What is Urology?

Urology: Urinary & Reproductive Disease Diagnosis & Treatment

Urology treats urinary tract diseases in all genders and male reproductive issues, covering the kidneys, bladder, prostate, urethra, from infections to complex cancers.

We're Here to Help.
Get in Touch.

Send us all your questions or requests, and our expert team will assist you.

Doctors

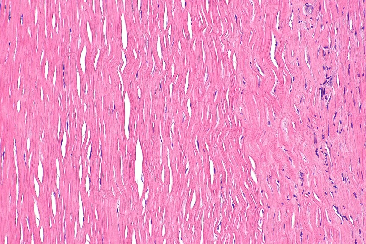
Foundations of Uterine Anatomy and Myometrial Physiology

Foundations of Uterine Anatomy and Myometrial Physiology

To understand uterine fibroids, it helps to first look at the basic structure and function of the uterus. The uterus is a hormone-sensitive, pear-shaped organ in the female pelvis, sitting between the bladder in front and the rectum behind. Ligaments such as the broad, round, uterosacral, and cardinal ligaments support it. The uterus has three main layers, each with a specific role in reproductive health.

  • Perimetrium: This is the outer layer of the uterus, connecting with the lining of the abdominal cavity. It creates a smooth surface so the uterus can move easily in the pelvis without pressing on nearby organs like the bowel and bladder.
  • Myometrium: This is the thick middle layer and makes up most of the uterus. It is made of smooth muscle cells arranged in bundles with thin layers of connective tissue between them. This structure lets the uterus stretch a lot during pregnancy and contract strongly during labor. The myometrium has many blood vessels, including a network of arcuate arteries.
  • Endometrium: The inner mucosal lining that undergoes cyclic proliferation, differentiation, and shedding (menstruation) under the influence of ovarian steroid hormones. It consists of a functional layer that is shed and a basal layer that regenerates the lining after each cycle.
Icon LIV Hospital

The Origin of Fibroids

The Origin of Fibroids

A Uterine Fibroid, clinically termed a Leiomyoma or Myoma, arises exclusively from the myometrium. It is defined as a monoclonal, benign (non-cancerous) mesenchymal tumor. The term “monoclonal” is crucial; it means that each fibroid originates from the uncontrolled division of a single mutated smooth muscle stem cell. As this progenitor cell divides, it creates a clone of identical cells that form a distinct mass. Unlike malignant tumors, which invade surrounding tissues and metastasize to distant organs, fibroids are typically cohesive, well-circumscribed, and encapsulated. They are surrounded by a pseudocapsule—a thin layer of compressed muscle fibers and areolar tissue. This anatomical feature is of immense surgical importance, as it provides a natural plane of cleavage that facilitates the “shelling out” (enucleation) of the tumor during myomectomy, minimizing damage to the adjacent healthy myometrium and reducing blood loss.

Histological Characteristics Under microscopic examination, fibroids are characterized by whorled, anastomosing fascicles of uniform, spindle-shaped smooth muscle cells. However, what distinguishes them from normal muscle is the excessive deposition of Extracellular Matrix (ECM). Fibroid cells secrete abnormal amounts of disordered collagen (types I and III), proteoglycans, and fibronectin. This dense fibrous composition confers upon them their characteristic firm, rubbery, or hard texture, which is easily palpable and distinguishable from the softer surrounding myometrium during a pelvic exam or surgery.

Molecular Genetics and Pathogenesis

The etiology of uterine fibroids is not a simple cause-and-effect scenario but rather a multifactorial interplay between genetic susceptibility, hormonal environment, and epigenetic factors. Recent genomic studies have revolutionized our understanding of why these tumors form.

  1. Genetic Drivers Cytogenetic analysis reveals that approximately 40% to 50% of fibroids possess specific, non-random chromosomal abnormalities.
  • MED12 Mutation: The most significant discovery in fibroid genetics is the MED12 (Mediator Complex Subunit 12) mutation, located on the X chromosome. Mutations in exon 2 of MED12 are found in up to 70% of uterine fibroids. This gene encodes a protein that regulates transcription (the process of copying DNA to RNA), and its dysregulation is a primary driver of tumorigenesis. These mutations are somatic, meaning they occur in the tumor tissue but are not inherited in the germline.
  • HMGA2 Overexpression: Rearrangements of the High Mobility Group AT-hook 2 (HMGA2) gene on chromosome 12 (specifically the 12q14-15 region) are found in a subset of fibroids. This overexpression is often associated with larger tumor size and unique histological variants.
  • Col4A5/Col4A6: Deletions involving these collagen genes on the X chromosome are associated with a specific syndrome of diffuse leiomyomatosis, particularly in association with Alport syndrome.
  • Fumarate Hydratase (FH): Germline mutations in the FH gene cause Hereditary Leiomyomatosis and Renal Cell Cancer (HLRCC), characterized by multiple cutaneous and uterine leiomyomas and an aggressive form of kidney cancer.
  1. The Hormonal Engine: Estrogen and Progesterone Fibroids are strictly hormone-dependent tumors. They rarely appear before puberty (menarche) and typically regress after menopause.
  • Estrogen: Fibroids possess a higher density of Estrogen Receptors (ER-alpha and ER-beta) compared to normal myometrium. Estrogen acts as a “competence factor,” priming the cells to respond to growth signals. It stimulates the proliferation of smooth muscle cells and the deposition of the extracellular matrix.
  • Progesterone: Once thought to play a secondary role, progesterone is now recognized as the critical “mitogen” (driver of cell division). Fibroids have an abundance of Progesterone Receptors (PR-A and PR-B). During the luteal phase of the menstrual cycle, progesterone stimulates tumor growth by upregulating the expression of key growth factors, such as EGF (Epidermal Growth Factor) and BCL-2 (an anti-apoptotic protein that prevents cell death). This explains why antiprogestins (like Mifepristone or Ulipristal Acetate) can effectively shrink fibroids.
  • Aromatase: Fibroid tissue expresses significantly higher levels of aromatase, an enzyme that converts androgens into estrogen locally. This allows the tumor to create its own hyper-estrogenic microenvironment, fueling its growth via an autocrine pathway even if systemic hormone levels fluctuate.
  1. Extracellular Matrix (ECM) and Stiffness Fibroids are fundamentally “fibrotic” diseases. The tumor cells secrete abnormal amounts of collagen. This creates a rigid, stiff environment. Through a process called mechanotransduction, the physical stiffness of the tissue signals the cells to proliferate further, creating a self-perpetuating cycle of fibrosis and growth. The ECM also serves as a reservoir for growth factors, making them available to the cells.

The FIGO Classification System

The effect a fibroid has—such as causing bleeding, pain, or infertility—depends more on where it is in the uterus than on its size. To help with diagnosis and treatment, the International Federation of Gynecology and Obstetrics (FIGO) created a system that classifies fibroids into eight types as part of the PALM-COEIN system for abnormal uterine bleeding.

Submucosal Fibroids (Types 0, 1, 2): These tumors originate from the inner myometrium and project into the uterine cavity. They are the most symptomatic, causing severe menorrhagia and infertility even when tiny (1-2 cm) due to their disruption of the endometrial lining.

  • Type 0: Pedunculated intracavitary; the fibroid is entirely within the uterine cavity, attached to the wall only by a thin stalk.
  • Type 1: Less than 50% intramural; the majority of the fibroid protrudes into the cavity.
  • Type 2: More than 50% intramural; the fibroid bulges into the cavity but has a significant portion deep in the muscle wall.

Intramural Fibroids (Types 3, 4): These develop within the muscular wall of the uterus. They are the most common type.

  • Type 3: Contacts the endometrium but does not distort the cavity (100% intramural).
  • Type 4: Entirely within the myometrium, with no contact with the endometrium or serosa. As they expand, they distort the uterus’s external contour, leading to bulk symptoms.

Subserosal Fibroids (Types 5, 6, 7): These tumors originate from the outer myometrial layer and project outward into the pelvic cavity.

  • Type 5: Subserosal with more than 50% intramural component.
  • Type 6: Subserosal with less than 50% intramural component.
  • Type 7: Pedunculated subserosal; attached to the uterus by a stalk. These carry a risk of torsion (twisting), which can cut off the blood supply and cause acute, severe ischemic pain.

Other (Type 8): This category includes fibroids in atypical locations, such as cervical fibroids (arising from the cervix) or parasitic fibroids (which have detached from the uterus and acquired a blood supply from adjacent organs, such as the omentum or bowel).

Types of Degeneration

Types of Degeneration

Types of Degeneration

As fibroids enlarge, they often outgrow their blood supply, leading to various forms of degeneration that change the tumor’s consistency, appearance on imaging, and clinical presentation.

  • Hyaline Degeneration: The most common form, where the smooth muscle is replaced by hyaline connective tissue. The tissue becomes soft and liquefies centrally.
  • Cystic Degeneration: Following hyaline degeneration, the tissue liquefies completely, forming cystic spaces filled with fluid.
  • Red Degeneration (Carneous): A specific type of hemorrhagic infarction that occurs predominantly during pregnancy. The rapid growth of the fibroid leads to acute ischemia, causing severe localized pain, fever, and leukocytosis.
  • Calcific Degeneration: Occurs in older, postmenopausal fibroids. The tumor becomes hard and calcified (“womb stone”) as the blood supply diminishes.
  • Sarcomatous Degeneration: The malignant transformation of a benign fibroid into a leiomyosarcoma is sporadic, occurring in 0.1% to 0.5% of cases.

Epidemiology and Demographics

Uterine fibroids are very common, which makes them an important public health concern.

  • Age: The risk increases with age throughout the reproductive years, peaking in the 40s. By age 50, ultrasound screening detects fibroids in more than 70% of women.
  • Racial Disparity: There is a profound racial disparity in fibroid disease. Women of African descent are disproportionately affected; they tend to develop fibroids at a younger age, have larger and more numerous tumors, experience faster growth rates, and suffer from more severe symptoms (anemia, pain) compared to Caucasian or Asian women. The reasons are likely a combination of genetic polymorphisms, differences in hormone metabolism, and environmental exposures (e.g., Vitamin D deficiency, hair relaxer chemicals).
  • Family History: Having a first-degree relative (mother or sister) with fibroids increases a woman’s risk by approximately 2.5 times, suggesting a strong hereditary component.

30 Years of
Excellence

Trusted Worldwide

With patients from across the globe, we bring over three decades of medical

Book a Free Certified Online
Doctor Consultation

Clinics/branches
Assoc. Prof. MD.  Eymen Gazel Assoc. Prof. MD. Eymen Gazel Urology
Group 346 LIV Hospital

Reviews from 9,651

4,9

Was this article helpful?

Was this article helpful?

We're Here to Help.
Get in Touch.

Send us all your questions or requests, and our expert team will assist you.

Doctors

FREQUENTLY ASKED QUESTIONS

What is the difference between a fibroid and a uterine polyp?

While both are intrauterine growths, they are histologically distinct. Fibroids (leiomyomas) arise from the smooth muscle of the uterine wall and are generally dense, fibrous, and complex. Polyps arise from the overgrown endometrial lining (glandular tissue), are soft, fleshy, and vascular. Polyps are more likely to cause intermenstrual spotting, while fibroids typically cause heavy menstrual bleeding and bulk symptoms.

The risk of a benign fibroid transforming into a malignant leiomyosarcoma is exceptionally low, estimated at less than 1 in 1000 cases (0.1%). Most medical consensus holds that leiomyosarcomas arise de novo from a distinct cell lineage, rather than from pre-existing benign fibroids. However, rapid growth in a postmenopausal woman is a “red flag” that warrants prompt investigation

The exact etiology is unknown, but it is likely multifactorial. Research points to genetic variations (polymorphisms in hormone receptors and the COMT gene), higher average circulating estrogen levels, potential dietary factors (lower dairy intake, Vitamin D deficiency), and higher exposure to environmental endocrine disruptors (phthalates) as contributing factors to the earlier onset and greater severity.

In the vast majority of cases, the cessation of ovarian estrogen and progesterone production during menopause leads to the atrophy and shrinkage of fibroids. However, they do not disappear completely; they remain as small calcified scars. Women taking Hormone Replacement Therapy (HRT) may experience persistent growth or symptoms due to the exogenous hormones.

Immunosuppressive Therapy is not a quick fix. It typically takes 3 to 6 months to see a meaningful improvement in blood counts. Patience is key. During this time, the patient remains dependent on transfusions and careful infection prevention.

Spine Hospital of Louisiana

Let's Talk About Your Health

BUT WAIT, THERE'S MORE...

Leave your phone number and our medical team will call you back to discuss your healthcare needs and answer all your questions.

Let's Talk About Your Health

How helpful was it?

helpful
helpful
helpful
Your Comparison List (you must select at least 2 packages)