
Diagnosing pneumonia is key to treating it well. We use chest X-rays as a main tool to spot lung infections like pneumonia in adults. This method gives doctors a clear view of the lungs, helping them choose the best treatment.Explaining the role of a chest scan for pneumonia (CXR and CT) in diagnosis and severity assessment accurately.
At Liv Hospital, we mix old-school radiography with new tech for better care. Our goal is to give patients accurate diagnoses and quick treatment. Chest X-rays are the top choice for finding pneumonia in adults because they’re affordable and effective.
Key Takeaways
- Chest X-rays are a primary diagnostic tool for identifying pneumonia in adult patients.
- This non-invasive imaging technique provides detailed insights into lung health.
- Liv Hospital combines traditional expertise with cutting-edge diagnostic technology.
- Accurate diagnosis is key for effective pneumonia treatment.
- Timely treatment recommendations are made based on X-ray results.
What Pneumonia Looks Like on Radiographic Imaging

Understanding pneumonia through radiographic imaging is key for accurate diagnosis and treatment. Pneumonia is a serious lung infection that inflames the air sacs in the lungs. This can fill them with fluid or pus, making breathing hard.
Definition and Types of Pneumonia
Pneumonia is an infection that inflames the air sacs in one or both lungs. It can fill these sacs with fluid or pus. This causes coughing up phlegm or pus, fever, chills, and trouble breathing.
Pneumonia can be caused by bacteria, viruses, or fungi. The most common types include:
- Bacterial pneumonia: Caused by bacteria, with Streptococcus pneumoniae being the most common.
- Viral pneumonia: Caused by viruses, including the flu virus and respiratory syncytial virus (RSV).
- Fungal pneumonia: More common in people with weakened immune systems, caused by fungi like Pneumocystis jirovecii.
Medical professionals say, “Early diagnosis of pneumonia is essential for effective treatment and quicker recovery.”
“The timely use of imaging can significantly impact patient outcomes by allowing for the initiation of appropriate treatment.”
Why Imaging Is Essential for Diagnosis
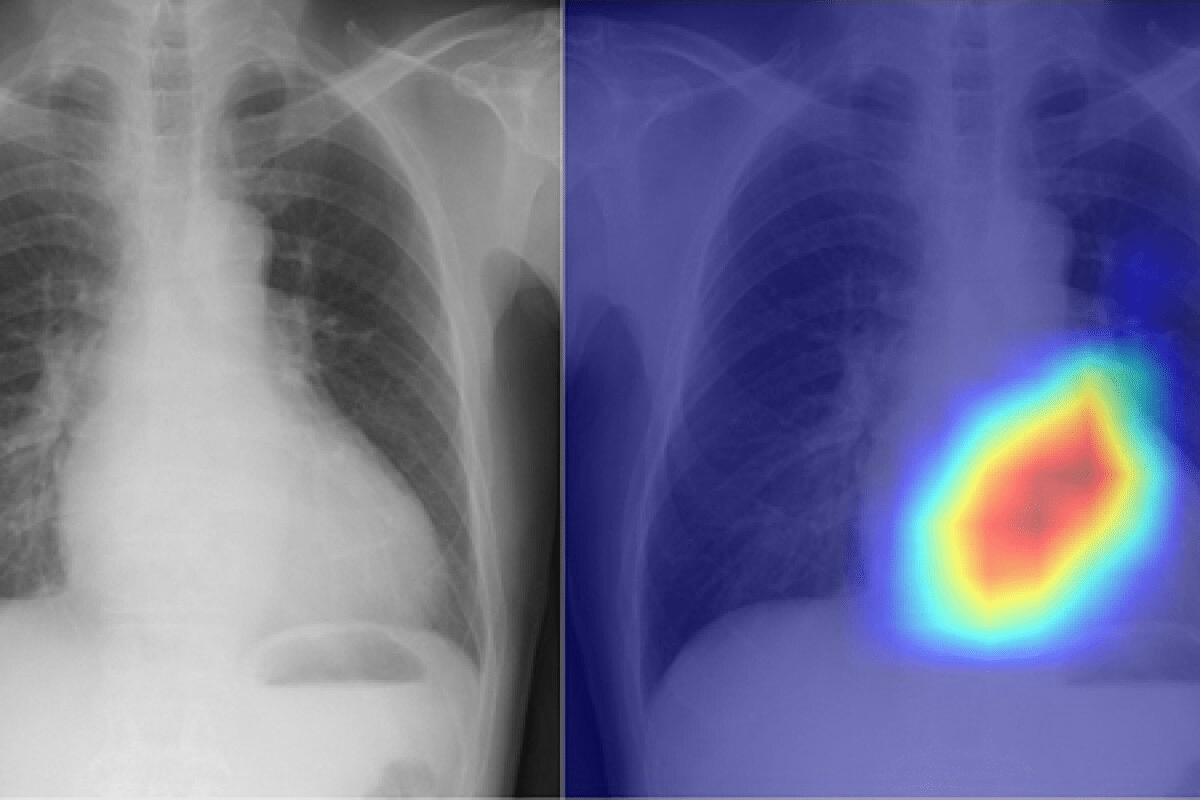
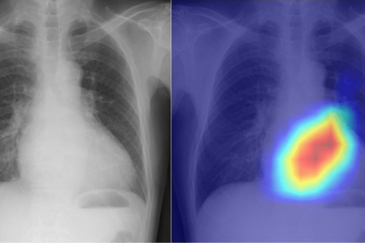
Imaging, like chest x-rays, is vital for diagnosing pneumonia. X-rays can show the presence, size, and location of lung infiltrates or consolidations typical of pneumonia. Research shows chest x-ray sensitivity in pneumonia detection ranges from 93.1% to 98.81%.
X-rays are widely used for pneumonia diagnosis because they are available, low-cost, and quick. X rays for pneumonia help doctors assess the infection’s severity and treatment’s effectiveness. Sometimes, additional imaging like CT scans may be needed for a detailed assessment.
The Chest Scan for Pneumonia: Procedure and Technology

Diagnosing pneumonia often starts with a chest scan. This method has changed a lot with new technology. A chest X-ray is a simple test that uses little radiation to show the chest’s details.
How X-ray Technology Captures Lung Infections
X-ray technology sends radiation through the chest. It shows different tissues’ densities. Bones look white, and lungs look darker.
Lung infections, like pneumonia, make lung areas denser. This shows up as opacities or infiltrates on the X-ray.
Advanced X-ray technology helps spot these changes better. Digital radiography, for example, lets doctors enhance images for clearer lung details.
Patient Preparation and Positioning
Patients must prepare and position correctly for good X-ray images. They remove clothes and jewelry and wear a hospital gown. Then, they stand in front of the X-ray machine, chest against the receptor, and hold their breath for the image.
Getting the right position is key for clear lung images. Technicians might take several views, like frontal and lateral, for a full assessment.
Reading and Interpreting Results
Reading chest X-ray results needs skill. Radiologists look for signs of infection, like consolidation or infiltrates. They also check the lungs and nearby areas.
Advanced machine learning approaches are improving pneumonia detection on chest X-rays. Some studies show accuracy rates over 97%. This helps doctors make better decisions.
X Rays of Pneumonia in Lungs: Characteristic Findings
When looking at chest X-rays for pneumonia, doctors search for certain patterns. They look for signs of lung infection, like inflammation or fluid buildup. These changes help identify pneumonia on an X-ray.
Pulmonary Opacities and Infiltrates
Pulmonary opacities and infiltrates are key signs of pneumonia. These show up as solid areas on the X-ray. They are filled with inflammatory cells, fluid, or infection.
The location and size of these areas help doctors understand the pneumonia’s type and how severe it is.
Consolidation Patterns and Distribution
Consolidation means lung tissue is filled with something other than air. This can be pus, fluid, or other materials. On an X-ray, it looks like solid areas in the lung.
These areas can cover a whole lobe (lobar pneumonia) or be scattered (bronchopneumonia). The way these areas spread out is important for diagnosing pneumonia and deciding treatment.
Air Bronchograms and Other Key Signs
An air bronchogram is a special sign on chest X-rays. It happens when the bronchi, usually invisible, become clear against the denser lung tissue. This is because air-filled bronchi contrast with the inflamed lung.
Other important signs include pleural effusion, cavitation, and lymphadenopathy. These signs give more information about the pneumonia’s nature and severity.
Knowing these signs on chest X-rays is vital for diagnosing and treating pneumonia. By spotting these patterns, doctors can make better decisions for patient care.
Different Pneumonia Presentations on Chest X-Rays
It’s important to know how pneumonia looks on chest X-rays to diagnose and treat it right. Pneumonia can show up in many ways, each with its own signs on X-rays. These signs help doctors make the right choices for treatment.
Lobar Pneumonia Appearance
Lobar pneumonia affects one or more lung lobes. On an X-ray, it looks like a solid white area that matches the lobe’s shape. This area is clear-cut and might show air bronchograms, where air-filled bronchi stand out against the surrounding fluid.
A radiology expert says, “Lobar pneumonia is clear because the lung lobe is full of inflammatory cells and fluid. This makes it look white on X-rays.”
This pattern is typical for infections caused by Streptococcus pneumoniae.
Bronchopneumonia Radiographic Features
Bronchopneumonia, or lobular pneumonia, looks different on X-rays. It has scattered, patchy areas of fluid that don’t stick to one lobe. These spots are small and white, spread out in the lungs. It looks more scattered and less uniform than lobar pneumonia.
|
Feature |
Lobar Pneumonia |
Bronchopneumonia |
|---|---|---|
|
Distribution |
Limited to one or more lobes |
Patchy, scattered throughout lung fields |
|
Appearance |
Dense, uniform white area |
Multiple small white spots or nodules |
Interstitial and Atypical Pneumonia Patterns
Interstitial pneumonia affects the lung’s spaces, like the alveolar septa and bronchovascular bundles. On X-rays, it looks like fine lines or hazy areas, unlike the solid areas seen in other pneumonias. Atypical pneumonia, caused by viruses and Mycoplasma pneumoniae, might show interstitial patterns or a mix of solid and hazy areas.
Key Features of Different Pneumonia Types:
- Lobar Pneumonia: Dense, uniform consolidation in one or more lobes
- Bronchopneumonia: Scattered, patchy areas of consolidation
- Interstitial Pneumonia: Fine, net-like lines or hazy areas
It’s key to spot these patterns on X-rays to figure out the pneumonia type and the right treatment. We need to think about the patient’s symptoms and might need more tests to be sure.
Diagnostic Accuracy: Can You See Pneumonia on Chest X-Ray?
It’s key to know how well chest X-rays work in finding pneumonia. They are a main tool for spotting pneumonia. But, how well they work can change based on a few things.
Sensitivity Rates in Adult Patients
Studies show chest X-rays are good at finding pneumonia, with a success rate of 93.1% to 98.81%. This means they are very good at spotting pneumonia in adults. But, it’s important to remember that very early or mild cases might not show up right away.
High-quality images and skilled radiologists are key to getting these high success rates. New digital radiography methods have made chest X-rays even better at finding pneumonia.
Specificity and False Positive Considerations
Even though chest X-rays are good, they can sometimes be wrong. This is because other lung problems can look like pneumonia on an X-ray. So, it’s important to look at the X-ray with the patient’s symptoms and medical history in mind.
False positives can mean extra treatment and higher costs. So, it’s best to use X-rays along with other tests and the patient’s symptoms for a correct diagnosis.
Factors Affecting Diagnostic Precision
Many things can change how well chest X-rays work. Things like the patient’s health or how they are positioned can affect the image. The quality of the X-ray machine and the radiologist’s skill also matter a lot.
- Image quality and resolution
- Radiologist expertise
- Patient positioning and cooperation
- Underlying health conditions
By knowing these factors and improving how we take X-rays, we can make them better at finding pneumonia.
Limitations: When Will X-Ray Show Pneumonia?
Chest X-rays are useful for diagnosing pneumonia. But, they have limits, mainly in the early stages. How well X-rays show pneumonia depends on the disease’s stage and the patient’s health.
Early-Stage Detection Challenges
One big problem with chest X-rays is spotting pneumonia early. Sometimes, X-rays don’t show changes until symptoms are clear. This makes it hard to catch pneumonia right when it starts.
Key challenges in early-stage detection include:
- Subtle changes in lung tissue that may not be immediately apparent on the X-ray
- The possibility that the infection may not have progressed enough to cause noticeable changes on the radiograph
Patient Factors Affecting Visibility
Some patient factors can make it harder to see pneumonia on an X-ray. For example, dehydrated patients might not show clear signs because their lungs don’t get enough blood. Also, older or weakened people might show only small changes, making it tough to diagnose.
Technical and Interpretation Limitations
Technical issues, like the X-ray’s quality and how the patient is positioned, can also affect detection. Plus, how well radiologists interpret X-rays can vary. This can lead to different diagnoses.
Some of the technical and interpretation limitations include:
- Poor image quality due to patient movement or incorrect exposure settings
- Variability in interpreting X-ray findings among radiologists
- Lack of standardization in reporting radiographic results
Advanced Technologies Improving Pneumonia X-Ray Detection
New technologies are changing how we find pneumonia on chest X-rays. They make diagnoses more accurate. This helps doctors care for patients better and get better results.
Digital Radiography Enhancements
Digital radiography has made chest X-rays much better. It’s different from old film-based methods. Digital X-rays can be improved, zoomed in, and changed for clearer lung pictures. This tech offers:
- Images that are clearer and more detailed
- Adjustments for better contrast and brightness
- Less radiation for patients
- Images are processed and ready faster
These upgrades help doctors spot pneumonia and other lung issues more accurately. This means they can make quicker, smarter choices for patients.
Machine Learning Applications
Machine learning (ML) is being used more in chest X-ray analysis for finding pneumonia. These ML algorithms learn from big sets of images. They look for patterns linked to pneumonia. The good things about ML in diagnosing pneumonia include:
- It’s better at finding pneumonia
- It helps doctors agree more on what they see
- It makes the process faster
- It might catch small problems early
Research shows ML can be as good as or even better than doctors at spotting pneumonia on X-rays.
Artificial Intelligence Accuracy Rates
Artificial intelligence (AI), mainly deep learning, is very promising for reading chest X-rays for pneumonia. AI can quickly look at images and give detailed reports on lung issues. Recent studies show AI can spot pneumonia with over 97% accuracy. This is a big step forward in finding diseases.
To show how AI does in finding pneumonia, here’s a comparison:
|
Diagnostic Method |
Accuracy Rate |
Interpretation Time |
|---|---|---|
|
Traditional Radiography |
85-90% |
Several minutes to hours |
|
AI-Assisted Radiography |
97%+ |
Seconds to minutes |
Using AI to read chest X-rays is not just making diagnoses better. It’s also making it faster. This helps doctors make quicker, better choices for patients.
As these new technologies get even better, we’ll see even more progress in finding and treating pneumonia. This will lead to better health outcomes for patients.
Comparing Chest X-Rays to Alternative Pneumonia Diagnostics
Chest X-rays are key for diagnosing pneumonia. But, other tests and lab work are also important. Together, they help us find the right treatment.
CT Scans for Pneumonia Detection
CT scans show more detail than X-rays. They’re great for tricky cases or when we think there might be more going on. Key benefits of CT scans include:
- They spot pneumonia and problems better
- They show more of the lung and space around it
- They can find other health issues too
For example, CT scans can find lung abscesses or empyema that X-rays miss. But, they’re used less often because they cost more and use radiation.
Ultrasound Applications in Lung Imaging
Ultrasound is becoming more common for pneumonia diagnosis. Advantages of ultrasound include:
- It’s easy to move around and use at the bedside
- It doesn’t use harmful radiation
- It’s good for checking pleural effusions and helping with treatments
Ultrasound can’t see deep lung areas well. But, it’s useful for looking at pleural effusions and helping with treatments.
Laboratory Tests and Clinical Assessment Integration
Labs are key in diagnosing and treating pneumonia. Key laboratory tests include:
- Complete blood count (CBC) to check infection level
- Blood cultures to find the cause
- Sputum Gram stain and culture
- Arterial blood gas (ABG) to check oxygen levels
We use lab results, imaging, and clinical info to plan treatment. This way, we treat the pneumonia and any other issues too.
Clinical Decision Making: When to Order Pneumonia X-Rays
Deciding when to use chest X-rays for pneumonia is key. We use a mix of clinical judgment, symptom checks, and patient history to make these choices.
Symptom Assessment Guidelines
We look at symptoms like cough, fever, and trouble breathing when checking for pneumonia. The severity and mix of these symptoms help us decide if a chest X-ray is needed.
For example, patients with severe breathing problems or high fever often need quick imaging. We also look at how long symptoms last. Long-lasting symptoms might mean a more serious infection.
Risk Factor Evaluation
Assessing risk factors is also important in deciding on a pneumonia X-ray. We look at age, health conditions, and if the immune system is weak.
People with big risk factors might need imaging sooner, even with mild symptoms. This is because they’re more likely to face serious problems.
|
Risk Factor |
Considerations for Chest X-Ray |
|---|---|
|
Age >65 |
Consider X-ray for mild symptoms due to higher risk of complications |
|
Chronic Health Conditions |
Earlier X-ray consideration due to possible quick worsening |
|
Immunosuppression |
Low threshold for X-ray due to higher risk of severe infections |
Follow-up Imaging Protocols
Following up with imaging is key in managing pneumonia, mainly for those not improving or with complicating factors.
We usually suggest follow-up chest X-rays for severe pneumonia, treatment failure, or a change in condition.
By carefully looking at symptoms, risk factors, and following up with imaging, we make smart choices about when to order chest X-rays. This helps improve patient care.
Understanding Your Chest X-Ray Results: Patient Guide
It’s important to understand your chest X-ray results to make good health choices. We’ll help you through this process. When you get your chest X-ray results, it’s key to know what the radiologist’s report says.
Interpreting Radiologist Reports
A radiologist’s report gives detailed info from your chest X-ray. It talks about the X-ray quality, any abnormalities, and what tests you might need next.
When you read your report, look for these parts:
- Clinical History: This part gives your medical background and why you had the X-ray.
- Findings: The radiologist explains what they saw on the X-rays, like any issues.
- Impression: This is the radiologist’s take on what they found, including a diagnosis or more test ideas.
Common Terminology Explained
Radiologist reports use terms you might not know. Here are some common ones:
- Consolidation: This means an area in the lung is filled with fluid or infection, like in pneumonia.
- Infiltrate: This term means there’s something in the lung tissue, like infection or inflammation.
- Nodule: A nodule is a small mass in the lung, possibly a tumor or other issue.
Questions to Ask Your Healthcare Provider
After looking at your chest X-ray results, talk to your healthcare provider. Here are some questions to ask:
- What do my X-ray results say about my condition?
- Do I need more tests or procedures based on the X-ray?
- What treatment options are there for my diagnosis?
- How will my treatment plan be checked and changed?
By understanding your chest X-ray results and asking the right questions, you can be more involved in your healthcare. This helps you make better decisions about your treatment.
Conclusion
Chest X-rays are key in diagnosing pneumonia. They give vital info for treating the disease. We’ve looked at how chest X-rays help, from the process to the findings and limits.
New tech like digital radiography and AI has made spotting pneumonia better. This helps doctors make better choices. By using these new tools, we can improve care and results for patients.
Chest X-rays will keep being important for diagnosing pneumonia. By using X-rays with other tests, we can find and treat pneumonia fast. This leads to better care for patients.
FAQ
Can pneumonia be detected on a chest X-ray?
Yes, pneumonia can often be seen on a chest X-ray. This is a key tool for spotting lung infections. We look for signs like pulmonary opacities and consolidation patterns that show pneumonia.
What does pneumonia look like on a chest X-ray?
On a chest X-ray, pneumonia shows up as areas that look more dense in the lungs. These can be lobar, bronchopneumonia, or interstitial patterns. We study these areas to diagnose pneumonia.
How accurate are chest X-rays in diagnosing pneumonia?
Chest X-rays are usually good at spotting pneumonia. But, how well they work can change based on the disease stage and patient health. We consider these factors when we look at X-rays.
What are the limitations of using chest X-rays for pneumonia diagnosis?
Chest X-rays are helpful for finding pneumonia but have some limits. They might miss early signs, and patient health can affect what we see. We also know there are technical and interpretation challenges. So, we use other tools when needed.
How have advanced technologies improved pneumonia detection on X-rays?
New tech like digital radiography and artificial intelligence has made X-rays better for finding pneumonia. They improve image quality and accuracy. We use these advancements to help diagnose more accurately.
How do chest X-rays compare to other diagnostic methods for pneumonia?
Chest X-rays are a main tool for diagnosing pneumonia. But, other methods like CT scans and lab tests are also important. We use a mix of tools to give the best care.
When should a chest X-ray be ordered for pneumonia diagnosis?
We decide to do chest X-rays based on symptoms and patient risk. We also think about when to do follow-up X-rays to check how the disease is doing and how treatment is working.
How can patients understand their chest X-ray results?
Patients can get help from their doctor to understand X-ray results. The doctor can explain what the radiologist found. We encourage patients to ask questions and get clear on their diagnosis and treatment.
Can pneumonia be seen on a chest X-ray in its early stages?
Finding pneumonia early on a chest X-ray can be tough. The changes might be small. We might use other tests or X-rays again to make sure.
What is the role of CT scans in pneumonia diagnosis?
CT scans give us clearer pictures of the lungs. They’re useful for spotting pneumonia, mainly in serious cases. We turn to CT scans when we need more detailed images.
Are there any patient factors that affect the visibility of pneumonia on X-rays?
Yes, things like body shape and lung health can make pneumonia harder to see on X-rays. We keep these factors in mind when we look at X-rays.
References
National Center for Biotechnology Information. Evidence-Based Medical Guidance. Retrieved from https://www.ncbi.nlm.nih.gov/pmc/articles/PMC4608340/