
Finding throat cancer early is key to better treatment and outcomes. At Liv Hospital, we use the latest medical tech and proven diagnostic methods to detect throat cancer fast and right.
Spotting cancer early opens up more treatment choices and better chances for patients. We use endoscopy and top-notch imaging to make sure we find throat cancer correctly. With these advanced tools and methods, we help patients feel sure and clear about their care. Need a throat scan for diagnosis? Discover 7 essential and accurate methods used to detect throat cancer and other issues quickly.
Key Takeaways
- Early detection of throat cancer improves treatment outcomes.
- Advanced imaging techniques enhance diagnostic accuracy.
- Multimodal analysis combines imaging, genomic, and health record data for precise diagnosis.
- Patient-centered care is integral to our diagnostic approach.
- Innovative diagnostic pathways support rapid and accurate detection.
Understanding Throat Cancer: Signs and Risk Factors

Knowing the signs and risk factors of throat cancer is key to early treatment. Early detection is vital, and being aware can greatly improve treatment results.
Common Symptoms That Warrant a Throat Scan
Spotting throat cancer symptoms early is the first step. Some important symptoms include:
- Persistent Sore Throat: A sore throat that doesn’t heal is a warning sign.
- Difficulty Swallowing: Trouble swallowing or pain while swallowing may indicate throat cancer.
- Changes in Voice: Hoarseness or voice changes that last can be a symptom.
- Unexplained Weight Loss: Losing weight without a reason can be linked to throat cancer.
- Neck Lump: A neck lump can be a sign of advanced throat cancer.
If you notice any of these symptoms, see a healthcare professional for a check-up.
High-Risk Groups and Prevention Strategies
Some groups face a higher risk of throat cancer. Knowing these risk factors helps in prevention and early detection:
- Tobacco Use: Smoking or using tobacco products greatly increases the risk.
- Alcohol Consumption: Drinking a lot of alcohol is another major risk factor.
- HPV Infection: Certain HPV infections can raise the risk.
- Diet: A diet lacking fruits and vegetables may increase the risk.
- Age and Gender: Throat cancer is more common in older adults and men.
To prevent throat cancer, avoid tobacco, drink less alcohol, get HPV vaccinated, and eat a healthy diet. By understanding these risks and taking steps to prevent them, you can lower your risk of throat cancer.
The Importance of Early Detection in Throat Cancer

Finding throat cancer early is key to good treatment and better health. Early detection means more chances to live and less harm to the body. This helps keep patients’ lives as normal as possible.
When throat cancer is caught early, it can be treated well. This leads to better health for patients. We’ll see how early finding affects survival and life quality.
Survival Rates: Early vs. Late Detection
Survival chances for throat cancer patients change a lot with early vs. late detection. Finding it early means a better chance of living. But finding it late often means worse results.
| Cancer Stage | 5-Year Survival Rate | Treatment Options |
| Early Stage | 80-90% | Surgery, Radiation Therapy |
| Late Stage | 20-30% | Combination Therapy (Surgery, Radiation, Chemotherapy) |
Early detection is vital. It boosts survival chances and opens up more treatment paths. This leads to better treatment results.
Quality of Life Considerations
Early throat cancer detection also improves life quality. Less invasive treatments mean fewer side effects and faster healing.
Early-stage cancer patients face less trouble with basic functions like speaking and swallowing. This is unlike those found later.
Keeping life quality high is a big goal in throat cancer treatment. Early detection is key to achieving this.
Endoscopy: The Gold Standard for Throat Cancer Detection
Endoscopy is the top choice for finding throat cancer. It lets doctors see inside the throat and larynx clearly. This helps them spot problems and take tissue samples for tests.
Types of Endoscopic Procedures
There are many endoscopy methods for throat cancer diagnosis. Each one is used for different parts of the throat:
- Nasopharyngolaryngoscopy (NPL): Uses a flexible or rigid endoscope to see the nasal passages, pharynx, and larynx.
- Esophagoscopy: Looks at the esophagus to find tumors or abnormalities.
- Laryngoscopy: Examines the larynx, showing the vocal cords and nearby areas in detail.
What Endoscopy Can Reveal About Throat Cancer
Endoscopy helps find throat cancer by showing where, how big, and how far the tumor is. It can spot:
- Tumors or lesions
- The cancer stage
- If nearby tissues are affected
This info is key for choosing the right treatment and predicting how well the patient will do.
The Biopsy Process During Endoscopy
Biopsy is a big part of throat cancer diagnosis with endoscopy. Doctors take tissue samples from odd-looking areas. These samples are checked for cancer cells.
The biopsy results show if the tissue has cancer, what kind, and its grade. This info is vital for planning treatment.
Advanced Imaging: MRI for Throat Cancer Diagnosis
MRI has changed how we diagnose throat cancer. It’s a non-invasive method that gives clear images without harmful radiation. This makes MRI a key tool in fighting throat cancer.
How MRI Visualizes Throat Structures
MRI uses a strong magnetic field and radio waves to show the inside of the throat. It can see soft tissues like tumors clearly. This helps doctors understand how big the cancer is and if it’s touching other parts.
Advantages of MRI in Cancer Staging
MRI is great for figuring out how far cancer has spread. It shows the tumor and its relation to nearby areas. This info is vital for planning treatment. MRI helps doctors plan better by showing the tumor’s size and where it is.
Patient Experience During a Throat MRI
Getting an MRI for throat cancer is usually easy for patients. It’s not invasive and doesn’t use radiation. Patients might wear earplugs or headphones to block out the machine’s noise. Some might get contrast dye to make the images better. MRI is a safe and important tool in treating throat cancer.
CT Scans: Detailed Cross-Sectional Imaging for Throat Cancer
CT scans are key in finding and understanding throat cancer. They give detailed images of the body’s inside. These images help doctors see how far the cancer has spread.
When Are CT Scans Preferred?
We often choose CT scans to see how far throat cancer has spread. They are great for looking at the throat’s complex parts. This includes the larynx and pharynx.
Choosing a CT scan depends on the patient’s symptoms and medical history. For example, if someone has trouble swallowing or a visible tumor, a CT scan helps us understand the tumor’s size. This helps us plan the best treatment.
| Imaging Modality | Primary Use in Throat Cancer | Key Benefits |
| CT Scan | Assessing cancer spread, evaluating lymph node involvement | Detailed cross-sectional images, quick procedure |
| MRI | Soft tissue evaluation, cancer staging | High-resolution soft tissue imaging, no radiation |
| PET Scan | Detecting metabolic activity in cancer cells | Identifies cancer spread to distant sites, useful for monitoring treatment response |
Radiation Considerations and Safety
CT scans use radiation, but they are often necessary for cancer diagnosis. We use the least amount of radiation needed to get good images. This helps keep patients safe.
Patients should talk to their doctor about radiation concerns. We can explain the risks and benefits of CT scans. This helps patients make informed choices about their care.
What CT Scans Reveal About Cancer Spread
CT scans show how far throat cancer has spread. This is important for understanding the cancer’s stage. It helps us choose the best treatment.
By looking at CT scan images, we can see the tumor’s size and location. We also check if it has spread to nearby areas. This helps us create a treatment plan that fits the patient’s needs.
PET Scans: Detecting Metabolic Activity in Throat Cancer
PET scans give us a special look at how throat cancer tumors work. They help doctors figure out what treatment is best. Unlike other scans, PET scans show how cancer cells are active, not just where they are.
How PET Scans Differ From Other Imaging Methods
PET scans are different from CT scans and MRI scans because they look at how cells work, not just their shape. This helps doctors spot cancer cells that other scans might miss. They can tell if a growth is cancer or not, which is key to making the right diagnosis.
Also, PET scans can see how well the treatment is working early on. This lets doctors change plans if needed to help patients get better faster.
Combining PET with CT for Enhanced Accuracy
Using PET scans with CT scans, called PET/CT, is now common in cancer care. This mix gives both how cells work and their shape, making cancer diagnosis and planning better. It helps doctors see exactly where and how big the cancer is.
- Improved diagnostic accuracy
- Enhanced cancer staging
- Better treatment planning
- More accurate assessment of treatment response
When PET Scans Are Most Valuable
PET scans are most useful when checking if cancer has spread, seeing how well treatment is working, or finding cancer again. The info from PET scans is key in these cases, helping doctors make the best choices for patients.
- Assessing cancer spread
- Evaluating treatment response
- Detecting cancer recurrence
Knowing when and how to use PET scans can lead to better care for throat cancer patients. This can really help improve their chances of getting better.
Throat Scan Using Ultrasound: Applications and Limitations
Ultrasound technology is a key tool in checking for throat cancer. It’s a non-invasive way to look at some parts of the disease. We’ll see how ultrasound helps in finding throat cancer, its good points, and its downsides.
Can a Neck Ultrasound Detect Throat Cancer?
A neck ultrasound mainly looks at lymph nodes and nearby areas in the neck. It can spot some issues, but it’s not as good as other tests, like endoscopy and MRI, for finding throat cancer. Yet, it’s useful for seeing how far cancer has spread to the lymph nodes.
Key uses of neck ultrasound in throat cancer include:
- Checking the size and look of lymph nodes
- Finding cancer in the lymph nodes
- Helping with biopsies for suspicious lymph nodes
Evaluating Lymph Nodes and Surrounding Structures
Ultrasound is great for looking at lymph nodes in the neck. These nodes often have cancer that has spread. It can spot big or odd-looking nodes, which might mean cancer is there. It also checks nearby blood vessels and muscles for tumor invasion.
Benefits of Ultrasound as a Non-Invasive Option
One big plus of using ultrasound for throat cancer checks is that it’s non-invasive. It doesn’t need to go inside the body or use a lot of radiation. This makes it safer and more comfortable for patients, which is good for those needing many checks or who can’t handle more invasive tests.
Also, ultrasound is fast and can be done outside the hospital. It’s not perfect for finding throat cancer itself, but it’s great for looking at lymph nodes and helping with biopsies.
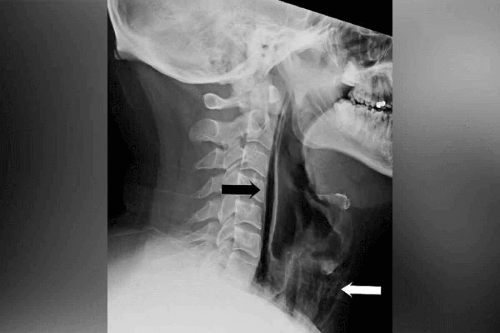
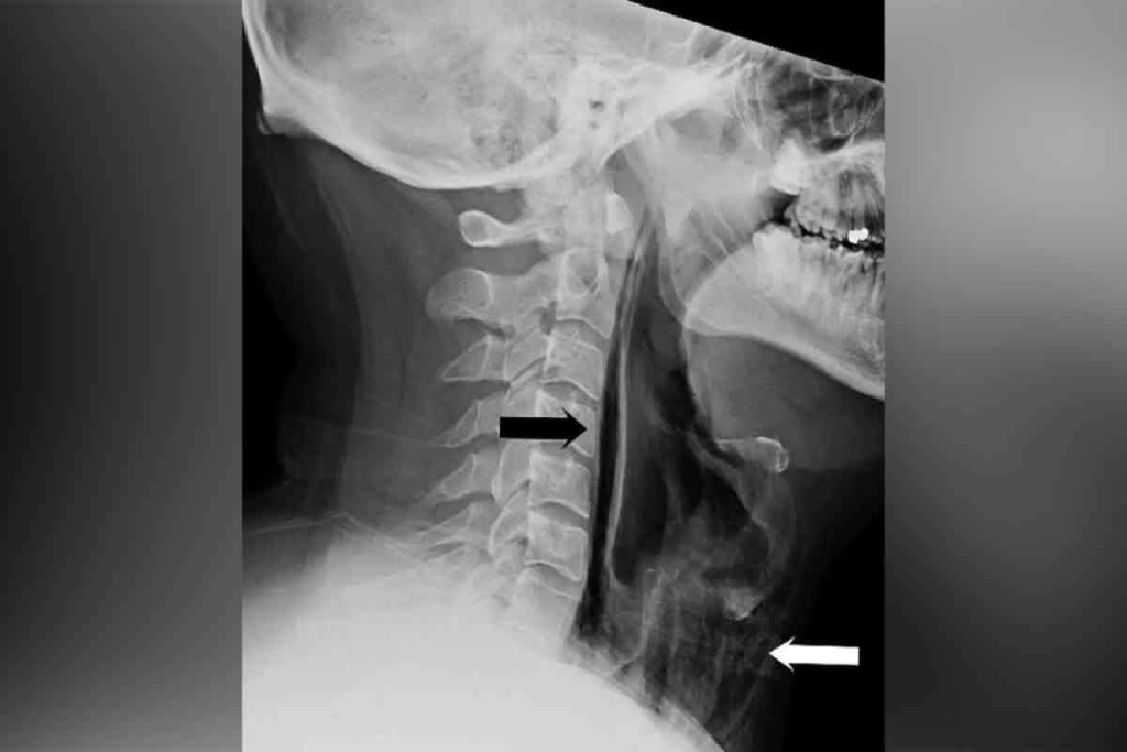
X-rays and Barium Swallow Studies for Throat Cancer
X-rays and barium swallow studies are old tools used to check for throat cancer. They are not as good as newer methods, but they help start the process of finding out if you have cancer.
The Role of Traditional X-rays in Initial Assessment
X-rays have been around for a long time. They help find big problems in the throat that might mean cancer. But, they can’t show details of soft tissues well.
We start with X-rays because they are fast and easy to get. They can spot big issues that need more detailed tests.
How Barium Swallow Studies Work
A barium swallow study is a special X-ray of the esophagus and throat. You drink a special liquid that shows up on X-rays. Then, X-rays are taken as you swallow to see how your throat works.
This test helps find problems with swallowing and looks at the throat’s shape. But, it’s not enough to say for sure if you have throat cancer.
Limitations of X-ray Technology in Cancer Detection
X-rays and barium swallow studies give some clues, but aren’t enough to find or understand throat cancer. They can’t spot early cancers or see how far cancer has spread.
For a full look at throat cancer, we need better tools like CT scans, MRI, or PET scans.
| Diagnostic Method | Use in Throat Cancer Detection | Limitations |
| Traditional X-rays | Initial assessment, detecting larger abnormalities | Limited detail, special for soft tissues |
| Barium Swallow Studies | Evaluating swallowing function and throat structure | Not definitive for cancer diagnosis |
| Advanced Imaging (CT, MRI, PET) | Detailed assessment, staging, and evaluation of cancer spread | More complex, may involve contrast or radiation |
Emerging Technologies: Blood and Saliva Tests
The way we find throat cancer is changing with new tech like liquid biopsies and gene tests. These tools might make finding and watching throat cancer easier and less scary. They could be better than the old methods.
Liquid Biopsies for Throat Cancer Detection
Liquid biopsies are a new way to find cancer in blood or saliva. They look for DNA or other signs of cancer. This could catch throat cancer early, even before symptoms show.
Key Benefits of Liquid Biopsies:
- Non-invasive, reducing patient discomfort
- Potential for early detection and monitoring
- Ability to track genetic mutations over time
Gene Expression Tests and Their Accuracy
Gene tests check how genes work in cells, which can show if there’s cancer. They help find people at risk or with cancer coming back. We’re making these tests better and more reliable.
Recent studies have highlighted the potential of gene expression profiles to distinguish between malignant and benign conditions in the throat.
| Diagnostic Method | Accuracy | Non-Invasiveness |
| Liquid Biopsy | High | Yes |
| Gene Expression Test | Moderate to High | Yes |
| Traditional Biopsy | Very High | No |
Future Directions in Non-Invasive Testing
As we learn more, liquid biopsies and gene tests will be key in finding throat cancer. They could make finding cancer better and easier for patients.
We’re entering a new time in finding throat cancer, one that’s better for patients. As these techs get better, we’ll see big changes in how we find and treat throat cancer.
Multimodal Approach: Combining Diagnostic Methods
Diagnosing throat cancer requires a mix of different tests for personalized care. Each patient is unique, so a single method won’t work for everyone. This is why a combination of tests is needed.
Creating a Personalized Diagnostic Pathway
We start by looking at the patient’s health, medical history, and symptoms. We consider their risk, the cancer’s stage, and past test results. This helps us choose the right tests for each patient.
This approach makes sure patients get the right tests without delay. For example, someone at high risk might need more tests, like MRI or PET scans.
How Specialists Determine Which Tests to Use
Doctors pick tests based on what they know, guidelines, and new research. They look at each test’s strengths and weaknesses. They also think about the patient’s needs and what they prefer.
- Endoscopy and biopsy for direct visualization and tissue sampling
- Advanced imaging techniques, like MRI and CT scans, for detailed anatomical information
- PET scans for assessing metabolic activity and detecting possible spread
- Ultrasound for evaluating lymph nodes and surrounding structures
Using these tools together helps us understand the patient’s condition well. This way, we can plan the best treatment.
Balancing Accuracy, Speed, and Patient Comfort
Getting the right diagnosis quickly and comfortably is key. We aim for accuracy, speed, and comfort. This makes the process better for the patient.
Accuracy is vital for making good treatment plans. We use the latest and most reliable tests for accurate results.
Speed is important too. Quick diagnosis and treatment can help patients a lot. We work fast to get the process done quickly.
Lastly, we focus on patient comfort. The process can be stressful. We try to make it easier and support patients every step of the way.
Navigating the Diagnostic Process: What Patients Should Know
Understanding the diagnostic process for throat cancer is key. It involves knowing the tests and procedures. Being informed and empowered is vital for patients.
Questions to Ask Your Healthcare Provider
When facing a throat cancer diagnosis, ask your doctor important questions. This ensures you’re well-informed. Here are some key questions:
- What diagnostic tests are recommended for my specific condition?
- How do these tests help in diagnosing throat cancer?
- What are the risks and benefits associated with each test?
- How will the results of these tests impact my treatment plan?
These questions help you grasp the diagnostic process. They also aid in making informed decisions about your care.
Insurance Coverage for Different Diagnostic Methods
Knowing about insurance coverage is essential. Different tests have different coverage levels. Here’s a quick guide:
| Diagnostic Method | Typical Insurance Coverage |
| Endoscopy | Usually covered, may require copay or deductible |
| MRI | Often covered, but may have specific requirements or limitations |
| CT Scan | Generally covered, with possible copay or deductible |
| PET Scan | Coverage varies; often covered for cancer staging and monitoring |
Always check with your insurance to know your coverage details. This helps avoid unexpected costs.
Seeking Second Opinions and Specialized Care
Getting a second opinion can offer new insights and peace of mind. Specialized care provides tailored treatments. Consider the following:
- Consulting with a specialist, such as an oncologist or ENT surgeon
- Seeking care at a cancer center or hospital with experience in treating throat cancer
- Discussing clinical trials or innovative treatments that may be available
Being proactive and informed helps patients navigate the diagnostic process better. This leads to making the best care decisions.
Conclusion: Advances in Throat Cancer Detection and Future Outlook
Throat cancer detection has seen big improvements, changing how we find and treat this disease. New methods like endoscopy, MRI, CT scans, PET scans, and ultrasound have made finding cancer more accurate. This has also led to better results for patients.
New research and tech are on the horizon to make throat cancer detection even better. Tools like liquid biopsies and gene tests could soon help diagnose without invasive tests. This means treatments could be more tailored to each patient.
The future for finding throat cancer looks bright. We’ll use a mix of diagnostic methods to get accurate and quick diagnoses. As these technologies get better, we expect more people to survive and live better lives.
By keeping up with these advancements and working together, we can fight throat cancer more effectively. The progress in finding and treating throat cancer shows the strength of medical innovation and teamwork.
FAQ
Can a neck ultrasound detect throat cancer?
A neck ultrasound can help check the neck and throat area. It might not find throat cancer directly. But it can look at lymph nodes and other areas that cancer might affect.
How do you detect throat cancer?
There are many ways to find throat cancer. Doctors use endoscopy, MRI, CT scans, PET scans, and ultrasound. The choice depends on the symptoms, medical history, and risk factors.
Does endoscopy detect throat cancer?
Yes, endoscopy is very good at finding throat cancer. It lets doctors see the throat and take samples from suspicious spots.
What is the role of MRI in diagnosing throat cancer?
MRI is key in finding and understanding throat cancer. It shows detailed images of soft tissues. This helps doctors see how big the cancer is and plan treatment.
Can an X-ray show throat cancer?
X-rays can’t find throat cancer well. They’re not usually the first choice for diagnosis. Instead, doctors prefer CT scans, MRI, or PET scans.
How do you check for throat cancer?
To check for throat cancer, doctors do a physical exam, look at medical history, and use tests like endoscopy and imaging studies. They also take biopsies.
What are the benefits of a multimodal diagnostic approach?
Using many diagnostic methods together gives a clearer diagnosis. This helps doctors find the best treatment. It also makes treatment more effective.
What are the emerging technologies in throat cancer detection?
New technologies like liquid biopsies and gene tests are being developed. They’re non-invasive and might help find and treat throat cancer better.
How do specialists determine which tests to use?
Doctors pick tests based on symptoms, medical history, and risk factors. They think about how accurate, fast, and comfortable each test is.
What questions should I ask my healthcare provider about a throat cancer diagnosis?
Ask your doctor about the tests they use, the risks and benefits, and what to expect. This helps you understand the process better.
Are there any non-invasive diagnostic options for throat cancer?
Yes, new options like liquid biopsies and gene tests are being developed. Ultrasound is also a non-invasive way to look at the neck and throat.
Can throat cancer be detected early?
Yes, throat cancer can be found early with the right tests. Finding it early can improve treatment results and survival chances.
What is the importance of early detection in throat cancer?
Finding throat cancer early is very important. It leads to better treatment, longer life, and a better quality of life. It means doctors can act quickly and effectively.
References
- National Cancer Institute. (2008). Oral Cavity, Pharyngeal, and Laryngeal Cancer Screening (PDQ ®). Retrieved from https://www.ncbi.nlm.nih.gov/books/NBK66005.5