
About 1 in 5 people hear a ringing or buzzing sound in their ears at some time. For some, it’s just a minor annoyance. But for others, it might mean there’s something more serious going on that needs a doctor’s attention.tinnitus danger signsPolycythemia: 5 Crucial Negative Warning Signs
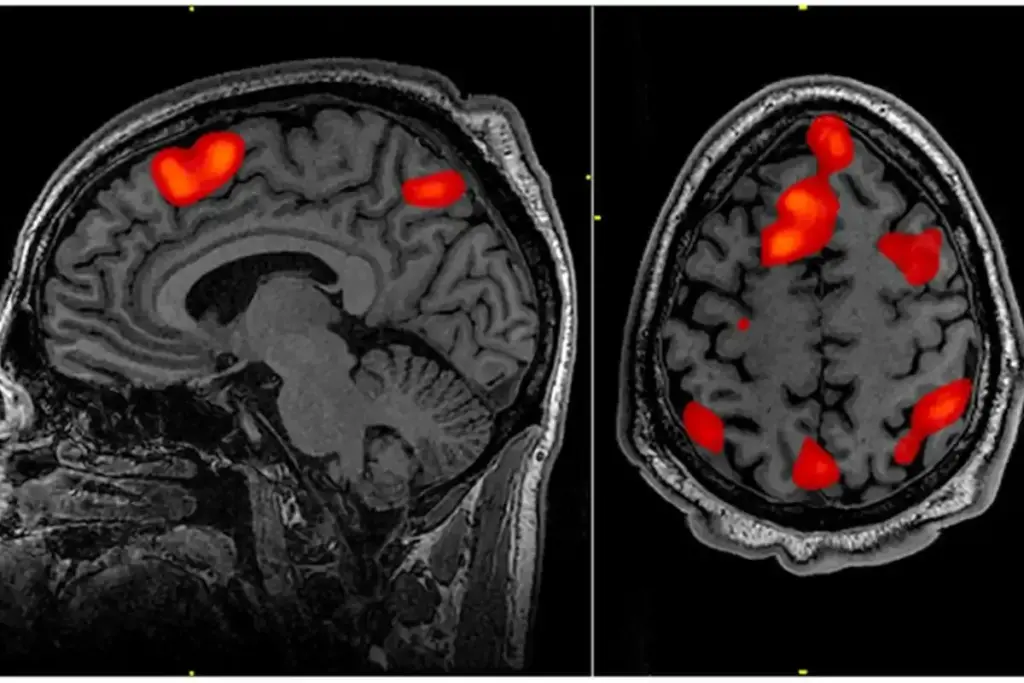
An MRI scan can show doctors the inner ear and nearby areas in great detail. This helps find out why you might be hearing these sounds. Knowing the cause helps doctors create a good treatment plan for you.
Key Takeaways
- An MRI can help diagnose the underlying cause of tinnitus.
- Tinnitus can be a symptom of various health conditions.
- Understanding the cause is key for effective treatment.
- MRI scans provide detailed images of the inner ear.
- Not all cases of tinnitus need an MRI.
What Exactly is Tinnitus?

For those with tinnitus, the world is full of sounds that no one else hears. Tinnitus is when you hear noise or ringing in your ears without any outside sound. It’s not a disease but a sign of something else going on.
Types of Tinnitus Sounds People Experience
Those with tinnitus might hear ringing, buzzing, hissing, or even music. These symptoms of tinnitus can change in pitch and volume. They can be always there or come and go.
How Common is Tinnitus in the United States?
Tinnitus is quite common in the U.S. About 10% to 25% of adults have it. It gets more common as people get older, making it a big concern for seniors.
“Tinnitus is a common problem,” says an audiology expert. “Knowing the tinnitus warning signs is key to getting the right help.”
The Physical and Psychological Impact
Tinnitus can really affect someone’s life. It can make it hard to focus, disrupt sleep, and cause emotional problems. The constant noise can also hurt your mental health and overall happiness.
It’s important to understand tinnitus and its effects. By recognizing the symptoms of tinnitus and getting medical help, you can start to feel better.
Common Causes of Tinnitus

Tinnitus is a complex condition with many possible causes. Knowing these causes is key to finding the right treatment.
Age-Related Hearing Loss (Presbycusis)
Presbycusis, or age-related hearing loss, is a common cause of tinnitus. As we get older, we lose our ability to hear high sounds. This can make tinnitus more common.
Noise-Induced Hearing Damage
Loud noises can harm your hearing and lead to tinnitus. This damage can come from work, hobbies, or even a single loud event.
Medications That Can Trigger Tinnitus
Some medicines can harm the ear and cause tinnitus. This can make tinnitus worse or start it.
Antibiotics and Antimalarials
Some antibiotics and drugs for malaria can cause tinnitus as a side effect.
NSAIDs and Aspirin
High doses of NSAIDs and aspirin can also lead to tinnitus.
Ear and Sinus Conditions
Buildup of earwax, infections, and sinus problems can make tinnitus worse.
|
Cause |
Description |
|---|---|
|
Age-Related Hearing Loss |
Diminished ability to hear high-frequency sounds with age |
|
Noise-Induced Hearing Damage |
Prolonged exposure to loud noise |
|
Certain Medications |
Substances toxic to the ear, e.g., some antibiotics and NSAIDs |
|
Ear and Sinus Conditions |
Earwax buildup, infections, and sinus issues |
Finding out why you have tinnitus is important for treating it well.
Tinnitus Danger Signs: When to Be Concerned
It’s important to know the danger signs of tinnitus to know when to get medical help. Tinnitus can be harmless for many people. But, some signs might mean a serious problem that needs quick medical check-up.
Sudden Onset Tinnitus
Sudden onset tinnitus means the ringing in your ears starts suddenly. This could be a sign of a serious issue like a blood vessel problem. If you get sudden tinnitus, you should see a doctor right away.
Unilateral (One-Sided) Tinnitus
Unilateral tinnitus is when you hear ringing in just one ear. This could mean a tumor or other structural problem. You should get checked by a doctor if you have unilateral tinnitus.
Progressive Hearing Loss with Tinnitus
If you have tinnitus and progressive hearing loss, it’s a sign of a problem. This could be due to aging or damage from loud noises. You should see a doctor to find out why.
Pulsatile Tinnitus (Hearing Your Heartbeat)
Pulsatile tinnitus sounds like your heartbeat. It could mean a blood vessel problem or heart issue. You should get checked by a doctor if you have pulsatile tinnitus.
Tinnitus That Disrupts Sleep or Concentration
Tinnitus that disrupts sleep or concentration can really affect your life. It’s not always a danger sign, but it might mean you need to see a doctor.
As a medical expert said,
“Tinnitus can be a complex condition with various underlying causes. Recognizing the danger signs is key to ensuring timely medical intervention.”
In short, knowing the danger signs of tinnitus is important for your ear health and overall well-being. If you notice any of these signs, see a doctor for help.
Red Flags That Warrant Immediate Medical Attention
Tinnitus is often manageable, but some signs mean you need to see a doctor fast. Knowing these signs helps find the cause and get the right treatment.
Tinnitus with Neurological Symptoms
Tinnitus with neurological symptoms is a big warning sign. It means you should get medical help right away.
Headaches and Vision Changes
Headaches and vision changes with tinnitus are serious. They might mean you have a big health problem. You need to see a doctor quickly.
Facial Numbness or Weakness
Facial numbness or weakness with tinnitus is a tinnitus medical alert. It could mean a serious issue with your nerves or brain. You should get help fast.
Tinnitus Following Head or Neck Trauma
Tinnitus after a head or neck injury is a big worry. The injury might have hurt your hearing system or other parts. You need to see a doctor right away.
|
Symptom |
Possible Cause |
Action Required |
|---|---|---|
|
Tinnitus after head trauma |
Damage to auditory system |
Seek immediate medical evaluation |
|
Tinnitus with vertigo |
Inner ear or vestibular issue |
Consult a healthcare professional |
|
Tinnitus with changing volume or pitch |
Possible vascular or neurological issue |
Urgent medical assessment |
Tinnitus with Vertigo or Balance Problems
Tinnitus with vertigo or balance issues might mean problems with your inner ear or vestibular system. You need a detailed medical check-up.
Tinnitus That Changes in Volume or Pitch
Changes in tinnitus volume or pitch are worrying. They might point to a vascular or neurological problem. You should talk to a doctor about it.
Knowing the red flags and when to see a doctor is key to managing tinnitus. If you’re showing these symptoms, see a healthcare provider. They can help figure out what to do next.
When Doctors Recommend an MRI for Tinnitus
Healthcare providers might suggest an MRI for tinnitus if they see certain warning signs. Tinnitus is when you hear sounds that aren’t there. It can mean there’s something wrong inside your body. An MRI helps doctors find out what’s causing the tinnitus, if it’s with other signs.
Asymmetric Hearing Loss
Asymmetric hearing loss means one ear hears much better than the other. This could mean there’s a problem like a tumor or nerve damage. “Asymmetric hearing loss is a red flag that warrants further investigation,” says an audiologist.
Suspected Acoustic Neuroma
An acoustic neuroma is a non-cancerous tumor on the nerve from the inner ear to the brain. It can cause tinnitus, hearing loss, and balance issues. If a doctor thinks you might have this, they’ll likely order an MRI to check.
Signs of Vascular Abnormalities
Vascular abnormalities, like blood vessel malformations or tumors, can also cause tinnitus. If you have pulsatile tinnitus (sounds that beat with your heart), an MRI might be needed to look at blood vessel problems.
Unexplained Neurological Symptoms
Sometimes, tinnitus comes with other strange symptoms like dizziness, numbness, or weakness. These could mean there’s a bigger issue that needs an MRI to figure out.
In short, doctors might recommend an MRI for tinnitus if they see warning signs. By using MRI scans, they can find the cause of tinnitus and plan the best treatment.
What an MRI Can Detect in Tinnitus Patients
An MRI scan can show what’s causing the ringing in your ears if tinnitus symptoms don’t go away. Tinnitus often points to a deeper health issue. An MRI can find the main cause.
Acoustic Neuromas and Vestibular Schwannomas
An MRI can spot acoustic neuromas, or vestibular schwannomas. These are non-cancerous growths on the nerve from the inner ear to the brain. They can lead to tinnitus, hearing loss, and balance issues.
Early detection is key to avoid more problems. An MRI is a good way to find these tumors.
Blood Vessel Abnormalities
Abnormalities in blood vessels, like arteriovenous malformations (AVMs) or vascular loops, can also cause tinnitus. An MRI can find these issues. They might be pressing on nerves or brain structures.
Multiple Sclerosis and Other Neurological Conditions
In some cases, tinnitus is a sign of multiple sclerosis or other neurological problems. An MRI can spot these conditions by finding lesions or damage in the brain and spinal cord.
Meniere’s Disease Indicators
Meniere’s disease affects the inner ear and can cause tinnitus, vertigo, and hearing loss. An MRI isn’t the first choice for diagnosing Meniere’s. But it can help rule out other conditions with similar symptoms.
Limitations of MRI for Tinnitus Diagnosis
Though an MRI is a powerful tool, it’s not perfect. It can’t find all tinnitus causes. Some conditions might not show up on an MRI.
|
Condition |
Symptoms |
Detectable by MRI |
|---|---|---|
|
Acoustic Neuroma |
Tinnitus, Hearing Loss, Balance Problems |
Yes |
|
Blood Vessel Abnormalities |
Tinnitus, Hearing Loss, Vertigo |
Yes |
|
Multiple Sclerosis |
Tinnitus, Vision Problems, Muscle Weakness |
Yes |
|
Meniere’s Disease |
Tinnitus, Vertigo, Hearing Loss |
Limited |
The Tinnitus MRI Experience: What to Expect
Knowing what to expect from an MRI for tinnitus can ease your worries. An MRI is a safe way to find out what might be causing your tinnitus. It can spot problems like acoustic neuromas or vascular issues.
Preparation Before Your Appointment
Tell your doctor about any implants or metal pieces in your body before the MRI. This includes pacemakers or metal prosthetics. Also, be ready to handle claustrophobia and anxiety, as the MRI machine is enclosed and can be loud.
Pre-MRI Preparation Checklist:
- Inform your doctor about any medical implants or metal fragments.
- Discuss any history of claustrophobia or anxiety.
- Understand the procedure and what to expect.
- Follow any specific instructions provided by your healthcare provider.
During the MRI Procedure
You’ll lie on a table that moves into the MRI machine. It’s important to stay very quiet during the scan. The whole process can take from 15 to 90 minutes, depending on the scan’s complexity.
Managing Claustrophobia and Anxiety
There are ways to cope with claustrophobia or anxiety during the MRI. You might use:
- Open MRI machines that offer more space.
- Relaxation techniques like deep breathing or meditation.
- Anti-anxiety medication, if your doctor prescribes it.
- Having a friend with you during the test.
Dealing with the Noise
MRI machines make loud noises, like knocking sounds. To help, you might get earplugs or headphones to block out the sound.
Understanding Your MRI Results
A radiologist will look at your MRI images and give a report to your doctor. This can help figure out if you have a condition causing your tinnitus. It’s important to talk to your doctor about what the results mean and what to do next.
Insurance Coverage for Tinnitus-Related MRIs
How much your insurance covers for MRI tests for tinnitus can vary. Always check with your insurance to know what’s covered and what you might have to pay for yourself.
Being informed and prepared can make the MRI process easier. It helps you understand the importance of the results in treating your tinnitus.
Alternative Diagnostic Approaches for Tinnitus
Tinnitus diagnosis isn’t just about MRI. Many other methods can offer important insights. MRI is key for some conditions, but other tests can find tinnitus’s root causes.
Comprehensive Audiological Evaluations
A detailed audiological evaluation is often the first step. It includes a hearing test and a look at the patient’s medical history. Audiologists also check how tinnitus affects a patient’s life.
CT Scans: When They’re Preferred Over MRI
CT scans are sometimes better than MRI for tinnitus. They’re great for seeing the ear’s bony structures or finding issues like fractures. CT scans show the temporal bone well, helping spot tinnitus causes.
Blood Tests to Rule Out Underlying Conditions
Blood tests can find medical issues that might cause tinnitus, like thyroid problems or vitamin deficiencies. Fixing these can help reduce tinnitus symptoms.
Specialized Tinnitus Assessments
Special tests, like tinnitus pitch and loudness matching, help audiologists understand tinnitus. These tests find the tinnitus’s frequency and volume. Residual inhibition testing checks if sound therapy works.
Tinnitus Pitch and Loudness Matching
This test reveals the tinnitus’s specific traits. It helps create treatment plans that fit the patient.
Residual Inhibition Testing
Residual inhibition testing sees if sound therapy can quiet tinnitus. It shows how to treat it effectively.
Conclusion: Making Informed Decisions About Your Tinnitus
Understanding what causes tinnitus is key to managing it well. Spotting danger signs like sudden or one-sided tinnitus can lead to finding and treating underlying issues.
If you notice neurological changes, vertigo, or big hearing loss with the ringing, get a medical alert. Tests like MRI might be needed to check for serious problems like acoustic neuromas or vascular issues.
Recognizing warning signs and getting medical help is the first step to feeling better. Treating the root cause can sometimes stop the ringing sounds of tinnitus.
Being informed about tinnitus diagnosis and treatment helps you manage your condition better. It improves your life quality. Knowing about tinnitus and its effects is vital for dealing with it.
FAQ
What is tinnitus?
Tinnitus is when you hear sounds in your ears, but there’s no outside noise. It can sound like ringing, buzzing, hissing, or whistling.
What are the common causes of tinnitus?
Tinnitus can be caused by many things. This includes getting older, loud noises, some medicines, ear problems, and sinus issues. Knowing the cause helps in managing it better.
When should I be concerned about my tinnitus?
You should worry if your tinnitus starts suddenly, is only on one side, or gets worse. Also, if it keeps you awake or makes it hard to focus. These could be signs of a serious issue.
What are the red flags that warrant immediate medical attention for tinnitus?
If you have tinnitus with other symptoms like dizziness, or if it happens after a head injury, get help right away. Also, if the sound changes in volume or pitch, it’s a warning sign.
When do doctors recommend an MRI for tinnitus patients?
Doctors might suggest an MRI if you have uneven hearing, suspect an acoustic neuroma, or have vascular issues. They also recommend it for unexplained neurological symptoms. An MRI can spot problems that might be causing your tinnitus.
What can an MRI detect in tinnitus patients?
An MRI can find things like acoustic neuromas, blood vessel problems, and neurological conditions. It can also show signs of Meniere’s disease. But, it’s important to know what an MRI can and can’t do for tinnitus.
What can I expect during a tinnitus MRI?
During an MRI, you’ll go through a prep process and lie very quietly. You’ll learn about your results afterward. It’s also good to talk about insurance for MRI tests related to tinnitus.
Are there alternative diagnostic approaches for tinnitus?
Yes, there are other ways to diagnose tinnitus. These include detailed hearing tests, CT scans, blood tests, and special tinnitus assessments. Sometimes, these are better than an MRI.
How can I manage claustrophobia or anxiety during an MRI?
To deal with anxiety or claustrophobia during an MRI, talk to your doctor. Use relaxation methods or try an open MRI. Knowing what to expect and having someone with you can help too.
What are the signs of tinnitus complications?
Complications of tinnitus include it getting worse, hearing loss, dizziness, or other neurological symptoms. If you notice these, see a doctor right away to find out why.
Can tinnitus be a sign of a serious medical condition?
Yes, tinnitus can mean a serious problem like a tumor, blood vessel issue, or neurological disorder. If you have tinnitus with other concerning symptoms, get medical help to check for underlying issues.
National Center for Biotechnology Information. Evidence-Based Medical Insight. Retrieved from https://www.ncbi.nlm.nih.gov/pmc/articles/PMC11528090/