
Squamous cell carcinoma of the bladder is a rare and aggressive form of bladder cancer. It makes up 2-5% of all bladder cancer cases in Western countries. We understand its unique characteristics and how it affects patients.What is squamous cells bladder cancer (SCC)? Learn about this rare and aggressive form of bladder cancer and its characteristics.
At Liv Hospital, we use top medical skills to diagnose and treat this condition. Knowing about squamous cell carcinoma is key for catching it early and treating it well.
Key Takeaways
- Squamous cell carcinoma of the bladder is a rare and aggressive malignancy.
- It accounts for 2-5% of all bladder cancer diagnoses.
- Early detection is critical for improved patient outcomes.
- Distinct histological features differentiate it from more common bladder cancers.
- Effective treatment requires a thorough understanding of the condition.
Understanding Squamous Cell Carcinoma of the Bladder

To understand squamous cell carcinoma of the bladder, we need to look into its definition, classification, and what it looks like under a microscope. This cancer is aggressive and has features that set it apart from other bladder cancers, like urothelial carcinoma.
Definition and Classification
Squamous cell carcinoma (SCC) of the bladder starts from squamous cells, which are not usually in the bladder lining. It’s a type of bladder cancer known for being aggressive and having a poor outlook. SCC is classified based on its microscopic look and how far it has spread.
Classification Criteria:
- Histological type
- Grade of differentiation
- Stage of the disease
Comparison to Urothelial Carcinoma
Urothelial carcinoma, also known as transitional cell carcinoma, is the most common bladder cancer in the U.S. SCC, on the other hand, is less common but more aggressive. The main differences between SCC and urothelial carcinoma are their cell of origin, microscopic look, and how they behave clinically.
| Characteristics | SCC | Urothelial Carcinoma |
| Cell Origin | Squamous cells | Urothelial cells |
| Aggressiveness | Highly aggressive | Variable aggressiveness |
| Prognosis | Generally poor | Varies based on stage and grade |
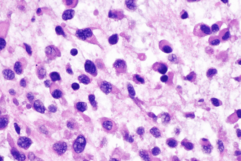
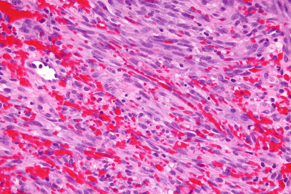
Histological Characteristics
The microscopic features of SCC include squamous cells with keratinization and intercellular bridges. These tumors are often high-grade and invasive. Accurate microscopic diagnosis is key to telling SCC apart from other bladder cancers.
By grasping the definition, classification, and microscopic features of SCC, we can better understand its uniqueness and the challenges it brings to diagnosis and treatment.
Epidemiology and Global Impact

To understand SCC of the bladder’s global impact, we must look at its spread, who gets it, and why. The spread of bladder SCC is complex. It’s shaped by where you live, your age, gender, and what you’re exposed to.
Prevalence in the United States
In the U.S., SCC of the bladder is less common than urothelial carcinoma. About 5% of bladder cancer cases are SCC. But, this number can change based on who’s studied and how they’re diagnosed.
Regional variations in SCC prevalence in the U.S. have been found. Some areas have higher rates. This might be due to different exposures and demographics.
Global Distribution Patterns
Worldwide, SCC of the bladder’s spread varies a lot. In places where Schistosoma haematobium is common, SCC is more common. For example, in Africa and the Middle East, SCC makes up to 75% of bladder cancers because of schistosomiasis.
- In areas with high schistosomiasis rates, SCC is much more common.
- In places with low schistosomiasis rates, urothelial carcinoma is more common.
Age and Gender Distribution
SCC of the bladder often affects older people. Most cases are found in those over 60.
Studies also show women might be diagnosed later than men. This could be because of how they seek healthcare or how they show symptoms.
| Demographic Characteristic | Trend Observed |
| Age | Higher incidence in older populations (>60 years) |
| Gender | Potential for women to be diagnosed at a more advanced stage |
The Formation of Squamous Cells Bladder Pathology
It’s important to know how squamous cells form in the bladder. This helps us understand squamous cell carcinoma better. The bladder’s cells can change due to irritation.
Normal Bladder Cell Structure
The bladder is lined with urothelial cells, or transitional cells. These cells stretch well, fitting the bladder’s need to hold urine. The urothelial lining is 3-7 cell layers thick and keeps the bladder strong.
Squamous Metaplasia Process
Squamous metaplasia happens when urothelial cells turn into squamous cells due to long-term irritation. This change is a protective move but also a shift from the usual cell type. It can happen in the bladder and is seen as a sign of possible cancer.
This change is caused by long-term infection, irritation, or stress. The bladder’s normal lining is replaced by squamous epithelium, which is not common.
Progression from Metaplasia to Carcinoma
Going from squamous metaplasia to carcinoma means more genetic changes and cell behavior shifts. Metaplastic cells can get mutations leading to cancer over time. This change is not set in stone, but squamous metaplasia raises cancer risk.
Knowing how this progression happens is key for early detection and treatment. Watching people with squamous metaplasia and fixing the cause of irritation can stop cancer from forming.
Risk Factors for Developing Bladder SCC
SCC of the bladder is linked to several risk factors. Knowing these helps us spot who’s at higher risk. It also guides us in taking steps to prevent it.
Chronic Inflammation and Irritation
Long-term inflammation and irritation in the bladder raise SCC risk. This can come from urinary tract infections, foreign bodies like catheters, or other irritants. This inflammation can turn into squamous metaplasia, a step towards SCC.
Recurrent Urinary Tract Infections
Having many urinary tract infections (UTIs) is another risk. These infections can cause ongoing irritation and inflammation. This increases the chance of SCC. People with often recurring UTIs need to be watched closely.
Smoking and Chemical Exposures
Smoking is a big risk for bladder cancer, including SCC. Tobacco smoke’s chemicals get into the urine, harming the bladder lining. Work exposure to aromatic amines also raises the risk.
Schistosomiasis and Parasitic Infections
Schistosomiasis, caused by Schistosoma haematobium, is a major risk for SCC. It’s common in areas where the infection spreads. The parasite’s eggs cause long-term inflammation and irritation in the bladder, raising SCC risk.
It’s key to know these risk factors for early detection and prevention of SCC. People with a history of chronic inflammation, recurring UTIs, smoking, or parasitic infections should be aware. They should talk to their doctor about screening options.
Clinical Presentation and Symptoms
Knowing the symptoms of Squamous Cell Carcinoma (SCC) of the bladder is key for early treatment. SCC symptoms can differ from person to person. It’s vital for doctors to know about all possible symptoms.
Early Warning Signs
In the early stages, SCC might show mild symptoms that are easy to miss. Common signs include:
- Hematuria (blood in the urine)
- Increased frequency of urination
- Dysuria (painful urination)
- Urinary urgency
These signs can also be seen in urinary tract infections or other non-cancerous issues. So, it’s important to make a correct diagnosis.
Advanced Disease Manifestations
As SCC gets worse, symptoms can worsen too. Signs of advanced disease include:
- Severe pain in the pelvic area or lower back
- Urinary obstruction leading to difficulty starting or stopping urination
- Recurrent urinary tract infections
- Weight loss and fatigue
Table: Comparison of Early and Advanced Symptoms of SCC
| Symptom | Early Stage | Advanced Stage |
| Hematuria | Microscopic hematuria | Gross hematuria |
| Pain | Mild discomfort | Severe pelvic or back pain |
| Urinary Symptoms | Frequency, urgency | Obstruction, difficulty urinating |
Differential Diagnosis Considerations
When diagnosing SCC of the bladder, doctors must consider other bladder cancers and non-cancerous issues. A detailed diagnostic process is needed. This includes imaging, cystoscopy, and biopsy to accurately diagnose SCC and rule out other conditions.
It’s critical to have a thorough diagnostic approach. This ensures patients get the right treatment for their condition.
Diagnostic Approaches and Procedures
To find squamous cell carcinoma of the bladder, doctors use many tests. These tests help find the cancer, know how far it has spread, and plan treatment.
Urinalysis and Cytology
Urinalysis is key in checking for bladder SCC. We look at urine for blood, infection, or odd cells. Urine cytology checks for cancer cells. It’s not enough alone but helps with other tests.
Imaging Techniques
Imaging is important for finding and knowing how far bladder SCC has spread. Ultrasound, CT scans, and MRI show the bladder and nearby areas. They help see tumors, their size, and if they’ve spread.
Cystoscopy and Biopsy
Cystoscopy lets us see inside the bladder with a scope. We can spot odd spots and take a biopsy. The biopsy is key for diagnosing SCC by looking at cells.
Molecular and Genetic Testing
New tests help us understand bladder SCC better. We look for special markers or mutations. These tests tell us how the tumor might act and how to treat it best.
In short, finding SCC in the bladder needs many tests. Urinalysis, imaging, cystoscopy with biopsy, and molecular tests all help. Together, they help doctors diagnose and treat SCC well.
Staging and Grading of Squamous Cell Carcinoma
Staging and grading Squamous Cell Carcinoma (SCC) are key for doctors to plan treatment. They look at how far the tumor has spread and how aggressive it is. These factors help predict how well a patient will do.
TNM Classification System
The TNM system is a common way to stage SCC. It looks at three main things: the tumor size (T), nearby lymph nodes (N), and if it has spread (M). This helps doctors figure out the cancer’s stage.
- T (Tumor): Shows the tumor size and if it has invaded nearby tissues.
- N (Node): Tells if the cancer has reached nearby lymph nodes and how far it has spread.
- M (Metastasis): Indicates if the cancer has spread to distant parts of the body.
The TNM system helps doctors talk about the disease clearly. It also helps them plan the best treatment.
Histological Grading
Histological grading is important for SCC diagnosis. It looks at tumor cells under a microscope to see how aggressive they are. The grade is based on how much the cells look like normal cells.
- Grade 1 (Well-differentiated): Tumor cells look a lot like normal cells and are less aggressive.
- Grade 2 (Moderately differentiated): Tumor cells are somewhat abnormal and moderately aggressive.
- Grade 3 (Poorly differentiated): Tumor cells are very abnormal and highly aggressive.
Grading helps doctors understand how the tumor will behave. This information helps them predict outcomes and plan treatments.
Prognostic Implications of Stage and Grade
The stage and grade of SCC are very important for predicting outcomes. Patients with early-stage and low-grade tumors usually do better than those with advanced and high-grade tumors.
Knowing the stage and grade of SCC is vital for:
- Choosing the right treatment.
- Predicting survival rates.
- Finding patients for clinical trials or new treatments.
By using the TNM system and histological grading together, doctors can understand SCC better. This helps them give more personalized care and improve patient results.
Treatment Strategies for SCC Bladder
Effective treatment of SCC bladder combines different approaches. We will look at surgery, radiation therapy, and chemotherapy. We’ll see how they work together in a treatment plan.
Surgical Interventions
Surgery is key in treating SCC bladder. It aims to remove the tumor and affected tissue. The surgery type depends on the disease’s stage and extent.
- Transurethral Resection of Bladder Tumor (TURBT): A diagnostic and potentially therapeutic procedure.
- Radical Cystectomy: Removal of the bladder, surrounding organs, and lymph nodes.
Radiation Therapy Approaches
Radiation therapy can be used alone or with surgery or chemotherapy. It kills cancer cells with high-energy rays.
- External Beam Radiation Therapy (EBRT): Delivers radiation from outside the body.
- Brachytherapy: Involves placing radioactive material directly into or near the tumor.
Chemotherapy Protocols
Chemotherapy treats SCC bladder, mainly for advanced or metastatic disease. It uses drugs to kill cancer cells.
- Neoadjuvant Chemotherapy: Given before surgery to shrink tumors.
- Adjuvant Chemotherapy: Given after surgery to eliminate remaining cancer cells.
Multimodal Treatment Considerations
Using different treatments can improve SCC bladder outcomes. The treatment choice depends on the disease stage, grade, and patient health.
| Treatment Modality | Stage of SCC | Benefits |
| Surgery | Localized | Removal of tumor and affected tissue |
| Radiation Therapy | Localized, Locally Advanced | Kills cancer cells, preserves bladder function |
| Chemotherapy | Advanced, Metastatic | Systemic treatment, controls cancer spread |
Every patient’s case is different, and treatment plans are customized. By combining surgery, radiation therapy, and chemotherapy, we offer complete care for SCC bladder patients.
Prognosis and Survival Rates
Patients with SCC of the bladder face a tough prognosis. Survival rates depend on many factors. Knowing these factors helps both patients and doctors make better treatment plans.
Factors Affecting Prognosis
The prognosis for SCC bladder cancer depends on several key factors. These include the cancer’s stage and grade, the patient’s health, and how well the cancer responds to treatment. Early diagnosis is key because it allows for timely treatment.
Studies show that finding squamous cells in urine can signal SCC. This makes urinalysis a vital tool for diagnosis and monitoring. “The presence of squamous cells in urine cytology specimens should prompt further investigation for possible SCC,” say medical experts.
Five-Year Survival Statistics
Five-year survival rates for SCC of the bladder vary. They depend on the cancer’s stage at diagnosis. Patients with localized disease have a better survival rate than those with regional or distant metastasis.
The five-year survival rate for SCC bladder cancer is generally lower than for urothelial carcinoma. This highlights the need for aggressive and timely treatment.
Recurrence Patterns and Monitoring
Recurrence is a big worry in SCC of the bladder. Locoregional recurrence is hard to tackle. Regular checks through cystoscopy, imaging, and urinalysis are key to catching recurrence early.
Close surveillance helps spot recurrence quickly. This lets doctors adjust treatment plans to improve patient outcomes.
In summary, the prognosis for SCC of the bladder is complex. By understanding the factors that affect prognosis and survival, patients and doctors can work together. This helps in making better treatment plans and improving outcomes.
Prevention and Risk Reduction Strategies
To lower the chance of getting Squamous Cell Carcinoma (SCC) of the bladder, it’s key to take preventive steps and handle health issues early. Knowing the risks and taking steps to lower them can greatly reduce the chance of getting this cancer.
Lifestyle Modifications
Changing your lifestyle can help a lot in preventing SCC of the bladder. Here are some important changes:
- Quitting Smoking: Smoking is a big risk for bladder cancer, including SCC. Quitting programs and support groups are very helpful.
- Dietary Changes: Eating more fruits, vegetables, and whole grains can lower cancer risk.
- Hydration: Drinking lots of water helps remove toxins from the body.
- Avoiding Chemical Exposure: Try to limit exposure to chemicals and dyes linked to bladder cancer.
Management of Chronic Conditions
Managing chronic conditions well is also key in preventing SCC. This includes:
- Urinary Tract Infections (UTIs): Treating UTIs quickly to avoid long-term irritation.
- Schistosomiasis: Treating and preventing this parasitic infection for those at risk.
- Bladder Obstructions: Fixing any blockages or issues that could cause chronic irritation.
Screening Recommendations for High-Risk Individuals
For those at higher risk, like smokers or those exposed to certain chemicals, regular checks are important. This might include:
- Regular Urinalysis: To look for signs of cancer or infection.
- Cystoscopy: A way to see inside the bladder.
- Imaging Tests: Like CT scans or MRIs to find any problems.
By following these prevention tips, people can greatly lower their risk of getting SCC of the bladder. It’s all about being proactive with your health and making lifestyle changes.
Conclusion
We’ve looked into Squamous Cell Carcinoma (SCC) of the bladder. It’s a rare and aggressive bladder cancer that needs quick diagnosis and treatment. Knowing about SCC is key for doctors and patients, as it’s different from the usual bladder cancer.
SCC diagnosis uses urinalysis, imaging, cystoscopy, and biopsy. Then, a biopsy is checked under a microscope. The stage and grade of SCC help figure out the treatment, which might include surgery, radiation, or chemo.
Preventing and reducing the risk of bladder cancer is important. Making lifestyle changes, managing chronic conditions, and screening high-risk people can lower the risk of bladder cancer.
In short, bladder cancer squamous cell carcinoma is a serious issue that needs attention and quick medical action. By knowing the risks, symptoms, and how to diagnose it, we can help patients better and give them the care they need.
FAQ
What is squamous cell carcinoma of the bladder?
Squamous cell carcinoma of the bladder is a rare and aggressive bladder cancer. It starts from the squamous cells in the bladder lining.
How does squamous cell carcinoma differ from urothelial carcinoma?
Squamous cell carcinoma is different from urothelial carcinoma in its cell structure and aggressive nature.
What are the risk factors for developing squamous cell carcinoma of the bladder?
Risk factors include chronic inflammation, recurrent urinary tract infections, smoking, chemical exposures, and parasitic infections like schistosomiasis.
What are the symptoms of squamous cell carcinoma of the bladder?
Symptoms include hematuria, dysuria, and urinary frequency. Advanced disease can cause pelvic pain and urinary obstruction.
How is squamous cell carcinoma of the bladder diagnosed?
Diagnosis involves urinalysis, imaging, cystoscopy with biopsy, and molecular or genetic testing.
What is the TNM classification system used for?
The TNM system stages squamous cell carcinoma. It shows the tumor size, lymph node involvement, and metastasis, guiding treatment.
What are the treatment options for squamous cell carcinoma of the bladder?
Treatment options include surgery, radiation therapy, chemotherapy, and multimodal approaches. These are tailored to the cancer’s stage and grade.
Can squamous cell carcinoma of the bladder be prevented?
Prevention includes lifestyle changes, managing chronic conditions, and screening for high-risk individuals. These steps can reduce incidence.
What is the prognosis for squamous cell carcinoma of the bladder?
Prognosis depends on stage, grade, and treatment response. Five-year survival rates vary. Regular monitoring for recurrence is key.
How does squamous metaplasia relate to squamous cell carcinoma?
Squamous metaplasia is when bladder cells transform into squamous cells. This can lead to squamous cell carcinoma under certain conditions.
Are squamous cells in urine a sign of cancer?
Squamous cells in urine can indicate various conditions, including cancer. But, it’s not a definitive sign of squamous cell carcinoma. Further testing is needed.
What is the significance of histological grading in squamous cell carcinoma?
Histological grading shows how aggressive the cancer cells are. It provides important information for prognosis and treatment planning.
References
National Center for Biotechnology Information. (2025). What Is Squamous Cell Carcinoma of the Bladder. Retrieved from https://pubmed.ncbi.nlm.nih.gov/3378221/