
Explaining whether does a chest ct scan show inflammation in the lungs, pleura, and other thoracic structures accurately.
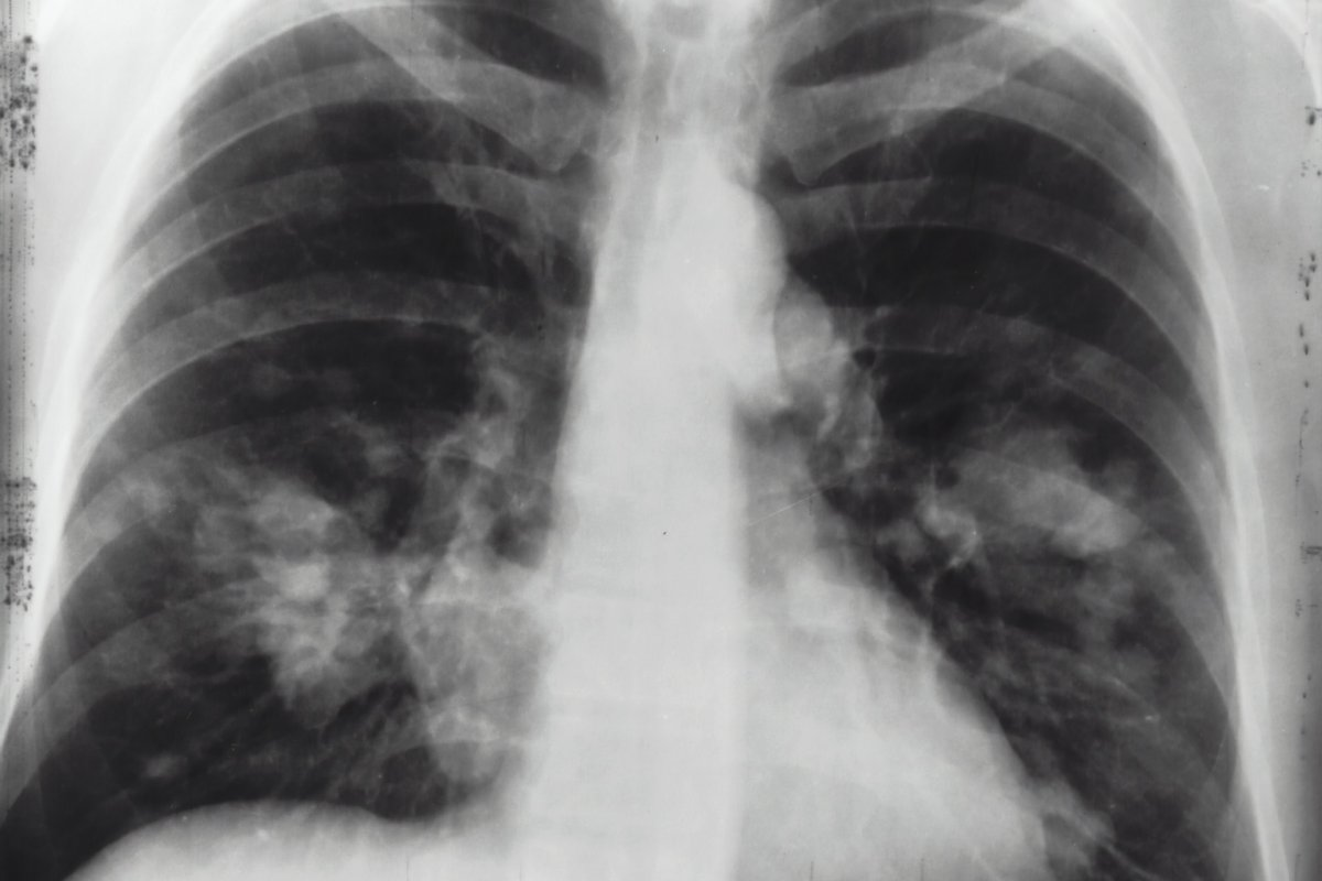
Discovering inflammation early is key to effective treatment and preventing serious health issues. A chest CT scan is a top-notch imaging tool. It gives detailed cross-sectional images. This helps radiologists spot signs of inflammation in the chest, including the lungs and airways.
Radiologists search for specific signs like ground-glass opacities, consolidation patterns, bronchial wall thickening, and pleural effusion. These signs help them accurately diagnose inflammatory conditions. Knowing these signs helps patients understand their diagnosis and treatment options better.
At Liv Hospital, we use the latest imaging protocols and focus on patient care. We aim to deliver top-notch diagnostic services, focusing on preventive healthcare.
Key Takeaways
- Chest CT scans can detect signs of inflammation in the chest, including the lungs and airways.
- Radiologists identify inflammation by looking for specific radiological signs on detailed cross-sectional images.
- Understanding these signs helps patients comprehend their diagnosis and treatment options.
- Liv Hospital uses advanced imaging protocols for accurate diagnosis.
- A patient-centered approach prioritizes preventive healthcare.
Understanding Chest CT Scans

Learning about CT scans is key to understanding their role in checking chest health. They use CT technology to show detailed pictures of the chest’s inside. This helps doctors spot different health issues accurately.
How CT Technology Works
CT scans mix X-rays and computer tech to show body parts inside. First, the patient lies on a table that moves into a CT scanner. As they move, X-rays are sent out in a fan shape to check the body’s density.
A computer then turns this data into detailed images or slices. These can be seen in different views.
The process involves several key steps:
- Patient positioning on the CT table
- X-ray emission and data collection
- Computer reconstruction of images
- Image analysis by radiologists
Medical Expert, a radiologist, says, “CT scans have changed how we diagnose and treat chest issues. They give us detailed and accurate images.”
“The advent of CT technology has significantly improved our diagnostic capabilities, allowing for more precise and timely interventions.” Medical Expert, Radiologist
Advantages of CT Imaging for Chest Evaluation
CT imaging has many benefits for checking the chest. It shows high-resolution images that catch small problems not seen on regular X-rays. Also, CT scans can tell different tissues apart, helping with complex diagnoses.
|
Advantages |
Description |
|---|---|
|
High-resolution imaging |
Detailed visualization of chest structures |
|
Tissue differentiation |
Ability to distinguish between various tissue types |
|
Rapid scanning |
Quick data acquisition, reducing motion artifacts |
As shown in the table above, CT imaging has many benefits for chest checks. This makes it a top choice for doctors.
Does a Chest CT Scan Show Inflammation?

A chest CT scan can spot inflammation by showing changes in tissue density and contrast. It’s key for finding different inflammatory issues in the chest.
Radiological Signs of Inflammation
Radiologists look for certain signs on CT scans to spot inflammation. They check for contrast enhancement, which means more blood flow. They also look for tissue thickening and fluid accumulation, signs of inflammation.
CT scans can spot these changes well, helping to catch and track inflammatory conditions early. This is very useful for diagnosing issues that other scans might miss.
Sensitivity and Specificity for Inflammatory Conditions
The sensitivity and specificity of chest CT scans are very important. Sensitivity means the scan can find those with inflammation. Specificity means it can also find those without it.
Research shows CT scans are very good at finding some inflammatory conditions, like pneumonia. But how well they do can change based on the condition and how it’s diagnosed. So, doctors often use CT scans with other tests to make sure of a diagnosis.
Key Inflammatory Markers on Chest CT Scans
Chest CT scans help find important signs of inflammation. These signs are key to figuring out how severe and what type of inflammation is in the chest.
Ground-Glass Opacities
Ground-glass opacities are often seen on chest CT scans. They show inflammation in the lung’s tissue. These spots are seen in pneumonitis or when an infection is just starting.
Consolidation Patterns
CT scans show consolidation patterns when inflammation is more serious. This means the lung’s airspaces are filled with cells or fluid. It’s seen in pneumonia or acute respiratory distress syndrome (ARDS).
Bronchial Wall Thickening
Bronchial wall thickening is a sign of inflammation. It’s linked to bronchitis or bronchiectasis. This thickening can cause coughing and trouble breathing.
Pleural Effusion
Pleural effusion is when fluid builds up in the pleural space. It’s a big sign of inflammation seen on chest CT scans. It can be caused by infections, cancers, or autoimmune diseases.
|
Inflammatory Marker |
Description |
Common Associations |
|---|---|---|
|
Ground-Glass Opacities |
Partial filling of lung airspaces |
Pneumonitis, early infection |
|
Consolidation Patterns |
Complete filling of lung airspaces |
Pneumonia, ARDS |
|
Bronchial Wall Thickening |
Inflammation of bronchial walls |
Bronchitis, bronchiectasis |
|
Pleural Effusion |
Fluid accumulation in pleural space |
Infections, malignancies, autoimmune diseases |
Knowing these signs on chest CT scans is vital for correct diagnosis and treatment. By spotting these signs, doctors can give the right treatment for the inflammation.
Respiratory Infections Visible on Chest CT
Chest CT scans have changed how we find respiratory infections. They help doctors spot pneumonia, bronchitis, and COVID-19. These infections can really hurt your health and quality of life if not treated right.
Pneumonia Detection
Pneumonia is a serious infection that can come from bacteria, viruses, or fungi. Chest CT scans are great at finding pneumonia. They show signs like consolidation and ground-glass opacities. A study in the Journal of Thoracic Imaging says CT scans are key for diagnosing pneumonia, even when it’s complicated.
Key findings on CT scans for pneumonia include:
- Consolidation patterns indicating alveolar filling with inflammatory cells
- Ground-glass opacities suggesting partial filling of air spaces
- Air bronchograms, which are air-filled bronchi made visible by the opacification of surrounding alveoli
Bronchitis Visualization
Bronchitis is inflammation of the bronchial tubes. Chest CT scans can spot this. They help doctors see how bad it is and if there are other problems. Radiologists say CT scans show how thick the bronchial walls are and other signs of bronchitis.
CT findings in bronchitis may include:
- Bronchial wall thickening
- Peribronchial inflammation
- Mucoid impaction within the bronchi
COVID-19 Specific Findings
COVID-19 is caused by the SARS-CoV-2 virus. Chest CT scans are key in diagnosing and tracking it. Studies say COVID-19 pneumonia shows up as bilateral, peripheral ground-glass opacities, mostly in the lower lobes.
“The role of CT in COVID-19 is not only to diagnose but also to assess the severity and monitor the progression of the disease.”
Knowing what Chest CT scans show for respiratory infections helps doctors give better care. They can make accurate diagnoses and plan treatments that work.
Chronic Inflammatory Lung Conditions on CT
Chronic inflammatory lung conditions are tough to diagnose. But Chest CT scans have changed how we tackle these diseases. They help us spot and keep track of these conditions, which affect millions globally. If not treated, they can cause serious health issues and even death.
Interstitial Lung Disease
Interstitial Lung Disease (ILD) includes many lung disorders. They cause inflammation and scarring in the lung’s interstitium. Chest CT scans are key in diagnosing ILD. They show lung patterns like:
- Ground-glass opacities
- Reticular patterns
- Honeycombing
These signs help doctors figure out the type of ILD and how to treat it.
COPD and Emphysema
COPD and emphysema are chronic lung conditions that make it hard to breathe. Chest CT scans help see how much emphysema there is and other changes in the airways. Important findings include:
- Airway wall thickening
- Emphysematous changes
- Bronchiectasis
These details help doctors understand how severe COPD is and what treatment is best.
Pulmonary Fibrosis
Pulmonary fibrosis makes lung tissue scar, leading to lung function loss. Chest CT scans are essential for diagnosing this. They show how much fibrosis there is. Common CT signs are:
- Reticular opacities
- Honeycombing
- Traction bronchiectasis
CT scans help doctors predict how the disease will progress and decide on treatment.
In summary, Chest CT scans are vital for diagnosing and managing chronic lung conditions. They give detailed images of the lungs. This helps doctors make better decisions for patient care.
Does a Chest CT Scan Show the Esophagus?
A chest CT scan is mainly for lung checks. But, it also shows other important parts like the esophagus. This scan gives a full view of the chest. Doctors can see the lungs and other tissues and organs too.
Esophageal Visualization as a Tubular Structure
The esophagus looks like a tube in the chest on a CT scan. It’s easy to see, thanks to air or contrast material inside. This helps doctors spot its path and any problems.
Detecting Esophageal Abnormalities
CT scans can find many esophageal issues. These include thick walls, growths, or swelling. These signs might mean esophagitis, cancer, or other problems. Chest CT scans are key for diagnosing and treating these issues.
|
Esophageal Abnormality |
CT Scan Findings |
Potential Diagnosis |
|---|---|---|
|
Wall Thickening |
Increased thickness of esophageal wall |
Esophagitis, Esophageal Cancer |
|
Mass or Lesion |
Presence of a distinct mass |
Esophageal Cancer, Benign Tumors |
|
Dilatation |
Enlargement of the esophageal lumen |
Achlasia, Stricture |
Chest CT scans are vital for diagnosing and treating esophageal issues. They give doctors the info they need to care for patients.
CT Scan for Breathing Problems
Breathing issues can worry many people. A CT scan is a helpful tool in finding the cause. It’s key to know the cause to treat it right.
Identifying Causes of Dyspnea
Dyspnea, or shortness of breath, can come from many sources. A CT scan shows us what’s inside and finds problems like inflammation or blockages.
Some common reasons for dyspnea include:
- Chronic obstructive pulmonary disease (COPD)
- Pulmonary embolism
- Pneumonia
- Interstitial lung disease
- Airway obstruction due to tumors or foreign bodies
Airway Obstruction Evaluation
Airway blockage is a serious issue that makes breathing hard. CT scans let us see the airways closely. We can spot narrowings or blockages. This info helps us plan treatments like bronchoscopy or stent placement.
Differentiating Between Cardiac and Pulmonary Causes
Breathing troubles can come from the heart or lungs. A CT scan shows us the heart, lungs, and nearby areas. It helps us tell if it’s a lung problem or a heart issue.
|
Cause |
CT Scan Findings |
|---|---|
|
Pulmonary Embolism |
Filling defects in pulmonary arteries |
|
COPD |
Air trapping, bronchial wall thickening |
|
Pneumonia |
Consolidation, ground-glass opacities |
|
Cardiac Causes |
Cardiac enlargement, pericardial effusion |
Using a CT scan for breathing issues helps us understand the cause better. This way, we can make a good treatment plan. It makes sure patients get the right care for their problem.
Cardiac and Vascular Inflammation on Chest CT
Chest CT scans are key for spotting heart and blood vessel inflammation. This includes pericarditis and aorta inflammation. These scans give clear images of the heart and big blood vessels. They help doctors diagnose many inflammatory diseases accurately.
Pericarditis Findings
Pericarditis is an inflammation of the pericardium. Chest CT scans can find it by looking for thickening, fluid, and contrast enhancement of the pericardium.
- Pericardial thickening: Shows inflammation or scarring.
- Pericardial effusion: Fluid around the heart.
- Enhancement: Means active inflammation.
Aortic and Vascular Inflammation
Chest CT scans can spot aortic and blood vessel inflammation too. They show thickening and enhancement of the aorta and other blood vessels.
|
Condition |
CT Scan Findings |
|---|---|
|
Pericarditis |
Pericardial thickening, effusion, enhancement |
|
Aortic Inflammation |
Aortic wall thickening, enhancement |
When we compare CT scans to MRI for heart and blood vessel inflammation, each has its own benefits. CT scans are great for detailed views of the heart and big vessels. MRI, on the other hand, is better for soft tissue details without using radiation.
Mediastinal Structures and Inflammation
The mediastinum is a key part of the chest. It houses important structures like the heart, blood vessels, and the esophagus. Knowing about these structures helps us diagnose and treat diseases.
Lymph Node Evaluation
Lymph nodes in the mediastinum are vital for fighting infections. A chest CT scan can show if these nodes are swollen or inflamed. This could mean an infection, autoimmune disease, or cancer.
When we look at lymph nodes on a CT scan, we check their size, shape, and density. This helps us see if there’s inflammation or another problem.
|
Lymph Node Characteristic |
Normal |
Abnormal |
|---|---|---|
|
Size |
Typically |
Enlarged (>10 mm) |
|
Shape |
Oval or elliptical |
Round or irregular |
|
Density |
Homogeneous |
Heterogeneous or calcified |
Thymus and Other Mediastinal Organs
The thymus gland in the front of the mediastinum can also get inflamed. We can spot thymic hyperplasia or thymomas on CT scans. The pericardium around the heart can show signs of inflammation too, like pericarditis.
We can also check other organs like the esophagus and blood vessels for inflammation. This helps us diagnose and treat conditions like esophagitis or vascular inflammation.
Looking at the mediastinal structures on a chest CT scan gives us important information. This helps us create the right treatment plan for our patients.
Chest CT vs. MRI: Comparing Imaging Options
It’s important to know the differences between Chest CT scans and MRI. Each has its own strengths for chest evaluation. Choosing the right one depends on what you need to see.
When CT is Preferred for Lung Evaluation
CT scans are often the first choice for lung checks. They show lung details clearly and spot small problems. High-resolution CT imaging is great for looking at lung diseases like fibrosis and emphysema.
- Detailed lung images
- Finding small lung issues
- Checking for lung infections and inflammation
For example, if you think you have pneumonia, a CT scan can show how bad it is. This helps doctors decide how to treat you.
MRI’s Superior Soft Tissue Characterization
MRI is better at showing soft tissues than CT scans. It’s great for looking at the chest and chest wall. MRI can tell different soft tissues apart, which helps find tumors or blood vessel problems.
MRI doesn’t use harmful radiation. This is a big plus, like when you need to take pictures often or if you’re pregnant or a kid.
Radiation Considerations
CT scans use X-rays, which means they expose you to radiation. MRI, on the other hand, uses magnetic fields and radio waves. This makes MRI safer from radiation.
Thinking about radiation is key when you need to take pictures of your body. Radiation exposure matters, like if you need to take pictures again or if you’ve had radiation before. MRI is a safer choice then.
- CT scans involve radiation exposure
- MRI does not use ionizing radiation
- Consideration of radiation risks in diagnostic choices
What Organs Does a Chest CT Scan Show?
A Chest CT scan gives a detailed look at organs in the chest. It’s a key tool for checking the health of important chest structures.
Lungs and Airways
The lungs are a main focus of a Chest CT scan. We can see the lung’s inner parts, airways, and smaller tubes in detail. This helps spot issues like lung nodules, tumors, and infections.
The scan also shows the airways, like the trachea and bronchi. This helps diagnose diseases affecting these airways, such as bronchiectasis.
- Detailed visualization of lung structures
- Detection of lung nodules and tumors
- Assessment of airway diseases
Heart and Major Blood Vessels
A Chest CT scan also images the heart and major blood vessels. It checks the heart’s size and shape and looks at the coronary arteries and other big vessels. This is key for spotting cardiac conditions and vascular diseases.
- Assessment of heart size and shape
- Visualization of coronary arteries and major vessels
- Detection of cardiac and vascular diseases
Mediastinum and Esophagus
The mediastinum, with its heart, trachea, esophagus, and lymph nodes, is also examined in a Chest CT scan. The esophagus is seen as a tube behind the heart. This helps find esophageal problems.
Upper Abdominal Organs Partially Visible
Even though a Chest CT scan mainly looks at the chest, it also shows parts of the upper abdomen. This includes the liver, spleen, and stomach. Sometimes, it spots issues in these organs that are linked to the patient’s health.
In summary, a Chest CT scan is a powerful tool. It shows detailed images of the lungs, airways, heart, blood vessels, mediastinum, esophagus, and upper abdominal organs. Knowing what it can show is key for accurate diagnosis and treatment planning.
Conclusion
We’ve looked into how Chest CT scans find inflammation and chest problems. This knowledge helps both patients and doctors make better choices about treatment.
Chest CT scans are key in spotting inflammation. They give clear images and help find important signs of inflammation. This means doctors can start treatment early and care for patients better.
In short, Chest CT scans are vital for patient care. They help doctors create good treatment plans. As medical tech gets better, Chest CT scans will keep being important for diagnosing chest issues.
FAQ
Does a Chest CT scan show inflammation?
Yes, a Chest CT scan can show inflammation in the chest. This includes the lungs, airways, and surrounding tissues. It provides detailed images that help identify specific patterns associated with inflammatory conditions.
What can a Chest CT scan show about respiratory infections?
A Chest CT scan can visualize respiratory infections. This includes pneumonia, bronchitis, and COVID-19. It shows specific findings like areas of consolidation and ground-glass opacities.
Can a Chest CT scan diagnose chronic inflammatory lung conditions?
Yes, a Chest CT scan can diagnose and monitor chronic inflammatory lung conditions. This includes interstitial lung disease, COPD, emphysema, and pulmonary fibrosis. It visualizes characteristic patterns and changes in the lungs.
Does a Chest CT scan show the esophagus?
Yes, a Chest CT scan can show the esophagus as a tubular structure. It can also detect related abnormalities. This includes thickening of the esophageal wall, masses, or other pathologies.
Can a Chest CT scan be used to investigate breathing problems?
Yes, a Chest CT scan is used to investigate breathing problems. It identifies the causes of dyspnea and evaluates airway obstruction. It also differentiates between cardiac and pulmonary causes.
What is the difference between a Chest CT scan and MRI?
A Chest CT scan is preferred for evaluating lung parenchyma and detecting calcifications. MRI is superior for soft tissue characterization. CT scans involve radiation, whereas MRI does not. MRI may not be as readily available or as quick as a CT scan.
What organs does a Chest CT scan show?
A Chest CT scan shows the lungs, airways, heart, major blood vessels, mediastinum, esophagus, and partially the upper abdominal organs. It provides a detailed view of the chest.
Can a Chest CT scan detect cardiac and vascular inflammation?
Yes, a Chest CT scan can detect cardiac and vascular inflammation. This includes pericarditis and aortic inflammation. MRI may be more sensitive for certain conditions.
How does a Chest CT scan assess mediastinal structures?
A Chest CT scan assesses mediastinal structures. This includes lymph nodes and the thymus. It provides detailed images that help evaluate their involvement in various conditions.
What are the key inflammatory markers visible on a Chest CT scan?
The key inflammatory markers visible on a Chest CT scan include ground-glass opacities, consolidation patterns, bronchial wall thickening, and pleural effusion. These are critical for diagnosing and managing inflammatory chest conditions.
References
https://www.cham.org/HealthwiseArticle.aspx?id=hw233596