A Clinical Guide to Causes and Symptoms

Learn the warning signs of Myelogenous Leukemia. From sudden AML symptoms like petechiae to the slow progression of CML and splenomegaly.

We're Here to Help.
Get in Touch.

Send us all your questions or requests, and our expert team will assist you.

Doctors
GDPR

Myelogenous Leukemia: Conditions and Indications

Myelogenous Leukemia: Conditions and Indications

Conditions and indications in myelogenous leukemia describe the clinical situations in which advanced therapeutic strategies, including stem cell–based approaches, may be considered as part of disease management. Because myelogenous leukemia encompasses biologically diverse diseases with variable progression patterns, indications are not uniform and depend on disease type, response to initial therapy, and overall bone marrow function. The goal of identifying appropriate indications is to determine when restoration of healthy blood formation becomes a central therapeutic priority.

In the context of stem cell treatment, myelogenous leukemia itself is evaluated as the underlying condition that may warrant replacement or reconstitution of diseased bone marrow under specific circumstances. This decision is based on careful clinical assessment rather than on diagnosis alone.

Clinical Conditions Within Myelogenous Leukemia

Myelogenous Leukemia

Different clinical forms of myelogenous leukemia create different therapeutic considerations.

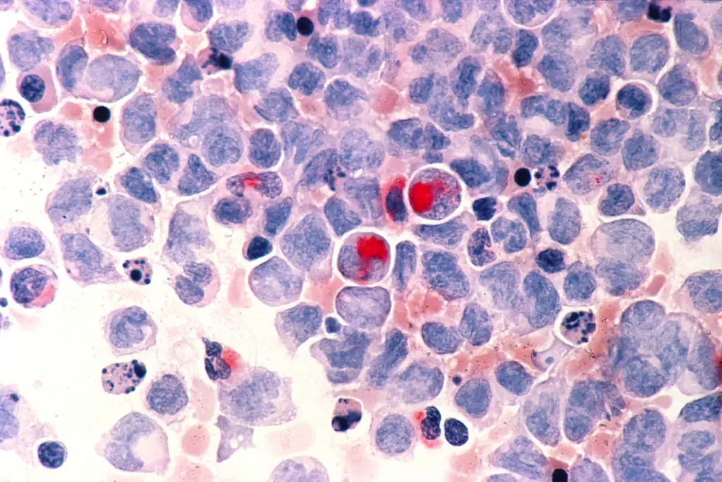
Acute Myelogenous Leukemia

Acute myelogenous leukemia is characterized by aggressive disease behavior and rapid bone marrow failure. In this setting, abnormal myeloid cells quickly dominate the marrow, leading to severe anemia, infection risk, and bleeding tendency.

Conditions commonly associated with acute myelogenous leukemia include
• Rapidly rising blast cell counts
• Severe suppression of normal blood cell production
• High risk of life-threatening complications

Because of this aggressive profile, advanced treatment strategies may be considered when conventional therapies alone are insufficient to achieve durable disease control.

Chronic Myelogenous Leukemia

Chronic myelogenous leukemia typically progresses more slowly and may remain stable for extended periods. However, disease behavior can change over time, particularly if progression accelerates or treatment response diminishes.

Clinical conditions influencing advanced treatment consideration include
• Disease progression despite standard therapy
• Transition to more aggressive disease phases
• Increasing bone marrow dysfunction

In these situations, restoring normal marrow function becomes an important therapeutic objective.

Indications Related to Disease Progression

Indications Related to Disease Progression

Disease progression plays a central role in determining indications.

Failure to Achieve Stable Disease Control

When myelogenous leukemia does not respond adequately to standard treatment or shows signs of ongoing progression, alternative strategies may be evaluated. Persistent abnormal cell growth can lead to cumulative marrow damage and declining blood counts.

Indicators of inadequate disease control may include
• Worsening blood count abnormalities
• Increasing marrow involvement
• Recurrent disease activity after initial response

These findings suggest the need for reassessment of long-term treatment strategy.

Icon LIV Hospital

Indications Based on Bone Marrow Function

Indications Based on Bone Marrow Function

Bone marrow health is a key determinant in advanced therapy planning.

Severe or Persistent Marrow Suppression

When the bone marrow’s ability to produce healthy blood cells is significantly impaired, supportive treatments alone may not be sufficient. In such cases, approaches aimed at reestablishing normal hematopoiesis may be considered.

Clinical features supporting this indication include
• Chronic dependence on transfusion support
• Recurrent infections due to immune suppression
• Persistent bleeding risk related to low platelet production

Icon 1 LIV Hospital

Risk Stratification and Biological Features

Risk Stratification and Biological Features

Not all cases of myelogenous leukemia behave the same way.

High-Risk Disease Characteristics

Certain biological and genetic features are associated with more aggressive disease behavior and reduced responsiveness to conventional treatment. When these features are present, clinicians may consider advanced treatment pathways earlier in the disease course.

Risk stratification helps identify individuals who may benefit from more definitive marrow-directed strategies.

Patient-Related Indications

Beyond disease characteristics, patient factors are also important.

Overall Health and Treatment Tolerance

Advanced treatments are considered only when a patient’s overall condition allows for intensive therapy. Factors such as organ function, age-related physiological reserve, and ability to tolerate immune suppression are carefully evaluated.

Indications therefore reflect a balance between disease severity and patient suitability.

Timing of Advanced Treatment Consideration

Timing of Advanced Treatment Consideration

Timing is a critical element in determining indications.

Early Versus Late Intervention

In some cases, earlier intervention may offer better long-term disease control, while in others, delaying advanced treatment until clear progression occurs may be more appropriate. This decision is individualized and based on ongoing assessment rather than fixed timelines.

Clinical Importance of Proper Indication Assessment

Clinical Importance of Proper Indication Assessment

Identifying appropriate conditions and indications ensures that advanced treatments, including stem cell–based strategies, are applied when potential benefits outweigh risks. Careful selection helps avoid unnecessary intervention while preserving the option for definitive treatment when disease behavior warrants it.

By aligning indications with disease biology and patient condition, clinicians aim to support long-term disease control and restoration of healthy blood cell production.

Book a Free Certified Online
Doctor Consultation

Clinics/branches
GDPR

30 Years of
Excellence

Trusted Worldwide

With patients from across the globe, we bring over three decades of medical

Group 346 LIV Hospital

Reviews from 9,651

4,9

Was this article helpful?

Was this article helpful?

We're Here to Help.
Get in Touch.

Send us all your questions or requests, and our expert team will assist you.

Doctors
GDPR

FREQUENTLY ASKED QUESTIONS

Do all patients with myelogenous leukemia need advanced treatment?

No, many patients are managed successfully with standard therapies.

It is considered when disease progression or marrow failure becomes significant.

Yes, aggressive disease behavior often leads to consideration of intensive approaches.

No, but progression can occur and requires close monitoring.

Yes, overall health and treatment tolerance are essential considerations.

Spine Hospital of Louisiana

RELATED VIDEOS

Need Help? Chat with our medical team

Let's Talk on WhatsApp

📌

Get instant answers from our medical team. No forms, no waiting — just tap below to start chatting now.

or call us at +90 530 174 28 17

How helpful was it?

helpful
GDPR
helpful
GDPR
helpful
GDPR