



Understand the diagnostic process for Vasculitis. Explore blood tests, biopsies, and imaging used to detect immune system activity and vascular inflammation.
Send us all your questions or requests, and our expert team will assist you.
Diagnosis and Evaluation
Diagnosing vasculitis is notoriously difficult because its symptoms overlap with many other, more common diseases, such as infections and cancers. There is no single test that can confirm all types of vasculitides. Instead, a combination of clinical evaluation, laboratory tests, imaging studies, and tissue biopsies is required. The diagnostic process at Liv Hospital is multidisciplinary, often involving rheumatologists, nephrologists, pulmonologists, and radiologists working together to assemble the clinical puzzle
Blood tests are used to detect the presence of systemic inflammation, although these are not specific to vasculitis.
Specific antibodies help classify the type of vasculitis.
Since the kidneys are frequently a silent target, urine analysis is a critical diagnostic tool.
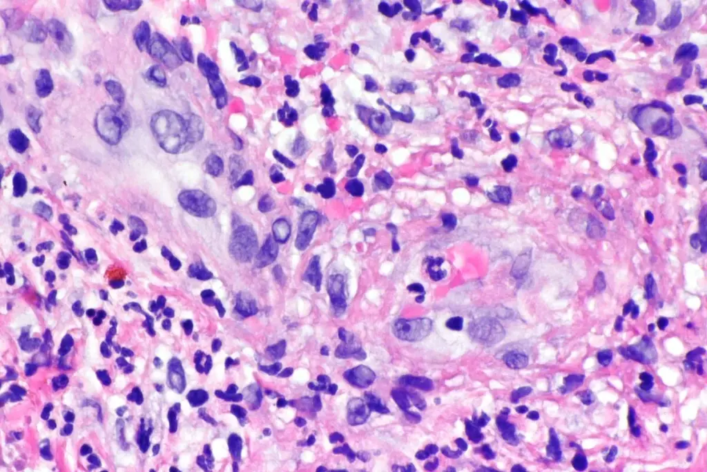
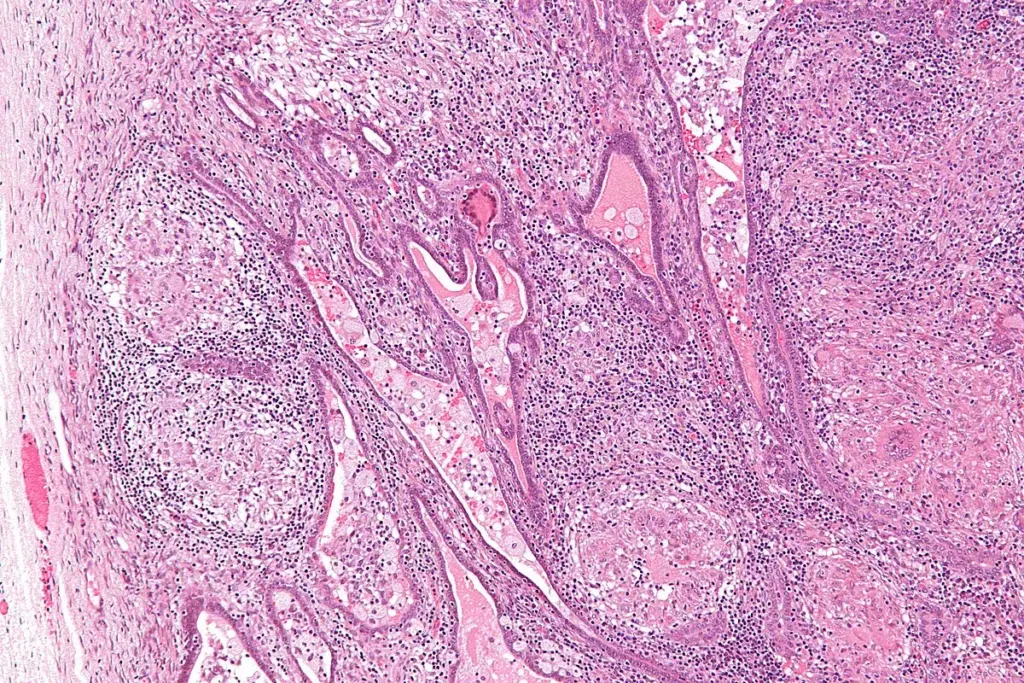
Whenever possible, doctors try to obtain a tissue sample from an affected organ to confirm the diagnosis.
For large and medium vessel vasculitides, visualizing the blood flow is essential.
Modern technology allows for detailed imaging without invasive catheters.
The diagnostic process involves ruling out mimics.
Send us all your questions or requests, and our expert team will assist you.
A urologist is a surgeon trained to treat conditions of the urinary tract in both men and women. A urogynecologist has specific training in female pelvic medicine and reconstructive surgery, focusing on conditions like bladder prolapse and female incontinence.
The bladder lining (urothelium) has a high regenerative capacity and heals quickly after minor trauma or infection. However, the muscle layer (detrusor) does not regenerate well. If the muscle is damaged by chronic overdistention or fibrosis, the loss of function is often permanent.
Yes, psychological stress can exacerbate bladder symptoms. The bladder has many nerve receptors sensitive to stress hormones. “Stress incontinence” refers to physical pressure (coughing/sneezing), but anxiety can trigger “urgency” and frequency, mimicking Overactive Bladder symptoms.
Yes, the bladder’s functional capacity tends to decrease with age. Furthermore, the elasticity of the bladder wall reduces, and the kidneys produce more urine at night (nocturnal polyuria), leading to increased nighttime urination in older adults.
Neurogenic bladder is a term used when the nerve control of the bladder is disrupted due to a brain, spinal cord, or nerve condition (like diabetes or MS). This can cause the bladder to either be unable to hold urine (incontinence) or unable to empty it (retention).
BlogImmunologyFeb 11, 2026Understand the global impact of inflammatory conditions and their underlying causes, from immune dysregulat...
BlogImmunologyFeb 11, 2026What is Granulomatosis with Polyangiitis (GPA)? Explore this rare autoimmune condition, its impact on the b...
BlogImmunologyFeb 10, 2026Autoimmune autonomic ganglionopathy (AAG) is a rare autoimmune disorder that disrupts the autonomic nervous...
BlogImmunologyFeb 11, 2026Explore the top 15 inflammatory diseases and chronic conditions affecting millions globally, including rheu...
BlogImmunologyFeb 10, 2026Explore the 12 most common inflammatory diseases and conditions, including asthma, psoriasis, and rheumatoi...
BlogImmunologyFeb 11, 2026Discover the global impact of 35+ inflammatory diseases, from heart disease to cancer, affecting millions w...
Get instant answers from our medical team. No forms, no waiting — just tap below to start chatting now.
Start Chat on WhatsApp or call us at +90 530 174 28 17