctors find the right treatments.
Experts say, “The way cerebral edema works is very complex. It involves many different parts of cells and molecules.” This shows why doctors need to carefully check and treat it.
It’s important to know the signs of brain swelling to get help fast. Brain swelling, or cerebral edema, shows itself in different ways. We’ll talk about the early signs and serious symptoms to know when to go to the doctor.
The first signs of cerebral edema can be small but are very important. These include:
A severe headache is often the first sign. It might also come with sensory disturbances like vision changes or being too sensitive to light and sound.
Nausea and vomiting can happen because of increased pressure in the brain. This is a sign of cerebral edema.
As cerebral edema gets worse, symptoms get more serious. These include:
Altered consciousness, from being confused to being in a coma, and seizures can happen because of the brain pressure.
In very bad cases, cerebral edema can cause life-threatening complications. This includes brain herniation, where brain tissue gets pushed and moved.
If you or someone else has symptoms of cerebral edema like a bad headache, nausea, vomiting, changed consciousness, or seizures, get emergency care right away. Quick medical help can really help.
Vasogenic cerebral edema is a serious condition where the blood-brain barrier is disrupted. This leads to too much fluid in the brain, causing it to swell. The blood-brain barrier is key to keeping the brain’s environment stable, and its failure can have big effects.
The breakdown of tight junctions in the blood-brain barrier causes vasogenic cerebral edema. This breakdown lets fluid and proteins leak into the brain’s tissue.
Tumors and inflammation are big reasons for vasogenic cerebral edema. Tumors can damage the blood-brain barrier by releasing VEGF, which makes blood vessels more leaky. Inflammation also harms the blood-brain barrier by releasing pro-inflammatory cytokines.
Traumatic brain injury (TBI) is another major cause of vasogenic cerebral edema. TBI can damage the blood-brain barrier, making it more permeable and leading to swelling. The severity of swelling depends on the injury’s extent.
The symptoms of vasogenic cerebral edema vary based on the cause and how severe it is. Symptoms can include headaches, nausea, vomiting, and changes in mental status. Treatment aims to lower brain pressure and fix the underlying issue. This might involve using corticosteroids to reduce inflammation, surgery to remove tumors or repair blood vessels, and other supportive care.
Cellular swelling in the brain, known as cytotoxic cerebral edema, is a serious condition. It needs quick medical help. We will look at what causes this swelling, focusing on how lack of oxygen and toxins affect the brain.
Cytotoxic cerebral edema happens when brain cells don’t work right. This is often because of problems with how the brain uses energy. Hypoxic-ischemic mechanisms are key, where not enough oxygen and blood flow cause cells to swell.
Hypoxic-ischemic injury is a big reason for cytotoxic edema. When brain tissue doesn’t get enough oxygen and glucose, it swells and gets damaged. A medical expert says, “Hypoxic-ischemic brain injury is a major cause of brain problems and death worldwide.”
“The pathophysiology of hypoxic-ischemic brain injury involves complex cellular and molecular mechanisms that ultimately lead to neuronal damage and death.”
Source: Expert Statement on Hypoxic-Ischemic Brain Injury
Toxins and metabolic problems also cause cytotoxic cerebral edema. Being exposed to harmful substances or having metabolic issues can make cells swell. For example, diabetes or certain drugs can lead to this swelling.
Doctors use imaging like MRI and clinical checks to find cytotoxic cerebral edema. Treatment aims to fix the cause, manage symptoms, and lower brain pressure. Prompt medical action is key to avoid lasting brain damage.
It’s vital to know how cytotoxic cerebral edema works to help patients. By understanding the causes, doctors can give better care.
Cerebral edema can come from different causes, like changes in osmotic and hydrostatic pressures. These changes can cause fluid to build up in the brain. This leads to swelling and can be very serious.
Osmotic cerebral edema happens when the balance of osmotic pressures between blood and brain gets disrupted. This can be due to hyponatremia or water intoxication. When sodium levels drop quickly, water moves into brain cells, causing them to swell.
Hyponatremia means having too little sodium in the blood. If this happens fast, it can make water move into brain cells. This can cause swelling. Symptoms include headaches, nausea, and in bad cases, seizures.
Some medical treatments or too much intravenous fluid can also cause osmotic cerebral edema. It’s important to watch sodium levels and fluid balance to avoid this problem.
Hydrostatic cerebral edema is caused by high pressure in the brain’s blood vessels. This can happen due to hypertensive encephalopathy or when veins get blocked.
Hypertensive encephalopathy is when very high blood pressure damages the brain’s blood vessels. This increases hydrostatic pressure and causes swelling in the brain.
Venous obstruction can also raise hydrostatic pressure by blocking blood flow from the brain. This can cause swelling, mainly in cases of cerebral venous sinus thrombosis.
It’s key to understand osmotic and hydrostatic cerebral edema to manage them well. Knowing the causes and symptoms helps doctors treat brain swelling. This can improve patient outcomes.
Interstitial and mixed cerebral edema are complex conditions. They need a deep understanding of their causes and symptoms. These types of edema often come from complex mechanisms, making diagnosis and treatment hard.
Interstitial cerebral edema happens when too much fluid builds up in the brain’s spaces. This is often because of hydrocephalus or problems with CSF dynamics. It can cause high brain pressure and serious brain problems.
Hydrocephalus is when cerebrospinal fluid (CSF) builds up in the brain. This can mess up CSF flow. It can cause pressure in the brain’s ventricles, leading to interstitial edema.
People with interstitial edema might have headaches, nausea, vomiting, and changes in how they think. In bad cases, it can cause serious brain problems.
Mixed cerebral edema is when different types of edema mix together. This makes complex brain injuries. It’s hard to diagnose and treat because of this mix.
Mixed edema usually means a severe brain injury. This can happen from trauma, stroke, or other reasons. Knowing the mix of causes is key to treating these cases well.
Fixing mixed cerebral edema needs a plan that tackles all the causes. Doctors must be ready to change their approach based on how the patient reacts and the condition’s complexity.
Cerebral edema can take many forms, with parenchymal and diffuse being key. They affect brain tissue broadly. We’ll dive into these, looking at how they work, symptoms, and what happens next.
Parenchymal edema happens in the brain’s tissue. It’s linked to stroke and brain injuries. Research on NCBI shows it’s caused by blood-brain barrier damage. This can cause serious swelling and danger.
Diffuse cerebral edema means the whole brain swells. It’s tied to bad outcomes. It can come from brain injuries or lack of oxygen. Those affected need quick and strong treatments to lower brain pressure.
Edema in the cerebellum and brain stem is tricky. Swelling here can cause specific problems and dangers.
A swollen brain stem can cause serious issues. These include trouble breathing and nerve problems. Quick action is key to avoid deadly problems.
Cerebellum edema shows as clumsiness, nausea, and vomiting. Severe cases can cause fluid buildup and press on the brain stem. This needs fast treatment.
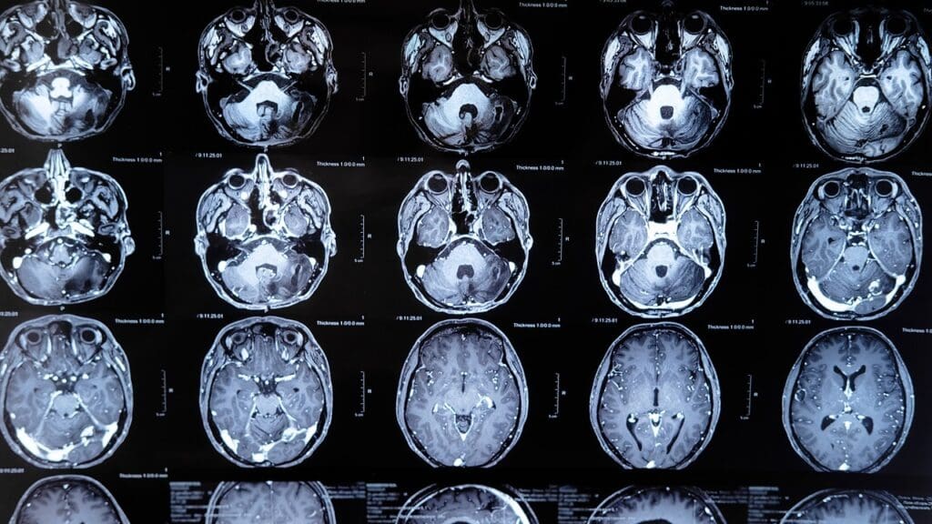
To diagnose cerebral edema, we use a mix of advanced imaging and clinical checks. We have many tools to spot and treat cerebral edema accurately.
CT scans are key for finding cerebral edema, mainly in emergencies. Each type of edema shows up differently on CT scans. For example, vasogenic edema looks like a dark area with lines going into the white matter.
MRI gives us detailed info on cerebral edema. It uses special techniques like diffusion-weighted imaging (DWI) and apparent diffusion coefficient (ADC) mapping. MRI is great for seeing how edema changes and if treatments are working.
Checking a patient’s health is vital for diagnosing and treating cerebral edema. We use scales to see how well the brain is working and watch the pressure inside the skull. Intracranial pressure monitoring lets us keep an eye on this pressure in real time. This helps us make quick decisions on treatment. The Glasgow Coma Scale (GCS) helps us understand how severe brain damage is.
Monitoring ICP is key for managing severe cerebral edema. It gives us constant updates on the pressure inside the skull. This helps us act fast to avoid serious problems like herniation.
Neurological scales are important for figuring out how bad cerebral edema is and if it’s getting worse. They help us decide on treatments and give us clues about what might happen next.
Managing cerebral edema needs a mix of treatments to shrink brain swelling. We’ll look at diuretics, surgery, and special treatments for different types of edema.
Diuretics are key in treating cerebral edema. They help get rid of extra fluid in the brain, lowering pressure inside the skull.
Mannitol is a special diuretic for brain swelling. It pulls water out of brain cells, making the swelling go down.
Hypertonic saline is also used to treat brain swelling. It helps move water out of brain cells, lowering pressure.
Surgery is sometimes needed to treat brain swelling. Two main surgeries are decompressive craniectomy and CSF drainage.
Decompressive craniectomy removes part of the skull. This lets the brain expand, reducing pressure inside the skull.
CSF drainage removes cerebrospinal fluid to lower pressure. This can be done through ventriculostomy or other methods.
Treatments for brain swelling vary based on the type. Knowing the cause and how it works helps pick the best treatment.
| Treatment Approach | Description | Indications |
|---|---|---|
| Mannitol Therapy | Osmotic diuretic that reduces brain swelling | Cerebral edema with raised ICP |
| Hypertonic Saline | Reduces intracranial pressure by osmotic effect | Refractory intracranial hypertension |
| Decompressive Craniectomy | Surgical removal of skull portion to reduce ICP | Severe cerebral edema with mass effect |
| CSF Drainage | Removal of cerebrospinal fluid to reduce ICP | Hydrocephalus or raised ICP |
Cerebral edema is a serious condition that needs quick action. Knowing the signs of brain swelling is key. This helps us understand why fast medical help is vital.
Managing cerebral edema well means using a complete plan. This includes diagnosing, treating, and keeping an eye on the patient. It’s all about getting the right care fast.
Spotting cerebral edema early is critical. It lets doctors start the right treatment right away. To manage brain swelling, we use many methods. This includes medicines, surgery, and treatments for each type of edema.
We stress the need for quick medical care and effective treatments. A full plan is needed to handle cerebral edema. By knowing the signs and types, we can act fast. This could save lives.
Cerebral edema, also known as brain swelling, is a serious condition. It happens when too much fluid builds up in the brain. This can lead to high pressure in the brain and serious problems.
There are several types of cerebral edema. These include vasogenic, cytotoxic, osmotic, hydrostatic, interstitial, and mixed cerebral edema. Each type has its own cause and symptoms.
Vasogenic cerebral edema happens when the blood-brain barrier is broken. This allows fluid and proteins to leak into the brain. It’s often caused by tumors, trauma, or infections.
Cytotoxic cerebral edema is caused by damage to brain cells and changes in metabolism. It’s often due to lack of oxygen, toxins, or metabolic disorders.
Doctors use imaging studies like CT and MRI scans to diagnose cerebral edema. They also do clinical evaluations and monitor brain pressure. This helps them understand the severity and type of edema.
Brain swelling can cause mild symptoms like headaches and confusion. But it can also lead to severe problems, such as seizures, coma, and even death. The symptoms depend on how severe and where the swelling is.
Treatment for cerebral edema includes using diuretics like mannitol and hypertonic saline. Surgery may also be needed. The treatment depends on the cause and type of edema.
Diuretics help reduce brain pressure by removing excess fluid. This can help alleviate cerebral edema.
Some cases of cerebral edema can’t be prevented. But, getting quick medical help and managing conditions like high blood pressure can help prevent or lessen its severity.
The outcome for patients with cerebral edema varies. It depends on the cause, how severe it is, and how well it’s treated. Some patients fully recover, while others may face long-term issues or even death.
Diffuse cerebral edema is widespread brain swelling. It’s often caused by injuries, strokes, or other brain insults. It can lead to severe and life-threatening problems.
Parenchymal edema is fluid buildup in the brain’s tissue. It’s often due to strokes, injuries, or other focal insults. This can cause localized or widespread brain swelling.
Interstitial edema is fluid buildup in the brain’s spaces. It’s often due to hydrocephalus or problems with cerebrospinal fluid. This can increase brain pressure and cause swelling.
Cytotoxic edema is caused by cell damage and metabolic issues. Vasogenic edema is due to blood-brain barrier damage. This shows the different causes and symptoms of these two types of cerebral edema.
Subscribe to our e-newsletter to stay informed about the latest innovations in the world of health and exclusive offers!