Cancer involves abnormal cells growing uncontrollably, invading nearby tissues, and spreading to other parts of the body through metastasis.
Send us all your questions or requests, and our expert team will assist you.
The overview and definition of lymphoma provides essential insight into a group of blood cancers that begin in the lymphatic system. This page is designed for international patients and their families who are seeking clear, reliable information about lymphoma before making treatment decisions. According to the World Health Organization, lymphoma accounts for roughly 10% of all cancers worldwide, highlighting the importance of early awareness. In the following sections, you will find a detailed explanation of the disease, its causes, how it presents, diagnostic pathways, treatment modalities, and supportive care options available at Liv Hospital.
Our aim is to present an overview and definition that demystifies complex medical terminology while maintaining clinical accuracy. Whether you are a newly diagnosed patient, a caregiver, or a health‑conscious individual, this resource will help you understand the condition and explore the comprehensive services offered by a JCI‑accredited institution.
By reviewing this overview and definition, you will gain a clearer picture of what to expect throughout the care journey, from initial consultation to long‑term follow‑up.
Lymphoma is broadly categorized into two major families: Hodgkin lymphoma (HL) and non‑Hodgkin lymphoma (NHL). Each family encompasses several subtypes that differ in cellular origin, behavior, and response to therapy.
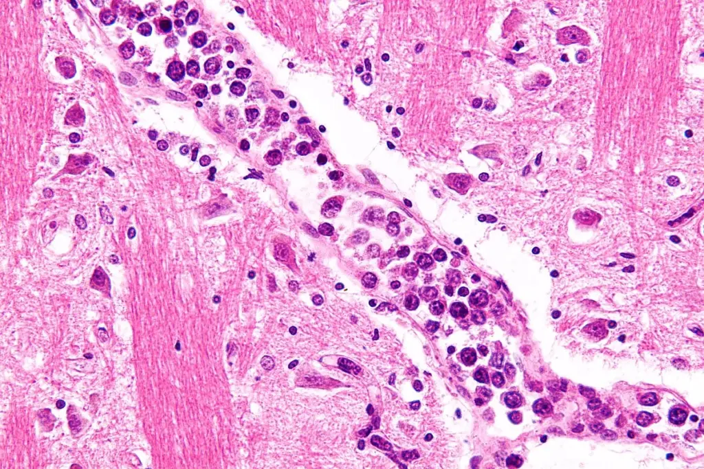
Hodgkin lymphoma is characterized by the presence of Reed‑Sternberg cells and typically follows a predictable pattern of spread. In contrast, non‑Hodgkin lymphoma includes a diverse group of over 60 subtypes, ranging from indolent (slow‑growing) to aggressive forms.
Understanding these classifications is crucial because treatment strategies and prognoses vary significantly between subtypes. At Liv Hospital, a multidisciplinary team conducts precise histopathological and molecular analyses to accurately identify the specific lymphoma type, ensuring personalized care.
While the exact cause of lymphoma remains uncertain, research has identified several factors that increase susceptibility. Recognizing these risk elements can aid in early detection and preventive counseling.
It is important to note that having one or more risk factors does not guarantee development of lymphoma, just as many patients are diagnosed without identifiable risk factors. Lifestyle modifications, such as smoking cessation and maintaining a healthy immune system, can mitigate some modifiable risks.
Lymphoma often presents with subtle, nonspecific symptoms that can be mistaken for common infections. Early recognition of warning signs facilitates prompt evaluation and improves outcomes.
Because these manifestations overlap with many benign conditions, a thorough clinical evaluation is essential. At Liv Hospital, international patients benefit from a streamlined appointment system that includes virtual pre‑consultations, enabling early triage based on symptom profiles.
Accurate diagnosis relies on a combination of imaging, laboratory, and tissue‑based studies. Staging determines the extent of disease spread and guides therapeutic planning.
|
Procedure |
Purpose |
Key Findings
|
|---|---|---|
|
Excisional Lymph Node Biopsy |
Obtain sufficient tissue for histology |
Identification of Reed‑Sternberg cells or specific lymphoma subtypes |
|
Positron Emission Tomography (PET) Scan |
Assess metabolic activity and disease distribution |
Standardized Uptake Value (SUV) helps gauge aggressiveness |
|
Computed Tomography (CT) Scan |
Visualize anatomical involvement |
Size and location of lymphadenopathy |
|
Bone Marrow Aspiration/Biopsy |
Detect marrow infiltration |
Presence of lymphoma cells in hematopoietic tissue |
|
Flow Cytometry & Molecular Testing |
Characterize cell surface markers and genetic abnormalities |
Immunophenotype and chromosomal translocations (e.g., t(14;18)) |
Staging follows the Ann Arbor system, ranging from Stage I (localized) to Stage IV (disseminated). The comprehensive diagnostic pathway at Liv Hospital integrates state‑of‑the‑art imaging with expert pathology review, ensuring each patient receives an accurate stage classification.
Therapeutic strategies for lymphoma are tailored to subtype, stage, patient age, and overall health. Conventional modalities remain the cornerstone of care, while innovative treatments are expanding the therapeutic arsenal.
Liv Hospital’s oncology department collaborates with international research networks, providing patients access to clinical trials investigating novel checkpoint inhibitors, bispecific antibodies, and personalized vaccine approaches. A multidisciplinary tumor board reviews each case to select the optimal combination of standard and experimental therapies.
Beyond medical treatment, comprehensive care addresses psychosocial, nutritional, and rehabilitative needs. Survivorship programs are essential for maintaining quality of life.
The comprehensive overview and definition presented here underscores that lymphoma is a manageable disease when approached with a coordinated, patient‑centered strategy. Liv Hospital’s 360‑degree international patient services ensure that every aspect of the journey—from diagnosis to survivorship—is supported with expertise and compassion.
Liv Hospital is a JCI‑accredited private medical center in Istanbul that specializes in delivering world‑class oncology care to patients from around the globe. Our multidisciplinary team combines advanced diagnostic technology, cutting‑edge treatment protocols, and personalized support services, including visa assistance, airport transfers, and multilingual interpreters. By choosing Liv Hospital, international patients gain access to a seamless, high‑quality experience that prioritizes both clinical excellence and comfort.
Ready to take the next step in your lymphoma care journey? Contact Liv Hospital today to schedule a personalized consultation and discover how our expert team can guide you toward recovery.
Send us all your questions or requests, and our expert team will assist you.
Hodgkin lymphoma is identified by Reed‑Sternberg cells and usually spreads in a predictable pattern. Non‑Hodgkin lymphoma comprises over 60 subtypes, ranging from indolent forms like follicular lymphoma to aggressive ones such as diffuse large B‑cell lymphoma (DLBCL) and Burkitt lymphoma. The specific subtype influences treatment choices and prognosis, so precise pathological and molecular testing is essential.
People with inherited immune‑system gene mutations, HIV/AIDS, or who receive immunosuppressive therapy after organ transplantation have higher lymphoma risk. Chronic infections like Epstein‑Barr virus, Helicobacter pylori, and hepatitis C are linked to specific subtypes. Long‑term exposure to benzene, pesticides, or solvents may also contribute. While these factors raise susceptibility, many patients develop lymphoma without any identifiable risk.
Lymphoma often presents with subtle, nonspecific symptoms that mimic infections. The classic “B symptoms” include fever, night sweats, and weight loss of more than 10% body weight. Additional signs are enlarged painless nodes in the neck, armpits, or groin, chronic fatigue, pruritus, and respiratory symptoms if mediastinal nodes are involved. Because these signs overlap with benign conditions, any combination persisting for weeks should trigger a thorough clinical work‑up.
Chemotherapy regimens like ABVD for Hodgkin lymphoma and R‑CHOP for DLBCL remain first‑line. Radiation is added for localized disease. Immunotherapy with monoclonal antibodies (e.g., rituximab) targets CD20‑positive B‑cell lymphomas. Targeted agents such as ibrutinib inhibit specific signaling pathways in certain subtypes. Autologous or allogeneic stem‑cell transplantation offers curative potential for refractory cases. CAR‑T cell therapy, which engineers T‑cells to attack CD19, shows high response rates in relapsed NHL. Clinical trials at Liv Hospital provide access to novel checkpoint inhibitors and bispecific antibodies.
Chimeric Antigen Receptor T‑cell (CAR‑T) therapy involves extracting a patient’s T‑cells, genetically engineering them to express a receptor that binds CD19, a protein on most B‑cell lymphomas, and reinfusing them. The engineered cells proliferate and destroy cancer cells. It is typically reserved for patients with relapsed or refractory diffuse large B‑cell lymphoma, transformed follicular lymphoma, or other CD19‑positive NHLs after standard therapies have failed. Side effects can include cytokine release syndrome and neurotoxicity, which are managed in specialized centers like Liv Hospital.
BlogSep 06, 2025Jawline (chin) filler is a cosmetic procedure used to give the jawline a more defined look. Jawline filler ...
BlogRheumatologyDec 29, 2025Discussing the factors that influence ra life expectancy and emphasizing the benefits of modern therapeutic...
BlogOrthopedicsFeb 19, 2026Nearly 1.5 million people worldwide get shoulder replacement surgery every year. A lot of them choose the U...
BlogNeurologyDec 02, 2025Nearly 80,000 people in the United States get a brain tumor each year. A big worry for them is if the tumor...
BlogCardiologyDec 29, 2025Is the heart catheterization procedure painful? No. Avoid bad fear. Local anesthesia makes it a best safe a...
BlogDermatologyDec 23, 2025Cryotherapy is a common way to treat warts. Millions of people in the United States get this treatment ever...
Get instant answers from our medical team. No forms, no waiting — just tap below to start chatting now.
Start Chat on WhatsApp or call us at +90 530 510 71 24