
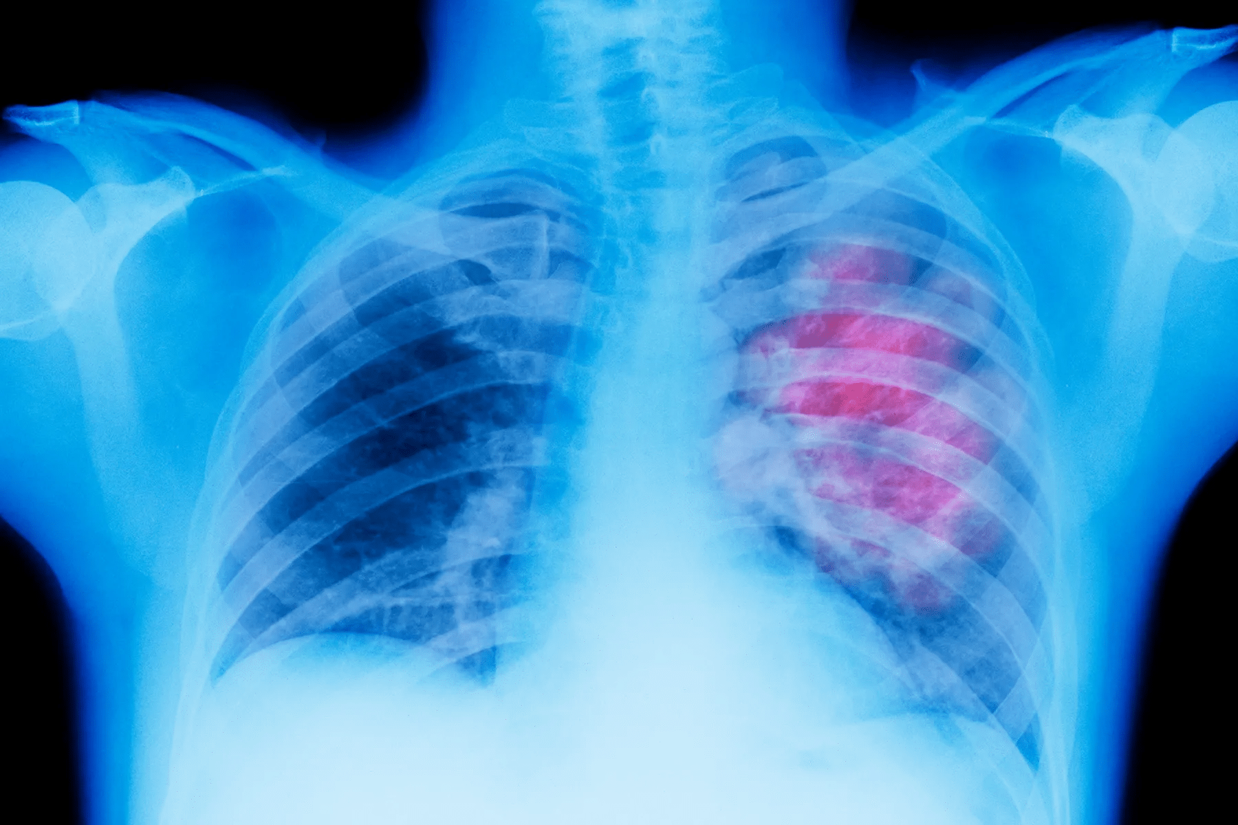
Pneumonia is a serious infection that affects millions. It’s important to understand its stages for better treatment. Pneumonia goes through four stages: congestion, red hepatization, grey hepatization, and resolution.
At Liv Hospital, we offer top-notch care for pneumonia patients. Knowing the four stages of pneumonia helps patients and families see when they’re getting better.signs that pneumonia is improvingLeukemia Symptoms: 7 Critical Warning Signs
Key Takeaways
- Pneumonia progresses through four stages: congestion, red hepatization, grey hepatization, and resolution.
- Understanding these stages is key for good treatment and care.
- Knowing when pneumonia is getting better helps in recovery.
- Liv Hospital provides full care for pneumonia patients.
- We mix international medical skills with care that focuses on the patient.
Understanding Pneumonia: A Brief Overview

Pneumonia is a serious lung infection that affects millions worldwide. It’s important to know what causes it, its types, and how it progresses. This knowledge helps in treating the disease effectively.
What Causes Pneumonia
Pneumonia can be caused by bacteria, viruses, or fungi. The most common cause is Streptococcus pneumoniae bacteria. Viruses like the flu and RSV can also cause it. Fungal pneumonia mainly affects those with weak immune systems.
The first stage of pneumonia is when the lungs get congested. This makes the air sacs and blood vessels in the lungs swell. It makes breathing and getting oxygen harder.
Common Types of Pneumonia
Pneumonia can be caused by different things and can happen in different places. The most common type is community-acquired pneumonia. It can be caused by many pathogens.
|
Type of Pneumonia |
Causative Agent |
Common Setting |
|---|---|---|
|
Bacterial Pneumonia |
Streptococcus pneumoniae |
Community |
|
Viral Pneumonia |
Influenza virus, RSV |
Community |
|
Hospital-Acquired Pneumonia |
Various bacteria |
Hospital |
Why Pneumonia Progresses in Stages
Pneumonia goes through stages as the body fights the infection. The four stages – congestion, red hepatization, gray hepatization, and resolution – help doctors understand and treat the disease.
Knowing these stages helps doctors see how serious pneumonia is. They can then plan the best treatment. The disease’s progress depends on the pathogen, the patient’s health, and how well treatment works.
The Four-Stage Progression of Pneumonia

Pneumonia goes through four stages, each with its own symptoms and changes. Knowing these stages helps us understand how the disease grows and how to get better.
Classification of Pneumonia Stages
Doctors divide pneumonia into four stages based on what they see and what happens in the body. These stages are congestion, red hepatization, grey hepatization, and resolution. Each stage shows a different part of the disease’s life cycle.
This way of grouping pneumonia is key. It lets doctors give the right treatment for each stage. Knowing the stage helps doctors manage symptoms, watch for problems, and change treatment plans as needed.
Importance of Understanding Pneumonia Stages for Recovery
Knowing the stages of pneumonia is important for getting better. It helps doctors keep track of the disease and make smart treatment choices. Patients who know about these stages can also understand their illness better and know how to get better.
Knowing the stage of pneumonia helps manage what to expect and spot problems early. This knowledge leads to better care and a smoother recovery.
Timeline of Typical Pneumonia Progression
The time it takes for pneumonia to go through its stages can vary a lot. It depends on the type of pneumonia, the patient’s health, and how well the treatment works. Usually, the stages take a few days to a couple of weeks.
|
Stage |
Typical Duration |
Key Characteristics |
|---|---|---|
|
Congestion |
1-2 days |
Infection starts, lungs get heavy and congested |
|
Red Hepatization |
2-3 days |
Lungs turn solid, like the liver |
|
Grey Hepatization |
2-3 days |
Lungs turn grey as red cells break down |
|
Resolution |
Several days to weeks |
Lungs start to clear, recovery begins |
How long each stage lasts can differ, and not everyone goes through all stages the same way or at the same time. Things like age, health before getting sick, and the type of pneumonia can affect how fast it moves through the stages.
Stage 1: Congestion Phase
Pneumonia’s first stage, or congestion phase, starts within the first 24 hours. It marks the beginning of a serious respiratory condition. During this time, the lungs get inflamed and fill with fluid. This leads to symptoms that need quick medical help.
Physiological Changes During Congestion
In the congestion phase, the lungs’ alveoli fill with fluid. This makes it hard for oxygen to get into the bloodstream. The inflammatory response is the body’s way of fighting the infection. It can cause a lot of respiratory distress.
As the infection gets worse, the lung tissue gets heavy and congested. This can cause:
- Coughing
- High fever
- Chest pain
- Shortness of breath
Recognizing Early Symptoms
Spotting pneumonia symptoms early is key to effective treatment. In the congestion phase, patients often have:
- Persistent cough, which may produce mucus or phlegm
- Fever, sweating, and shaking chills
- Rapid, shallow breathing
- Loss of appetite
Seeing these early symptoms early can greatly improve treatment outcomes. It allows for timely medical action.
Duration and Severity Indicators
The length and severity of the congestion phase can change. It depends on the type of pneumonia, the patient’s health, and the treatment’s success.
|
Indicator |
Mild |
Moderate |
Severe |
|---|---|---|---|
|
Fever Duration |
1-2 days |
2-4 days |
More than 4 days |
|
Cough Severity |
Occasional |
Frequent |
Persistent and severe |
|
Oxygen Saturation |
95% or above |
90-94% |
Below 90% |
Knowing these indicators helps doctors figure out how bad the pneumonia is. They can then decide the best treatment.
Stage 2: Red Hepatization
During red hepatization, the lungs become heavy and firm, like liver tissue. This happens because of red blood cells and immune cells building up. It usually starts 48 to 72 hours after pneumonia begins.
Liver-Like Appearance: Understanding the Cause
The term “hepatization” means the lungs start to feel like liver tissue. In the red hepatization stage, this is because of red blood cells, fibrin, and other stuff building up in the alveoli. The lungs get denser and heavier because of this buildup, making them look like liver tissue.
Symptoms and Progression
Symptoms during the red hepatization stage can be very severe. They include:
- Severe shortness of breath
- Extreme fatigue
- Coughing up thick, yellow-green phlegm
As the stage goes on, breathing gets harder because the lung tissue gets more solid. This makes it tough to get oxygen, and doctors often need to step in.
Oxygen Transport Challenges
The buildup of cells and stuff in the alveoli makes it hard to breathe. This leads to big challenges in getting oxygen into the blood. Patients might need extra oxygen to keep their blood oxygen levels up. How bad these challenges are can depend on how much of the lung is affected and the patient’s health.
|
Characteristics |
Red Hepatization Stage |
|---|---|
|
Timeframe |
48 to 72 hours after pneumonia onset |
|
Lung Appearance |
Liver-like due to congestion |
|
Symptoms |
Severe shortness of breath, extreme fatigue, coughing up thick phlegm |
|
Oxygen Transport |
Impaired due to alveoli consolidation |
Stage 3: Gray Hepatization
Gray hepatization happens four to six days after getting sick. It’s a key moment in pneumonia’s journey. During this time, the lungs change a lot, affecting their work and the patient’s health.
Physiological Changes
In the gray hepatization phase, red blood cells in the lungs start to break down. This turns the lungs gray. They also get drier and feel like liver, similar to the red hepatization stage.
The breakdown of red blood cells and the release of cellular parts make the lungs gray. This stage is important because it shows if the patient will get better or face more problems.
Symptoms and Patient Experience
Patients in this stage have trouble breathing, coughing, and feeling tired. Their cough might bring up sputum that shows the stage. They might also show cyanosis, where their skin turns blue because they don’t get enough oxygen.
The symptoms can be hard for patients. They need careful care and watching to avoid getting worse.
|
Symptom |
Description |
Management |
|---|---|---|
|
Difficulty Breathing |
Patients may feel short of breath or tired even when resting. |
Oxygen therapy and positioning can help ease symptoms. |
|
Coughing |
The cough might bring up sputum. |
Expectorants and cough suppressants are used carefully. |
|
Fatigue |
Patients often feel very tired and weak. |
Rest and nutrition are key. |
The Role of Macrophages
Macrophages are key in the gray hepatization stage. They help clean the lungs of dead cells and other stuff. They start the healing process, helping the lungs work right again.
Macrophages working well is important for moving to the healing phase. In this phase, the lungs start to get better and return to normal.
Stage 4: Resolution Phase
In the resolution phase, the lungs start to heal, and symptoms get better. This stage is key because it starts the recovery journey.
Lung Healing Process
The body works hard to clear out the lungs during this phase. Macrophages are important in this effort. They eat and remove dead cells and harmful germs, helping to reduce inflammation and aid in healing.
Timeline for Resolution
The time it takes to get better varies. It depends on the type of pneumonia and the patient’s health. People with bacterial pneumonia usually get better faster than those with viral pneumonia.
|
Type of Pneumonia |
Typical Recovery Time |
|---|---|
|
Bacterial Pneumonia |
1-3 weeks |
|
Viral Pneumonia |
2-6 weeks |
Potential Complications
Even though things are getting better, there are risks to watch out for. These include secondary infections and symptoms that don’t go away. It’s important for healthcare professionals to keep a close eye on patients during this time to catch any problems early.
We know recovery can be tough. But with the right care and attention, most people can beat pneumonia and get their health back.
Signs That Pneumonia Is Improving
Recovering from pneumonia means noticing several key improvements. Patients start to feel better as their body fights off the infection. This is shown through various positive changes.
Respiratory Symptom Changes Indicating Recovery
One big sign of getting better is changes in breathing. People cough less and breathe easier. The cough gets less intense and happens less often.
Doctors say, “As pneumonia gets better, breathing symptoms lessen. This is a big step towards feeling well again.” This shows the body is fighting off the infection well.
|
Symptom |
Improvement Indicator |
|---|---|
|
Coughing |
Reduced frequency and severity |
|
Breathing |
Easier, less shortness of breath |
Fever Pattern During Improvement
Fever changes are another important sign. As the infection goes away, body temperature drops. The fever, once high, slowly goes back to normal.
“The resolution of fever is a critical milestone in the recovery from pneumonia, signaling that the infection is being effectively managed.”
Energy Level and Appetite Changes
As pneumonia gets better, energy and appetite come back. Fatigue and weakness lessen, letting people do more. Better appetite means the body is healing and needs the right food.
These signs show pneumonia is getting better. They help doctors and patients see if treatment is working. This helps in deciding what care is needed next.
Recovery Timeline Expectations
Knowing how long it takes to recover from pneumonia is key for patients. The time it takes can vary a lot. This depends on the type of pneumonia, the person’s health, and how well the treatment works.
Typical Recovery Duration by Pneumonia Type
The time it takes to get better from pneumonia changes with the type. Bacterial pneumonia usually starts to get better in 48 to 72 hours with antibiotics. Viral pneumonia takes longer because it depends on how well the body fights it off.
- Bacterial Pneumonia: Shows signs of improvement in 48-72 hours after starting antibiotics.
- Viral Pneumonia: Takes longer to recover because it depends on the immune system.
- Fungal Pneumonia: Needs antifungal treatment and recovery time can vary.
Factors That Influence Recovery Speed
Many things can affect how fast someone recovers from pneumonia. These include:
- Age and Overall Health: Older people or those with health issues might take longer to get better.
- Effectiveness of Treatment: The right treatment can make a big difference in how fast someone recovers.
- Lifestyle Factors: Smoking, diet, and getting enough rest also play a big role in recovery.
When to Expect Full Lung Function Return
It can take weeks to months for lungs to fully recover from pneumonia. It’s important to be patient and follow doctor’s advice for a full recovery.
Here are some general recovery milestones:
- 1-4 weeks: Symptoms like cough and shortness of breath start to improve.
- 6-8 weeks: Lung function and overall health see a big improvement.
- 3-6 months: Lung function returns to normal, and you can start doing normal activities again.
Potential Complications and Setbacks During Recovery
It’s important for patients and caregivers to know about possible complications during pneumonia recovery. While many people get better without big problems, knowing about these issues can help manage them.
Warning Signs of Pneumonia Worsening
Recognizing when pneumonia is getting worse is key. Look out for:
- Increased difficulty breathing or shortness of breath
- High fever that persists or recurs
- Chest pain that worsens with deep breathing or coughing
- Coughing up more mucus or mucus that is discolored or contains blood
- Confusion or disorientation, mainly in older adults
Secondary Infections and Their Symptoms
Secondary infections, like sepsis or lung abscesses, can happen during pneumonia recovery. Look out for symptoms such as:
- Fever or chills
- Increased heart rate
- Rapid breathing
- Severe fatigue
- Pain or discomfort in the chest or lungs
These infections need quick medical care to avoid serious problems.
Long-Term Complications to Monitor
Some people may face long-term issues after pneumonia, like:
- Chronic respiratory disease
- Lung damage or scarring
- Increased susceptibility to future infections
Keeping an eye on these complications and seeing your doctor regularly is key for long-term health.
Knowing about these complications and taking action can help patients recover better.
Supporting Recovery at Home
Recovering from pneumonia at home needs a mix of nutrition, hydration, activity balance, and breathing exercises. It’s important to know what helps your body heal.
Nourishing Your Body for Recovery
Nutrition and hydration are key to getting better from pneumonia. Eating a balanced diet with proteins, vitamins, and minerals helps fix damaged tissues and fight infections.
|
Nutritional Element |
Benefit for Recovery |
Food Sources |
|---|---|---|
|
Protein |
Repairs tissues, builds immune response |
Lean meats, fish, eggs, beans |
|
Vitamin C |
Boosts immune system, fights infection |
Citrus fruits, berries, leafy greens |
|
Zinc |
Supports immune function, wound healing |
Oysters, beef, chicken, fortified cereals |
Balancing Rest and Activity
It’s important to find the right mix of rest and activity while recovering. Rest helps your body heal, but some activity keeps muscles strong and prevents blood clots.
At first, rest is most important. When you start feeling better, you can slowly add light activities like short walks or simple stretches.
Breathing Exercises for Lung Recovery
Breathing exercises are vital for lung health after pneumonia. Diaphragmatic breathing can increase lung capacity and improve breathing.
To do diaphragmatic breathing, sit or lie down comfortably. Place one hand on your belly and the other on your chest. Breathe in slowly through your nose, letting your belly rise while your chest stays the same. Breathe out slowly through pursed lips, letting your belly fall. Do this several times.
By adding these steps to your daily routine, you can help recover from pneumonia at home. Remember, being patient and consistent is important for getting your health and lung function back.
Medical Treatments That Accelerate Pneumonia Recovery
To speed up pneumonia recovery, a mix of treatments is needed. Each person’s situation is unique, so treatments must match their needs.
Medication Management During Recovery
Managing medicines is key in treating pneumonia. Antibiotics are vital for bacterial pneumonia. It’s important to finish the whole treatment to get rid of the infection. We watch for side effects and change the plan if needed.
“Taking all the antibiotics as directed is very important,” a top pulmonologist notes. “Not taking them as told can cause the bacteria to become resistant and treatment to fail.”
Oxygen Therapy and Respiratory Support
Oxygen therapy and respiratory support are important for pneumonia patients. Oxygen therapy boosts blood oxygen levels, easing lung and organ strain. We use oxygen therapy as needed and check oxygen levels to make sure it’s working right.
Respiratory support, like chest physiotherapy, helps clear lung mucus. This improves lung function and aids in recovery.
Follow-up Care Importance
Follow-up care is vital for pneumonia patients. We schedule check-ups to see how they’re doing, answer questions, and adjust treatment plans if needed.
- Monitoring lung function through tests like spirometry
- Checking overall health and any lingering symptoms
- Offering advice on nutrition, rest, and activity
By focusing on follow-up care, we can spot and handle complications early. This makes the recovery smoother.
Conclusion: Navigating the Path to Full Recovery
Recovering from pneumonia takes a deep understanding of the condition’s stages and signs of improvement. Knowing the four stages of pneumonia helps patients track their progress.
It’s key to recognize the signs that pneumonia is getting better. These include changes in breathing, fever patterns, and energy levels. By watching these signs, patients can work with their doctors to improve their recovery.
With the right care and support, full recovery from pneumonia is possible. It’s important to follow medical advice, live a balanced life, and keep up with follow-up appointments. This approach helps avoid complications and ensures the best recovery.
FAQ
What are the four stages of pneumonia?
Pneumonia goes through four stages: congestion, red hepatization, grey hepatization, and resolution. Knowing these stages helps in treating and recovering from pneumonia.
What happens during the congestion phase of pneumonia?
In the congestion phase, the lungs get inflamed and fill with fluid. This causes coughing, fever, and chest pain.
What is red hepatization in pneumonia?
Red hepatization happens when red blood cells and immune cells build up in the lungs. It makes the lungs look like a liver. Symptoms include severe shortness of breath, extreme fatigue, and coughing up thick, yellow-green phlegm.
How long does it take to recover from pneumonia?
Recovery time for pneumonia varies. It depends on the type of pneumonia and individual factors. Usually, lungs fully recover in weeks to months.
What are the signs that pneumonia is improving?
As pneumonia gets better, symptoms change. Coughing and breathing improve. Fever goes back to normal. Energy and appetite also increase.
References
National Center for Biotechnology Information. Evidence-Based Medical Guidance. Retrieved from https://www.ncbi.nlm.nih.gov/books/NBK534295/