
Bone marrow problems can really affect your daily life. They cause a lot of pain and discomfort. Severe fatigue and unexplained weakness are common complaints. People often feel short of breath and get sick more easily.
Bone pain, often in the back or ribs, is another symptom. These signs can point to serious conditions like multiple myeloma or other bone marrow disorders.
It’s important to know these symptoms to catch problems early. We’ll look at the common signs of bone marrow disorders. We’ll also talk about why it’s key to see a doctor if these symptoms don’t go away.
Key Takeaways
- Bone marrow problems can cause severe fatigue, weakness, and shortness of breath.
- Frequent infections and bone pain are common symptoms.
- Early detection is key for effective treatment.
- Multiple myeloma is a condition linked to bone marrow problems.
- Seeking medical attention is vital if symptoms persist.
Understanding Bone Marrow: Function and Importance

Bone marrow is a spongy tissue inside some bones, like hips and thighbones. It makes blood cells. The importance of bone marrow lies in its role in producing the cells that sustain life. It makes red blood cells, white blood cells, and platelets. These cells are key for oxygen delivery, fighting infections, and stopping bleeding.
The Role of Bone Marrow in Blood Production
Bone marrow is key in making blood cells. Red blood cells carry oxygen, white blood cells fight infections, and platelets help blood clot. Bone marrow keeps making these cells all our lives.
|
Type of Blood Cell |
Function |
|---|---|
|
Red Blood Cells |
Carry oxygen throughout the body |
|
White Blood Cells |
Help fight infections |
|
Platelets |
Essential for blood clotting |
How Healthy Bone Marrow Maintains Body Function
Healthy bone marrow keeps our body full of blood cells. When it works right, it keeps us healthy. It stops problems like anemia, infections, and bleeding issues.
In summary, bone marrow is vital for our survival. Its proper function is key to our health. Knowing its role helps us understand our body’s complex systems.
Types of Bone Marrow Disorders

It’s key to know the various bone marrow disorders to diagnose and treat health issues well. These disorders affect the bone marrow’s ability to make blood cells.
Bone Marrow Failure Syndromes
Bone marrow failure syndromes happen when the bone marrow can’t make enough blood cells. This leads to aplastic anemia. Causes include toxins, some meds, or viruses.
Signs include tiredness, weakness, and getting sick easily. Treatment might be fixing the cause, using drugs to calm the immune system, or a bone marrow transplant.
Bone Marrow Suppression
Bone marrow suppression means fewer blood cells are made. It’s often due to chemo, radiation, or some meds. This can cause anemia, low white blood cells, or low platelets, making infections and bleeding more likely.
Handling bone marrow suppression means changing treatments, using growth factors, or giving blood transfusions.
Infiltrative Disorders
Infiltrative disorders happen when abnormal cells, like cancer, fill the bone marrow. Examples are multiple myeloma and leukemia. They mess up the bone marrow’s job.
These disorders bring symptoms like bone pain, tiredness, and anemia. Treatment includes special therapies, chemo, and care to ease symptoms and improve life quality.
Knowing the types of bone marrow disorders helps doctors create the right treatment plans for each patient.
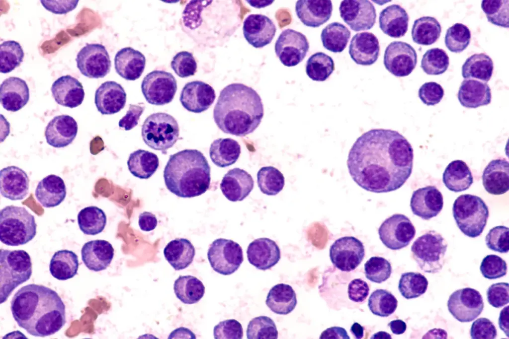
Multiple Myeloma: A Common Bone Marrow Cancer
Multiple myeloma is a cancer that affects the plasma cells in the bone marrow. It leads to health problems like anemia, bone pain, and infections. shows the struggles of those with this disease.
What Defines Multiple Myeloma
Multiple myeloma is when cancerous plasma cells build up in the bone marrow. These cells take over, causing symptoms and health issues. The exact cause is unknown, but some risk factors are known.
How Plasma Cells Become Cancerous
Plasma cells turn cancerous due to genetic mutations. These mutations cause them to grow out of control. Factors like genetics and environment can trigger these changes.
These cancerous cells produce harmful proteins. These proteins can damage kidneys and other organs. They also block the bone marrow from making healthy blood cells.
Impact on Bone Marrow Function
Cancerous plasma cells harm the bone marrow’s function. It can’t make healthy blood cells, leading to anemia and infections. The proteins from myeloma cells can also damage kidneys and cause other problems.
Managing multiple myeloma requires understanding its effects on the bone marrow and overall health. Treatments aim to lower cancer cells, manage symptoms, and improve life quality.
“The diagnosis of multiple myeloma requires a thorough approach, including lab tests, imaging, and bone marrow biopsy.”
The Onset of Symptoms: Early Warning Signs
Bone marrow problems can start quietly, with signs that are hard to spot at first. It’s key to know these early signs can really affect someone’s life if ignored.
Subtle Changes That May Indicate Bone Marrow Problems
Early signs of bone marrow issues might seem vague. You might feel fatigue, weakness, and shortness of breath. These signs are often not clear-cut, making it tough to catch bone marrow disorders early.
Other small changes could be:
- Persistent tiredness that doesn’t get better with rest
- Getting sick more often
- Bleeding or bruising easily
- Pain or discomfort in bones, like the back or ribs
These symptoms can point to many health problems, not just bone marrow issues. But if you notice several of these signs at once, seeing a doctor is a must.
Progression of Symptoms Over Time
As bone marrow problems get worse, symptoms can get stronger and harder to handle. For example, anemia can make you feel even more tired and weak. Thrombocytopenia can lead to more serious bleeding problems.
How symptoms get worse can differ from person to person. It depends on the cause of the bone marrow issue. In cases like multiple myeloma, symptoms can grow slowly, giving time for early treatment if caught early.
Several things can affect how symptoms get worse:
- The specific bone marrow disorder
- How well the immune system works
- Other health conditions present
By spotting early signs and knowing how they can get worse, people can get help sooner. This can lead to better outcomes.
Fatigue and Weakness: The Dominant Symptom
When bone marrow is affected by disease, one of the most common symptoms is feeling very tired and weak. This is true for conditions like multiple myeloma and other bone marrow disorders.
Understanding Bone Marrow-Related Fatigue
Bone marrow-related fatigue is a complex condition. It happens when the bone marrow can’t make enough healthy blood cells. This leads to less oxygen being delivered to tissues and organs, causing tiredness and lack of energy.
Key factors contributing to bone marrow-related fatigue include:
- Anemia due to reduced red blood cell production
- Inadequate production of white blood cells leading to infections
- Impaired platelet production affecting blood clotting
Statistical Prevalence: 43% Report Severe Fatigue
About 43% of people with bone marrow failure syndromes say severe fatigue is their main symptom. This shows how much bone marrow disorders affect patients’ lives.
How Anemia Contributes to Daily Energy Levels
Anemia is a common problem in bone marrow disorders. It’s when there are not enough red blood cells or hemoglobin. This makes it hard for the body to carry oxygen to tissues, leading to tiredness.
The link between anemia and fatigue is very important. Treating anemia can help reduce fatigue in patients. Doctors often use medicine, blood transfusions, or other treatments to fix the problem.
It’s key to understand why people with bone marrow disorders feel tired and weak. By tackling these symptoms, doctors can help patients feel better and live a better life.
Respiratory Symptoms and Shortness of Breath
Bone marrow health is closely tied to breathing. Problems in the bone marrow can cause breathing issues. Anemia, a common issue, makes it hard to breathe.
The Connection Between Bone Marrow and Breathing Difficulties
Bone marrow issues can lower healthy red blood cells, causing anemia. Anemia makes it hard for the body to carry oxygen to tissues and organs. This leads to fatigue and shortness of breath.
The body tries to make up for the lack of oxygen by breathing and heart rate faster.
Activities That May Trigger Breathing Problems
Even simple tasks like walking or climbing stairs can be tough for those with bone marrow disorders. Even a little effort can cause shortness of breath because of oxygen transport issues.
Managing Respiratory Symptoms
Dealing with breathing problems needs a few steps. “Treating anemia with blood transfusions or special agents can help,” saysa hematologist. Also, pacing activities, staying healthy, and not smoking can help manage symptoms.
- Engaging in gentle exercises like yoga or tai chi to improve lung function
- Using oxygen therapy as prescribed by healthcare providers
- Practicing deep breathing exercises to enhance lung capacity
Understanding the bone marrow and breathing connection helps patients manage their condition. This improves their quality of life.
Increased Susceptibility to Infections
Bone marrow issues can weaken the immune system, making us more prone to infections. This happens because the bone marrow is key in making white blood cells. These cells fight off infections.
Why Bone Marrow Problems Lead to Frequent Infections
Disorders like multiple myeloma or chemotherapy can harm white blood cell production. Neutrophils, a vital part of our defense, are often affected. With fewer neutrophils, we’re more likely to get sick.
Neutropenic Fever: Occurring in Up to 22% of Patients
Neutropenic fever is a serious issue when someone with low neutrophils gets a fever. It’s a medical emergency. Up to 22% of patients with certain conditions or undergoing chemotherapy might face this, showing the need for careful monitoring and prevention.
Common Types of Infections Experienced
Those with bone marrow issues are at risk for different infections, including:
- Bacterial infections, such as pneumonia or sepsis
- Viral infections, including reactivation of latent viruses like herpes zoster
- Fungal infections, which can be hard to treat
These infections can vary from mild to severe and need quick medical care.
Preventive Measures
To lower infection risks, several steps can be taken:
- Good Hygiene Practices: Regular handwashing and personal hygiene can greatly reduce infection risks.
- Vaccinations: Keeping up with vaccinations can protect against some infections.
- Avoiding Exposure: Staying away from sick people can also help.
- Prophylactic Antibiotics: In some cases, antibiotics are given to prevent infections in high-risk patients.
By knowing the risks and taking steps ahead of time, those with bone marrow issues can fight off infections better. This improves their quality of life.
Bleeding and Bruising Abnormalities
Bone marrow problems can cause bleeding and bruising issues. These problems often come from platelet deficiencies. This can really affect a patient’s life quality.
Understanding Platelet Deficiencies
Platelet deficiencies, or thrombocytopenia, happen when the bone marrow doesn’t make enough platelets. Platelets are key for blood to clot. Without enough, patients might bruise or bleed easily. We’ll look at how this affects patients and how to manage it.
30-40% Experience Noticeable Bleeding Issues
About 30-40% of patients with bone marrow disorders have noticeable bleeding problems. This can show up as easy bruising, nosebleeds, or bleeding that won’t stop after injuries or surgery. It’s important for patients to watch for these signs and get medical help if they see anything unusual.
Recognizing Abnormal Bleeding Patterns
Spotting abnormal bleeding patterns early is key. Patients should watch for signs like:
- Frequent or unexplained nosebleeds
- Easy bruising or petechiae (small spots on the skin)
- Prolonged bleeding after cuts or injuries
- Bleeding gums or heavy menstrual periods
Knowing these symptoms helps patients get medical help quickly.
Impact on Daily Activities and Safety
Bleeding and bruising problems can make daily life risky. Simple tasks can become dangerous. Patients might need to avoid sports, handle sharp objects carefully, and be careful to avoid falls.
We stress the need for safety and lifestyle changes to reduce bleeding risks. Understanding bleeding and bruising issues helps patients manage their condition better. This improves their life quality.
Bone Pain and Discomfort
Bone pain is common in people with bone marrow disorders. It greatly affects their quality of life. This pain comes from different bone marrow conditions, with multiple myeloma being a key example.
Locations and Characteristics of Bone Marrow Pain
Bone marrow pain from conditions like multiple myeloma can occur in various body parts. It often affects the back, ribs, and hips. The pain can feel like a dull ache or a sharp, stabbing pain. Knowing where and how this pain feels is key to managing it well.
Back and Rib Pain: Common Sites in Multiple Myeloma
In multiple myeloma, the back and ribs are often hurt because of cancer cells in the bone marrow. This can cause bone damage and pain. The pain in these areas can be constant and get worse if not treated.
Key areas to watch for include:
- The lower back, where pain can radiate to the hips or legs
- The rib cage, where pain can be made worse by deep breathing or movement
Differentiating Bone Marrow Pain from Other Types
It’s important to tell bone marrow pain from other pains to get the right treatment. Bone marrow pain feels deep and can come with symptoms like tiredness or weakness. On the other hand, musculoskeletal pain is more on the surface and linked to certain movements or activities.
Pain Management Approaches
Managing pain well is key to improving life for those with bone marrow disorders. Treatments include medicines like bisphosphonates or painkillers, and non-medical options like physical therapy or therapy to change how you think about pain. A plan made just for you, with your healthcare team, is vital for the best care.
Talking openly with your healthcare team about your pain is important. This way, your treatment plan can be made just for you.
Psychological Impact of Bone Marrow Disorders
Bone marrow disorders can deeply affect a patient’s mental health. They go beyond just physical symptoms. Getting diagnosed and treated can cause a lot of emotional pain, affecting how well a patient lives.
Anxiety and Depression: Affecting Nearly Half of Patients
Studies show that almost half of those with bone marrow disorders face anxiety and depression. These mental health issues can be just as tough as the physical ones. They can make everyday life hard and affect how well treatment works.
Anxiety might make someone worry about the future, treatment, or how the disease will get worse. Depression can make someone feel unmotivated, change their appetite, and have trouble sleeping.
The emotional impact of bone marrow disorders can significantly affect daily life, leading to feelings of isolation and overwhelming sadness. Patients often feel alone, frustrated, and sad. It’s key for doctors to spot these signs early and help out.
Cognitive Effects and “Chemo Brain”
Many patients deal with brain fog, or “chemo brain.” This can make it hard to remember things, focus, and feel confused. These brain changes can really upset someone and make it hard to do daily tasks.
While we don’t know all the reasons, it’s thought that the disease, treatment side effects, and mental factors play a part. These changes can be really tough to handle.
Coping Strategies and Support Resources
But, there are ways to cope and get help. Cognitive-behavioral therapy (CBT), support groups, and counseling can help manage anxiety and depression. Mindfulness, like meditation and yoga, can also help reduce stress and make someone feel better.
It’s important for patients to have a strong support network. This includes mental health experts, family, and friends. By understanding the mental effects of bone marrow disorders and providing the right support, we can make patients’ lives better and help them get through treatment.
Diagnosis Process: From Symptoms to Confirmation
Understanding how to diagnose bone marrow disorders can seem tough. It usually involves blood tests, bone marrow biopsy, and other tests. We’ll walk you through these steps to make sure you know what to expect.
Initial Evaluation and Blood Tests
Your journey starts with an initial check-up. Your doctor will look at your health and past medical history. Blood tests are key, showing if your blood cells are normal or not.
For example, a complete blood count (CBC) can spot anemia or infections linked to bone marrow problems. Blood tests can also find proteins or markers for diseases like multiple myeloma. Research on the shows how biomarkers can show plasma cell dyscrasias.
Bone Marrow Biopsy Experience
A bone marrow biopsy is a more detailed test. It takes a bone marrow sample for study. Done under local anesthesia, it’s usually safe but might hurt a bit.
Additional Diagnostic Procedures
More tests might be needed to confirm a diagnosis. These include X-rays, MRI, or PET scans to check bone damage. Cytogenetic testing looks for genetic problems in bone marrow cells.
Understanding Your Test Results
Getting your test results can be scary. Your doctor will explain what they mean for your health. Remember, a diagnosis is based on your symptoms, medical history, and test results.
Being informed helps you understand the diagnosis process. This way, you can work with your healthcare team to find the right treatment.
Treatment Approaches for Multiple Myeloma and Other Bone Marrow Problems
Effective treatment for multiple myeloma combines therapies tailored to each patient. We will look at the different treatment options for multiple myeloma and other bone marrow disorders.
Medication Therapies
Medication therapies are key in treating multiple myeloma. These include proteasome inhibitors, immunomodulatory drugs, and corticosteroids. The right medication depends on the patient’s health, disease stage, and past treatments.
A common treatment uses a mix of these medications. For example, a combination of a proteasome inhibitor, an immunomodulatory drug, and corticosteroids is often used.
|
Medication Class |
Examples |
Use in Multiple Myeloma |
|---|---|---|
|
Proteasome Inhibitors |
Bortezomib, Carfilzomib |
Inhibit protein degradation in myeloma cells |
|
Immunomodulatory Drugs |
Lenalidomide, Pomalidomide |
Enhance immune response against myeloma cells |
|
Corticosteroids |
Dexamethasone |
Reduce inflammation and myeloma cell count |
Stem Cell Transplantation
Stem cell transplantation, like autologous stem cell transplantation, is a big treatment for some patients with multiple myeloma. It uses the patient’s own stem cells, collected before high-dose chemotherapy, and then reinfused to help the bone marrow recover.
Whether to have stem cell transplantation depends on many factors. These include the patient’s age, health, and how they respond to initial treatment.
Supportive Care Measures
Supportive care is key in managing symptoms and complications of multiple myeloma and other bone marrow disorders. This includes bisphosphonates to strengthen bones, antibiotics to prevent infections, and erythropoietin to stimulate red blood cell production.
Supportive care is tailored to each patient’s needs. It may change as treatment goes on.
Innovative Treatment Options
Research into multiple myeloma treatment keeps evolving. New therapies like CAR-T cell therapy show promise. These treatments aim to improve outcomes for patients, even those with relapsed or refractory disease.
Clinical trials are vital for testing new treatments. They help find safe and effective therapies, giving patients access to potentially life-extending treatments.
Prognosis and Quality of Life Considerations
When you’re diagnosed with multiple myeloma, knowing about your prognosis and quality of life is key. This journey is unique to each person. It’s shaped by your age, health, and how well you respond to treatment.
Factors Affecting Prognosis
Several important factors affect how well you might do with multiple myeloma. These include:
- Age at diagnosis
- Overall health and presence of comorbidities
- Genetic abnormalities in myeloma cells
- Response to initial treatment
Knowing these factors helps doctors create better treatment plans and predict outcomes more accurately.
Multiple Myeloma Prognosis Statistics
Thanks to new treatments, the outlook for multiple myeloma patients has gotten better. The 5-year survival rate has seen a big jump.
|
Year of Diagnosis |
5-Year Survival Rate |
|---|---|
|
2010-2014 |
48.5% |
|
2015-2019 |
55.4% |
This shows how important it is to keep researching and using new treatments.
Maintaining Quality of Life During Treatment
Keeping your quality of life up is a big part of managing multiple myeloma. It’s not just about treating the disease. It’s also about dealing with the physical and emotional side effects.
Supportive care, like pain management, nutrition advice, and mental health support, is key to improving well-being.
Long-term Survivorship Concerns
As treatments get better, thinking about long-term survival becomes more important. Patients and their families need to know about possible long-term side effects. Working closely with doctors can help manage these risks.
By understanding your prognosis and managing your condition, you can live a fulfilling life. This is possible with the help of your healthcare team and loved ones.
When to Seek Medical Attention
It’s important to know when to get medical help if you have bone marrow conditions. Getting help quickly can make a big difference in how well you do.
Red Flag Symptoms Requiring Immediate Care
Some symptoms mean you need to see a doctor right away. These include severe pain, trouble breathing, or signs of infection like fever or chills. Don’t ignore severe pain that gets worse fast, as it could be a sign of a serious problem.
For people with bone marrow disorders, infections are a big risk because their immune system is weak. If you have a fever over 101.5°F (38.6°C) or feel cold, call your doctor right away.
Monitoring Ongoing Symptoms
Some symptoms need to be watched over time, not just right away. Keeping a journal of your symptoms can help you and your doctor see any changes or patterns.
|
Symptom |
Monitoring Tips |
|---|---|
|
Fatigue |
Track energy levels throughout the day |
|
Bleeding or Bruising |
Note frequency and severity of episodes |
Communicating Effectively with Healthcare Providers
Talking well with your doctor is key to managing bone marrow disorders. Being ready for your appointment by organizing your questions and symptoms can make your care better.
“Clear communication between patients and healthcare providers is key to successful management of bone marrow disorders.”Expert Opinion
It’s okay to ask your doctor anything about your condition, treatment, or worries. Talking openly helps your care fit your needs better.
Conclusion: Living with Bone Marrow Disorders
Living with bone marrow disorders, like multiple myeloma, needs a full plan. This includes medical care, lifestyle changes, and support. We’ve looked into how bone marrow works, how disorders affect the body, and the treatments available.
It’s key for patients to know about symptoms, diagnosis, and treatment for multiple myeloma and other cancers. This knowledge helps them deal with their condition better. Recognizing the physical and mental hurdles helps patients manage their situation.
Being diagnosed with bone marrow cancer changes life, but the right care can make a big difference. A team of doctors and specialists is vital in managing these disorders. They give patients the tools to live well with their condition.
FAQ
What are the common symptoms of bone marrow disorders?
Symptoms include fatigue, weakness, and shortness of breath. You might also get frequent infections, bleed or bruise easily, and feel bone pain. These signs can change based on the disorder and its severity.
How does multiple myeloma affect bone marrow function?
Multiple myeloma is a blood cancer that harms bone marrow. It makes fewer healthy blood cells. This leads to anemia, infections, and bleeding problems.
What is the role of bone marrow in blood production?
Bone marrow is key for making blood cells. It produces red, white blood cells, and platelets. Healthy marrow ensures the body has enough cells for its functions.
How is multiple myeloma diagnosed?
Diagnosing multiple myeloma starts with blood tests and an initial check-up. Then, more detailed tests like bone marrow biopsies are done.
What are the treatment options for multiple myeloma?
Treatment plans vary for each patient. They might include medicines, stem cell transplants, and supportive care.
How can bone marrow disorders impact mental health?
These disorders can deeply affect mental health. Patients often face anxiety, depression, and “chemo brain.” These issues can impact their well-being.
What are the factors that affect prognosis in multiple myeloma?
Prognosis depends on the disease stage, patient health, and treatment response. These factors are key.
How can patients maintain quality of life during treatment?
To keep quality of life, manage symptoms, stay active, and get support. Healthcare providers, family, and friends are important.
When should patients seek medical attention for bone marrow disorders?
Seek help right away for severe symptoms like bleeding, breathing trouble, or pain. Keeping in touch with doctors is also vital.
What is the importance of bone marrow biopsy in diagnosis?
Bone marrow biopsy is essential. It lets doctors check cells and diagnose disorders like multiple myeloma accurately.
References
National Center for Biotechnology Information. Evidence-Based Medical Insight. Retrieved from https://pubmed.ncbi.nlm.nih.gov/35657167/