Hashimoto Thyroiditis Diagnosis and Evaluation: serological antibody identification, thyrotropin-driven metabolic assessment, and ultrasonographic glandular mapping

Understand the diagnostic process for Hashimoto’s Thyroiditis. Explore the role of blood tests, antibody screening, and imaging at Liv Hospital for an accurate diagnosis.

We're Here to Help.
Get in Touch.

Send us all your questions or requests, and our expert team will assist you.

Doctors

Diagnosis and Evaluation

The Clinical Evaluation Process

The journey toward a definitive diagnosis of this immune-related thyroid condition begins with a meticulously structured evaluation. Because the symptoms of Hashimoto’s Thyroiditis overlap with many other metabolic and psychological issues, a physical exam alone is not enough. When you visit a specialist at Liv Hospital, the process starts with a detailed medical history where the clinician asks about your family’s history of autoimmune disorders. The goal of this evaluation is to provide objective evidence of thyroid failure and to identify the specific antibodies that prove the cause is an immune malfunction.

Icon LIV Hospital

Thyroid Function Tests (TFTs)

hashimoto thyroiditis

The initial objective test involves a series of blood tests known as thyroid function tests. These measure the levels of hormones that circulate in your bloodstream.

  • TSH (Thyroid Stimulating Hormone): Usually the first marker to rise as the brain tries to force the failing thyroid to work harder.
  • Free T4: The main hormone produced by the gland; low levels indicate overt failure.
  • Free T3: The active form of the hormone; levels may stay normal longer than T4.

Abnormal hormone levels are a primary clinical sign of hypothyroidism, prompting the medical team to move toward identifying the “why” behind the slowdown.

Icon 1 LIV Hospital

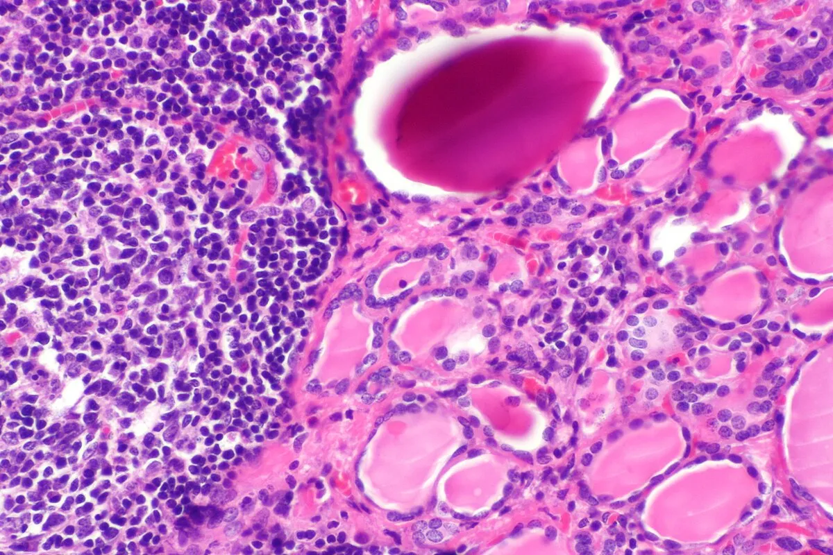
Testing For TPO and TG Antibodies

hashimoto thyroiditis

To confirm that the cause of the slow thyroid is specifically Hashimoto’s Thyroiditis, clinicians look for the “fingerprint” of the immune system.

  • TPO (Thyroid Peroxidase) Antibodies: Found in about 95% of patients with the condition.
  • TgAb (Thyroglobulin Antibodies): Another indicator of an immune attack on thyroid proteins.

Finding these antibodies in combination with high TSH is a strong indicator of the condition. At Liv Hospital, we use the most sensitive modern assays to ensure these markers are detected even at low levels, allowing for earlier intervention.

Hashimoto's Thyroiditis ICD 10

The use of hashimoto’s thyroiditis icd 10 codes is an integral part of the evaluation phase. These codes help categorize the patient’s specific presentation for their medical records.

  • E06.3: Autoimmune thyroiditis.
  • E03.9: Hypothyroidism, unspecified (used when the autoimmune cause is not yet confirmed).

At Liv Hospital, we ensure that your diagnostic coding is accurate, which is essential for coordinating care between different specialists and for tracking your response to various clinical interventions over time.

Thyroid Ultrasound And Imaging

While blood tests confirm the hormonal and immune status, ultrasound imaging allows clinicians to see the physical structure of the thyroid gland.

  • It identifies if the gland texture is “heterogeneous” or bumpy, typical of autoimmune inflammation.
  • It checks for the presence of nodules or cysts that might require a biopsy.
  • It measures the size of the gland to monitor for goiter progression.

Using high-definition ultrasound ensures that the clinical team at Liv Hospital has a complete visual map of the neck area, identifying any structural issues before they become symptomatic.

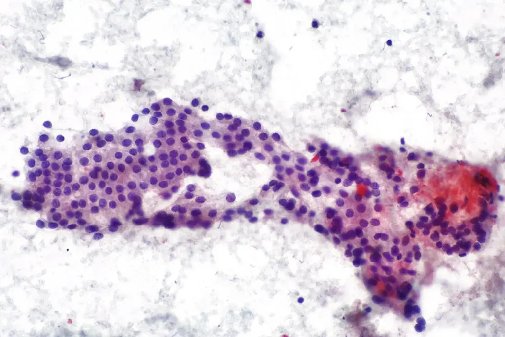
Fine Needle Aspiration (FNA)

In some clinical cases, if a suspicious nodule is found during the ultrasound, a fine needle aspiration biopsy may be performed.

  • A very thin needle is used to collect a small sample of cells.
  • A pathologist examines the cells to rule out malignancy or other types of thyroiditis.
  • It helps confirm the presence of lymphocytes within the gland tissue.

While not required for every diagnosis, this procedure is a hallmark of the thorough care provided at Liv Hospital, ensuring that no underlying issues are missed during the evaluation of the immune-damaged tissue.

hashimoto thyroiditis

Differential Diagnosis Strategies

A critical part of the evaluation is the differential diagnosis, which means ruling out other conditions that look like a thyroid slowdown.

  • Iodine deficiency: Which also causes goiter but has no antibodies.
  • Subacute Thyroiditis: A temporary, painful inflammation usually caused by a virus.
  • Pituitary disorders: Where the brain fails to send the signal to the thyroid.
  • Chronic Fatigue Syndrome: Which mimics the energy loss but has normal labs.

By systematically ruling out these “lookalikes” through laboratory tests and high-tech imaging, our expert team ensures that the treatment provided is perfectly targeted to the autoimmune problem.

Assessing Nutritional Status

Chronic inflammation and the associated gut issues impact your body’s chemistry. A comprehensive evaluation at Liv Hospital includes checks for secondary conditions often found in thyroid patients.

  • Vitamin D levels: Often low in patients with autoimmune disorders.
  • Vitamin B12 and Iron: Deficiencies are common due to slowed digestion and overlap with other gut issues.
  • Selenium and Zinc: Minerals essential for converting T4 into the active T3 hormone.

Treating the thyroid without addressing these nutritional gaps is only half the battle. A full evaluation ensures that your whole body is supported throughout the recovery process.

Reaching A Definitive Management Plan

The end goal of the diagnostic phase is to reach a clear and confident diagnosis. Once all tests are completed—hormone levels, antibody titers, and imaging—your specialist will sit down with you to review the findings. At Liv Hospital, we believe in a transparent diagnostic process where you are an active participant in your care. If you are struggling with unexplained weight gain or fatigue, reach out to us today for a comprehensive evaluation. Replacing uncertainty with a clear, data-driven plan is the first step toward a future of comfort and vitality.

Why Professional Clinical Care Matters

The end goal of the diagnostic phase is to reach a clear and confident diagnosis. Once all tests are completed—hormone levels, antibody titers, and imaging—your specialist will sit down with you to review the findings. At Liv Hospital, we believe in a transparent diagnostic process where you are an active participant in your care. If you are struggling with unexplained weight gain or fatigue, reach out to us today for a comprehensive evaluation. Replacing uncertainty with a clear, data-driven plan is the first step toward a future of comfort and vitality.

30 Years of
Excellence

Trusted Worldwide

With patients from across the globe, we bring over three decades of medical

Book a Free Certified Online
Doctor Consultation

Clinics/branches
Spec. MD. Evren Aygün Spec. MD. Evren Aygün Immunology Overview and Definition
Group 346 LIV Hospital

Reviews from 9,651

4,9

Was this article helpful?

Was this article helpful?

We're Here to Help.
Get in Touch.

Send us all your questions or requests, and our expert team will assist you.

Doctors

FREQUENTLY ASKED QUESTIONS

What tests are used to diagnose Hashimoto thyroiditis?

The primary tests are blood tests for TSH (Thyroid Stimulating Hormone) and Free T4 to check function, plus TPO (Thyroid Peroxidase) antibodies to confirm the autoimmune cause. Ultrasound is used to check for physical changes in the gland.

You generally do not need to fast. However, it is critical to stop taking biotin supplements (often found in hair and nail vitamins) at least 48 hours before the test, as biotin can distort the lab results.

No, a thyroid ultrasound is completely painless and non-invasive. It involves a probe gliding over the skin of your neck with some gel. There is no radiation involved.

The combination of high TSH and positive TPO antibodies is extremely accurate for diagnosing Hashimoto’s. About 90-95% of patients with Hashimoto’s will test positive for TPO antibodies.

A biopsy is usually not needed to diagnose Hashimoto’s itself. It is only required if an ultrasound finds a nodule (a distinct lump) within the thyroid that looks suspicious, to make sure it is not cancer.

Spine Hospital of Louisiana

How helpful was it?

helpful
helpful
helpful