
Discover your chronic pulmonary obstructive disease life expectancy. Learn vital facts about prognosis based on disease severity. For those with Chronic Obstructive Pulmonary Disease (COPD), hyperinflated lungs can really hurt life expectancy and quality of life. This condition makes lungs expand too much because of trapped air. It’s a big part of managing COPD.
Recent studies show that focused treatments can increase survival time and boost daily life for COPD patients. At Liv Hospital, we use the latest academic methods and team up with experts from different fields to offer new treatments.
We focus on giving care that meets each patient’s specific needs. By looking into different lung hyperinflation treatment choices, we hope to raise life expectancy and improve overall health.
Key Takeaways
- Hyperinflated lungs significantly impact COPD patients’ quality of life and life expectancy.
- Targeted treatment can extend survival time and improve daily functioning.
- Liv Hospital offers patient-centered care combining academic protocols with multidisciplinary expertise.
- Innovative treatment options are available to improve life expectancy and well-being.
- Comprehensive care addresses the unique needs of each patient.
What Are Hyperinflated Lungs?

Pulmonary hyperinflation happens when the lungs take in too much air. This causes breathing problems. It’s often seen in people with chronic obstructive pulmonary disease (COPD) and asthma.
The Mechanism of Pulmonary Hyperinflation
Hyperinflation comes from air getting stuck in the lungs. This is because the lungs can’t deflate well. The air stays, making the lungs too big.
Key factors contributing to pulmonary hyperinflation include:
- Destruction of lung tissue
- Airway obstruction
- Loss of lung elasticity
Static vs. Dynamic Hyperinflation
Hyperinflation can be static or dynamic. Static hyperinflation happens when you’re not moving. It’s linked to severe airway blockage. Dynamic hyperinflation happens when you’re active. It’s caused by faster breathing and less time to breathe out.
|
Characteristics |
Static Hyperinflation |
Dynamic Hyperinflation |
|---|---|---|
|
Occurrence |
At rest |
During exertion/exercise |
|
Cause |
Severe airway obstruction |
Increased breathing rate, reduced expiratory time |
|
Impact |
Persistent breathing difficulties |
Exercise-induced respiratory distress |
Knowing about pulmonary hyperinflation is key to treating it. Doctors can help more by figuring out if it’s static or dynamic. This way, they can make plans to help your lungs work better.
Common Causes of Lung Hyperinflation

Hyperinflated lungs often come from chronic obstructive pulmonary disease (COPD). This includes emphysema and chronic bronchitis. COPD makes it hard to breathe because of damage to airways and lung tissue.
COPD as the Primary Cause
COPD is a big problem worldwide, causing a lot of illness and death. Emphysema, a part of COPD, makes it hard to breathe out fully. This is because lung tissue gets damaged, losing its ability to spring back.
“COPD is a complex condition that requires a complete treatment plan to manage symptoms and slow the disease.” To manage COPD, doctors use medicines, lifestyle changes, and exercise programs for the lungs.
Asthma and Lung Hyperinflation
Asthma also causes lung hyperinflation. In asthma, inflammation and tight airways limit airflow, leading to trapped air and hyperinflation. Even though asthma’s airflow blockage is usually reversible, severe cases can cause lasting hyperinflation.
- Asthma symptoms can vary widely among individuals.
- Chronic asthma can lead to persistent airway inflammation.
- Airway remodeling in asthma can result in irreversible airflow limitation.
Other Contributing Conditions
Other conditions can also cause lung hyperinflation. These include cystic fibrosis, a genetic disease that severely damages lungs, and bronchiolitis obliterans, a condition that blocks small airways with inflammation.
Knowing the causes is key to finding the right treatments. Experts say,
“The management of lung hyperinflation needs a plan that fits the cause and how severe it is.”
Recognizing Symptoms of Hyperinflated Lungs
Hyperinflated lungs can make breathing hard and cause a lot of discomfort. When air gets trapped in the lungs, it’s hard to breathe. This leads to symptoms that can really affect your life.
Shortness of Breath and Dyspnea
Shortness of breath, or dyspnea, is a big problem with hyperinflated lungs. It feels like you can’t get enough air. A study in a top pulmonary journal says it really hurts patients’ quality of life.
Dyspnea can happen even when you’re sitting or lying down. But it’s worse when you try to move around. Knowing why you have dyspnea is key to feeling better.
Reduced Exercise Capacity
Hyperinflated lungs make it hard to do physical activities. The lungs can’t exchange gases well, so you get tired easily. This makes everyday tasks harder.
People with this issue might need to change how they live and what they do. Gentle exercise, with a doctor’s okay, can help your lungs and fitness.
Chest Tightness and Discomfort
Chest tightness or discomfort is another symptom. It feels like your chest is being squeezed. This is because of the trapped air in your chest.
If you feel your chest is tight, see a doctor. They can check if it’s not something serious like heart problems. The right treatment can help with this symptom.
Spotting these symptoms early is important. It helps you get the right care for your lungs. Knowing what to look for can help you feel better and live better.
Diagnostic Procedures for Lung Hyperinflation
Healthcare professionals use several tests to understand lung hyperinflation. These tests help figure out how much damage there is. They also help decide the best treatment.
Pulmonary Function Testing
Pulmonary function testing (PFT) is key in diagnosing lung hyperinflation. PFTs measure how well the lungs take in and release air and how well they move oxygen into the blood. Important parts of PFT include:
- Forced Expiratory Volume (FEV1): Measures the volume of air exhaled in one second.
- Forced Vital Capacity (FVC): Assesses the total volume of air that can be forcibly exhaled.
- FEV1/FVC Ratio: Helps diagnose obstructive lung diseases.
These tests give important information about lung function. They can show if there’s hyperinflation.
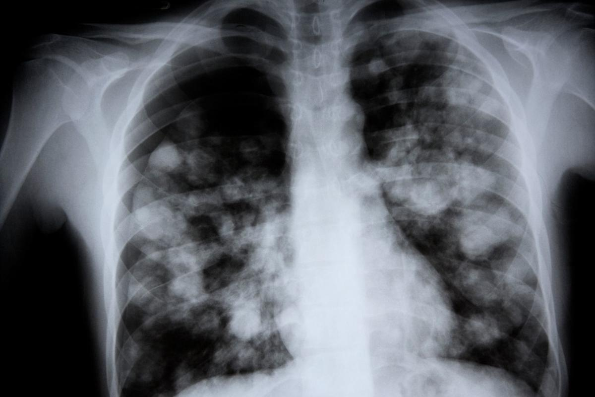
Chest X-rays and CT Scans
Imaging tests like chest X-rays and CT scans are important for seeing the lungs. Chest X-rays can show hyperinflated lungs by showing flattened diaphragms and increased lung volumes. CT scans give more detailed pictures. They help see how much damage there is and rule out other problems.
Measuring Residual Volume and Total Lung Capacity
Measuring residual volume (RV) and total lung capacity (TLC) is key for diagnosing lung hyperinflation. RV measures the amount of air left in the lungs after a maximal exhalation, while TLC measures the total air the lungs can hold. High RV and TLC mean lung hyperinflation.
These tests together give a full picture of lung hyperinflation. They help doctors plan the best treatment.
Understanding Hyperinflated Lungs Life Expectancy
Hyperinflated lungs can greatly affect how long someone lives. It’s important to know what factors can change survival rates. We will look at the data on survival, what affects how long someone lives, and how severe hyperinflation is linked to death.
Statistical Data on Survival Rates
Research shows that people with severe COPD and hyperinflation can live about 7.4 years after treatment. This shows that treating hyperinflation can make a big difference in life expectancy.
A study in the New England Journal of Medicine found that surgery can help some patients with severe emphysema live longer. It’s important to choose the right patients for surgery to see the best results.
|
Treatment Type |
Median Survival Time |
Survival Rate at 5 Years |
|---|---|---|
|
Lung Volume Reduction Surgery |
7.4 years |
60% |
|
Medical Management |
5.2 years |
40% |
Prognostic Factors That Influence Longevity
Several things can affect how long someone lives with hyperinflated lungs. These include how severe the hyperinflation is, lung function, other health issues, and how well they respond to treatment.
Key Prognostic Factors:
- Severity of hyperinflation
- Presence of comorbid conditions
- Response to initial treatment
- Patient’s overall health and lifestyle
A clinical expert said, “Having other health problems like heart disease can really affect how long someone lives with hyperinflated lungs.”
“The presence of comorbidities such as heart disease can significantly impact the life expectancy of patients with hyperinflated lungs.”
The Relationship Between Hyperinflation Severity and Mortality
The more severe the hyperinflation, the higher the risk of death. Studies have shown that more severe hyperinflation means a higher chance of dying.
It’s key to understand this link to create better treatment plans. By managing hyperinflation and other health issues, doctors can help patients live longer and better lives.
Pharmacological Treatments for Lung Hyperinflation
Treating hyperinflated lungs involves several strategies to ease symptoms and slow disease growth. These treatments are key in managing lung hyperinflation, mainly in Chronic Obstructive Pulmonary Disease (COPD).
Long-Acting Bronchodilators
Long-acting bronchodilators are essential in treating lung hyperinflation. They relax airway muscles, making breathing easier. There are two main types: beta-2 agonists (like salmeterol and formoterol) and anticholinergics (like tiotropium).
These medications improve lung function, reduce symptoms, and enhance quality of life.
Combination Therapies
For many, combining different medications is more effective than one alone. Pairing a long-acting beta-2 agonist with an inhaled corticosteroid or mixing different bronchodilators offers additive benefits. This approach helps control symptoms and improve lung function.
Corticosteroids and Anti-inflammatory Medications
Corticosteroids are strong anti-inflammatory drugs used to reduce airway inflammation. Inhaled corticosteroids (ICS) are common in treating COPD and asthma. They’re not for everyone with lung hyperinflation but can help those with a lot of inflammation.
Using corticosteroids should be thoughtfully considered and monitored for side effects.
Understanding the various treatments helps healthcare providers create personalized plans. This approach improves outcomes and quality of life for those with hyperinflated lungs.
Oxygen Therapy and Ventilation Support
Oxygen therapy and ventilation support are key in treating hyperinflated lungs. They help improve oxygen levels, reduce symptoms, and boost health.
Benefits of Long-Term Oxygen Therapy
Long-term oxygen therapy is vital for managing hyperinflated lungs, mainly in COPD patients. It has been shown to increase survival rates and improve life quality.
The main advantages of long-term oxygen therapy are:
- Higher oxygen levels in the blood
- Less shortness of breath
- Better exercise ability
- Improved overall well-being
Non-Invasive Ventilation Options
Non-invasive ventilation (NIV) options like BiPAP and CPAP are great for hyperinflated lungs. They make breathing easier and improve lung function.
|
Device |
Description |
Benefits |
|---|---|---|
|
BiPAP |
Provides two different pressure levels for inhalation and exhalation |
Reduces work of breathing, improves lung function |
|
CPAP |
Delivers a continuous flow of pressurized air |
Helps keep airways open, reduces apnea episodes |
Portable Oxygen Solutions for Active Lifestyles
Portable oxygen solutions have changed the lives of those with hyperinflated lungs. These devices let patients stay independent and active, without being tied to a fixed oxygen source.
Key Features of Portable Oxygen Solutions:
- Lightweight and compact design
- Long battery life
- Easy to use and maintain
By adding oxygen therapy and ventilation support to their care, patients with hyperinflated lungs see big improvements in their life quality and health.
Surgical and Bronchoscopic Interventions
In cases where usual treatments for hyperinflated lungs don’t work, surgery and bronchoscopy might help. These advanced treatments are for those with severe symptoms or who haven’t gotten better with other treatments.
Lung Volume Reduction Surgery (LVRS)
Lung Volume Reduction Surgery (LVRS) removes damaged lung parts to improve function. It makes breathing easier and can greatly improve life quality. This surgery is mainly for patients with severe emphysema, a condition linked to hyperinflated lungs.
A study in a top medical journal found LVRS improves lung function and life quality for some patients with severe emphysema.
“The surgery can significantly reduce the symptoms of hyperinflation, allowing patients to engage in daily activities with greater ease.”
Endobronchial Valve Placement
Endobronchial Valve Placement is a less invasive procedure. It puts one-way valves in airways to block off damaged lung parts. This lets healthier lung parts work better, improving lung function. This procedure is less invasive than LVRS and might be better for those not suited for surgery.
Benefits include less lung volume, better lung function, and more exercise ability. But, like any procedure, there are risks and complications to think about.
Lung Transplantation Considerations
Lung transplantation is a big surgery that replaces a sick lung with a healthy one. It’s a risky operation but can save lives for those with severe lung disease, including hyperinflated lungs.
To get a lung transplant, patients must meet certain criteria. This includes how sick their lungs are, their overall health, and if they can handle the surgery and the needed medicines. A detailed check is needed to see if lung transplantation is right.
Looking at these surgical and bronchoscopic options, each has its own good and bad sides. Knowing about these can help patients and doctors decide the best treatment for hyperinflated lungs.
Pulmonary Rehabilitation Programs
Managing hyperinflated lungs needs a team effort. Pulmonary rehabilitation programs are key. They help improve lung function and quality of life for those with respiratory issues.
Pulmonary rehab is more than just exercise. It’s a holistic approach that includes physical training, education, and lifestyle changes. It helps patients manage symptoms and feel better overall.
Exercise Training Components
Exercise is a big part of pulmonary rehab. It includes:
- Aerobic exercises like walking or cycling to boost heart health
- Resistance training to strengthen breathing and daily activity muscles
- Flexibility exercises to keep or improve range of motion
These exercises are customized for each person. They ensure safe and effective physical improvement.
Respiratory Muscle Training
Respiratory muscle training is a key part of pulmonary rehab. It focuses on strengthening the diaphragm and other breathing muscles. This can be done through:
- Inspiratory muscle training devices that offer resistance during breathing in
- Specific breathing exercises that work the diaphragm
Strengthening these muscles helps improve lung function and breathing efficiency.
Education and Self-Management Skills
Education is a big part of pulmonary rehab. It teaches patients how to manage their condition. This includes:
- Understanding their condition and treatment options
- Learning proper breathing techniques and how to use inhalers
- Developing strategies for managing symptoms and worsening
By teaching these skills, pulmonary rehab programs help patients take charge of their health. This improves their quality of life and lowers the risk of complications.
Pulmonary rehabilitation programs offer a supportive environment for those with hyperinflated lungs. They combine exercise, respiratory muscle training, and education. This holistic approach helps manage respiratory conditions effectively.
Effective Breathing Techniques and Exercises
For those with hyperinflated lungs, learning breathing exercises can greatly improve life quality. These techniques can slow breathing, lessen shortness of breath, and enhance lung function.
Pursed-Lip Breathing Method
The pursed-lip breathing method involves exhaling slowly through pursed lips, like blowing on hot food. This makes breathing easier and more efficient by keeping airways open longer.
- Start by inhaling slowly through your nose.
- Pucker your lips as if you’re going to whistle.
- Exhale slowly through pursed lips, taking twice as long as you did to inhale.
This technique is very helpful during shortness of breath episodes.
Diaphragmatic Breathing Practice
Diaphragmatic breathing, or belly breathing, uses your diaphragm, the muscle between your chest and belly. It’s more efficient than shallow chest breathing.
- Lie on your back with your knees bent and head supported.
- Place one hand on your upper chest and the other on your belly.
- Inhale slowly through your nose, letting your belly rise as your diaphragm descends.
- Exhale through pursed lips, letting your belly fall as your diaphragm rises.
Regular diaphragmatic breathing practice strengthens your diaphragm and boosts lung capacity.
Postural Positioning to Reduce Hyperinflation
Certain postures can help alleviate hyperinflated lung symptoms by improving breathing efficiency.
Try these positions:
- Tripod Position: Sit with your elbows on your knees, leaning forward slightly. This improves lung expansion.
- Leaning Forward: Stand and lean forward, resting your hands on a surface like a table or chair back. This reduces shortness of breath.
By adding these breathing techniques and postures to your daily routine, you can better manage hyperinflated lung symptoms. This improves your respiratory health overall.
Lifestyle Modifications to Improve Lung Function
Lifestyle changes are key to better lung health for those with hyperinflated lungs. Adopting healthy habits and avoiding harmful environments can greatly improve respiratory health. This leads to a better quality of life.
Smoking Cessation Strategies
Stopping smoking is a major step towards better lung function. Smoking harms lungs and causes hyperinflation. Quitting is essential. To help stop smoking, consider:
- Nicotine replacement therapy (NRT) to manage withdrawal symptoms
- Prescription medications like bupropion or varenicline to reduce cravings
- Counseling and support groups to provide encouragement and guidance
A study highlights the importance of quitting smoking. It says, “Smoking cessation is the most important step patients can take to slow the progression of lung disease” (
Quitting smoking can greatly improve lung function and health.
Nutritional Approaches for Respiratory Health
Eating a balanced diet is vital for healthy lungs. Focus on:
- Antioxidant-rich foods like fruits and vegetables to reduce inflammation
- Omega-3 fatty acids found in fish and nuts to support lung health
- Adequate hydration to keep mucus thin and manageable
Nutritional therapy can enhance lung function and health. A healthy diet, along with other lifestyle changes, can significantly help manage hyperinflated lungs.
Environmental Triggers to Avoid
Staying away from environmental triggers is also important. Common ones include:
- Air pollution from traffic and industrial sources
- Allergens like dust mites, pet dander, and pollen
- Irritants such as strong odors and chemicals
Using air purifiers, wearing masks outdoors, and keeping a clean home can reduce exposure. As noted, “Reducing exposure to environmental pollutants is a key strategy in managing respiratory diseases” (
By making these lifestyle changes, people with hyperinflated lungs can improve lung function. They can also enhance their overall health and live more active lives.
Conclusion: Living Well Despite Hyperinflated Lungs
Living with hyperinflated lungs can be tough, but it’s not impossible. With the right care and treatment, you can live better and longer. It’s key to manage COPD and other health issues to lessen lung swelling.
Using a full treatment plan helps a lot. This includes medicines, oxygen, and changes in lifestyle. Pulmonary rehab and breathing exercises also boost lung health and ease symptoms.
It’s possible to improve your life quality with medical help and taking care of yourself. We suggest working with your doctor to make a care plan that fits you. This way, you can manage hyperinflated lungs and live well.
FAQ
What does hyperinflated lungs mean?
Hyperinflated lungs mean the lungs are too full of air. This makes it hard to breathe. It happens when air gets stuck in the lungs, staying there even after you exhale.
What are the symptoms of hyperinflated lungs?
Symptoms include shortness of breath and feeling tight in the chest. You might also have trouble exercising and coughing. Wheezing and hard breathing are common too.
How is lung hyperinflation diagnosed?
Doctors use tests like pulmonary function testing and chest X-rays to find lung hyperinflation. They check lung function and capacity to see how bad it is.
What is the treatment for hyperinflated lungs?
Treatment includes medicines like bronchodilators and oxygen therapy. Ventilation support is also used. Pulmonary rehab, breathing exercises, and lifestyle changes help manage the condition.
Can hyperinflated lungs be cured?
There’s no cure, but treatment can make symptoms better. A good treatment plan can slow the disease and improve life quality.
How does hyperinflation affect life expectancy?
Severe hyperinflation can shorten life expectancy. But, with the right treatment, patients can live better and longer.
What is the difference between static and dynamic hyperinflation?
Static hyperinflation is when lungs are always too full. Dynamic hyperinflation happens during exercise. Both make breathing hard.
How can I manage hyperinflated lungs?
Managing it needs a mix of medicines, oxygen, rehab, and lifestyle changes. Working with doctors and following a treatment plan can help symptoms.
What is lung hyperexpansion?
Lung hyperexpansion is another name for hyperinflated lungs. It means lungs are too full, causing breathing problems.
What is mild hyperinflation of the lungs?
Mild hyperinflation means lungs are only a bit too full. It causes symptoms, but they’re not as bad as in severe cases.
How does smoking cessation help with hyperinflated lungs?
Quitting smoking is key in managing hyperinflated lungs. Smoking makes it worse. Stopping can slow disease and improve lung health.
What is the role of pulmonary rehabilitation in managing hyperinflated lungs?
Pulmonary rehab is important. It offers exercise, education, and skills for managing the condition. It helps improve symptoms and overall health.