
Alzheimer’s disease is a progressive neurological disorder. It causes the brain to shrink and brain cells to die. As it advances, it affects multiple brain regions responsible for various critical functions. Which brain functions are affected? Discover the amazing answer to: alzheimer disease involves deterioration of which of the following cognitive areas.
This condition leads to nerve cell death and tissue loss throughout the brain. It impacts nearly all its functions, including memory, thinking, reasoning, language, and visuospatial skills. Understanding the impact of Alzheimer’s on these brain functions is key for early detection and intervention.
Key Takeaways
- Alzheimer’s disease is a progressive neurological disorder.
- It affects multiple brain regions responsible for critical functions.
- Nerve cell death and tissue loss occur throughout the brain.
- Early detection and intervention are vital for managing the disease.
- Understanding the impact on brain functions is essential for patients and caregivers.
The Devastating Impact of Alzheimer’s Disease on the Brain

Alzheimer’s disease is a big problem in the U.S., with over 6 million people possibly affected. It’s not just a health issue for those diagnosed but also for their families and caregivers.
Statistics and Prevalence in the United States
More than 6 million Americans aged 65 and older might have Alzheimer’s. Age is the main risk factor, and the disease is expected to grow as more people get older. The numbers are quite scary:
- 1 in 3 seniors dies with Alzheimer’s or another dementia.
- Alzheimer’s disease is the 6th leading cause of death in the United States.
- More than 11 million family members and other unpaid caregivers provide an estimated 16 billion hours of care to people with Alzheimer’s or other dementias.
Overview of Progressive Cognitive Decline
Alzheimer’s disease causes a steady decline in brain function. This includes memory loss, trouble with language, and solving problems. As it gets worse, people may forget things, struggle to talk, and have trouble making decisions.
- Memory Loss: Forgetting recently learned information, important dates, or events.
- Communication Challenges: Difficulty with word-finding, following or participating in conversations.
- Problem-Solving Difficulties: Trouble with abstract thinking, making decisions, or judging time and space.
It’s important to understand how Alzheimer’s disease progresses. This helps in creating better care plans and supporting those affected.
The Biological Mechanisms of Brain Deterioration

Understanding Alzheimer’s disease is key to finding treatments. The disease is marked by abnormal protein clumps in the brain. These include amyloid plaques and tau tangles, which harm brain cells.
We’ll explore how brain functions deteriorate. This includes amyloid plaques, tau tangles, and how they affect neural communication.
Amyloid Plaques: Formation and Neural Disruption
Amyloid plaques are made of beta-amyloid protein fragments. They build up outside brain cells. This is a key sign of Alzheimer’s and can disrupt brain signals.
These plaques harm brain function and lead to memory loss. Studies link their presence to how severe Alzheimer’s symptoms are.
“The accumulation of amyloid plaques is a key feature of Alzheimer’s disease, contributing to the disruption of neural circuits and cognitive decline.”
Tau Protein Tangles and Neurofibrillary Degeneration
Tau protein tangles are another sign of Alzheimer’s. They form inside brain cells and are made of tau protein. Their presence is linked to brain cell death.
|
Pathological Feature |
Description |
Impact on Brain Function |
|---|---|---|
|
Amyloid Plaques |
Deposits of beta-amyloid protein fragments outside neurons |
Disrupts neural communication, triggers inflammation |
|
Tau Protein Tangles |
Abnormally phosphorylated tau protein inside neurons |
Associated with neurofibrillary degeneration and neuronal death |
|
Synaptic Loss |
Reduction in synapses between neurons |
Impaired neural communication, cognitive decline |
Synaptic Loss and Neural Communication Breakdown
Synaptic loss is a big part of Alzheimer’s. It leads to poor neural communication and memory loss. Fewer synapses mean less information flow, worsening the disease.
Understanding these mechanisms is vital for creating effective treatments. We aim to slow or stop Alzheimer’s disease progression.
Memory Systems Affected by Alzheimer’s Disease
Memory problems are often the first sign of Alzheimer’s disease. It affects many parts of an individual’s memory. Alzheimer’s first damages the brain’s memory parts, then language, reasoning, and social behavior areas.
Understanding how Alzheimer’s impacts different memory systems is key. It helps in diagnosing and managing the disease.
Episodic Memory Impairment: The Earliest Sign
Episodic memory, which recalls specific events and experiences, is first hit by Alzheimer’s. Impairment in episodic memory makes it hard to remember recent events or learn new things. For example, someone might forget where they put their keys or what they had for breakfast.
This type of memory loss is often one of the first signs of Alzheimer’s.
Working Memory Deficits and Information Processing
Working memory, which holds and manipulates information for short periods, is also hit hard by Alzheimer’s. Working memory deficits make it hard to follow instructions, make calculations, or understand complex info. For example, someone might struggle to follow a recipe or manage their finances.
- Difficulty in following instructions
- Challenges in making calculations
- Struggling to understand complex information
Semantic Memory and Procedural Memory Changes
Semantic memory, which includes general knowledge and facts, and procedural memory, which includes skills and habits, can also change with Alzheimer’s. While these might not be as immediately affected as episodic memory, changes can happen. For instance, someone might forget the names of familiar objects or struggle with tasks they once found easy, like riding a bike.
“As Alzheimer’s disease advances, the impact on various memory systems becomes more pronounced, leading to significant challenges in daily life.”
Understanding these changes is vital for effective care strategies. Recognizing how Alzheimer’s affects memory helps us better support those affected. This way, we can improve their quality of life.
Language Function Deterioration Patterns
Alzheimer’s disease can severely impact language functions as it progresses. This affects daily interactions. It changes how a person can communicate effectively.
Word-Finding Difficulties and Vocabulary Reduction
Word-finding difficulty is an early sign of Alzheimer’s. Patients may find it hard to find the right words. They might say “the thing you use to…” instead of “the pen.”
This is because the brain’s language processing areas are breaking down.
Vocabulary reduction is another sign. As the disease gets worse, people use fewer words. They stick to what they know. This can cause repetitive speech, where they repeat words or phrases over and over.
Comprehension, Expression, and Communication Challenges
Alzheimer’s also makes it hard to understand complex sentences or follow conversations. This can lead to misinterpretation and wrong responses.
Expression and communication challenges are big issues. Patients struggle to share their thoughts, needs, and feelings. This can cause frustration and make them feel isolated.
Caregivers and family members can help a lot. They can adjust how they talk to meet the patient’s needs.
Some ways to help include:
- Using simple, clear language
- Maintaining eye contact
- Encouraging the patient to communicate
- Being patient and understanding
Alzheimer’s Disease Involves Deterioration of Which of the Following Cognitive Functions
Alzheimer’s disease affects many important cognitive areas. It impacts executive function, problem-solving, and judgment. These skills are key for making daily decisions, planning, and adapting to new situations.
Executive Function: Planning, Organization, and Mental Flexibility
Executive function includes planning, organization, and being mentally flexible. Alzheimer’s disease makes it hard for people to handle daily tasks, follow instructions, or adjust to changes.
For example, people with Alzheimer’s might find it hard to:
- Manage finances and pay bills on time
- Organize their daily schedules and appointments
- Adjust to new environments or instructions
Abstract Reasoning and Problem-Solving Abilities
Abstract reasoning and problem-solving help people analyze situations, make decisions, and solve complex problems. Alzheimer’s disease weakens these skills, making it tough to understand abstract ideas, make good judgments, and face everyday challenges.
The effects on abstract reasoning and problem-solving are seen in daily life, such as:
|
Cognitive Task |
Impact of Alzheimer’s |
|---|---|
|
Managing complex tasks |
Difficulty in breaking down tasks into simpler steps |
|
Understanding abstract concepts |
Struggling to comprehend non-concrete ideas or metaphors |
|
Making informed decisions |
Impaired judgment leading to poor decision-making |
Judgment and Decision-Making Capacity
Judgment and decision-making are key skills that Alzheimer’s disease affects. As the disease gets worse, people may make poor choices, act impulsively, and struggle to see risks.
This decline can cause problems, such as:
- Financial exploitation due to poor judgment
- Difficulty in maintaining personal safety
- Strained relationships due to impulsive behaviors
In conclusion, Alzheimer’s disease harms many cognitive areas, including executive function, abstract reasoning, and judgment. Knowing these changes is vital for giving the right care and support to those with the disease.
Visuospatial Processing and Perceptual Changes
Alzheimer’s disease harms visuospatial skills. These skills help us understand space and recognize objects. Without them, daily tasks and navigating become hard.
Spatial Awareness and Navigation Difficulties
People with Alzheimer’s find it hard to understand space. They might get lost in places they know or don’t know. Spatial awareness helps us judge distances and move around easily.
As Alzheimer’s gets worse, these problems grow. People may need help to do simple things like park or arrange furniture.
Visual Recognition and Object Perception Challenges
Alzheimer’s also messes with visual recognition and how we see objects. It can be hard to recognize things, faces, or scenes. This can make daily life tough.
These problems can be as simple as not seeing objects clearly or trouble with faces. It makes life harder and affects how we interact with the world.
These changes are a big part of Alzheimer’s. They need a lot of support and care for those affected.
Attention Networks and Concentration Deficits
Alzheimer’s disease makes it harder to focus. It messes with our ability to pay attention. This is because it affects how we filter out distractions.
Selective and Divided Attention Impairments
Alzheimer’s makes it tough to focus on one thing. It also makes it hard to handle more than one thing at a time. For example, someone with Alzheimer’s might find it hard to talk in a loud place or do many things at once.
Studies show that people with Alzheimer’s have trouble ignoring distractions. This makes it hard to finish tasks that need a lot of focus. They also struggle with doing many things at once, which makes daily life harder.
Sustained Attention and Mental Tracking Problems
Alzheimer’s makes it hard to keep focused for a long time. It also messes with our ability to follow instructions or sequences. This is because it affects our mental stamina.
People with Alzheimer’s often have trouble staying focused on things like reading or following directions. This makes it hard for them to do things they used to enjoy. They also get confused and have trouble with daily routines because of these problems.
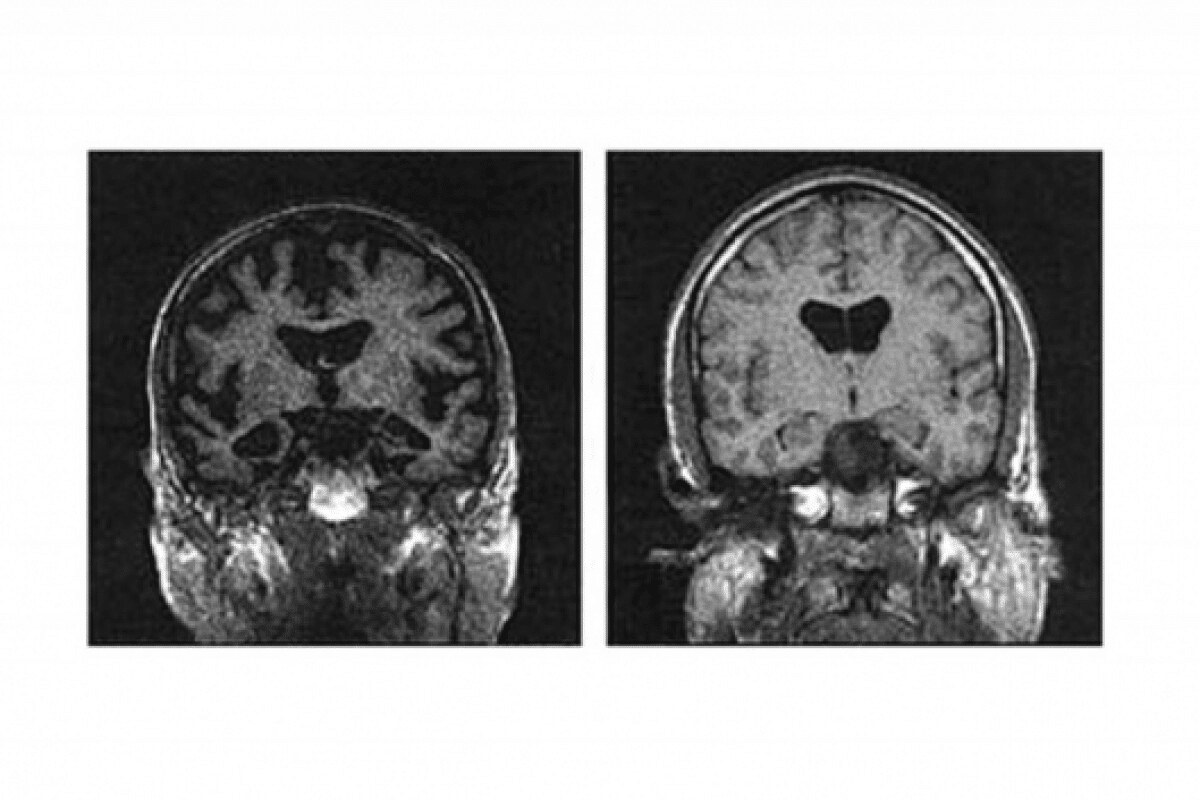
Neuroanatomical Progression of Alzheimer’s Disease
Alzheimer’s disease changes the brain in a specific way. It causes amyloid plaques and tau tangles. These changes lead to brain shrinkage and affect certain areas more.
Deterioration of Hippocampal and Entorhinal Cortex
The hippocampus and entorhinal cortex are hit early by Alzheimer’s. The hippocampus is key for memory. Its damage leads to episodic memory loss, an early sign of the disease.
The entorhinal cortex connects the hippocampus to the neocortex. Its damage messes up information flow. This worsens cognitive decline.
Temporal, Parietal, and Frontal Lobe Changes
Other brain areas like the temporal, parietal, and frontal lobes get affected too. The temporal lobe, important for hearing and memory, shrinks a lot.
The parietal lobe, key for sensing and spatial awareness, also degenerates. This causes problems with spatial skills.
The frontal lobe, which handles decision-making and movement, gets hit later. This leads to changes in behavior and motor skills.
Progressive Brain Atrophy and Regional Specificity
Alzheimer’s causes the brain to shrink over time. Some areas are more prone to damage than others. This is a key feature of the disease.
|
Region |
Function |
Effect of Atrophy |
|---|---|---|
|
Hippocampus |
Memory formation |
Episodic memory impairment |
|
Entorhinal Cortex |
Information relay |
Disrupted information flow |
|
Temporal Lobe |
Auditory processing, memory |
Memory and auditory processing deficits |
Knowing how Alzheimer’s affects the brain is key to finding treatments. By focusing on the most damaged areas, we can help those with Alzheimer’s more effectively.
Behavioral and Emotional Regulation Disruptions
Alzheimer’s disease often leads to changes in behavior and emotions. These changes affect both patients and their caregivers. As the disease gets worse, these effects can grow, making life harder for everyone involved.
Alzheimer’s disease mixes cognitive decline with behavioral changes. Personality alterations and mood disturbances are big challenges for patients and their families.
Personality Alterations and Mood Disturbances
People with Alzheimer’s may change a lot in their personality. They might become more shy or suspicious. These changes can upset both the patients and their loved ones.
- Mood swings are common, ranging from agitation to depression.
- Some individuals may become more apathetic or lose interest in activities they once enjoyed.
- Aggressive behavior can also occur in some cases, posing a challenge for caregivers.
It’s important to understand these changes to offer the right support. By knowing about personality and mood changes, caregivers can help improve the patient’s life.
Emotional Processing and Social Cognition Deficits
Alzheimer’s disease also affects emotional processing and social cognition. Patients may struggle to read emotional cues, causing problems in social interactions.
- Deficits in emotional processing can result in inappropriate emotional responses.
- Social cognition deficits may lead to difficulties in maintaining relationships.
- Patients may struggle to understand and respond appropriately to the emotions of others.
These changes show the need for caring and informed care. By understanding how Alzheimer’s affects emotions and social skills, caregivers can help in these areas.
Exploring Alzheimer’s effects shows that helping with behavioral and emotional changes is key. By facing these challenges and creating support plans, we can make a difference in the lives of those with Alzheimer’s.
Functional Impact: From Mild Cognitive Impairment to Severe Dementia
Alzheimer’s disease starts with mild cognitive impairment and can lead to severe dementia. The decline in abilities is slow but affects daily life a lot.
Early-Stage Functional Changes and Detection
In the early stages, people might notice small changes in their thinking and doing things. These changes are minimally disruptive at first, making it hard to spot the disease. But as it gets worse, these changes get more obvious, affecting daily tasks and routines.
Some early changes include:
- Difficulty in learning new information or recalling recent events
- Challenges in managing finances or performing complex tasks
- Mild difficulties with navigation or spatial awareness
Spotting these changes early is key. It lets us act fast and help improve their life quality.
Late-Stage Deterioration and Complete Dependence
In later stages, Alzheimer’s has a much bigger impact. People struggle a lot with daily tasks and need help with even simple things.
In the late stage, people may:
- Lose the ability to communicate effectively
- Require full-time care and assistance with daily living activities
- Experience a significant decline in physical abilities
At this point, we focus on giving them the best care and support. We work with caregivers and doctors to create a care plan that meets their complex needs.
In conclusion, knowing how Alzheimer’s affects people is key to helping them. By spotting early changes and preparing for later stages, we can really help those with this disease.
Conclusion: The Comprehensive Toll of Alzheimer’s on Brain Function
Alzheimer’s disease is a complex disorder that affects many brain functions. This includes memory, thinking, language, and spatial skills. We’ve looked at how Alzheimer’s impacts the brain, from the biological causes to the cognitive decline it brings.
The effects of Alzheimer’s on brain function are huge. As the disease gets worse, people see big changes in their thinking, emotions, and behavior. Eventually, they may need complete care.
It’s key to understand how Alzheimer’s affects the brain to find better treatments and support. By recognizing the full impact of this disease, we can help those affected. We can offer them the care and support they need.
FAQ
What is Alzheimer’s disease and how does it affect the brain?
Alzheimer’s disease is a condition that makes the brain shrink and kills brain cells. This leads to a decline in thinking, feeling, and behavior.
Alzheimer’s disease involves deterioration of which of the following?
It affects many brain functions. These include memory, thinking, language, and how we see things.
What are the biological mechanisms underlying the deterioration of brain functions in Alzheimer’s disease?
The disease causes the brain to form harmful plaques and tangles. It also leads to the loss of connections between brain cells.
How does Alzheimer’s disease affect memory systems?
It harms different types of memory. This includes memory of events, working memory, and remembering words and facts.
What are the patterns of language function deterioration in Alzheimer’s disease?
People with Alzheimer’s have trouble finding words and understanding language. They also struggle to express themselves.
How does Alzheimer’s disease impact cognitive functions such as executive function, abstract reasoning, and judgment?
It affects planning, solving problems, and making decisions. These skills decline as the disease progresses.
What are the visuospatial processing and perceptual changes associated with Alzheimer’s disease?
It causes problems with spatial awareness and recognizing visual information. This makes everyday tasks harder.
How does Alzheimer’s disease affect attention networks and concentration?
It disrupts the brain’s ability to focus. This leads to trouble with paying attention and staying focused.
What is the neuroanatomical progression of Alzheimer’s disease?
The disease starts by damaging areas of the brain involved in memory. It then spreads to other parts, causing the brain to shrink.
How does Alzheimer’s disease impact behavioral and emotional regulation?
It can change a person’s personality and mood. It also affects how they process emotions and interact with others.
What is the functional impact of Alzheimer’s disease on daily life?
It starts with small changes and can lead to needing full-time care. The impact grows as the disease worsens.
References
Government Health Resource. Alzheimer’s Disease: Deterioration of Critical Brain Functions. Retrieved from https://www.nature.com/articles/nrn3085