
Liver adenocarcinoma, also known as hepatocellular carcinoma, starts in the liver cells. It’s a serious disease and one of the fastest-growing cancers globally.
The liver is key for many important tasks, like detoxifying and making proteins. When cancer hits the liver, it can mess with these jobs and harm your health.
Knowing about hepatic cancer and how it grows is key for catching it early. We’ll look into the basics of liver adenocarcinoma, its risks, and how it affects care for patients.
Key Takeaways
- Liver adenocarcinoma is a type of cancer that begins in the liver cells.
- It is a life-threatening illness and one of the fastest-growing cancer types.
- The liver performs critical functions, including detoxification and protein synthesis.
- Understanding hepatic cancer is key for early detection and treatment.
- Liver adenocarcinoma significantly impacts liver functions and overall health.
Understanding Adenocarcinoma Liver: Definition and Types
It’s important for patients and doctors to understand liver adenocarcinoma. This condition affects the liver, a key organ for our body’s functions.
Definition and Characteristics of Liver Adenocarcinoma
Liver adenocarcinoma is when liver cells grow out of control, forming tumors. It can be primary, starting in the liver, or secondary, spreading from other parts of the body.
This cancer can grow into nearby tissues and spread to other organs. Finding it early is key to treating it well.
Primary vs. Secondary Liver Cancer
Primary liver cancer begins in the liver, with hepatocellular carcinoma being the most common. Secondary liver cancer comes from other organs like the colon, breast, or lung.
Knowing if the cancer is primary or secondary helps decide the best treatment.
Common Types of Liver Malignancies
There are several types of liver cancers, including:
- Hepatocellular Carcinoma (HCC): The most common type of primary liver cancer.
- Intrahepatic Cholangiocarcinoma: A cancer that arises from the bile ducts within the liver.
- Liver Metastases: Secondary liver cancer resulting from the spread of cancer from other parts of the body.
Each type of liver cancer has its own features and needs a specific treatment plan.
The Development and Progression of Liver Cancer
It’s important to know how liver cancer starts and grows. Liver cancer, or hepatic cancer, happens when cells in the liver grow out of control. This can be caused by different risk factors and genetic changes.
Risk Factors for Developing Hepatic Cancer
Several things can increase the chance of getting liver cancer. These include:
- Chronic infections with hepatitis B and C viruses
- Cirrhosis, a condition where the liver gets scarred
- Exposure to aflatoxins, toxins from certain molds in food
These factors can cause genetic changes and cell damage. For example, long-term hepatitis B and C infections can lead to liver damage and cancer.
Cellular Changes in Cancerous Liver Lesions
The change from normal liver cells to cancerous liver lesions involves genetic changes. These changes make cells grow uncontrollably, a key sign of cancer. The process includes:
- Genetic mutations that mess up cell growth control
- Epigenetic changes that affect how genes work
- Angiogenesis, the creation of new blood vessels for the tumor
Stages of Liver Adenocarcinoma Progression
Liver adenocarcinoma goes through different stages, from early tumors to advanced disease. Knowing the stages of liver cancer helps doctors plan treatment. The stages are:
- Early-stage cancer, where the tumor is small
- Intermediate-stage cancer, where the tumor has grown but is in the liver
- Advanced-stage cancer, where the tumor has spread to other parts of the body
Understanding these stages and how liver cancer progresses is key to finding effective treatments.
Diagnosis and Detection of Liver Tumors
Finding liver tumors needs a detailed plan. This includes knowing early signs and using the latest diagnostic tools. We will look at how to diagnose liver cancer. This ensures patients get the right diagnosis quickly.
Early Warning Signs and Symptoms
Liver cancer can be hard to spot early because its symptoms are not clear. But as it grows, symptoms get stronger. Common signs include pain in the upper right belly, losing weight, and yellow skin and eyes.
Seeing these signs early is key for quick medical checks.
Other signs might be feeling tired, sick to your stomach, or vomiting. Sometimes, the liver gets bigger, causing belly pain or feeling full. It’s important to see a doctor if you have these symptoms.
Imaging Techniques for Identifying Liver Lesions
Imaging is key in finding liver cancer. We use different methods to see the liver and find tumors. These include ultrasound, CT scans, MRI, and PET scans. These tests help us see how big, where, and how far the tumor is.
- Ultrasound is often the first test because it’s safe and shows images in real-time.
- CT scans give detailed pictures of the liver, helping spot tumors and see if they’ve spread.
- MRI gives clear images of the liver, helping us understand liver lesions better.
Laboratory Tests and Biopsy Procedures
Lab tests are important for diagnosing liver cancer and checking liver health. We do blood tests to see how the liver is working and check for tumor markers. A biopsy is often needed to confirm the diagnosis.
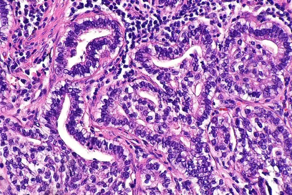
There are different ways to do a biopsy, like fine-needle aspiration or core needle biopsy. The choice depends on the tumor’s size and location. Looking at the biopsy sample helps us know the cancer type and grade, which helps decide treatment.
Conclusion: Treatment Approaches and Future Outlook
Managing liver adenocarcinoma well needs a deep understanding of treatment choices. We use surgery, ablation, embolization, radiation, and immunotherapy to fight liver cancer. These methods help tackle liver malignancy and carcinoma.
The right treatment for liver adenocarcinoma depends on the disease’s stage and the patient’s health. Catching liver cancer early is key to better treatment results for those with سرطان الكبد (liver cancer).
Thanks to ongoing medical research, new treatments for liver adenocarcinoma are on the horizon. Our goal is to provide top-notch healthcare. We aim to support international patients seeking liver cancer treatment.
FAQ
What is liver adenocarcinoma?
What are the risk factors for developing liver cancer?
What are the symptoms of liver cancer?
How is liver cancer diagnosed?
What are the different types of liver malignancies?
What is the difference between primary and secondary liver cancer?
How does liver adenocarcinoma progress?
What are the treatment options for liver adenocarcinoma?
Can liver cancer be prevented?
What is carcinoma on the liver?
What is the role of biopsy in diagnosing liver cancer?
References
National Center for Biotechnology Information. Evidence-Based Medical Insight. Retrieved from https://pubmed.ncbi.nlm.nih.gov/15237420/

