Utilizing advanced flow cytometry, molecular profiling, and high-resolution PET/CT imaging to accurately stage lymphoma for a precisely targeted therapeutic plan .

Cancer involves abnormal cells growing uncontrollably, invading nearby tissues, and spreading to other parts of the body through metastasis. 

We're Here to Help.
Get in Touch.

Send us all your questions or requests, and our expert team will assist you.

Doctors

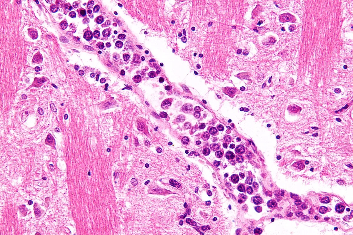
The Gold Standard: Excisional Biopsy

The Gold Standard: Excisional Biopsy
The definitive diagnosis of lymphoma relies entirely on tissue analysis. While imaging and blood tests provide crucial clues, they cannot confirm the disease. The gold standard procedure is an excisional lymph node biopsy. In this surgical procedure, an entire enlarged lymph node is removed for examination. This is superior to Fine Needle Aspiration (FNA) or core needle biopsy, which takes only small samples. The architecture of the lymph node is vital for diagnosis. Pathologists need to see not just the individual cells, but how they are arranged within the node. Are the cells growing in follicular clusters (suggesting Follicular Lymphoma) or in diffuse sheets (suggesting Diffuse Large B Cell Lymphoma)? Are the malignant cells disrupting the typical structure of the node? This architectural context is often lost in needle biopsies, potentially leading to misdiagnosis or an inability to subtype the lymphoma accurately. During the biopsy, the removed tissue is processed immediately. Fresh tissue may be sent for flow cytometry and genetic testing, while other sections are fixed and stained. If the lymph node is deep within the chest or abdomen, a surgical excisional biopsy might be too invasive. In these cases, a core needle biopsy guided by CT or ultrasound is used, obtaining multiple large cores to get as much tissue architecture as possible, though excision remains preferred whenever feasible. Excisional biopsy removes the entire node and is the diagnostic standard. Fine-needle aspiration is generally insufficient for diagnosing lymphoma. Nodal architecture distinguishes follicular from diffuse subtypes. Sufficient tissue volume is required for molecular and genetic testing. Core biopsies are an alternative only when excision is not safe. 
Icon LIV Hospital

Immunophenotyping: Flow Cytometry and IHC

Immunophenotyping: Flow Cytometry and IHC

Once tissue is obtained, the pathologist uses advanced techniques to identify the specific cell lineage. Since B cells and T cells look very similar under a standard microscope, molecular tagging is required. Immunohistochemistry (IHC) involves applying antibodies to the tissue slide that are tagged with a color. These antibodies bind to specific proteins (antigens) on the surface of the cells.

For example, CD20 is a protein found on the surface of most B cells. If the tumor cells stain positive for CD20, the diagnosis is narrowed to a B-cell lymphoma. CD3 is a marker for T cells. CD30 and CD15 are classic markers found on the Reed-Sternberg cells of Hodgkin Lymphoma. This “protein fingerprinting” is essential for correct classification.

Flow cytometry is a fluid-based version of this analysis. Fresh biopsy cells are suspended in a liquid and passed through a laser. The machine analyzes thousands of cells per second, detecting multiple markers simultaneously. This can determine whether the B cells are monoclonal (all clones of a single original cancer cell) by assessing light-chain restriction (kappa or lambda). If all cells express only kappa light chains, it strongly suggests malignancy, as a normal immune response would produce a mix of kappa and lambda light chains.

  • Immunohistochemistry stains tissue to visualize cell surface proteins.
  • CD20 is the definitive marker for the B-cell lineage.
  • CD30 and CD15 positivity identify Reed Sternberg cells.
  • Flow cytometry detects monoclonality by light-chain restriction.
  • Protein fingerprinting distinguishes lymphoma from benign reactive nodes.
Icon 1 LIV Hospital

Functional Imaging: PET/CT Scans

Functional Imaging: PET/CT Scans

Imaging plays a dual role in lymphoma: staging (determining where the disease is) and response assessment (determining if treatment is working). The standard modality is FDG PET/CT. This technology combines two images: a CT scan, which provides detailed anatomical pictures of bones and organs, and a PET scan, which maps metabolic activity.

Cancer cells, particularly aggressive lymphomas, have a high metabolic rate and consume large amounts of glucose. The patient is injected with a radioactive sugar molecule (FDG). The lymphoma cells eagerly absorb this sugar, causing them to “light up” brightly on the PET scan. This allows doctors to distinguish between active cancer and scar tissue, and to find small nodes that might look normal in size on a CT scan but are biologically hyperactive.

The Deauville Score is a 5-point scale used to interpret PET scans, comparing the brightness of lymph nodes to that of the liver and blood pool. A lower score indicates a metabolic complete response. PET scans are typically done at diagnosis, sometimes midway through treatment (interim PET) to gauge effectiveness, and at the end of treatment to confirm remission.

  • PET/CT combines metabolic and anatomical imaging.
  • FDG tracer identifies cells with high glucose consumption.
  • PET distinguishes active metabolic tumor from residual scar tissue.
  • Deauville Score standardizes the interpretation of PET results.
  • Interim PET scans can guide treatment adjustments (escalation or de-escalation).

The Ann Arbor Staging System

Staging describes the extent of the disease spread. Lymphoma uses the Ann Arbor Staging System, initially developed for Hodgkin Lymphoma but also applied to NHL. It divides the disease into four stages based on the location of involved lymph nodes relative to the diaphragm (the muscle separating the chest from the abdomen).

  • Stage I: Involvement of a single lymph node region (e.g., just the neck) or a single extralymphatic organ.
  • Stage II: Involvement of two or more lymph node regions on the same side of the diaphragm (e.g., neck and armpit).
  • Stage III: Involvement of lymph node regions on both sides of the diaphragm (e.g., neck and groin).
  • Stage IV: Disseminated involvement of one or more extralymphatic organs, such as the liver, bone marrow, or lungs, with or without associated lymph node involvement.

Stages are further modified by letters. “A” indicates the absence of systemic symptoms. “B” means the presence of B symptoms (fever, night sweats, weight loss). “E” indicates localized extranodal extension. “X” is sometimes used to denote a “bulky disease” (a large tumor mass) that may require radiation therapy. Unlike solid tumors, Stage IV lymphoma is often still curable.

  • Ann Arbor staging focuses on the diaphragm as a dividing line.
  • Stages I and II are considered limited or early-stage.
  • Stage III and IV represent advanced, widespread disease.
  • “B” designation signifies the presence of systemic symptoms.
  • An advanced stage of lymphoma does not preclude curative intent.

Risk Stratification: The IPI Score

While the stage tells us where the cancer is, it does not fully predict how the patient will do. To estimate prognosis and tailor treatment intensity, clinicians use risk stratification models. The most widely used for aggressive B-cell lymphoma is the International Prognostic Index (IPI).

The IPI scores patients based on five adverse risk factors:

  1. Age: 60+ years old.
  2. Stage: Having Stage III or IV disease.
  3. Extranodal Sites: Having more than one extranodal site involved.
  4. Performance Status: Having a reduced ability to perform daily activities (ECOG score).
  5. LDH: Having an elevated Lactate Dehydrogenase level in the blood (a marker of cell turnover and tumor burden).

Each factor gets one point. Patients are grouped into Low, Low Intermediate, High Intermediate, or High risk categories. This score helps oncologists decide if a standard treatment is sufficient or if a more aggressive protocol or clinical trial is warranted. Variations exist for other lymphomas, such as the FLIPI for Follicular Lymphoma and the IPS for Hodgkin Lymphoma.

  • IPI predicts survival outcomes and guides treatment intensity.
  • Risk factors include age, stage, extranodal sites, performance status, and LDH.
  • LDH is a blood-based biomarker of tumor volume/turnover.
  • Different scoring systems exist for specific lymphoma subtypes (FLIPI, IPS).
  • High risk scores may prompt consideration for novel therapies.

30 Years of
Excellence

Trusted Worldwide

With patients from across the globe, we bring over three decades of medical

Book a Free Certified Online
Doctor Consultation

Clinics/branches
Prof. MD. Fatih Teker Prof. MD. Fatih Teker Cancer
Group 346 LIV Hospital

Reviews from 9,651

4,9

Was this article helpful?

Was this article helpful?

Trusted Worldwide

30
Years of
Experience

30 Years Badge

With patients from across the globe, we bring over three decades of medical

Get a Free Quote

Response within 2 hours during business hours

Clinics/branches

By clicking "Send Request", you agree to our terms and to share your contact info with the clinic.

Was this article
helpful?

How helpful was it?

helpful
helpful
helpful

We're Here to Help.
Get in Touch.

Send us all your questions or requests, and our expert team will assist you.

Doctors

FREQUENTLY ASKED QUESTIONS

What is the difference between Stage III and Stage IV?

Stage III means cancer is in the lymph nodes, both above and below the diaphragm (like the neck and the groin). Stage IV means the cancer has spread outside the lymphatic system into major organs like the liver, lungs, or bone marrow. However, both are often treated with systemic chemotherapy.

Lymphoma cells often hide in the bone marrow, even if blood tests look normal. A bone marrow biopsy involves taking a small core of bone from the hip to look for these cells. If lymphoma is found in the marrow, it usually automatically classifies the disease as Stage IV, which can change the treatment plan.

Bulky disease refers to a single tumor mass that is very large, typically defined as being greater than 7 to 10 centimeters in diameter. Bulky tumors are more complex for chemotherapy to penetrate completely, so patients with bulky disease often receive radiation therapy to that specific area after chemotherapy is finished.

LDH (Lactate Dehydrogenase) is an enzyme found in almost all body cells. When cells are damaged or destroyed, they release LDH into the blood. In lymphoma, a high LDH level suggests a large tumor or a rapidly growing tumor, indicating a higher risk of disease.

Yes. PET scans detect high metabolic activity. While cancer is highly active, so is infection and inflammation. A healing wound, a recent surgical site, or an active infection (such as pneumonia) can also “light up” on a PET scan, potentially mimicking cancer. Doctors correlate PET findings with clinical history to avoid misinterpretation.

Spine Hospital of Louisiana

Let's Talk About Your Health

BUT WAIT, THERE'S MORE...

Leave your phone number and our medical team will call you back to discuss your healthcare needs and answer all your questions.

Let's Talk About Your Health

How helpful was it?

helpful
helpful
helpful
Your Comparison List (you must select at least 2 packages)